晚期胃肝样腺癌经免疫化疗及转化手术后病理完全缓解:罕见病例报告及文献复习。

IF 3.5 3区 医学 Q2 ONCOLOGY
Frontiers in Oncology Pub Date : 2025-10-02 eCollection Date: 2025-01-01 DOI:10.3389/fonc.2025.1648766
Yaoqi Li, You Wang, Tao Yu, Dong Wang, Hong Ma, Jichun Ma, Mingxu Da
{"title":"晚期胃肝样腺癌经免疫化疗及转化手术后病理完全缓解:罕见病例报告及文献复习。","authors":"Yaoqi Li, You Wang, Tao Yu, Dong Wang, Hong Ma, Jichun Ma, Mingxu Da","doi":"10.3389/fonc.2025.1648766","DOIUrl":null,"url":null,"abstract":"<p><strong>Background: </strong>Hepatoid adenocarcinoma of the stomach (HAS) is a rare subtype of gastric cancer (GC) characterized by alpha-fetoprotein (AFP) production and invasive liver and lymph node metastases, typically associated with a poor prognosis. Although immuno-chemotherapy has made significant achievements in the conversion therapy of advanced GC in recent years, the management of HER2-negative, proficient mismatch repair (pMMR), and a programmed cell death ligand-1 (PD-L1) combined positive score (CPS)<5 cases, particularly in the context of synchronous multiple liver metastases and lymph node involvement, poses significant challenges. This is attributable not only to its rapid progression but also to its poor prognosis. We retrospectively report a case of HAS with concurrent multiple liver and lymph node metastases. Following six cycles of immuno-chemotherapy, R0 resection was achieved, and postoperative pathological examination confirmed a pathological complete response (pCR). No recurrence or metastasis was observed at the 32-month postoperative follow-up (last follow-up: April 26, 2025). To our knowledge, no previous reports have documented pCR in HER2-negative, pMMR, and PD-L1 CPS<5 patients with advanced HAS following conversion therapy with combined immuno-chemotherapy. This report aims to provide further clinical reference for the treatment of advanced HAS.</p><p><strong>Case summary: </strong>A 51-year-old male patient was diagnosed with HAS accompanied by multiple liver and lymph node metastases. Following six cycles of immunotherapy (sintilimab) combined with chemotherapy (Nab-paclitaxel, oxaliplatin, and S-1), the primary tumor exhibited significant reduction. Multiple liver metastases showed partial shrinkage or disappearance (the target lesion diameter must be less than 10 mm), and retroperitoneal lymph nodes were no longer detectable. After thorough evaluation, R0 resection was deemed achievable. Therefore, radical distal gastrectomy with D2 lymphadenectomy and liver metastasectomy were performed. Postoperative pathology confirmed pCR. The patient has remained progression-free survival (PFS) for 32 months and overall survival (OS) for 38 months, with no evidence of recurrence or metastasis.</p><p><strong>Conclusion: </strong>HAS is a highly invasive malignant tumor of the stomach. The dynamic changes in AFP serve as a reliable indicator for detecting HAS, evaluating treatment efficacy, and predicting recurrence. In advanced HER-2-negative, PD-L1 CPS<5, pMMR-type HAS, employing a conversion therapy regimen combining sintilimab with Nab-paclitaxel, oxaliplatin, and S-1 may reduce tumor staging, enhance conversion therapy success rates, and prolong survival.</p>","PeriodicalId":12482,"journal":{"name":"Frontiers in Oncology","volume":"15 ","pages":"1648766"},"PeriodicalIF":3.5000,"publicationDate":"2025-10-02","publicationTypes":"Journal Article","fieldsOfStudy":null,"isOpenAccess":false,"openAccessPdf":"https://www.ncbi.nlm.nih.gov/pmc/articles/PMC12527888/pdf/","citationCount":"0","resultStr":"{\"title\":\"Pathologic complete response of advanced hepatoid adenocarcinoma of the stomach following immuno-chemotherapy and conversion surgery: a rare case report and review of the literature.\",\"authors\":\"Yaoqi Li, You Wang, Tao Yu, Dong Wang, Hong Ma, Jichun Ma, Mingxu Da\",\"doi\":\"10.3389/fonc.2025.1648766\",\"DOIUrl\":null,\"url\":null,\"abstract\":\"<p><strong>Background: </strong>Hepatoid adenocarcinoma of the stomach (HAS) is a rare subtype of gastric cancer (GC) characterized by alpha-fetoprotein (AFP) production and invasive liver and lymph node metastases, typically associated with a poor prognosis. Although immuno-chemotherapy has made significant achievements in the conversion therapy of advanced GC in recent years, the management of HER2-negative, proficient mismatch repair (pMMR), and a programmed cell death ligand-1 (PD-L1) combined positive score (CPS)<5 cases, particularly in the context of synchronous multiple liver metastases and lymph node involvement, poses significant challenges. This is attributable not only to its rapid progression but also to its poor prognosis. We retrospectively report a case of HAS with concurrent multiple liver and lymph node metastases. Following six cycles of immuno-chemotherapy, R0 resection was achieved, and postoperative pathological examination confirmed a pathological complete response (pCR). No recurrence or metastasis was observed at the 32-month postoperative follow-up (last follow-up: April 26, 2025). To our knowledge, no previous reports have documented pCR in HER2-negative, pMMR, and PD-L1 CPS<5 patients with advanced HAS following conversion therapy with combined immuno-chemotherapy. This report aims to provide further clinical reference for the treatment of advanced HAS.</p><p><strong>Case summary: </strong>A 51-year-old male patient was diagnosed with HAS accompanied by multiple liver and lymph node metastases. Following six cycles of immunotherapy (sintilimab) combined with chemotherapy (Nab-paclitaxel, oxaliplatin, and S-1), the primary tumor exhibited significant reduction. Multiple liver metastases showed partial shrinkage or disappearance (the target lesion diameter must be less than 10 mm), and retroperitoneal lymph nodes were no longer detectable. After thorough evaluation, R0 resection was deemed achievable. Therefore, radical distal gastrectomy with D2 lymphadenectomy and liver metastasectomy were performed. Postoperative pathology confirmed pCR. The patient has remained progression-free survival (PFS) for 32 months and overall survival (OS) for 38 months, with no evidence of recurrence or metastasis.</p><p><strong>Conclusion: </strong>HAS is a highly invasive malignant tumor of the stomach. The dynamic changes in AFP serve as a reliable indicator for detecting HAS, evaluating treatment efficacy, and predicting recurrence. In advanced HER-2-negative, PD-L1 CPS<5, pMMR-type HAS, employing a conversion therapy regimen combining sintilimab with Nab-paclitaxel, oxaliplatin, and S-1 may reduce tumor staging, enhance conversion therapy success rates, and prolong survival.</p>\",\"PeriodicalId\":12482,\"journal\":{\"name\":\"Frontiers in Oncology\",\"volume\":\"15 \",\"pages\":\"1648766\"},\"PeriodicalIF\":3.5000,\"publicationDate\":\"2025-10-02\",\"publicationTypes\":\"Journal Article\",\"fieldsOfStudy\":null,\"isOpenAccess\":false,\"openAccessPdf\":\"https://www.ncbi.nlm.nih.gov/pmc/articles/PMC12527888/pdf/\",\"citationCount\":\"0\",\"resultStr\":null,\"platform\":\"Semanticscholar\",\"paperid\":null,\"PeriodicalName\":\"Frontiers in Oncology\",\"FirstCategoryId\":\"3\",\"ListUrlMain\":\"https://doi.org/10.3389/fonc.2025.1648766\",\"RegionNum\":3,\"RegionCategory\":\"医学\",\"ArticlePicture\":[],\"TitleCN\":null,\"AbstractTextCN\":null,\"PMCID\":null,\"EPubDate\":\"2025/1/1 0:00:00\",\"PubModel\":\"eCollection\",\"JCR\":\"Q2\",\"JCRName\":\"ONCOLOGY\",\"Score\":null,\"Total\":0}","platform":"Semanticscholar","paperid":null,"PeriodicalName":"Frontiers in Oncology","FirstCategoryId":"3","ListUrlMain":"https://doi.org/10.3389/fonc.2025.1648766","RegionNum":3,"RegionCategory":"医学","ArticlePicture":[],"TitleCN":null,"AbstractTextCN":null,"PMCID":null,"EPubDate":"2025/1/1 0:00:00","PubModel":"eCollection","JCR":"Q2","JCRName":"ONCOLOGY","Score":null,"Total":0}
引用次数: 0

摘要

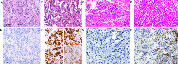
背景:胃肝样腺癌(HAS)是一种罕见的胃癌(GC)亚型,其特征是甲胎蛋白(AFP)的产生和浸润性肝脏和淋巴结转移,通常伴有预后不良。尽管近年来免疫化疗在晚期胃癌的转化治疗中取得了显著的成就,但her2阴性、熟练错配修复(pMMR)和程序性细胞死亡配体-1 (PD-L1)联合阳性评分(CPS)的管理。病例总结:51岁男性患者诊断为has伴多发肝、淋巴结转移。经过6个周期的免疫治疗(sintilimab)联合化疗(nab -紫杉醇、奥沙利铂和S-1),原发肿瘤明显减少。多发肝转移灶局部缩小或消失(靶灶直径小于10mm),腹膜后淋巴结消失。经过全面评估,R0切除是可以实现的。因此,我们行根治性远端胃切除术并D2淋巴结切除术和肝转移切除术。术后病理证实pCR。患者的无进展生存期(PFS)为32个月,总生存期(OS)为38个月,无复发或转移迹象。结论:HAS是一种高度侵袭性的胃恶性肿瘤。AFP的动态变化可作为检测HAS、评价治疗效果、预测复发的可靠指标。晚期her -2阴性,PD-L1 CPS
本文章由计算机程序翻译,如有差异,请以英文原文为准。

Pathologic complete response of advanced hepatoid adenocarcinoma of the stomach following immuno-chemotherapy and conversion surgery: a rare case report and review of the literature.

Pathologic complete response of advanced hepatoid adenocarcinoma of the stomach following immuno-chemotherapy and conversion surgery: a rare case report and review of the literature.

Pathologic complete response of advanced hepatoid adenocarcinoma of the stomach following immuno-chemotherapy and conversion surgery: a rare case report and review of the literature.

Pathologic complete response of advanced hepatoid adenocarcinoma of the stomach following immuno-chemotherapy and conversion surgery: a rare case report and review of the literature.

Background: Hepatoid adenocarcinoma of the stomach (HAS) is a rare subtype of gastric cancer (GC) characterized by alpha-fetoprotein (AFP) production and invasive liver and lymph node metastases, typically associated with a poor prognosis. Although immuno-chemotherapy has made significant achievements in the conversion therapy of advanced GC in recent years, the management of HER2-negative, proficient mismatch repair (pMMR), and a programmed cell death ligand-1 (PD-L1) combined positive score (CPS)<5 cases, particularly in the context of synchronous multiple liver metastases and lymph node involvement, poses significant challenges. This is attributable not only to its rapid progression but also to its poor prognosis. We retrospectively report a case of HAS with concurrent multiple liver and lymph node metastases. Following six cycles of immuno-chemotherapy, R0 resection was achieved, and postoperative pathological examination confirmed a pathological complete response (pCR). No recurrence or metastasis was observed at the 32-month postoperative follow-up (last follow-up: April 26, 2025). To our knowledge, no previous reports have documented pCR in HER2-negative, pMMR, and PD-L1 CPS<5 patients with advanced HAS following conversion therapy with combined immuno-chemotherapy. This report aims to provide further clinical reference for the treatment of advanced HAS.

Case summary: A 51-year-old male patient was diagnosed with HAS accompanied by multiple liver and lymph node metastases. Following six cycles of immunotherapy (sintilimab) combined with chemotherapy (Nab-paclitaxel, oxaliplatin, and S-1), the primary tumor exhibited significant reduction. Multiple liver metastases showed partial shrinkage or disappearance (the target lesion diameter must be less than 10 mm), and retroperitoneal lymph nodes were no longer detectable. After thorough evaluation, R0 resection was deemed achievable. Therefore, radical distal gastrectomy with D2 lymphadenectomy and liver metastasectomy were performed. Postoperative pathology confirmed pCR. The patient has remained progression-free survival (PFS) for 32 months and overall survival (OS) for 38 months, with no evidence of recurrence or metastasis.

Conclusion: HAS is a highly invasive malignant tumor of the stomach. The dynamic changes in AFP serve as a reliable indicator for detecting HAS, evaluating treatment efficacy, and predicting recurrence. In advanced HER-2-negative, PD-L1 CPS<5, pMMR-type HAS, employing a conversion therapy regimen combining sintilimab with Nab-paclitaxel, oxaliplatin, and S-1 may reduce tumor staging, enhance conversion therapy success rates, and prolong survival.

求助全文
通过发布文献求助,成功后即可免费获取论文全文。 去求助
来源期刊
Frontiers in Oncology
Frontiers in Oncology Biochemistry, Genetics and Molecular Biology-Cancer Research
CiteScore
6.20
自引率
10.60%
发文量
6641
审稿时长
14 weeks
期刊介绍: Cancer Imaging and Diagnosis is dedicated to the publication of results from clinical and research studies applied to cancer diagnosis and treatment. The section aims to publish studies from the entire field of cancer imaging: results from routine use of clinical imaging in both radiology and nuclear medicine, results from clinical trials, experimental molecular imaging in humans and small animals, research on new contrast agents in CT, MRI, ultrasound, publication of new technical applications and processing algorithms to improve the standardization of quantitative imaging and image guided interventions for the diagnosis and treatment of cancer.
×
引用
GB/T 7714-2015
复制
MLA
复制
APA
复制
导出至
BibTeX EndNote RefMan NoteFirst NoteExpress
×
提示
您的信息不完整,为了账户安全,请先补充。
现在去补充
×
提示
您因"违规操作"
具体请查看互助需知
我知道了
×
提示
确定
请完成安全验证×
copy
已复制链接
快去分享给好友吧!
我知道了
右上角分享
点击右上角分享
0
联系我们:info@booksci.cn Book学术提供免费学术资源搜索服务,方便国内外学者检索中英文文献。致力于提供最便捷和优质的服务体验。 Copyright © 2023 布克学术 All rights reserved.
京ICP备2023020795号-1
ghs 京公网安备 11010802042870号
Book学术文献互助
Book学术文献互助群
群 号:604180095
Book学术官方微信