前后半月板股骨韧带:MRI评估。

Anatomy research international Pub Date : 2012-01-01 Epub Date: 2012-09-17 DOI:10.1155/2012/839724
A Bintoudi, K Natsis, I Tsitouridis
{"title":"前后半月板股骨韧带:MRI评估。","authors":"A Bintoudi,&nbsp;K Natsis,&nbsp;I Tsitouridis","doi":"10.1155/2012/839724","DOIUrl":null,"url":null,"abstract":"<p><p>Although meniscofemoral ligaments are distinct anatomic units, their anatomy and function are controversial from an anatomic and radiologic point of view. Five hundred knee MR examinations were retrospectively studied in an effort to demonstrate the incidence and variations regarding sex and age distribution, as well as the anatomy of the meniscofemoral ligament at magnetic resonance imaging. Patients were mostly men, three hundred and twelve, in contrast with women who were fewer, one hundred eighty-eight patients. The mean age of the patients who were included in this study was 46 years. More than half of them were between 20 and 40 years old; one hundred thirty-three patients among 20 to 30 years old and one hundred and one patients among 31 and 40 years old, in total two hundred thirty-four patients.</p>","PeriodicalId":89526,"journal":{"name":"Anatomy research international","volume":"2012 ","pages":"839724"},"PeriodicalIF":0.0000,"publicationDate":"2012-01-01","publicationTypes":"Journal Article","fieldsOfStudy":null,"isOpenAccess":false,"openAccessPdf":"https://sci-hub-pdf.com/10.1155/2012/839724","citationCount":"19","resultStr":"{\"title\":\"Anterior and posterior meniscofemoral ligaments: MRI evaluation.\",\"authors\":\"A Bintoudi,&nbsp;K Natsis,&nbsp;I Tsitouridis\",\"doi\":\"10.1155/2012/839724\",\"DOIUrl\":null,\"url\":null,\"abstract\":\"<p><p>Although meniscofemoral ligaments are distinct anatomic units, their anatomy and function are controversial from an anatomic and radiologic point of view. Five hundred knee MR examinations were retrospectively studied in an effort to demonstrate the incidence and variations regarding sex and age distribution, as well as the anatomy of the meniscofemoral ligament at magnetic resonance imaging. Patients were mostly men, three hundred and twelve, in contrast with women who were fewer, one hundred eighty-eight patients. The mean age of the patients who were included in this study was 46 years. More than half of them were between 20 and 40 years old; one hundred thirty-three patients among 20 to 30 years old and one hundred and one patients among 31 and 40 years old, in total two hundred thirty-four patients.</p>\",\"PeriodicalId\":89526,\"journal\":{\"name\":\"Anatomy research international\",\"volume\":\"2012 \",\"pages\":\"839724\"},\"PeriodicalIF\":0.0000,\"publicationDate\":\"2012-01-01\",\"publicationTypes\":\"Journal Article\",\"fieldsOfStudy\":null,\"isOpenAccess\":false,\"openAccessPdf\":\"https://sci-hub-pdf.com/10.1155/2012/839724\",\"citationCount\":\"19\",\"resultStr\":null,\"platform\":\"Semanticscholar\",\"paperid\":null,\"PeriodicalName\":\"Anatomy research international\",\"FirstCategoryId\":\"1085\",\"ListUrlMain\":\"https://doi.org/10.1155/2012/839724\",\"RegionNum\":0,\"RegionCategory\":null,\"ArticlePicture\":[],\"TitleCN\":null,\"AbstractTextCN\":null,\"PMCID\":null,\"EPubDate\":\"2012/9/17 0:00:00\",\"PubModel\":\"Epub\",\"JCR\":\"\",\"JCRName\":\"\",\"Score\":null,\"Total\":0}","platform":"Semanticscholar","paperid":null,"PeriodicalName":"Anatomy research international","FirstCategoryId":"1085","ListUrlMain":"https://doi.org/10.1155/2012/839724","RegionNum":0,"RegionCategory":null,"ArticlePicture":[],"TitleCN":null,"AbstractTextCN":null,"PMCID":null,"EPubDate":"2012/9/17 0:00:00","PubModel":"Epub","JCR":"","JCRName":"","Score":null,"Total":0}
引用次数: 19

摘要

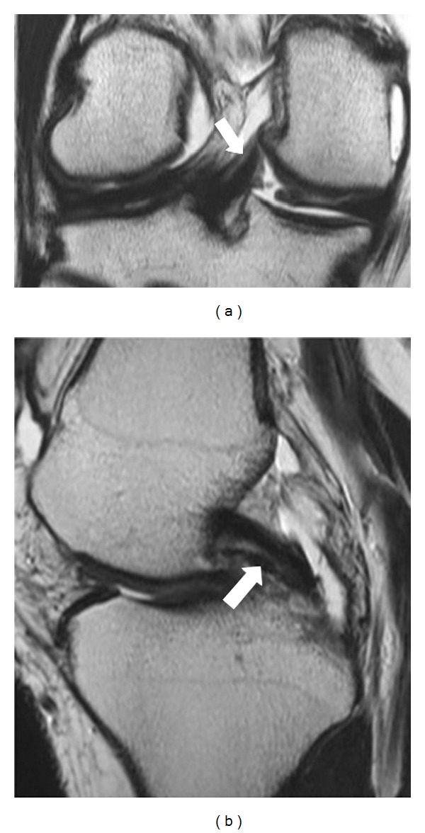
虽然半月板股骨韧带是不同的解剖单位,但从解剖学和放射学的角度来看,其解剖和功能存在争议。回顾性研究了500例膝关节MR检查,以证明其发病率和性别、年龄分布的变化,以及磁共振成像半月板股骨韧带的解剖结构。患者大多是男性,有312人,相比之下,女性患者较少,有188人。纳入这项研究的患者平均年龄为46岁。其中一半以上的人年龄在20到40岁之间;20 ~ 30岁133例,31 ~ 40岁101例,共234例。
本文章由计算机程序翻译,如有差异,请以英文原文为准。

Anterior and posterior meniscofemoral ligaments: MRI evaluation.

Anterior and posterior meniscofemoral ligaments: MRI evaluation.

Anterior and posterior meniscofemoral ligaments: MRI evaluation.

Anterior and posterior meniscofemoral ligaments: MRI evaluation.

Although meniscofemoral ligaments are distinct anatomic units, their anatomy and function are controversial from an anatomic and radiologic point of view. Five hundred knee MR examinations were retrospectively studied in an effort to demonstrate the incidence and variations regarding sex and age distribution, as well as the anatomy of the meniscofemoral ligament at magnetic resonance imaging. Patients were mostly men, three hundred and twelve, in contrast with women who were fewer, one hundred eighty-eight patients. The mean age of the patients who were included in this study was 46 years. More than half of them were between 20 and 40 years old; one hundred thirty-three patients among 20 to 30 years old and one hundred and one patients among 31 and 40 years old, in total two hundred thirty-four patients.

求助全文
通过发布文献求助,成功后即可免费获取论文全文。 去求助
来源期刊
自引率
0.00%
发文量
0
×
引用
GB/T 7714-2015
复制
MLA
复制
APA
复制
导出至
BibTeX EndNote RefMan NoteFirst NoteExpress
×
提示
您的信息不完整,为了账户安全,请先补充。
现在去补充
×
提示
您因"违规操作"
具体请查看互助需知
我知道了
×
提示
确定
请完成安全验证×
copy
已复制链接
快去分享给好友吧!
我知道了
右上角分享
点击右上角分享
0
联系我们:info@booksci.cn Book学术提供免费学术资源搜索服务,方便国内外学者检索中英文文献。致力于提供最便捷和优质的服务体验。 Copyright © 2023 布克学术 All rights reserved.
京ICP备2023020795号-1
ghs 京公网安备 11010802042870号
Book学术文献互助
Book学术文献互助群
群 号:604180095
Book学术官方微信