胸骨孔与胸部重要结构的关系:计算机断层扫描研究。

Anatomy research international Pub Date : 2013-01-01 Epub Date: 2013-10-10 DOI:10.1155/2013/780193
J Gossner
{"title":"胸骨孔与胸部重要结构的关系:计算机断层扫描研究。","authors":"J Gossner","doi":"10.1155/2013/780193","DOIUrl":null,"url":null,"abstract":"<p><p>Sternal foramina are a well-known variant anatomy of the sternum and carry the risk of life-threatening complications like pneumothorax or even pericardial/cardial punction during sternal biopsy or acupuncture. There have been numerous studies numerous studies examinimg prevalence of sternal foramina, but the study of the exact anatomical relationship to intrathoracic structures has received little attention. In a retrospective study of 15 patients with sternal foramina, the topographical anatomy in respect to vital chest organs was examined. In most patients, the directly adjacent structure was the lung (53.3%) or mediastinal fat (33.3%). Only in three patients, the heart was located directly adjacent to a sternal foramen (20%). Theoretically, if the needle is inserted deep enough it will at some point perforate the pericardium in all examined patients. There was no correlation between the patient habitus (i.e., thickness of the subcutaneous fat) and the distance to a vital organ. In this sample, pericardial punction would have not occured if the needle is not inserted deeper than 2.5 cm. Given the preliminary nature of the data, general conclusions of a safe threshold for needle depth should be made with caution. To minimize the risk of hazardous complications, especially with sternal biopsy, preprocedural screening or image guidance is advocated. </p>","PeriodicalId":89526,"journal":{"name":"Anatomy research international","volume":"2013 ","pages":"780193"},"PeriodicalIF":0.0000,"publicationDate":"2013-01-01","publicationTypes":"Journal Article","fieldsOfStudy":null,"isOpenAccess":false,"openAccessPdf":"https://sci-hub-pdf.com/10.1155/2013/780193","citationCount":"17","resultStr":"{\"title\":\"Relationship of sternal foramina to vital structures of the chest: a computed tomographic study.\",\"authors\":\"J Gossner\",\"doi\":\"10.1155/2013/780193\",\"DOIUrl\":null,\"url\":null,\"abstract\":\"<p><p>Sternal foramina are a well-known variant anatomy of the sternum and carry the risk of life-threatening complications like pneumothorax or even pericardial/cardial punction during sternal biopsy or acupuncture. There have been numerous studies numerous studies examinimg prevalence of sternal foramina, but the study of the exact anatomical relationship to intrathoracic structures has received little attention. In a retrospective study of 15 patients with sternal foramina, the topographical anatomy in respect to vital chest organs was examined. In most patients, the directly adjacent structure was the lung (53.3%) or mediastinal fat (33.3%). Only in three patients, the heart was located directly adjacent to a sternal foramen (20%). Theoretically, if the needle is inserted deep enough it will at some point perforate the pericardium in all examined patients. There was no correlation between the patient habitus (i.e., thickness of the subcutaneous fat) and the distance to a vital organ. In this sample, pericardial punction would have not occured if the needle is not inserted deeper than 2.5 cm. Given the preliminary nature of the data, general conclusions of a safe threshold for needle depth should be made with caution. To minimize the risk of hazardous complications, especially with sternal biopsy, preprocedural screening or image guidance is advocated. </p>\",\"PeriodicalId\":89526,\"journal\":{\"name\":\"Anatomy research international\",\"volume\":\"2013 \",\"pages\":\"780193\"},\"PeriodicalIF\":0.0000,\"publicationDate\":\"2013-01-01\",\"publicationTypes\":\"Journal Article\",\"fieldsOfStudy\":null,\"isOpenAccess\":false,\"openAccessPdf\":\"https://sci-hub-pdf.com/10.1155/2013/780193\",\"citationCount\":\"17\",\"resultStr\":null,\"platform\":\"Semanticscholar\",\"paperid\":null,\"PeriodicalName\":\"Anatomy research international\",\"FirstCategoryId\":\"1085\",\"ListUrlMain\":\"https://doi.org/10.1155/2013/780193\",\"RegionNum\":0,\"RegionCategory\":null,\"ArticlePicture\":[],\"TitleCN\":null,\"AbstractTextCN\":null,\"PMCID\":null,\"EPubDate\":\"2013/10/10 0:00:00\",\"PubModel\":\"Epub\",\"JCR\":\"\",\"JCRName\":\"\",\"Score\":null,\"Total\":0}","platform":"Semanticscholar","paperid":null,"PeriodicalName":"Anatomy research international","FirstCategoryId":"1085","ListUrlMain":"https://doi.org/10.1155/2013/780193","RegionNum":0,"RegionCategory":null,"ArticlePicture":[],"TitleCN":null,"AbstractTextCN":null,"PMCID":null,"EPubDate":"2013/10/10 0:00:00","PubModel":"Epub","JCR":"","JCRName":"","Score":null,"Total":0}
引用次数: 17

摘要

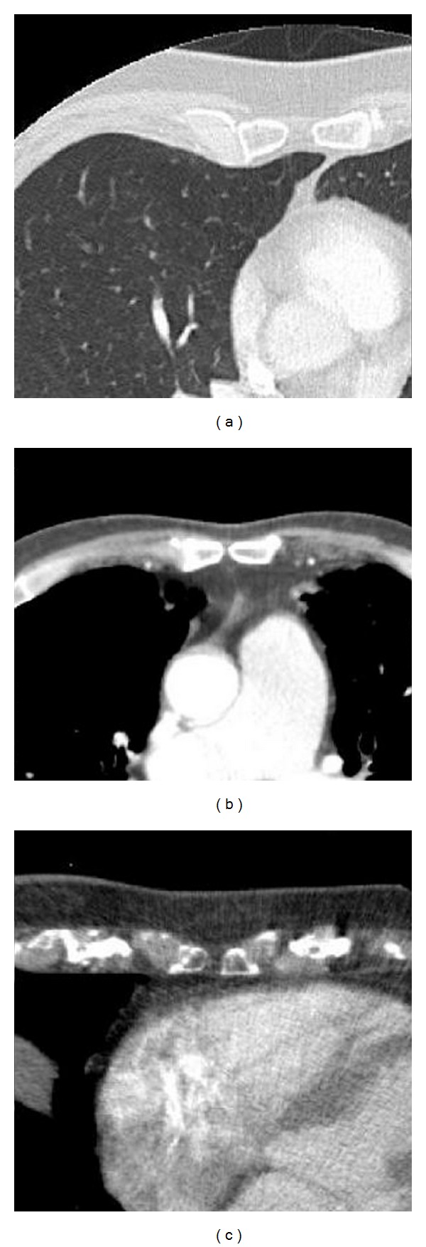
胸骨孔是一种众所周知的胸骨变异解剖结构,具有危及生命的并发症的风险,如气胸,甚至在胸骨活检或针灸时心包/心包穿刺。已经有大量的研究对胸骨孔的患病率进行了大量的研究,但对胸骨孔与胸内结构的确切解剖关系的研究却很少受到关注。在回顾性研究15例胸骨孔患者,地形解剖方面的胸部重要器官进行了检查。大多数患者的直接邻近结构为肺(53.3%)或纵隔脂肪(33.3%)。只有3例患者心脏位于胸骨孔附近(20%)。从理论上讲,如果针头插入足够深,所有被检查的患者都会在某一点穿穿心包。患者的体质(即皮下脂肪的厚度)与到重要器官的距离之间没有相关性。在本例中,如果针的插入深度不超过2.5 cm,就不会发生心包穿刺。鉴于数据的初步性质,对于针头深度安全阈值的一般结论应谨慎作出。为了尽量减少危险并发症的风险,特别是胸骨活检,建议术前筛查或图像指导。
本文章由计算机程序翻译,如有差异,请以英文原文为准。

Relationship of sternal foramina to vital structures of the chest: a computed tomographic study.

Relationship of sternal foramina to vital structures of the chest: a computed tomographic study.

Relationship of sternal foramina to vital structures of the chest: a computed tomographic study.

Sternal foramina are a well-known variant anatomy of the sternum and carry the risk of life-threatening complications like pneumothorax or even pericardial/cardial punction during sternal biopsy or acupuncture. There have been numerous studies numerous studies examinimg prevalence of sternal foramina, but the study of the exact anatomical relationship to intrathoracic structures has received little attention. In a retrospective study of 15 patients with sternal foramina, the topographical anatomy in respect to vital chest organs was examined. In most patients, the directly adjacent structure was the lung (53.3%) or mediastinal fat (33.3%). Only in three patients, the heart was located directly adjacent to a sternal foramen (20%). Theoretically, if the needle is inserted deep enough it will at some point perforate the pericardium in all examined patients. There was no correlation between the patient habitus (i.e., thickness of the subcutaneous fat) and the distance to a vital organ. In this sample, pericardial punction would have not occured if the needle is not inserted deeper than 2.5 cm. Given the preliminary nature of the data, general conclusions of a safe threshold for needle depth should be made with caution. To minimize the risk of hazardous complications, especially with sternal biopsy, preprocedural screening or image guidance is advocated.

求助全文
通过发布文献求助,成功后即可免费获取论文全文。 去求助
来源期刊
自引率
0.00%
发文量
0
×
引用
GB/T 7714-2015
复制
MLA
复制
APA
复制
导出至
BibTeX EndNote RefMan NoteFirst NoteExpress
×
提示
您的信息不完整,为了账户安全,请先补充。
现在去补充
×
提示
您因"违规操作"
具体请查看互助需知
我知道了
×
提示
确定
请完成安全验证×
copy
已复制链接
快去分享给好友吧!
我知道了
右上角分享
点击右上角分享
0
联系我们:info@booksci.cn Book学术提供免费学术资源搜索服务,方便国内外学者检索中英文文献。致力于提供最便捷和优质的服务体验。 Copyright © 2023 布克学术 All rights reserved.
京ICP备2023020795号-1
ghs 京公网安备 11010802042870号
Book学术文献互助
Book学术文献互助群
群 号:604180095
Book学术官方微信