阿萨姆山羊出生后发育过程中睾丸精系上皮的变化。

Anatomy research international Pub Date : 2012-01-01 Epub Date: 2012-02-14 DOI:10.1155/2012/620924
Kamal Sarma, J Devi
{"title":"阿萨姆山羊出生后发育过程中睾丸精系上皮的变化。","authors":"Kamal Sarma,&nbsp;J Devi","doi":"10.1155/2012/620924","DOIUrl":null,"url":null,"abstract":"<p><p>The present work is conducted to elucidate the postnatal development of the seminiferous epithelium of the testes of the Assam goats from 0 day to 10 months of age. A total of eighteen Assam goats divided into six age groups, namely, group-I (0-day), group-II (2 months), group-III (4 months), group-IV (6 months), group-V (8 months), and group-VI (10 months), consisting of 3 animals in each group were used in this study. The seminiferous tubules did not have lumina up to the age of 2 months, hence called the sex cords, and these contained centrally placed gonocytes and peripherally located sustentacular cells. Initiation of spermatogenesis started in 4-month old kids. Luminization process was completed by 6 months of age with all the seminiferous tubuyes having well-developed lumina at this age. These seminiferous tubules contained all the spermatogenic cells of the adult testis. Onset of puberty was observed to be established at 6 months of age in the Assam goats as evidenced by presence of spermatozoa adhering to the adluminal border of the Sertoli cells as well as in the tubular lumen. The histomorphology of various cells of the seminiferous epithelium has been described.</p>","PeriodicalId":89526,"journal":{"name":"Anatomy research international","volume":"2012 ","pages":"620924"},"PeriodicalIF":0.0000,"publicationDate":"2012-01-01","publicationTypes":"Journal Article","fieldsOfStudy":null,"isOpenAccess":false,"openAccessPdf":"https://sci-hub-pdf.com/10.1155/2012/620924","citationCount":"10","resultStr":"{\"title\":\"Changes in the Seminiferous Epithelium of the Testes during Postnatal Development in Assam Goat.\",\"authors\":\"Kamal Sarma,&nbsp;J Devi\",\"doi\":\"10.1155/2012/620924\",\"DOIUrl\":null,\"url\":null,\"abstract\":\"<p><p>The present work is conducted to elucidate the postnatal development of the seminiferous epithelium of the testes of the Assam goats from 0 day to 10 months of age. A total of eighteen Assam goats divided into six age groups, namely, group-I (0-day), group-II (2 months), group-III (4 months), group-IV (6 months), group-V (8 months), and group-VI (10 months), consisting of 3 animals in each group were used in this study. The seminiferous tubules did not have lumina up to the age of 2 months, hence called the sex cords, and these contained centrally placed gonocytes and peripherally located sustentacular cells. Initiation of spermatogenesis started in 4-month old kids. Luminization process was completed by 6 months of age with all the seminiferous tubuyes having well-developed lumina at this age. These seminiferous tubules contained all the spermatogenic cells of the adult testis. Onset of puberty was observed to be established at 6 months of age in the Assam goats as evidenced by presence of spermatozoa adhering to the adluminal border of the Sertoli cells as well as in the tubular lumen. The histomorphology of various cells of the seminiferous epithelium has been described.</p>\",\"PeriodicalId\":89526,\"journal\":{\"name\":\"Anatomy research international\",\"volume\":\"2012 \",\"pages\":\"620924\"},\"PeriodicalIF\":0.0000,\"publicationDate\":\"2012-01-01\",\"publicationTypes\":\"Journal Article\",\"fieldsOfStudy\":null,\"isOpenAccess\":false,\"openAccessPdf\":\"https://sci-hub-pdf.com/10.1155/2012/620924\",\"citationCount\":\"10\",\"resultStr\":null,\"platform\":\"Semanticscholar\",\"paperid\":null,\"PeriodicalName\":\"Anatomy research international\",\"FirstCategoryId\":\"1085\",\"ListUrlMain\":\"https://doi.org/10.1155/2012/620924\",\"RegionNum\":0,\"RegionCategory\":null,\"ArticlePicture\":[],\"TitleCN\":null,\"AbstractTextCN\":null,\"PMCID\":null,\"EPubDate\":\"2012/2/14 0:00:00\",\"PubModel\":\"Epub\",\"JCR\":\"\",\"JCRName\":\"\",\"Score\":null,\"Total\":0}","platform":"Semanticscholar","paperid":null,"PeriodicalName":"Anatomy research international","FirstCategoryId":"1085","ListUrlMain":"https://doi.org/10.1155/2012/620924","RegionNum":0,"RegionCategory":null,"ArticlePicture":[],"TitleCN":null,"AbstractTextCN":null,"PMCID":null,"EPubDate":"2012/2/14 0:00:00","PubModel":"Epub","JCR":"","JCRName":"","Score":null,"Total":0}
引用次数: 10

摘要

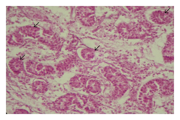
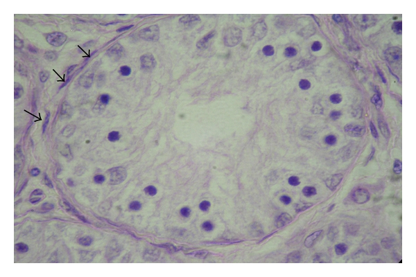
本研究旨在阐明0日龄至10个月龄阿萨姆山羊睾丸精系上皮的发育过程。试验选用18只阿萨姆山羊,分为6个年龄组,即i组(0天)、ii组(2个月)、iii组(4个月)、iv组(6个月)、v组(8个月)和vi组(10个月),每组3只。在2个月大之前,精小管没有腔隙,因此称为性索,其中包含位于中央的性腺细胞和位于周围的支撑细胞。精子发生开始于4个月大的孩子。发光过程在6个月大时完成,所有精管在这个年龄都有发育良好的管腔。这些精小管包含了成年睾丸的所有生精细胞。观察到阿萨姆山羊的青春期开始于6个月大,精子附着在支持细胞的腔内边界以及管状管腔中。已描述了精原上皮各种细胞的组织形态学。
本文章由计算机程序翻译,如有差异,请以英文原文为准。

Changes in the Seminiferous Epithelium of the Testes during Postnatal Development in Assam Goat.

Changes in the Seminiferous Epithelium of the Testes during Postnatal Development in Assam Goat.

Changes in the Seminiferous Epithelium of the Testes during Postnatal Development in Assam Goat.

Changes in the Seminiferous Epithelium of the Testes during Postnatal Development in Assam Goat.

The present work is conducted to elucidate the postnatal development of the seminiferous epithelium of the testes of the Assam goats from 0 day to 10 months of age. A total of eighteen Assam goats divided into six age groups, namely, group-I (0-day), group-II (2 months), group-III (4 months), group-IV (6 months), group-V (8 months), and group-VI (10 months), consisting of 3 animals in each group were used in this study. The seminiferous tubules did not have lumina up to the age of 2 months, hence called the sex cords, and these contained centrally placed gonocytes and peripherally located sustentacular cells. Initiation of spermatogenesis started in 4-month old kids. Luminization process was completed by 6 months of age with all the seminiferous tubuyes having well-developed lumina at this age. These seminiferous tubules contained all the spermatogenic cells of the adult testis. Onset of puberty was observed to be established at 6 months of age in the Assam goats as evidenced by presence of spermatozoa adhering to the adluminal border of the Sertoli cells as well as in the tubular lumen. The histomorphology of various cells of the seminiferous epithelium has been described.

求助全文
通过发布文献求助,成功后即可免费获取论文全文。 去求助
来源期刊
自引率
0.00%
发文量
0
×
引用
GB/T 7714-2015
复制
MLA
复制
APA
复制
导出至
BibTeX EndNote RefMan NoteFirst NoteExpress
×
提示
您的信息不完整,为了账户安全,请先补充。
现在去补充
×
提示
您因"违规操作"
具体请查看互助需知
我知道了
×
提示
确定
请完成安全验证×
copy
已复制链接
快去分享给好友吧!
我知道了
右上角分享
点击右上角分享
0
联系我们:info@booksci.cn Book学术提供免费学术资源搜索服务,方便国内外学者检索中英文文献。致力于提供最便捷和优质的服务体验。 Copyright © 2023 布克学术 All rights reserved.
京ICP备2023020795号-1
ghs 京公网安备 11010802042870号
Book学术文献互助
Book学术文献互助群
群 号:604180095
Book学术官方微信