神经病变的不寻常原因:原发性颈椎骨肉瘤的广泛硬脑膜扩散。

Acta Radiologica Short Reports Pub Date : 2012-02-10 eCollection Date: 2012-01-01 DOI:10.1258/arsr.2012.110028
Stephen N Ponnampalam, Wilkinson Yj Tan, Nayyer Naveed Wazir, John George
{"title":"神经病变的不寻常原因:原发性颈椎骨肉瘤的广泛硬脑膜扩散。","authors":"Stephen N Ponnampalam,&nbsp;Wilkinson Yj Tan,&nbsp;Nayyer Naveed Wazir,&nbsp;John George","doi":"10.1258/arsr.2012.110028","DOIUrl":null,"url":null,"abstract":"<p><p>We report a very rare case of a high grade osteosarcoma of the cervical spine in a 62-year-old woman. She presented with a relatively short history of a swelling in the posterior neck and cervical lymphadenopathy. This was associated with hoarseness of the voice, significant weight loss, and right upper arm radicular symptoms initially, progressing to paraplegia. Based on MR and CT imaging of the neck and an excision biopsy of an enlarged right supraclavicular lymph node, the histology revealed a high grade primary osteosarcoma of the cervical spine. </p>","PeriodicalId":30445,"journal":{"name":"Acta Radiologica Short Reports","volume":"1 1","pages":""},"PeriodicalIF":0.0000,"publicationDate":"2012-02-10","publicationTypes":"Journal Article","fieldsOfStudy":null,"isOpenAccess":false,"openAccessPdf":"https://sci-hub-pdf.com/10.1258/arsr.2012.110028","citationCount":"5","resultStr":"{\"title\":\"Unusual cause of neuropathy: extensive dural spread of primary cervical osteosarcoma.\",\"authors\":\"Stephen N Ponnampalam,&nbsp;Wilkinson Yj Tan,&nbsp;Nayyer Naveed Wazir,&nbsp;John George\",\"doi\":\"10.1258/arsr.2012.110028\",\"DOIUrl\":null,\"url\":null,\"abstract\":\"<p><p>We report a very rare case of a high grade osteosarcoma of the cervical spine in a 62-year-old woman. She presented with a relatively short history of a swelling in the posterior neck and cervical lymphadenopathy. This was associated with hoarseness of the voice, significant weight loss, and right upper arm radicular symptoms initially, progressing to paraplegia. Based on MR and CT imaging of the neck and an excision biopsy of an enlarged right supraclavicular lymph node, the histology revealed a high grade primary osteosarcoma of the cervical spine. </p>\",\"PeriodicalId\":30445,\"journal\":{\"name\":\"Acta Radiologica Short Reports\",\"volume\":\"1 1\",\"pages\":\"\"},\"PeriodicalIF\":0.0000,\"publicationDate\":\"2012-02-10\",\"publicationTypes\":\"Journal Article\",\"fieldsOfStudy\":null,\"isOpenAccess\":false,\"openAccessPdf\":\"https://sci-hub-pdf.com/10.1258/arsr.2012.110028\",\"citationCount\":\"5\",\"resultStr\":null,\"platform\":\"Semanticscholar\",\"paperid\":null,\"PeriodicalName\":\"Acta Radiologica Short Reports\",\"FirstCategoryId\":\"1085\",\"ListUrlMain\":\"https://doi.org/10.1258/arsr.2012.110028\",\"RegionNum\":0,\"RegionCategory\":null,\"ArticlePicture\":[],\"TitleCN\":null,\"AbstractTextCN\":null,\"PMCID\":null,\"EPubDate\":\"2012/1/1 0:00:00\",\"PubModel\":\"eCollection\",\"JCR\":\"\",\"JCRName\":\"\",\"Score\":null,\"Total\":0}","platform":"Semanticscholar","paperid":null,"PeriodicalName":"Acta Radiologica Short Reports","FirstCategoryId":"1085","ListUrlMain":"https://doi.org/10.1258/arsr.2012.110028","RegionNum":0,"RegionCategory":null,"ArticlePicture":[],"TitleCN":null,"AbstractTextCN":null,"PMCID":null,"EPubDate":"2012/1/1 0:00:00","PubModel":"eCollection","JCR":"","JCRName":"","Score":null,"Total":0}
引用次数: 5

摘要

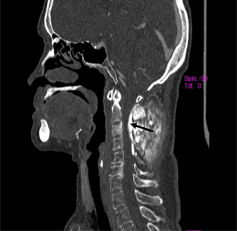
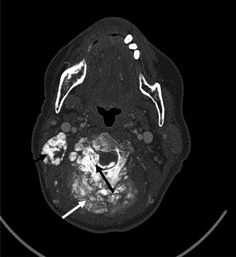
我们报告一个非常罕见的病例高级别骨肉瘤的颈椎在62岁的妇女。她表现出相对较短的后颈部肿胀和颈部淋巴结病病史。这与最初的声音嘶哑、体重明显减轻和右上臂神经根症状相关,并发展为截瘫。根据颈部的MR和CT成像以及右侧锁骨上肿大淋巴结的切除活检,组织学显示为颈椎高级别原发性骨肉瘤。
本文章由计算机程序翻译,如有差异,请以英文原文为准。

Unusual cause of neuropathy: extensive dural spread of primary cervical osteosarcoma.

Unusual cause of neuropathy: extensive dural spread of primary cervical osteosarcoma.

Unusual cause of neuropathy: extensive dural spread of primary cervical osteosarcoma.

Unusual cause of neuropathy: extensive dural spread of primary cervical osteosarcoma.

We report a very rare case of a high grade osteosarcoma of the cervical spine in a 62-year-old woman. She presented with a relatively short history of a swelling in the posterior neck and cervical lymphadenopathy. This was associated with hoarseness of the voice, significant weight loss, and right upper arm radicular symptoms initially, progressing to paraplegia. Based on MR and CT imaging of the neck and an excision biopsy of an enlarged right supraclavicular lymph node, the histology revealed a high grade primary osteosarcoma of the cervical spine.

求助全文
通过发布文献求助,成功后即可免费获取论文全文。 去求助
来源期刊
自引率
0.00%
发文量
0
审稿时长
12 weeks
期刊介绍: Under the editorial leadership of Professor Arnulf Skjennald MD and a distinguished editorial board, Acta Radiologica Open, formerly Acta Radiologica Short Reports, aims for the prompt publication of original case reports, short reports, review articles, pictorial reviews, research articles on diagnostic and interventional radiology, clinical radiology, experimental investigations in animals, and all other research related to imaging procedures. Acta Radiologica Open provides a complete update on all radiological specialties and technical utilities, as well as physiology and physics related to imaging, including ultrasonography, computed tomography, radionuclide and magnetic resonance imaging. Acta Radiologica Open publishes articles on diagnostic and interventional procedures in radiology based on all medical imaging techniques, as well as works in physiology and physics when related to radiology. The journal is an online-only, peer reviewed, open access journal.
×
引用
GB/T 7714-2015
复制
MLA
复制
APA
复制
导出至
BibTeX EndNote RefMan NoteFirst NoteExpress
×
提示
您的信息不完整,为了账户安全,请先补充。
现在去补充
×
提示
您因"违规操作"
具体请查看互助需知
我知道了
×
提示
确定
请完成安全验证×
copy
已复制链接
快去分享给好友吧!
我知道了
右上角分享
点击右上角分享
0
联系我们:info@booksci.cn Book学术提供免费学术资源搜索服务,方便国内外学者检索中英文文献。致力于提供最便捷和优质的服务体验。 Copyright © 2023 布克学术 All rights reserved.
京ICP备2023020795号-1
ghs 京公网安备 11010802042870号
Book学术文献互助
Book学术文献互助群
群 号:604180095
Book学术官方微信