卵母细胞形态与生殖结果-个案报告及文献复习。

IF 1.9
Raquel Meirelles Guimarães, Larissa Maciel Ribeiro, Lizandra Paravidine Sasaki, Hitomi Miura Nakagawa, Iris Oliveira Cabral
{"title":"卵母细胞形态与生殖结果-个案报告及文献复习。","authors":"Raquel Meirelles Guimarães,&nbsp;Larissa Maciel Ribeiro,&nbsp;Lizandra Paravidine Sasaki,&nbsp;Hitomi Miura Nakagawa,&nbsp;Iris Oliveira Cabral","doi":"10.5935/1518-0557.20210001","DOIUrl":null,"url":null,"abstract":"<p><p>Oocyte quality could be negatively affected by many factors including smoking, alcohol consumption, obesity, woman's age, endometriosis and controlled ovarian stimulation (COS), during assisted reproductive technology (ART), in addition to genetic factors, such as hormone receptor polymorphisms, for example. We know that the increase in the reactive oxygen species (ROS) due to systemic disorders causes biochemical and morphological changes to the oocytes, interfering with their quality. The oocyte dysmorphism can be expressed through intra and/or extra cytoplasmic changes. In general, the size and number of oocytes' morphological abnormalities are directly related to preimplantation development failure. This case report is based on four in vitro fertilization (IVF) cycles performed by a patient with oocyte dysmorphism in all oocytes captured. The literature review on this topic aims to relate the characteristics of the oocytes, presented in the case report, with research results about the quality and morphology of the oocytes.</p>","PeriodicalId":520656,"journal":{"name":"JBRA assisted reproduction","volume":" ","pages":"500-507"},"PeriodicalIF":1.9000,"publicationDate":"2021-07-21","publicationTypes":"Journal Article","fieldsOfStudy":null,"isOpenAccess":false,"openAccessPdf":"https://www.ncbi.nlm.nih.gov/pmc/articles/PMC8312307/pdf/","citationCount":"2","resultStr":"{\"title\":\"Oocyte Morphology and Reproductive Outcomes - Case Report and Literature Review.\",\"authors\":\"Raquel Meirelles Guimarães,&nbsp;Larissa Maciel Ribeiro,&nbsp;Lizandra Paravidine Sasaki,&nbsp;Hitomi Miura Nakagawa,&nbsp;Iris Oliveira Cabral\",\"doi\":\"10.5935/1518-0557.20210001\",\"DOIUrl\":null,\"url\":null,\"abstract\":\"<p><p>Oocyte quality could be negatively affected by many factors including smoking, alcohol consumption, obesity, woman's age, endometriosis and controlled ovarian stimulation (COS), during assisted reproductive technology (ART), in addition to genetic factors, such as hormone receptor polymorphisms, for example. We know that the increase in the reactive oxygen species (ROS) due to systemic disorders causes biochemical and morphological changes to the oocytes, interfering with their quality. The oocyte dysmorphism can be expressed through intra and/or extra cytoplasmic changes. In general, the size and number of oocytes' morphological abnormalities are directly related to preimplantation development failure. This case report is based on four in vitro fertilization (IVF) cycles performed by a patient with oocyte dysmorphism in all oocytes captured. The literature review on this topic aims to relate the characteristics of the oocytes, presented in the case report, with research results about the quality and morphology of the oocytes.</p>\",\"PeriodicalId\":520656,\"journal\":{\"name\":\"JBRA assisted reproduction\",\"volume\":\" \",\"pages\":\"500-507\"},\"PeriodicalIF\":1.9000,\"publicationDate\":\"2021-07-21\",\"publicationTypes\":\"Journal Article\",\"fieldsOfStudy\":null,\"isOpenAccess\":false,\"openAccessPdf\":\"https://www.ncbi.nlm.nih.gov/pmc/articles/PMC8312307/pdf/\",\"citationCount\":\"2\",\"resultStr\":null,\"platform\":\"Semanticscholar\",\"paperid\":null,\"PeriodicalName\":\"JBRA assisted reproduction\",\"FirstCategoryId\":\"1085\",\"ListUrlMain\":\"https://doi.org/10.5935/1518-0557.20210001\",\"RegionNum\":0,\"RegionCategory\":null,\"ArticlePicture\":[],\"TitleCN\":null,\"AbstractTextCN\":null,\"PMCID\":null,\"EPubDate\":\"\",\"PubModel\":\"\",\"JCR\":\"\",\"JCRName\":\"\",\"Score\":null,\"Total\":0}","platform":"Semanticscholar","paperid":null,"PeriodicalName":"JBRA assisted reproduction","FirstCategoryId":"1085","ListUrlMain":"https://doi.org/10.5935/1518-0557.20210001","RegionNum":0,"RegionCategory":null,"ArticlePicture":[],"TitleCN":null,"AbstractTextCN":null,"PMCID":null,"EPubDate":"","PubModel":"","JCR":"","JCRName":"","Score":null,"Total":0}
引用次数: 2

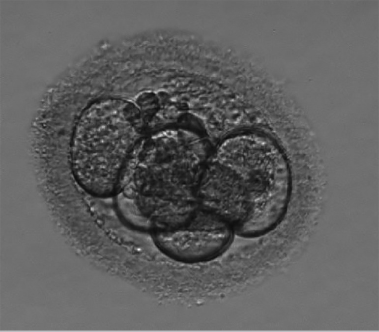
摘要

在辅助生殖技术(ART)过程中,除激素受体多态性等遗传因素外,许多因素可能对卵母细胞质量产生负面影响,包括吸烟、饮酒、肥胖、女性年龄、子宫内膜异位症和控制卵巢刺激(COS)。我们知道,由于全身疾病引起的活性氧(ROS)的增加会引起卵母细胞的生化和形态变化,干扰其质量。卵母细胞畸形可通过胞浆内和/或胞浆外改变表达。一般情况下,卵母细胞形态异常的大小和数量与着床前发育失败直接相关。本病例报告是基于四个体外受精(IVF)周期进行的患者与卵母细胞畸形在所有捕获的卵母细胞。本课题的文献综述旨在将病例报告中的卵母细胞特征与卵母细胞质量和形态的研究结果联系起来。
本文章由计算机程序翻译,如有差异,请以英文原文为准。

Oocyte Morphology and Reproductive Outcomes - Case Report and Literature Review.

Oocyte Morphology and Reproductive Outcomes - Case Report and Literature Review.

Oocyte Morphology and Reproductive Outcomes - Case Report and Literature Review.

Oocyte Morphology and Reproductive Outcomes - Case Report and Literature Review.

Oocyte quality could be negatively affected by many factors including smoking, alcohol consumption, obesity, woman's age, endometriosis and controlled ovarian stimulation (COS), during assisted reproductive technology (ART), in addition to genetic factors, such as hormone receptor polymorphisms, for example. We know that the increase in the reactive oxygen species (ROS) due to systemic disorders causes biochemical and morphological changes to the oocytes, interfering with their quality. The oocyte dysmorphism can be expressed through intra and/or extra cytoplasmic changes. In general, the size and number of oocytes' morphological abnormalities are directly related to preimplantation development failure. This case report is based on four in vitro fertilization (IVF) cycles performed by a patient with oocyte dysmorphism in all oocytes captured. The literature review on this topic aims to relate the characteristics of the oocytes, presented in the case report, with research results about the quality and morphology of the oocytes.

求助全文
通过发布文献求助,成功后即可免费获取论文全文。 去求助
来源期刊
自引率
0.00%
发文量
0
×
引用
GB/T 7714-2015
复制
MLA
复制
APA
复制
导出至
BibTeX EndNote RefMan NoteFirst NoteExpress
×
提示
您的信息不完整,为了账户安全,请先补充。
现在去补充
×
提示
您因"违规操作"
具体请查看互助需知
我知道了
×
提示
确定
请完成安全验证×
copy
已复制链接
快去分享给好友吧!
我知道了
右上角分享
点击右上角分享
0
联系我们:info@booksci.cn Book学术提供免费学术资源搜索服务,方便国内外学者检索中英文文献。致力于提供最便捷和优质的服务体验。 Copyright © 2023 布克学术 All rights reserved.
京ICP备2023020795号-1
ghs 京公网安备 11010802042870号
Book学术文献互助
Book学术文献互助群
群 号:604180095
Book学术官方微信