PET/CT检查显示宫颈癌黑色素瘤进展迅速。

Acta Radiologica Short Reports Pub Date : 2012-05-17 eCollection Date: 2012-01-01 DOI:10.1258/arsr.2012.120026
Ya-Ju Tsai, Pei-Wei Shueng, Sheng-Chien Chan, Wen-Yu Chuang, Yu-Chien Shiau, Chung-Huei Hsu
{"title":"PET/CT检查显示宫颈癌黑色素瘤进展迅速。","authors":"Ya-Ju Tsai,&nbsp;Pei-Wei Shueng,&nbsp;Sheng-Chien Chan,&nbsp;Wen-Yu Chuang,&nbsp;Yu-Chien Shiau,&nbsp;Chung-Huei Hsu","doi":"10.1258/arsr.2012.120026","DOIUrl":null,"url":null,"abstract":"<p><p>Malignant melanoma of the uterine cervix is a rare extracutaneous melanoma which develops aggressively and is associated with a bleak prognosis. To our knowledge, no prior published reports have discussed the role of 18F-FDG positron emission tomography/computed tomography (PET/CT) in managing this disease. Our case study involved a 66-year-old woman with a malignant melanoma of the uterine cervix. The patient received PET/CT that identified metastases and lesions which had not been detected from her MRI. Serial PET/CT elucidated that the disease was initially limited to the pelvis, but then metastasized to the abdominal para-aortic lymph nodes, followed by extensive metastases to the brain, lungs, breast, supraclavicular, neck, and other abdominal lymph nodes, as observed at 6-month follow-up. PET/CT was used to complement conventional anatomic imaging modalities, and provided a novel modality for whole body screening. Visualization of the metabolic activity of indeterminate lesions may help in staging, re-staging, treatment planning, and prognostic prediction for patients with this rare disease. </p>","PeriodicalId":30445,"journal":{"name":"Acta Radiologica Short Reports","volume":"1 4","pages":""},"PeriodicalIF":0.0000,"publicationDate":"2012-05-17","publicationTypes":"Journal Article","fieldsOfStudy":null,"isOpenAccess":false,"openAccessPdf":"https://sci-hub-pdf.com/10.1258/arsr.2012.120026","citationCount":"5","resultStr":"{\"title\":\"Uterine cervical melanoma presenting with rapid progression detected by PET/CT.\",\"authors\":\"Ya-Ju Tsai,&nbsp;Pei-Wei Shueng,&nbsp;Sheng-Chien Chan,&nbsp;Wen-Yu Chuang,&nbsp;Yu-Chien Shiau,&nbsp;Chung-Huei Hsu\",\"doi\":\"10.1258/arsr.2012.120026\",\"DOIUrl\":null,\"url\":null,\"abstract\":\"<p><p>Malignant melanoma of the uterine cervix is a rare extracutaneous melanoma which develops aggressively and is associated with a bleak prognosis. To our knowledge, no prior published reports have discussed the role of 18F-FDG positron emission tomography/computed tomography (PET/CT) in managing this disease. Our case study involved a 66-year-old woman with a malignant melanoma of the uterine cervix. The patient received PET/CT that identified metastases and lesions which had not been detected from her MRI. Serial PET/CT elucidated that the disease was initially limited to the pelvis, but then metastasized to the abdominal para-aortic lymph nodes, followed by extensive metastases to the brain, lungs, breast, supraclavicular, neck, and other abdominal lymph nodes, as observed at 6-month follow-up. PET/CT was used to complement conventional anatomic imaging modalities, and provided a novel modality for whole body screening. Visualization of the metabolic activity of indeterminate lesions may help in staging, re-staging, treatment planning, and prognostic prediction for patients with this rare disease. </p>\",\"PeriodicalId\":30445,\"journal\":{\"name\":\"Acta Radiologica Short Reports\",\"volume\":\"1 4\",\"pages\":\"\"},\"PeriodicalIF\":0.0000,\"publicationDate\":\"2012-05-17\",\"publicationTypes\":\"Journal Article\",\"fieldsOfStudy\":null,\"isOpenAccess\":false,\"openAccessPdf\":\"https://sci-hub-pdf.com/10.1258/arsr.2012.120026\",\"citationCount\":\"5\",\"resultStr\":null,\"platform\":\"Semanticscholar\",\"paperid\":null,\"PeriodicalName\":\"Acta Radiologica Short Reports\",\"FirstCategoryId\":\"1085\",\"ListUrlMain\":\"https://doi.org/10.1258/arsr.2012.120026\",\"RegionNum\":0,\"RegionCategory\":null,\"ArticlePicture\":[],\"TitleCN\":null,\"AbstractTextCN\":null,\"PMCID\":null,\"EPubDate\":\"2012/1/1 0:00:00\",\"PubModel\":\"eCollection\",\"JCR\":\"\",\"JCRName\":\"\",\"Score\":null,\"Total\":0}","platform":"Semanticscholar","paperid":null,"PeriodicalName":"Acta Radiologica Short Reports","FirstCategoryId":"1085","ListUrlMain":"https://doi.org/10.1258/arsr.2012.120026","RegionNum":0,"RegionCategory":null,"ArticlePicture":[],"TitleCN":null,"AbstractTextCN":null,"PMCID":null,"EPubDate":"2012/1/1 0:00:00","PubModel":"eCollection","JCR":"","JCRName":"","Score":null,"Total":0}
引用次数: 5

摘要

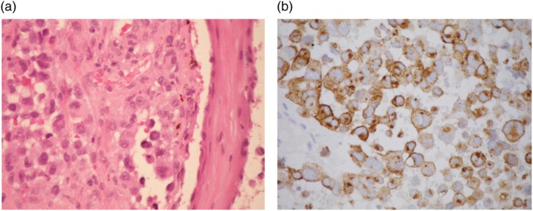
宫颈恶性黑色素瘤是一种罕见的皮肤外黑色素瘤,其发展积极,预后黯淡。据我们所知,之前没有发表的报告讨论过18F-FDG正电子发射断层扫描/计算机断层扫描(PET/CT)在治疗这种疾病中的作用。我们的病例研究涉及一名66岁的宫颈恶性黑色素瘤妇女。患者接受了PET/CT检查,发现了MRI未检测到的转移和病变。连续PET/CT显示,该疾病最初局限于骨盆,但随后转移到腹部主动脉旁淋巴结,随后广泛转移到脑、肺、乳房、锁骨上、颈部和其他腹部淋巴结,随访6个月。PET/CT用于补充传统的解剖成像方式,为全身筛查提供了一种新的方式。不确定病变的代谢活动可视化可能有助于这种罕见疾病患者的分期、再分期、治疗计划和预后预测。
本文章由计算机程序翻译,如有差异,请以英文原文为准。

Uterine cervical melanoma presenting with rapid progression detected by PET/CT.

Uterine cervical melanoma presenting with rapid progression detected by PET/CT.

Uterine cervical melanoma presenting with rapid progression detected by PET/CT.

Uterine cervical melanoma presenting with rapid progression detected by PET/CT.

Malignant melanoma of the uterine cervix is a rare extracutaneous melanoma which develops aggressively and is associated with a bleak prognosis. To our knowledge, no prior published reports have discussed the role of 18F-FDG positron emission tomography/computed tomography (PET/CT) in managing this disease. Our case study involved a 66-year-old woman with a malignant melanoma of the uterine cervix. The patient received PET/CT that identified metastases and lesions which had not been detected from her MRI. Serial PET/CT elucidated that the disease was initially limited to the pelvis, but then metastasized to the abdominal para-aortic lymph nodes, followed by extensive metastases to the brain, lungs, breast, supraclavicular, neck, and other abdominal lymph nodes, as observed at 6-month follow-up. PET/CT was used to complement conventional anatomic imaging modalities, and provided a novel modality for whole body screening. Visualization of the metabolic activity of indeterminate lesions may help in staging, re-staging, treatment planning, and prognostic prediction for patients with this rare disease.

求助全文
通过发布文献求助,成功后即可免费获取论文全文。 去求助
来源期刊
自引率
0.00%
发文量
0
审稿时长
12 weeks
期刊介绍: Under the editorial leadership of Professor Arnulf Skjennald MD and a distinguished editorial board, Acta Radiologica Open, formerly Acta Radiologica Short Reports, aims for the prompt publication of original case reports, short reports, review articles, pictorial reviews, research articles on diagnostic and interventional radiology, clinical radiology, experimental investigations in animals, and all other research related to imaging procedures. Acta Radiologica Open provides a complete update on all radiological specialties and technical utilities, as well as physiology and physics related to imaging, including ultrasonography, computed tomography, radionuclide and magnetic resonance imaging. Acta Radiologica Open publishes articles on diagnostic and interventional procedures in radiology based on all medical imaging techniques, as well as works in physiology and physics when related to radiology. The journal is an online-only, peer reviewed, open access journal.
×
引用
GB/T 7714-2015
复制
MLA
复制
APA
复制
导出至
BibTeX EndNote RefMan NoteFirst NoteExpress
×
提示
您的信息不完整,为了账户安全,请先补充。
现在去补充
×
提示
您因"违规操作"
具体请查看互助需知
我知道了
×
提示
确定
请完成安全验证×
copy
已复制链接
快去分享给好友吧!
我知道了
右上角分享
点击右上角分享
0
联系我们:info@booksci.cn Book学术提供免费学术资源搜索服务,方便国内外学者检索中英文文献。致力于提供最便捷和优质的服务体验。 Copyright © 2023 布克学术 All rights reserved.
京ICP备2023020795号-1
ghs 京公网安备 11010802042870号
Book学术文献互助
Book学术文献互助群
群 号:604180095
Book学术官方微信