多模式脑监测引导麻醉管理改善功能连通性,促进恢复和减轻老年外科患者术后疼痛。

IF 3.7 3区 医学 Q2 GERIATRICS & GERONTOLOGY
Clinical Interventions in Aging Pub Date : 2025-10-15 eCollection Date: 2025-01-01 DOI:10.2147/CIA.S551727
Shuyi Yang, Shuai Feng, Hao Wu, Chonglin Zhong, Shubin Zhan, Chunxiu Wang, Zan Chen, Yaxian Huang, Guanxu Zhao, Yue Zhang, Tianlong Wang, Wei Xiao
{"title":"多模式脑监测引导麻醉管理改善功能连通性,促进恢复和减轻老年外科患者术后疼痛。","authors":"Shuyi Yang, Shuai Feng, Hao Wu, Chonglin Zhong, Shubin Zhan, Chunxiu Wang, Zan Chen, Yaxian Huang, Guanxu Zhao, Yue Zhang, Tianlong Wang, Wei Xiao","doi":"10.2147/CIA.S551727","DOIUrl":null,"url":null,"abstract":"<p><strong>Purpose: </strong>Perioperative neurocognitive disorder (PND) is common in elderly surgical patients and severely affects postoperative recovery. However, effective prevention is still lacking. Potential perioperative cerebral stressors (including inappropriate sedative/analgesic depth and imbalanced cerebral oxygen supply/demand) may be important contributing factors. We developed an anesthesia management protocol based on multimodal brain monitoring to achieve standardized, individualized, and real-time regulation of sedative/analgesic depth and cerebral oxygen saturation and investigated whether it could reduce the incidence of PND and its underlying mechanisms.</p><p><strong>Patients and methods: </strong>Patients (aged ≥65 years) were randomized into Groups C (n=88) and E (n=93). Patients in Group E received multimodal brain monitoring-guided anesthesia management, and those in Group C received BIS-guided anesthesia management. The Montreal Cognitive Assessment (MoCA) was performed both before and seven days after surgery. The postoperative pain scores were recorded. Resting-state functional MRI data were analyzed to examine functional connectivity (FC).</p><p><strong>Results: </strong>Group E demonstrated a numerically lower incidence of PND (15.50% vs 21.59% in Group C), but this difference was not statistically significant. Patients in Group E had increased FC within the right pulvinar, right sub-gyral region, and right inferior parietal lobule (<i>P</i> < 0.05). Significantly lower pain scores were observed in Group E at rest (1h: <i>P</i>=0.04; 24h: <i>P</i>=0.04) and during movement (1h: <i>P</i>=0.03).</p><p><strong>Conclusion: </strong>These results suggest that multimodal brain monitoring-guided anesthesia management may protect neurocognition by enhancing FC within cognition-associated brain regions and attenuating postoperative acute pain. And multimodal brain monitoring-guided anesthesia management may confer a clinically relevant reduction in PND incidence compared to BIS-guided management in elderly surgical patients.</p>","PeriodicalId":48841,"journal":{"name":"Clinical Interventions in Aging","volume":"20 ","pages":"1757-1771"},"PeriodicalIF":3.7000,"publicationDate":"2025-10-15","publicationTypes":"Journal Article","fieldsOfStudy":null,"isOpenAccess":false,"openAccessPdf":"https://www.ncbi.nlm.nih.gov/pmc/articles/PMC12535745/pdf/","citationCount":"0","resultStr":"{\"title\":\"Multimodal Brain Monitoring-Guided Anesthesia Management Improves Functional Connectivity, Enhances Recovery and Attenuates Postoperative Pain in Elderly Surgical Patients.\",\"authors\":\"Shuyi Yang, Shuai Feng, Hao Wu, Chonglin Zhong, Shubin Zhan, Chunxiu Wang, Zan Chen, Yaxian Huang, Guanxu Zhao, Yue Zhang, Tianlong Wang, Wei Xiao\",\"doi\":\"10.2147/CIA.S551727\",\"DOIUrl\":null,\"url\":null,\"abstract\":\"<p><strong>Purpose: </strong>Perioperative neurocognitive disorder (PND) is common in elderly surgical patients and severely affects postoperative recovery. However, effective prevention is still lacking. Potential perioperative cerebral stressors (including inappropriate sedative/analgesic depth and imbalanced cerebral oxygen supply/demand) may be important contributing factors. We developed an anesthesia management protocol based on multimodal brain monitoring to achieve standardized, individualized, and real-time regulation of sedative/analgesic depth and cerebral oxygen saturation and investigated whether it could reduce the incidence of PND and its underlying mechanisms.</p><p><strong>Patients and methods: </strong>Patients (aged ≥65 years) were randomized into Groups C (n=88) and E (n=93). Patients in Group E received multimodal brain monitoring-guided anesthesia management, and those in Group C received BIS-guided anesthesia management. The Montreal Cognitive Assessment (MoCA) was performed both before and seven days after surgery. The postoperative pain scores were recorded. Resting-state functional MRI data were analyzed to examine functional connectivity (FC).</p><p><strong>Results: </strong>Group E demonstrated a numerically lower incidence of PND (15.50% vs 21.59% in Group C), but this difference was not statistically significant. Patients in Group E had increased FC within the right pulvinar, right sub-gyral region, and right inferior parietal lobule (<i>P</i> < 0.05). Significantly lower pain scores were observed in Group E at rest (1h: <i>P</i>=0.04; 24h: <i>P</i>=0.04) and during movement (1h: <i>P</i>=0.03).</p><p><strong>Conclusion: </strong>These results suggest that multimodal brain monitoring-guided anesthesia management may protect neurocognition by enhancing FC within cognition-associated brain regions and attenuating postoperative acute pain. And multimodal brain monitoring-guided anesthesia management may confer a clinically relevant reduction in PND incidence compared to BIS-guided management in elderly surgical patients.</p>\",\"PeriodicalId\":48841,\"journal\":{\"name\":\"Clinical Interventions in Aging\",\"volume\":\"20 \",\"pages\":\"1757-1771\"},\"PeriodicalIF\":3.7000,\"publicationDate\":\"2025-10-15\",\"publicationTypes\":\"Journal Article\",\"fieldsOfStudy\":null,\"isOpenAccess\":false,\"openAccessPdf\":\"https://www.ncbi.nlm.nih.gov/pmc/articles/PMC12535745/pdf/\",\"citationCount\":\"0\",\"resultStr\":null,\"platform\":\"Semanticscholar\",\"paperid\":null,\"PeriodicalName\":\"Clinical Interventions in Aging\",\"FirstCategoryId\":\"3\",\"ListUrlMain\":\"https://doi.org/10.2147/CIA.S551727\",\"RegionNum\":3,\"RegionCategory\":\"医学\",\"ArticlePicture\":[],\"TitleCN\":null,\"AbstractTextCN\":null,\"PMCID\":null,\"EPubDate\":\"2025/1/1 0:00:00\",\"PubModel\":\"eCollection\",\"JCR\":\"Q2\",\"JCRName\":\"GERIATRICS & GERONTOLOGY\",\"Score\":null,\"Total\":0}","platform":"Semanticscholar","paperid":null,"PeriodicalName":"Clinical Interventions in Aging","FirstCategoryId":"3","ListUrlMain":"https://doi.org/10.2147/CIA.S551727","RegionNum":3,"RegionCategory":"医学","ArticlePicture":[],"TitleCN":null,"AbstractTextCN":null,"PMCID":null,"EPubDate":"2025/1/1 0:00:00","PubModel":"eCollection","JCR":"Q2","JCRName":"GERIATRICS & GERONTOLOGY","Score":null,"Total":0}
引用次数: 0

摘要

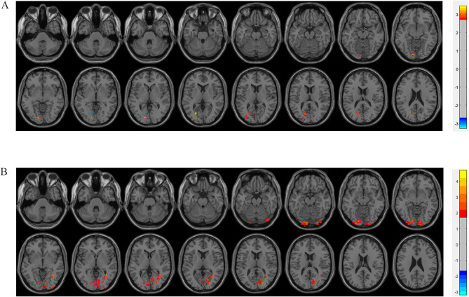
目的:围手术期神经认知障碍(PND)在老年外科患者中较为常见,严重影响术后恢复。然而,仍然缺乏有效的预防措施。围手术期潜在的脑应激源(包括不适当的镇静/镇痛深度和不平衡的脑氧供需)可能是重要的影响因素。我们制定了一种基于多模式脑监测的麻醉管理方案,以实现镇静/镇痛深度和脑氧饱和度的标准化、个体化和实时调节,并研究它是否可以降低PND的发生率及其潜在机制。患者和方法:年龄≥65岁的患者随机分为C组(n=88)和E组(n=93)。E组采用多模式脑监测引导麻醉管理,C组采用bis引导麻醉管理。术前和术后7天分别进行蒙特利尔认知评估(MoCA)。记录术后疼痛评分。分析静息状态功能MRI数据以检查功能连接(FC)。结果:E组PND的发生率较低(15.50% vs 21.59%),但差异无统计学意义。E组患者右侧枕后区、右侧回下区、右侧顶叶下小叶FC增高(P < 0.05)。E组静息时(1h: P=0.04; 24h: P=0.04)和运动时(1h: P=0.03)疼痛评分明显低于对照组。结论:这些结果表明,多模式脑监测引导麻醉管理可能通过增强认知相关脑区的FC和减轻术后急性疼痛来保护神经认知。在老年外科患者中,与bis引导的麻醉管理相比,多模式脑监测引导的麻醉管理可能会降低PND的发生率。
本文章由计算机程序翻译,如有差异,请以英文原文为准。

Multimodal Brain Monitoring-Guided Anesthesia Management Improves Functional Connectivity, Enhances Recovery and Attenuates Postoperative Pain in Elderly Surgical Patients.

Multimodal Brain Monitoring-Guided Anesthesia Management Improves Functional Connectivity, Enhances Recovery and Attenuates Postoperative Pain in Elderly Surgical Patients.

Multimodal Brain Monitoring-Guided Anesthesia Management Improves Functional Connectivity, Enhances Recovery and Attenuates Postoperative Pain in Elderly Surgical Patients.

Multimodal Brain Monitoring-Guided Anesthesia Management Improves Functional Connectivity, Enhances Recovery and Attenuates Postoperative Pain in Elderly Surgical Patients.

Purpose: Perioperative neurocognitive disorder (PND) is common in elderly surgical patients and severely affects postoperative recovery. However, effective prevention is still lacking. Potential perioperative cerebral stressors (including inappropriate sedative/analgesic depth and imbalanced cerebral oxygen supply/demand) may be important contributing factors. We developed an anesthesia management protocol based on multimodal brain monitoring to achieve standardized, individualized, and real-time regulation of sedative/analgesic depth and cerebral oxygen saturation and investigated whether it could reduce the incidence of PND and its underlying mechanisms.

Patients and methods: Patients (aged ≥65 years) were randomized into Groups C (n=88) and E (n=93). Patients in Group E received multimodal brain monitoring-guided anesthesia management, and those in Group C received BIS-guided anesthesia management. The Montreal Cognitive Assessment (MoCA) was performed both before and seven days after surgery. The postoperative pain scores were recorded. Resting-state functional MRI data were analyzed to examine functional connectivity (FC).

Results: Group E demonstrated a numerically lower incidence of PND (15.50% vs 21.59% in Group C), but this difference was not statistically significant. Patients in Group E had increased FC within the right pulvinar, right sub-gyral region, and right inferior parietal lobule (P < 0.05). Significantly lower pain scores were observed in Group E at rest (1h: P=0.04; 24h: P=0.04) and during movement (1h: P=0.03).

Conclusion: These results suggest that multimodal brain monitoring-guided anesthesia management may protect neurocognition by enhancing FC within cognition-associated brain regions and attenuating postoperative acute pain. And multimodal brain monitoring-guided anesthesia management may confer a clinically relevant reduction in PND incidence compared to BIS-guided management in elderly surgical patients.

求助全文
通过发布文献求助,成功后即可免费获取论文全文。 去求助
来源期刊
Clinical Interventions in Aging
Clinical Interventions in Aging GERIATRICS & GERONTOLOGY-
CiteScore
6.80
自引率
2.80%
发文量
193
审稿时长
6-12 weeks
期刊介绍: Clinical Interventions in Aging, is an online, peer reviewed, open access journal focusing on concise rapid reporting of original research and reviews in aging. Special attention will be given to papers reporting on actual or potential clinical applications leading to improved prevention or treatment of disease or a greater understanding of pathological processes that result from maladaptive changes in the body associated with aging. This journal is directed at a wide array of scientists, engineers, pharmacists, pharmacologists and clinical specialists wishing to maintain an up to date knowledge of this exciting and emerging field.
×
引用
GB/T 7714-2015
复制
MLA
复制
APA
复制
导出至
BibTeX EndNote RefMan NoteFirst NoteExpress
×
提示
您的信息不完整,为了账户安全,请先补充。
现在去补充
×
提示
您因"违规操作"
具体请查看互助需知
我知道了
×
提示
确定
请完成安全验证×
copy
已复制链接
快去分享给好友吧!
我知道了
右上角分享
点击右上角分享
0
联系我们:info@booksci.cn Book学术提供免费学术资源搜索服务,方便国内外学者检索中英文文献。致力于提供最便捷和优质的服务体验。 Copyright © 2023 布克学术 All rights reserved.
京ICP备2023020795号-1
ghs 京公网安备 11010802042870号
Book学术文献互助
Book学术文献互助群
群 号:604180095
Book学术官方微信