威尔基的减肥奇迹,一个案例系列。

Spartan medical research journal Pub Date : 2020-10-30
Akhlema Haidar, Alexandra Davies, Afzal Hussain, Samuel Gregerson, Dheeraj Thammineni, Johnathon Markus
{"title":"威尔基的减肥奇迹,一个案例系列。","authors":"Akhlema Haidar, Alexandra Davies, Afzal Hussain, Samuel Gregerson, Dheeraj Thammineni, Johnathon Markus","doi":"","DOIUrl":null,"url":null,"abstract":"<p><strong>Introduction: </strong>Wilkie's Syndrome, also known as Superior Mesenteric Artery Syndrome (SMAS), is a rare cause of bowel obstruction that can contribute to vague abdominal symptoms on clinical presentation. This syndrome occurs when the aortomesenteric angle decreases, compressing the third portion of the duodenum between the aorta and the superior mesenteric artery. An acute decrease in the mesenteric fat pad cushion between these two blood vessels is the primary etiology, although other causes (e.g., anatomical, postoperative, functional, and pubescent etiologies) have also been described.</p><p><strong>Case presentation: </strong>In the present cases, 2 females with a common history of recent weight loss presented to our institution with similar symptoms of abdominal pain, nausea and vomiting. Each patient was subsequently diagnosed with SMAS following imaging studies. Both patients experienced successful resolution of symptoms with conservative nutritional management.</p><p><strong>Discussion: </strong>Common presenting complaints of SMAS include nausea, vomiting, early satiety and postprandial pain. These symptoms overlap with other gastrointestinal disorders (i.e., mesenteric ischemia, intestinal volvulus, peptic ulcer disease) making diagnosis difficult. SMAS can be identified through imaging modalities including barium studies and computer tomography. First line therapies typically include conservative nutritional support and promotion of weight gain. If conservative therapies fail, various surgical procedures can be pursued. Delayed diagnosis can lead to further pathological sequelae, including duodenal compromise, ischemia and necrosis. As the syndrome progresses, success of conservative nutritional support is less likely, and surgical correction becomes increasingly necessary.</p><p><strong>Conclusion: </strong>Therefore, a clinical goal for SMAS should include as swift a recognition and diagnosis as possible.</p>","PeriodicalId":74853,"journal":{"name":"Spartan medical research journal","volume":"5 2","pages":"13485"},"PeriodicalIF":0.0000,"publicationDate":"2020-10-30","publicationTypes":"Journal Article","fieldsOfStudy":null,"isOpenAccess":false,"openAccessPdf":"https://www.ncbi.nlm.nih.gov/pmc/articles/PMC7746062/pdf/","citationCount":"0","resultStr":"{\"title\":\"Wilkie's Weight Loss Wonder, A Case Series.\",\"authors\":\"Akhlema Haidar, Alexandra Davies, Afzal Hussain, Samuel Gregerson, Dheeraj Thammineni, Johnathon Markus\",\"doi\":\"\",\"DOIUrl\":null,\"url\":null,\"abstract\":\"<p><strong>Introduction: </strong>Wilkie's Syndrome, also known as Superior Mesenteric Artery Syndrome (SMAS), is a rare cause of bowel obstruction that can contribute to vague abdominal symptoms on clinical presentation. This syndrome occurs when the aortomesenteric angle decreases, compressing the third portion of the duodenum between the aorta and the superior mesenteric artery. An acute decrease in the mesenteric fat pad cushion between these two blood vessels is the primary etiology, although other causes (e.g., anatomical, postoperative, functional, and pubescent etiologies) have also been described.</p><p><strong>Case presentation: </strong>In the present cases, 2 females with a common history of recent weight loss presented to our institution with similar symptoms of abdominal pain, nausea and vomiting. Each patient was subsequently diagnosed with SMAS following imaging studies. Both patients experienced successful resolution of symptoms with conservative nutritional management.</p><p><strong>Discussion: </strong>Common presenting complaints of SMAS include nausea, vomiting, early satiety and postprandial pain. These symptoms overlap with other gastrointestinal disorders (i.e., mesenteric ischemia, intestinal volvulus, peptic ulcer disease) making diagnosis difficult. SMAS can be identified through imaging modalities including barium studies and computer tomography. First line therapies typically include conservative nutritional support and promotion of weight gain. If conservative therapies fail, various surgical procedures can be pursued. Delayed diagnosis can lead to further pathological sequelae, including duodenal compromise, ischemia and necrosis. As the syndrome progresses, success of conservative nutritional support is less likely, and surgical correction becomes increasingly necessary.</p><p><strong>Conclusion: </strong>Therefore, a clinical goal for SMAS should include as swift a recognition and diagnosis as possible.</p>\",\"PeriodicalId\":74853,\"journal\":{\"name\":\"Spartan medical research journal\",\"volume\":\"5 2\",\"pages\":\"13485\"},\"PeriodicalIF\":0.0000,\"publicationDate\":\"2020-10-30\",\"publicationTypes\":\"Journal Article\",\"fieldsOfStudy\":null,\"isOpenAccess\":false,\"openAccessPdf\":\"https://www.ncbi.nlm.nih.gov/pmc/articles/PMC7746062/pdf/\",\"citationCount\":\"0\",\"resultStr\":null,\"platform\":\"Semanticscholar\",\"paperid\":null,\"PeriodicalName\":\"Spartan medical research journal\",\"FirstCategoryId\":\"1085\",\"ListUrlMain\":\"\",\"RegionNum\":0,\"RegionCategory\":null,\"ArticlePicture\":[],\"TitleCN\":null,\"AbstractTextCN\":null,\"PMCID\":null,\"EPubDate\":\"\",\"PubModel\":\"\",\"JCR\":\"\",\"JCRName\":\"\",\"Score\":null,\"Total\":0}","platform":"Semanticscholar","paperid":null,"PeriodicalName":"Spartan medical research journal","FirstCategoryId":"1085","ListUrlMain":"","RegionNum":0,"RegionCategory":null,"ArticlePicture":[],"TitleCN":null,"AbstractTextCN":null,"PMCID":null,"EPubDate":"","PubModel":"","JCR":"","JCRName":"","Score":null,"Total":0}
引用次数: 0

摘要

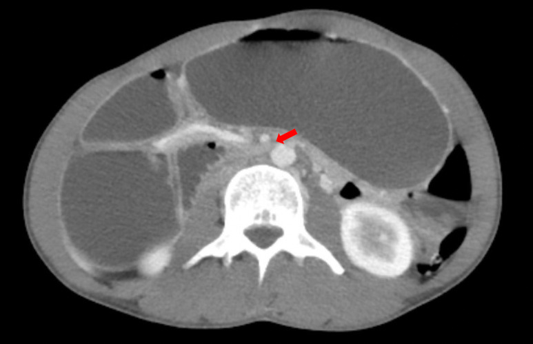
导言:威尔基综合征(Wilkie's Syndrome)又称肠系膜上动脉综合征(Superior Mesenteric Artery Syndrome,SMAS),是一种罕见的肠梗阻病因,在临床表现上可导致模糊的腹部症状。当主动脉-肠系膜夹角减小,压迫主动脉和肠系膜上动脉之间的十二指肠第三部分时,就会出现这种综合征。这两根血管之间的肠系膜脂肪垫缓冲区急剧下降是主要病因,但也有其他病因(如解剖、术后、功能和青春期病因)的描述:在本病例中,2 名女性患者均有近期体重减轻的病史,并伴有类似的腹痛、恶心和呕吐症状。经过影像学检查,两名患者均被诊断为 SMAS。通过保守的营养治疗,两名患者的症状均得到成功缓解:讨论:SMAS 的常见主诉包括恶心、呕吐、早饱和餐后疼痛。这些症状与其他胃肠道疾病(如肠系膜缺血、肠套叠、消化性溃疡病)重叠,导致诊断困难。SMAS 可通过钡餐检查和计算机断层扫描等影像学方式确定。一线疗法通常包括保守的营养支持和促进体重增加。如果保守疗法无效,可采取各种外科手术。延迟诊断会导致进一步的病理后遗症,包括十二指肠受损、缺血和坏死。随着综合征的发展,保守的营养支持成功的可能性越来越小,手术矫正变得越来越必要:因此,SMAS 的临床目标应包括尽可能迅速地识别和诊断。
本文章由计算机程序翻译,如有差异,请以英文原文为准。

Wilkie's Weight Loss Wonder, A Case Series.

Wilkie's Weight Loss Wonder, A Case Series.

Wilkie's Weight Loss Wonder, A Case Series.

Wilkie's Weight Loss Wonder, A Case Series.

Introduction: Wilkie's Syndrome, also known as Superior Mesenteric Artery Syndrome (SMAS), is a rare cause of bowel obstruction that can contribute to vague abdominal symptoms on clinical presentation. This syndrome occurs when the aortomesenteric angle decreases, compressing the third portion of the duodenum between the aorta and the superior mesenteric artery. An acute decrease in the mesenteric fat pad cushion between these two blood vessels is the primary etiology, although other causes (e.g., anatomical, postoperative, functional, and pubescent etiologies) have also been described.

Case presentation: In the present cases, 2 females with a common history of recent weight loss presented to our institution with similar symptoms of abdominal pain, nausea and vomiting. Each patient was subsequently diagnosed with SMAS following imaging studies. Both patients experienced successful resolution of symptoms with conservative nutritional management.

Discussion: Common presenting complaints of SMAS include nausea, vomiting, early satiety and postprandial pain. These symptoms overlap with other gastrointestinal disorders (i.e., mesenteric ischemia, intestinal volvulus, peptic ulcer disease) making diagnosis difficult. SMAS can be identified through imaging modalities including barium studies and computer tomography. First line therapies typically include conservative nutritional support and promotion of weight gain. If conservative therapies fail, various surgical procedures can be pursued. Delayed diagnosis can lead to further pathological sequelae, including duodenal compromise, ischemia and necrosis. As the syndrome progresses, success of conservative nutritional support is less likely, and surgical correction becomes increasingly necessary.

Conclusion: Therefore, a clinical goal for SMAS should include as swift a recognition and diagnosis as possible.

求助全文
通过发布文献求助,成功后即可免费获取论文全文。 去求助
来源期刊
自引率
0.00%
发文量
0
×
引用
GB/T 7714-2015
复制
MLA
复制
APA
复制
导出至
BibTeX EndNote RefMan NoteFirst NoteExpress
×
提示
您的信息不完整,为了账户安全,请先补充。
现在去补充
×
提示
您因"违规操作"
具体请查看互助需知
我知道了
×
提示
确定
请完成安全验证×
copy
已复制链接
快去分享给好友吧!
我知道了
右上角分享
点击右上角分享
0
联系我们:info@booksci.cn Book学术提供免费学术资源搜索服务,方便国内外学者检索中英文文献。致力于提供最便捷和优质的服务体验。 Copyright © 2023 布克学术 All rights reserved.
京ICP备2023020795号-1
ghs 京公网安备 11010802042870号
Book学术文献互助
Book学术文献互助群
群 号:604180095
Book学术官方微信