双侧乳腺浆细胞瘤作为多发性骨髓瘤不寻常首发表现的影像学特征:病例报告及文献复习。

Acta Radiologica Short Reports Pub Date : 2014-11-19 eCollection Date: 2014-11-01 DOI:10.1177/2047981614557666
Hyun Sil Lee, Ji Youn Kim, Chang Suk Kang, Sung Hun Kim, Jung Ho Kang
{"title":"双侧乳腺浆细胞瘤作为多发性骨髓瘤不寻常首发表现的影像学特征:病例报告及文献复习。","authors":"Hyun Sil Lee, Ji Youn Kim, Chang Suk Kang, Sung Hun Kim, Jung Ho Kang","doi":"10.1177/2047981614557666","DOIUrl":null,"url":null,"abstract":"Breast plasmacytoma (BP) is an extremely rare extramedullary manifestation of multiple myeloma (MM). We report the imaging findings of an unusual case in which BP was the initial presentation of MM. A 53-year-old woman with no contributory medical history underwent chest computed tomography to evaluate intermittent nocturnal anterior chest pain, and bilateral multiple breast masses were found. Following an ultrasound-guided core needle biopsy, these lesions were confirmed to be BP.","PeriodicalId":30445,"journal":{"name":"Acta Radiologica Short Reports","volume":"3 10","pages":"2047981614557666"},"PeriodicalIF":0.0000,"publicationDate":"2014-11-19","publicationTypes":"Journal Article","fieldsOfStudy":null,"isOpenAccess":false,"openAccessPdf":"https://sci-hub-pdf.com/10.1177/2047981614557666","citationCount":"5","resultStr":"{\"title\":\"Imaging features of bilateral breast plasmacytoma as unusual initial presentation of multiple myeloma: case report and literature review.\",\"authors\":\"Hyun Sil Lee, Ji Youn Kim, Chang Suk Kang, Sung Hun Kim, Jung Ho Kang\",\"doi\":\"10.1177/2047981614557666\",\"DOIUrl\":null,\"url\":null,\"abstract\":\"Breast plasmacytoma (BP) is an extremely rare extramedullary manifestation of multiple myeloma (MM). We report the imaging findings of an unusual case in which BP was the initial presentation of MM. A 53-year-old woman with no contributory medical history underwent chest computed tomography to evaluate intermittent nocturnal anterior chest pain, and bilateral multiple breast masses were found. Following an ultrasound-guided core needle biopsy, these lesions were confirmed to be BP.\",\"PeriodicalId\":30445,\"journal\":{\"name\":\"Acta Radiologica Short Reports\",\"volume\":\"3 10\",\"pages\":\"2047981614557666\"},\"PeriodicalIF\":0.0000,\"publicationDate\":\"2014-11-19\",\"publicationTypes\":\"Journal Article\",\"fieldsOfStudy\":null,\"isOpenAccess\":false,\"openAccessPdf\":\"https://sci-hub-pdf.com/10.1177/2047981614557666\",\"citationCount\":\"5\",\"resultStr\":null,\"platform\":\"Semanticscholar\",\"paperid\":null,\"PeriodicalName\":\"Acta Radiologica Short Reports\",\"FirstCategoryId\":\"1085\",\"ListUrlMain\":\"https://doi.org/10.1177/2047981614557666\",\"RegionNum\":0,\"RegionCategory\":null,\"ArticlePicture\":[],\"TitleCN\":null,\"AbstractTextCN\":null,\"PMCID\":null,\"EPubDate\":\"2014/11/1 0:00:00\",\"PubModel\":\"eCollection\",\"JCR\":\"\",\"JCRName\":\"\",\"Score\":null,\"Total\":0}","platform":"Semanticscholar","paperid":null,"PeriodicalName":"Acta Radiologica Short Reports","FirstCategoryId":"1085","ListUrlMain":"https://doi.org/10.1177/2047981614557666","RegionNum":0,"RegionCategory":null,"ArticlePicture":[],"TitleCN":null,"AbstractTextCN":null,"PMCID":null,"EPubDate":"2014/11/1 0:00:00","PubModel":"eCollection","JCR":"","JCRName":"","Score":null,"Total":0}
引用次数: 5

摘要

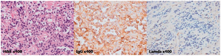
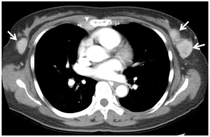
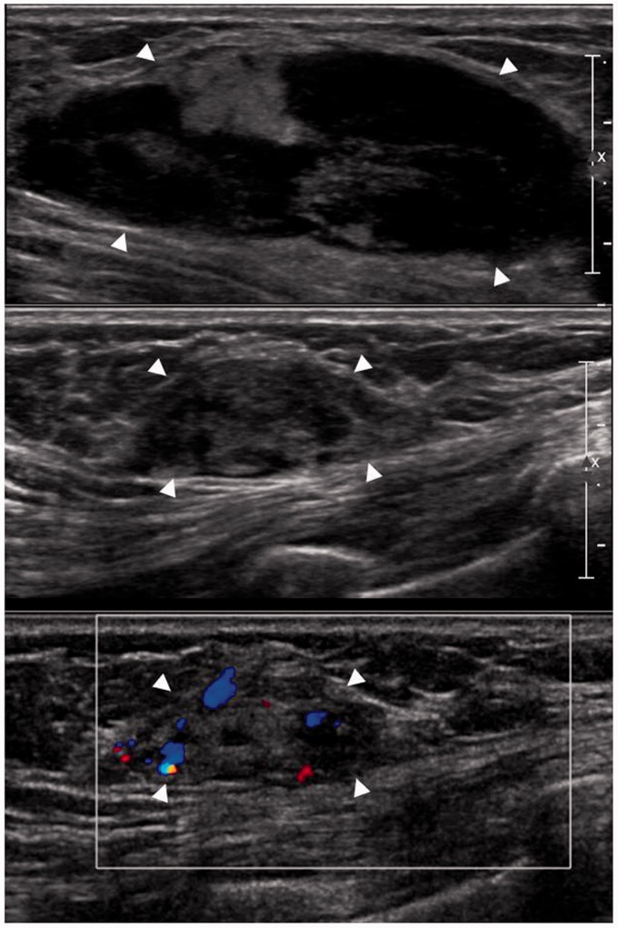
乳腺浆细胞瘤(BP)是一种极为罕见的多发性骨髓瘤(MM)的髓外表现。我们报告一例罕见病例的影像学发现,其中BP是MM的初始表现。一名53岁的女性,无相关病史,接受胸部计算机断层扫描以评估间歇性夜间前路胸痛,发现双侧多发乳房肿块。超声引导下的核心穿刺活检证实为BP。
本文章由计算机程序翻译,如有差异,请以英文原文为准。

Imaging features of bilateral breast plasmacytoma as unusual initial presentation of multiple myeloma: case report and literature review.

Imaging features of bilateral breast plasmacytoma as unusual initial presentation of multiple myeloma: case report and literature review.

Imaging features of bilateral breast plasmacytoma as unusual initial presentation of multiple myeloma: case report and literature review.

Imaging features of bilateral breast plasmacytoma as unusual initial presentation of multiple myeloma: case report and literature review.
Breast plasmacytoma (BP) is an extremely rare extramedullary manifestation of multiple myeloma (MM). We report the imaging findings of an unusual case in which BP was the initial presentation of MM. A 53-year-old woman with no contributory medical history underwent chest computed tomography to evaluate intermittent nocturnal anterior chest pain, and bilateral multiple breast masses were found. Following an ultrasound-guided core needle biopsy, these lesions were confirmed to be BP.
求助全文
通过发布文献求助,成功后即可免费获取论文全文。 去求助
来源期刊
自引率
0.00%
发文量
0
审稿时长
12 weeks
期刊介绍: Under the editorial leadership of Professor Arnulf Skjennald MD and a distinguished editorial board, Acta Radiologica Open, formerly Acta Radiologica Short Reports, aims for the prompt publication of original case reports, short reports, review articles, pictorial reviews, research articles on diagnostic and interventional radiology, clinical radiology, experimental investigations in animals, and all other research related to imaging procedures. Acta Radiologica Open provides a complete update on all radiological specialties and technical utilities, as well as physiology and physics related to imaging, including ultrasonography, computed tomography, radionuclide and magnetic resonance imaging. Acta Radiologica Open publishes articles on diagnostic and interventional procedures in radiology based on all medical imaging techniques, as well as works in physiology and physics when related to radiology. The journal is an online-only, peer reviewed, open access journal.
×
引用
GB/T 7714-2015
复制
MLA
复制
APA
复制
导出至
BibTeX EndNote RefMan NoteFirst NoteExpress
×
提示
您的信息不完整,为了账户安全,请先补充。
现在去补充
×
提示
您因"违规操作"
具体请查看互助需知
我知道了
×
提示
确定
请完成安全验证×
copy
已复制链接
快去分享给好友吧!
我知道了
右上角分享
点击右上角分享
0
联系我们:info@booksci.cn Book学术提供免费学术资源搜索服务,方便国内外学者检索中英文文献。致力于提供最便捷和优质的服务体验。 Copyright © 2023 布克学术 All rights reserved.
京ICP备2023020795号-1
ghs 京公网安备 11010802042870号
Book学术文献互助
Book学术文献互助群
群 号:604180095
Book学术官方微信