用Amplatzer血管塞II选择性动脉栓塞治疗巨大肾血管平滑肌脂肪瘤腹膜后大量出血。

Acta Radiologica Short Reports Pub Date : 2012-02-15 eCollection Date: 2012-01-01 DOI:10.1258/arsr.2012.110029
Ulf Km Teichgräber, Maximilian De Bucourt
{"title":"用Amplatzer血管塞II选择性动脉栓塞治疗巨大肾血管平滑肌脂肪瘤腹膜后大量出血。","authors":"Ulf Km Teichgräber,&nbsp;Maximilian De Bucourt","doi":"10.1258/arsr.2012.110029","DOIUrl":null,"url":null,"abstract":"<p><p>We report on a 36-year-old Caucasian woman who presented to the emergency department with post-traumatic retroperitoneal bleeding diagnosed by computed tomography. After clinical stabilization of the patient, selective arterial embolization was performed. The angiomyolipoma's feeding artery was successfully treated with an 8-mm Amplatzer Vascular Plug Type II. The upper pole of the left kidney, which was supplied by a separate upper renal artery, was conserved. Consequently, the renal angiomyolipoma became necrotic and surgical resection of the entire renal angiomyolipoma was performed. This case illustrates a simple and effective application of an Amplatzer Vascular Plug occluder for vessel embolization, without additional coiling. </p>","PeriodicalId":30445,"journal":{"name":"Acta Radiologica Short Reports","volume":"1 2","pages":""},"PeriodicalIF":0.0000,"publicationDate":"2012-02-15","publicationTypes":"Journal Article","fieldsOfStudy":null,"isOpenAccess":false,"openAccessPdf":"https://sci-hub-pdf.com/10.1258/arsr.2012.110029","citationCount":"8","resultStr":"{\"title\":\"Massive retroperitoneal hemorrhage from a giant renal angiomyolipoma treated by selective arterial embolization with an Amplatzer Vascular Plug II.\",\"authors\":\"Ulf Km Teichgräber,&nbsp;Maximilian De Bucourt\",\"doi\":\"10.1258/arsr.2012.110029\",\"DOIUrl\":null,\"url\":null,\"abstract\":\"<p><p>We report on a 36-year-old Caucasian woman who presented to the emergency department with post-traumatic retroperitoneal bleeding diagnosed by computed tomography. After clinical stabilization of the patient, selective arterial embolization was performed. The angiomyolipoma's feeding artery was successfully treated with an 8-mm Amplatzer Vascular Plug Type II. The upper pole of the left kidney, which was supplied by a separate upper renal artery, was conserved. Consequently, the renal angiomyolipoma became necrotic and surgical resection of the entire renal angiomyolipoma was performed. This case illustrates a simple and effective application of an Amplatzer Vascular Plug occluder for vessel embolization, without additional coiling. </p>\",\"PeriodicalId\":30445,\"journal\":{\"name\":\"Acta Radiologica Short Reports\",\"volume\":\"1 2\",\"pages\":\"\"},\"PeriodicalIF\":0.0000,\"publicationDate\":\"2012-02-15\",\"publicationTypes\":\"Journal Article\",\"fieldsOfStudy\":null,\"isOpenAccess\":false,\"openAccessPdf\":\"https://sci-hub-pdf.com/10.1258/arsr.2012.110029\",\"citationCount\":\"8\",\"resultStr\":null,\"platform\":\"Semanticscholar\",\"paperid\":null,\"PeriodicalName\":\"Acta Radiologica Short Reports\",\"FirstCategoryId\":\"1085\",\"ListUrlMain\":\"https://doi.org/10.1258/arsr.2012.110029\",\"RegionNum\":0,\"RegionCategory\":null,\"ArticlePicture\":[],\"TitleCN\":null,\"AbstractTextCN\":null,\"PMCID\":null,\"EPubDate\":\"2012/1/1 0:00:00\",\"PubModel\":\"eCollection\",\"JCR\":\"\",\"JCRName\":\"\",\"Score\":null,\"Total\":0}","platform":"Semanticscholar","paperid":null,"PeriodicalName":"Acta Radiologica Short Reports","FirstCategoryId":"1085","ListUrlMain":"https://doi.org/10.1258/arsr.2012.110029","RegionNum":0,"RegionCategory":null,"ArticlePicture":[],"TitleCN":null,"AbstractTextCN":null,"PMCID":null,"EPubDate":"2012/1/1 0:00:00","PubModel":"eCollection","JCR":"","JCRName":"","Score":null,"Total":0}
引用次数: 8

摘要

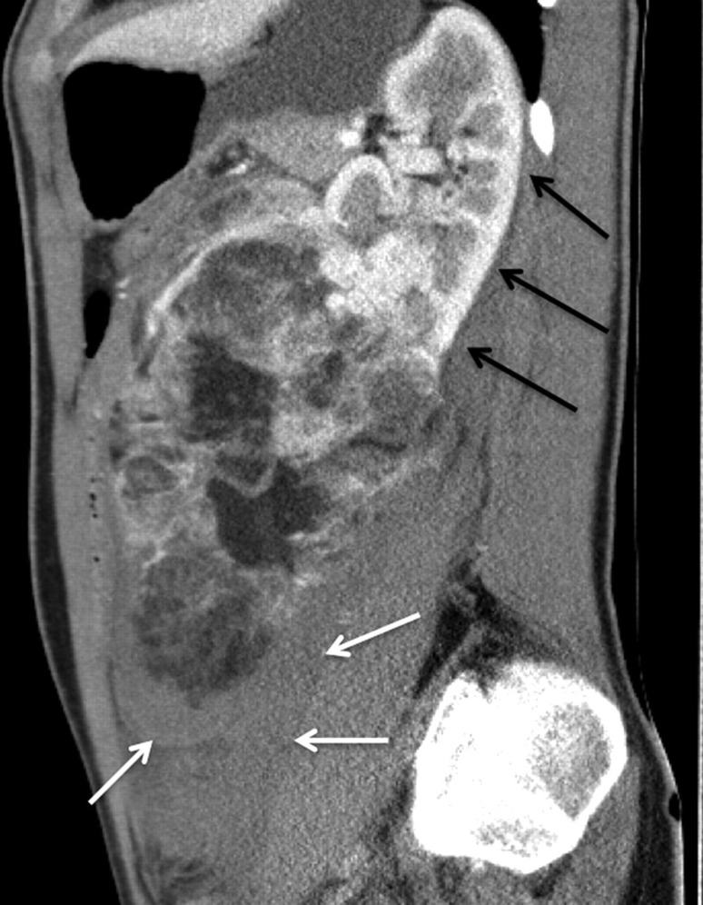
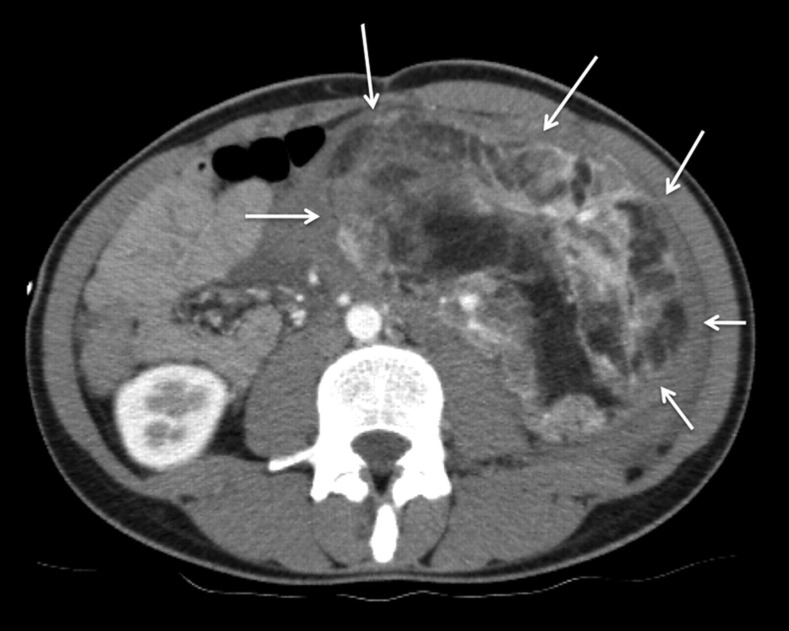
我们报告一位36岁的白人妇女,她以计算机断层扫描诊断为创伤后腹膜后出血而来到急诊室。患者临床稳定后,进行选择性动脉栓塞。血管平滑肌脂肪瘤的供血动脉用8毫米Amplatzer II型血管塞成功治疗。左肾上极由独立的肾上动脉供应,保存完好。结果,肾血管平滑肌脂肪瘤坏死,手术切除整个肾血管平滑肌脂肪瘤。本病例说明了一种简单有效的应用Amplatzer血管堵塞器进行血管栓塞,而无需额外缠绕。
本文章由计算机程序翻译,如有差异,请以英文原文为准。

Massive retroperitoneal hemorrhage from a giant renal angiomyolipoma treated by selective arterial embolization with an Amplatzer Vascular Plug II.

Massive retroperitoneal hemorrhage from a giant renal angiomyolipoma treated by selective arterial embolization with an Amplatzer Vascular Plug II.

Massive retroperitoneal hemorrhage from a giant renal angiomyolipoma treated by selective arterial embolization with an Amplatzer Vascular Plug II.

Massive retroperitoneal hemorrhage from a giant renal angiomyolipoma treated by selective arterial embolization with an Amplatzer Vascular Plug II.

We report on a 36-year-old Caucasian woman who presented to the emergency department with post-traumatic retroperitoneal bleeding diagnosed by computed tomography. After clinical stabilization of the patient, selective arterial embolization was performed. The angiomyolipoma's feeding artery was successfully treated with an 8-mm Amplatzer Vascular Plug Type II. The upper pole of the left kidney, which was supplied by a separate upper renal artery, was conserved. Consequently, the renal angiomyolipoma became necrotic and surgical resection of the entire renal angiomyolipoma was performed. This case illustrates a simple and effective application of an Amplatzer Vascular Plug occluder for vessel embolization, without additional coiling.

求助全文
通过发布文献求助,成功后即可免费获取论文全文。 去求助
来源期刊
自引率
0.00%
发文量
0
审稿时长
12 weeks
期刊介绍: Under the editorial leadership of Professor Arnulf Skjennald MD and a distinguished editorial board, Acta Radiologica Open, formerly Acta Radiologica Short Reports, aims for the prompt publication of original case reports, short reports, review articles, pictorial reviews, research articles on diagnostic and interventional radiology, clinical radiology, experimental investigations in animals, and all other research related to imaging procedures. Acta Radiologica Open provides a complete update on all radiological specialties and technical utilities, as well as physiology and physics related to imaging, including ultrasonography, computed tomography, radionuclide and magnetic resonance imaging. Acta Radiologica Open publishes articles on diagnostic and interventional procedures in radiology based on all medical imaging techniques, as well as works in physiology and physics when related to radiology. The journal is an online-only, peer reviewed, open access journal.
×
引用
GB/T 7714-2015
复制
MLA
复制
APA
复制
导出至
BibTeX EndNote RefMan NoteFirst NoteExpress
×
提示
您的信息不完整,为了账户安全,请先补充。
现在去补充
×
提示
您因"违规操作"
具体请查看互助需知
我知道了
×
提示
确定
请完成安全验证×
copy
已复制链接
快去分享给好友吧!
我知道了
右上角分享
点击右上角分享
0
联系我们:info@booksci.cn Book学术提供免费学术资源搜索服务,方便国内外学者检索中英文文献。致力于提供最便捷和优质的服务体验。 Copyright © 2023 布克学术 All rights reserved.
京ICP备2023020795号-1
ghs 京公网安备 11010802042870号
Book学术文献互助
Book学术文献互助群
群 号:604180095
Book学术官方微信