大体解剖学网络教学的策略改进。

Anatomy research international Pub Date : 2012-01-01 Epub Date: 2011-12-14 DOI:10.1155/2012/146262
David R Marker, Krishna Juluru, Chris Long, Donna Magid
{"title":"大体解剖学网络教学的策略改进。","authors":"David R Marker,&nbsp;Krishna Juluru,&nbsp;Chris Long,&nbsp;Donna Magid","doi":"10.1155/2012/146262","DOIUrl":null,"url":null,"abstract":"<p><p>Current generations of graduate students have been immersed in technology from their early school years and have high expectations regarding digital resources. To better meet the expectations of Gross Anatomy students at our institution, electronic radiology teaching files for first-year coursework were organized into a web site. The web site was custom designed to provide material that directly correlated to the Gross Anatomy dissection and lectures. Quick links provided sets of images grouped by anatomic location. Additionally, Lab and Study Companions provided specific material for the students to review prior to and after lectures and gross dissections. Student opinions of this education resource were compared to student opinions of the prior year's digital teaching files. The new content was ranked as more user friendly (3.1 points versus 2.3 points) and more useful for learning anatomy (3.3 points versus 2.6 points). Many students reported that using the web portal was critical in helping them to better understand relationships of anatomical structures. These findings suggest that a well-organized web portal can provide a user-friendly, valuable educational resource for medical students who are studying Gross Anatomy.</p>","PeriodicalId":89526,"journal":{"name":"Anatomy research international","volume":"2012 ","pages":"146262"},"PeriodicalIF":0.0000,"publicationDate":"2012-01-01","publicationTypes":"Journal Article","fieldsOfStudy":null,"isOpenAccess":false,"openAccessPdf":"https://sci-hub-pdf.com/10.1155/2012/146262","citationCount":"23","resultStr":"{\"title\":\"Strategic improvements for gross anatomy web-based teaching.\",\"authors\":\"David R Marker,&nbsp;Krishna Juluru,&nbsp;Chris Long,&nbsp;Donna Magid\",\"doi\":\"10.1155/2012/146262\",\"DOIUrl\":null,\"url\":null,\"abstract\":\"<p><p>Current generations of graduate students have been immersed in technology from their early school years and have high expectations regarding digital resources. To better meet the expectations of Gross Anatomy students at our institution, electronic radiology teaching files for first-year coursework were organized into a web site. The web site was custom designed to provide material that directly correlated to the Gross Anatomy dissection and lectures. Quick links provided sets of images grouped by anatomic location. Additionally, Lab and Study Companions provided specific material for the students to review prior to and after lectures and gross dissections. Student opinions of this education resource were compared to student opinions of the prior year's digital teaching files. The new content was ranked as more user friendly (3.1 points versus 2.3 points) and more useful for learning anatomy (3.3 points versus 2.6 points). Many students reported that using the web portal was critical in helping them to better understand relationships of anatomical structures. These findings suggest that a well-organized web portal can provide a user-friendly, valuable educational resource for medical students who are studying Gross Anatomy.</p>\",\"PeriodicalId\":89526,\"journal\":{\"name\":\"Anatomy research international\",\"volume\":\"2012 \",\"pages\":\"146262\"},\"PeriodicalIF\":0.0000,\"publicationDate\":\"2012-01-01\",\"publicationTypes\":\"Journal Article\",\"fieldsOfStudy\":null,\"isOpenAccess\":false,\"openAccessPdf\":\"https://sci-hub-pdf.com/10.1155/2012/146262\",\"citationCount\":\"23\",\"resultStr\":null,\"platform\":\"Semanticscholar\",\"paperid\":null,\"PeriodicalName\":\"Anatomy research international\",\"FirstCategoryId\":\"1085\",\"ListUrlMain\":\"https://doi.org/10.1155/2012/146262\",\"RegionNum\":0,\"RegionCategory\":null,\"ArticlePicture\":[],\"TitleCN\":null,\"AbstractTextCN\":null,\"PMCID\":null,\"EPubDate\":\"2011/12/14 0:00:00\",\"PubModel\":\"Epub\",\"JCR\":\"\",\"JCRName\":\"\",\"Score\":null,\"Total\":0}","platform":"Semanticscholar","paperid":null,"PeriodicalName":"Anatomy research international","FirstCategoryId":"1085","ListUrlMain":"https://doi.org/10.1155/2012/146262","RegionNum":0,"RegionCategory":null,"ArticlePicture":[],"TitleCN":null,"AbstractTextCN":null,"PMCID":null,"EPubDate":"2011/12/14 0:00:00","PubModel":"Epub","JCR":"","JCRName":"","Score":null,"Total":0}
引用次数: 23

摘要

现在这一代的研究生从小就沉浸在科技中,对数字资源有着很高的期望。为了更好地满足我院大体解剖学学生的期望,我们将一年级课程的放射学电子教学文件整理成一个网站。该网站是为提供与大体解剖学解剖和讲座直接相关的材料而定制的。快速链接提供了按解剖位置分组的图像集。此外,Lab和Study Companions提供了特定的材料供学生在讲座和大体解剖之前和之后复习。将学生对该教育资源的意见与上一年度数字教学文件的意见进行比较。新内容被评为更易于使用(3.1分对2.3分)和更有用的学习解剖学(3.3分对2.6分)。许多学生报告说,使用门户网站对帮助他们更好地理解解剖结构的关系至关重要。这些研究结果提示,一个组织良好的门户网站可以为正在学习大体解剖学的医学生提供一个用户友好的、有价值的教育资源。
本文章由计算机程序翻译,如有差异,请以英文原文为准。

Strategic improvements for gross anatomy web-based teaching.

Strategic improvements for gross anatomy web-based teaching.

Strategic improvements for gross anatomy web-based teaching.

Strategic improvements for gross anatomy web-based teaching.

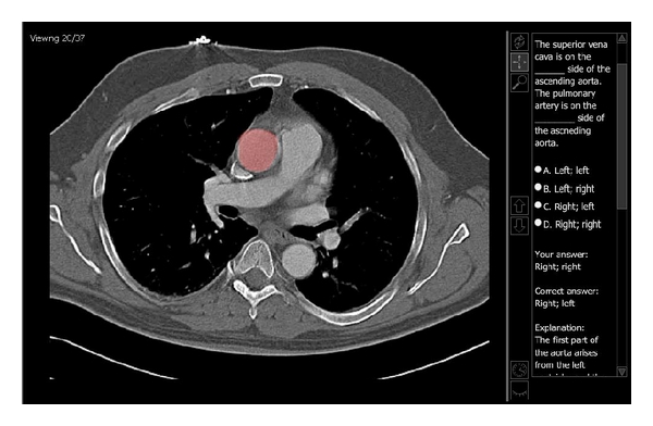
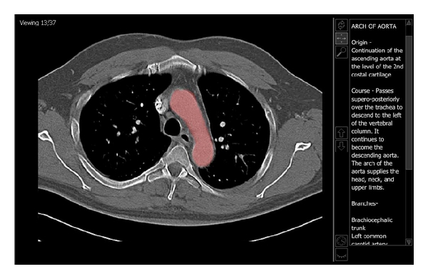
Current generations of graduate students have been immersed in technology from their early school years and have high expectations regarding digital resources. To better meet the expectations of Gross Anatomy students at our institution, electronic radiology teaching files for first-year coursework were organized into a web site. The web site was custom designed to provide material that directly correlated to the Gross Anatomy dissection and lectures. Quick links provided sets of images grouped by anatomic location. Additionally, Lab and Study Companions provided specific material for the students to review prior to and after lectures and gross dissections. Student opinions of this education resource were compared to student opinions of the prior year's digital teaching files. The new content was ranked as more user friendly (3.1 points versus 2.3 points) and more useful for learning anatomy (3.3 points versus 2.6 points). Many students reported that using the web portal was critical in helping them to better understand relationships of anatomical structures. These findings suggest that a well-organized web portal can provide a user-friendly, valuable educational resource for medical students who are studying Gross Anatomy.

求助全文
通过发布文献求助,成功后即可免费获取论文全文。 去求助
来源期刊
自引率
0.00%
发文量
0
×
引用
GB/T 7714-2015
复制
MLA
复制
APA
复制
导出至
BibTeX EndNote RefMan NoteFirst NoteExpress
×
提示
您的信息不完整,为了账户安全,请先补充。
现在去补充
×
提示
您因"违规操作"
具体请查看互助需知
我知道了
×
提示
确定
请完成安全验证×
copy
已复制链接
快去分享给好友吧!
我知道了
右上角分享
点击右上角分享
0
联系我们:info@booksci.cn Book学术提供免费学术资源搜索服务,方便国内外学者检索中英文文献。致力于提供最便捷和优质的服务体验。 Copyright © 2023 布克学术 All rights reserved.
京ICP备2023020795号-1
ghs 京公网安备 11010802042870号
Book学术文献互助
Book学术文献互助群
群 号:604180095
Book学术官方微信