33岁宫颈癌心脏转移的多模态影像学诊断:1例报告及文献复习。

Acta Radiologica Short Reports Pub Date : 2014-09-15 eCollection Date: 2014-09-01 DOI:10.1177/2047981614530287
Khoschy Schawkat, Beatrix Hoksch, Markus Schwerzmann, Stefan Puig, Thorsten Klink
{"title":"33岁宫颈癌心脏转移的多模态影像学诊断:1例报告及文献复习。","authors":"Khoschy Schawkat,&nbsp;Beatrix Hoksch,&nbsp;Markus Schwerzmann,&nbsp;Stefan Puig,&nbsp;Thorsten Klink","doi":"10.1177/2047981614530287","DOIUrl":null,"url":null,"abstract":"<p><p>We report a case of a 33-year-old woman with emergency admission due to dyspnoea and fever. History included squamous cell carcinoma of the cervix in complete remission. Contrast-enhanced computed tomography (CT) scanning of the chest, which was indicated to rule out pneumonia, revealed an infiltrative cardiac mass. Further assessment of the tumour by echocardiography and cardiac magnetic resonance imaging (MRI) showed transmural infiltration of the apical interventricular septum with a mass extending into the left and right ventricle cavities. The mass was highly suspicious for a cardiac metastasis. Cardiac metastases from cervical cancer are extremely rare. Recurrence of cervical carcinoma involving the heart should be considered even after a curative therapy approach. Non-invasive imaging plays a paramount role in investigating cardiac masses. Echocardiography, CT and MRI are complementary imaging modalities for complete work-up of intracardiac lesions. </p>","PeriodicalId":30445,"journal":{"name":"Acta Radiologica Short Reports","volume":"3 8","pages":"2047981614530287"},"PeriodicalIF":0.0000,"publicationDate":"2014-09-15","publicationTypes":"Journal Article","fieldsOfStudy":null,"isOpenAccess":false,"openAccessPdf":"https://sci-hub-pdf.com/10.1177/2047981614530287","citationCount":"8","resultStr":"{\"title\":\"Diagnosis of cardiac metastasis from cervical cancer in a 33-year-old patient using multimodal imaging studies: a case report and literature review.\",\"authors\":\"Khoschy Schawkat,&nbsp;Beatrix Hoksch,&nbsp;Markus Schwerzmann,&nbsp;Stefan Puig,&nbsp;Thorsten Klink\",\"doi\":\"10.1177/2047981614530287\",\"DOIUrl\":null,\"url\":null,\"abstract\":\"<p><p>We report a case of a 33-year-old woman with emergency admission due to dyspnoea and fever. History included squamous cell carcinoma of the cervix in complete remission. Contrast-enhanced computed tomography (CT) scanning of the chest, which was indicated to rule out pneumonia, revealed an infiltrative cardiac mass. Further assessment of the tumour by echocardiography and cardiac magnetic resonance imaging (MRI) showed transmural infiltration of the apical interventricular septum with a mass extending into the left and right ventricle cavities. The mass was highly suspicious for a cardiac metastasis. Cardiac metastases from cervical cancer are extremely rare. Recurrence of cervical carcinoma involving the heart should be considered even after a curative therapy approach. Non-invasive imaging plays a paramount role in investigating cardiac masses. Echocardiography, CT and MRI are complementary imaging modalities for complete work-up of intracardiac lesions. </p>\",\"PeriodicalId\":30445,\"journal\":{\"name\":\"Acta Radiologica Short Reports\",\"volume\":\"3 8\",\"pages\":\"2047981614530287\"},\"PeriodicalIF\":0.0000,\"publicationDate\":\"2014-09-15\",\"publicationTypes\":\"Journal Article\",\"fieldsOfStudy\":null,\"isOpenAccess\":false,\"openAccessPdf\":\"https://sci-hub-pdf.com/10.1177/2047981614530287\",\"citationCount\":\"8\",\"resultStr\":null,\"platform\":\"Semanticscholar\",\"paperid\":null,\"PeriodicalName\":\"Acta Radiologica Short Reports\",\"FirstCategoryId\":\"1085\",\"ListUrlMain\":\"https://doi.org/10.1177/2047981614530287\",\"RegionNum\":0,\"RegionCategory\":null,\"ArticlePicture\":[],\"TitleCN\":null,\"AbstractTextCN\":null,\"PMCID\":null,\"EPubDate\":\"2014/9/1 0:00:00\",\"PubModel\":\"eCollection\",\"JCR\":\"\",\"JCRName\":\"\",\"Score\":null,\"Total\":0}","platform":"Semanticscholar","paperid":null,"PeriodicalName":"Acta Radiologica Short Reports","FirstCategoryId":"1085","ListUrlMain":"https://doi.org/10.1177/2047981614530287","RegionNum":0,"RegionCategory":null,"ArticlePicture":[],"TitleCN":null,"AbstractTextCN":null,"PMCID":null,"EPubDate":"2014/9/1 0:00:00","PubModel":"eCollection","JCR":"","JCRName":"","Score":null,"Total":0}
引用次数: 8

摘要

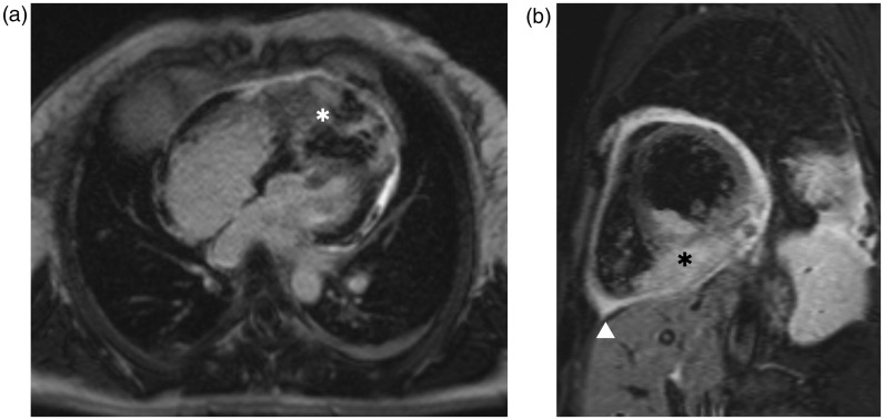
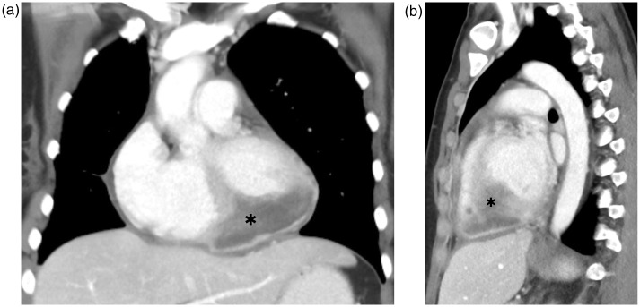
我们报告一例33岁的妇女因呼吸困难和发烧而紧急入院。病史包括完全缓解的宫颈鳞状细胞癌。胸部增强计算机断层扫描(CT)显示浸润性心脏肿块,表明可以排除肺炎。通过超声心动图和心脏磁共振成像(MRI)进一步评估肿瘤显示经壁浸润的顶室间隔,肿块延伸到左、右心室腔。这个肿块高度怀疑是心脏转移。宫颈癌引起的心脏转移极为罕见。复发的宫颈癌累及心脏应考虑,即使在治疗方法。无创成像在心脏肿块的检查中起着至关重要的作用。超声心动图、CT和MRI是心脏内病变完整检查的互补成像方式。
本文章由计算机程序翻译,如有差异,请以英文原文为准。

Diagnosis of cardiac metastasis from cervical cancer in a 33-year-old patient using multimodal imaging studies: a case report and literature review.

Diagnosis of cardiac metastasis from cervical cancer in a 33-year-old patient using multimodal imaging studies: a case report and literature review.

Diagnosis of cardiac metastasis from cervical cancer in a 33-year-old patient using multimodal imaging studies: a case report and literature review.

Diagnosis of cardiac metastasis from cervical cancer in a 33-year-old patient using multimodal imaging studies: a case report and literature review.

We report a case of a 33-year-old woman with emergency admission due to dyspnoea and fever. History included squamous cell carcinoma of the cervix in complete remission. Contrast-enhanced computed tomography (CT) scanning of the chest, which was indicated to rule out pneumonia, revealed an infiltrative cardiac mass. Further assessment of the tumour by echocardiography and cardiac magnetic resonance imaging (MRI) showed transmural infiltration of the apical interventricular septum with a mass extending into the left and right ventricle cavities. The mass was highly suspicious for a cardiac metastasis. Cardiac metastases from cervical cancer are extremely rare. Recurrence of cervical carcinoma involving the heart should be considered even after a curative therapy approach. Non-invasive imaging plays a paramount role in investigating cardiac masses. Echocardiography, CT and MRI are complementary imaging modalities for complete work-up of intracardiac lesions.

求助全文
通过发布文献求助,成功后即可免费获取论文全文。 去求助
来源期刊
自引率
0.00%
发文量
0
审稿时长
12 weeks
期刊介绍: Under the editorial leadership of Professor Arnulf Skjennald MD and a distinguished editorial board, Acta Radiologica Open, formerly Acta Radiologica Short Reports, aims for the prompt publication of original case reports, short reports, review articles, pictorial reviews, research articles on diagnostic and interventional radiology, clinical radiology, experimental investigations in animals, and all other research related to imaging procedures. Acta Radiologica Open provides a complete update on all radiological specialties and technical utilities, as well as physiology and physics related to imaging, including ultrasonography, computed tomography, radionuclide and magnetic resonance imaging. Acta Radiologica Open publishes articles on diagnostic and interventional procedures in radiology based on all medical imaging techniques, as well as works in physiology and physics when related to radiology. The journal is an online-only, peer reviewed, open access journal.
×
引用
GB/T 7714-2015
复制
MLA
复制
APA
复制
导出至
BibTeX EndNote RefMan NoteFirst NoteExpress
×
提示
您的信息不完整,为了账户安全,请先补充。
现在去补充
×
提示
您因"违规操作"
具体请查看互助需知
我知道了
×
提示
确定
请完成安全验证×
copy
已复制链接
快去分享给好友吧!
我知道了
右上角分享
点击右上角分享
0
联系我们:info@booksci.cn Book学术提供免费学术资源搜索服务,方便国内外学者检索中英文文献。致力于提供最便捷和优质的服务体验。 Copyright © 2023 布克学术 All rights reserved.
京ICP备2023020795号-1
ghs 京公网安备 11010802042870号
Book学术文献互助
Book学术文献互助群
群 号:604180095
Book学术官方微信