膀胱EWSR1::BEND2融合肉瘤1例报告并文献复习。

IF 2.3 3区 医学 Q2 PATHOLOGY
Vili Halava, Jenni Tuominen, Paula Lindholm, Timo Kyyrönen, Markku Kallajoki, Katri Orte
{"title":"膀胱EWSR1::BEND2融合肉瘤1例报告并文献复习。","authors":"Vili Halava, Jenni Tuominen, Paula Lindholm, Timo Kyyrönen, Markku Kallajoki, Katri Orte","doi":"10.1186/s13000-025-01721-3","DOIUrl":null,"url":null,"abstract":"<p><p>In this case report we describe a Ewing-like high grade small round cell sarcoma of the urinary bladder in which an extremely rare EWSR1::BEND2 fusion was found. A 28-year-old male patient presented with hematuria and in the following examinations a large necrotic bladder tumor with spreading to adjacent prostatic tissue and multiple lung metastases were found. Histology showed a poorly differentiated small round cell tumor with perivascular rosettes and moderate membranous positivity for CD99. The methylation profile of the tumor did not match with any of the tumor entities grouped by the sarcoma classifier. With tumor agnostic methods, mainly next generation sequencing, novel fusions are being found at an accelerating rate. Our case adds to the expanding group of EWSR1 fusion neoplasms, and describes the effects of a Ewing sarcoma treatment protocol on this type of sarcoma. The relevance of traditional methods for detecting Ewing sarcoma with fluorescence in situ hybridization is decreasing as EWSR1 rearrangements are detected in tumors that show different clinical behavior and morphology. The classification of these tumors into WHO defined entities to guide treatment is a challenge.</p>","PeriodicalId":11237,"journal":{"name":"Diagnostic Pathology","volume":"20 1","pages":"116"},"PeriodicalIF":2.3000,"publicationDate":"2025-10-16","publicationTypes":"Journal Article","fieldsOfStudy":null,"isOpenAccess":false,"openAccessPdf":"https://www.ncbi.nlm.nih.gov/pmc/articles/PMC12533323/pdf/","citationCount":"0","resultStr":"{\"title\":\"EWSR1::BEND2 fusion sarcoma of the urinary bladder - a case report and review of literature.\",\"authors\":\"Vili Halava, Jenni Tuominen, Paula Lindholm, Timo Kyyrönen, Markku Kallajoki, Katri Orte\",\"doi\":\"10.1186/s13000-025-01721-3\",\"DOIUrl\":null,\"url\":null,\"abstract\":\"<p><p>In this case report we describe a Ewing-like high grade small round cell sarcoma of the urinary bladder in which an extremely rare EWSR1::BEND2 fusion was found. A 28-year-old male patient presented with hematuria and in the following examinations a large necrotic bladder tumor with spreading to adjacent prostatic tissue and multiple lung metastases were found. Histology showed a poorly differentiated small round cell tumor with perivascular rosettes and moderate membranous positivity for CD99. The methylation profile of the tumor did not match with any of the tumor entities grouped by the sarcoma classifier. With tumor agnostic methods, mainly next generation sequencing, novel fusions are being found at an accelerating rate. Our case adds to the expanding group of EWSR1 fusion neoplasms, and describes the effects of a Ewing sarcoma treatment protocol on this type of sarcoma. The relevance of traditional methods for detecting Ewing sarcoma with fluorescence in situ hybridization is decreasing as EWSR1 rearrangements are detected in tumors that show different clinical behavior and morphology. The classification of these tumors into WHO defined entities to guide treatment is a challenge.</p>\",\"PeriodicalId\":11237,\"journal\":{\"name\":\"Diagnostic Pathology\",\"volume\":\"20 1\",\"pages\":\"116\"},\"PeriodicalIF\":2.3000,\"publicationDate\":\"2025-10-16\",\"publicationTypes\":\"Journal Article\",\"fieldsOfStudy\":null,\"isOpenAccess\":false,\"openAccessPdf\":\"https://www.ncbi.nlm.nih.gov/pmc/articles/PMC12533323/pdf/\",\"citationCount\":\"0\",\"resultStr\":null,\"platform\":\"Semanticscholar\",\"paperid\":null,\"PeriodicalName\":\"Diagnostic Pathology\",\"FirstCategoryId\":\"3\",\"ListUrlMain\":\"https://doi.org/10.1186/s13000-025-01721-3\",\"RegionNum\":3,\"RegionCategory\":\"医学\",\"ArticlePicture\":[],\"TitleCN\":null,\"AbstractTextCN\":null,\"PMCID\":null,\"EPubDate\":\"\",\"PubModel\":\"\",\"JCR\":\"Q2\",\"JCRName\":\"PATHOLOGY\",\"Score\":null,\"Total\":0}","platform":"Semanticscholar","paperid":null,"PeriodicalName":"Diagnostic Pathology","FirstCategoryId":"3","ListUrlMain":"https://doi.org/10.1186/s13000-025-01721-3","RegionNum":3,"RegionCategory":"医学","ArticlePicture":[],"TitleCN":null,"AbstractTextCN":null,"PMCID":null,"EPubDate":"","PubModel":"","JCR":"Q2","JCRName":"PATHOLOGY","Score":null,"Total":0}
引用次数: 0

摘要

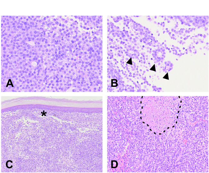
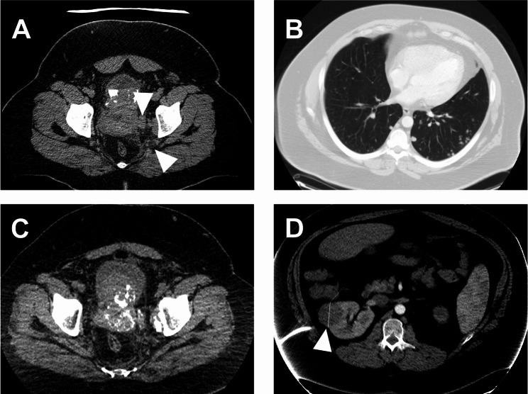
在这个病例报告中,我们描述了一例膀胱尤文样高级别小圆细胞肉瘤,其中发现了极其罕见的EWSR1::BEND2融合。一位28岁的男性患者以血尿表现,在随后的检查中发现了一个大的坏死性膀胱肿瘤,并扩散到邻近的前列腺组织和多发肺转移。组织学表现为低分化小圆细胞瘤,伴血管周围玫瑰花状组织,CD99中度膜性阳性。肿瘤的甲基化谱与肉瘤分类器分组的任何肿瘤实体都不匹配。随着肿瘤诊断方法,主要是下一代测序,新的融合正在加速被发现。我们的病例加入了不断扩大的EWSR1融合肿瘤组,并描述了尤因肉瘤治疗方案对这种类型肉瘤的影响。随着在表现出不同临床行为和形态的肿瘤中检测到EWSR1重排,荧光原位杂交检测Ewing肉瘤的传统方法的相关性正在下降。将这些肿瘤分类为世卫组织定义的实体以指导治疗是一项挑战。
本文章由计算机程序翻译,如有差异,请以英文原文为准。

EWSR1::BEND2 fusion sarcoma of the urinary bladder - a case report and review of literature.

EWSR1::BEND2 fusion sarcoma of the urinary bladder - a case report and review of literature.

EWSR1::BEND2 fusion sarcoma of the urinary bladder - a case report and review of literature.

EWSR1::BEND2 fusion sarcoma of the urinary bladder - a case report and review of literature.

In this case report we describe a Ewing-like high grade small round cell sarcoma of the urinary bladder in which an extremely rare EWSR1::BEND2 fusion was found. A 28-year-old male patient presented with hematuria and in the following examinations a large necrotic bladder tumor with spreading to adjacent prostatic tissue and multiple lung metastases were found. Histology showed a poorly differentiated small round cell tumor with perivascular rosettes and moderate membranous positivity for CD99. The methylation profile of the tumor did not match with any of the tumor entities grouped by the sarcoma classifier. With tumor agnostic methods, mainly next generation sequencing, novel fusions are being found at an accelerating rate. Our case adds to the expanding group of EWSR1 fusion neoplasms, and describes the effects of a Ewing sarcoma treatment protocol on this type of sarcoma. The relevance of traditional methods for detecting Ewing sarcoma with fluorescence in situ hybridization is decreasing as EWSR1 rearrangements are detected in tumors that show different clinical behavior and morphology. The classification of these tumors into WHO defined entities to guide treatment is a challenge.

求助全文
通过发布文献求助,成功后即可免费获取论文全文。 去求助
来源期刊
Diagnostic Pathology
Diagnostic Pathology 医学-病理学
CiteScore
4.60
自引率
0.00%
发文量
93
审稿时长
1 months
期刊介绍: Diagnostic Pathology is an open access, peer-reviewed, online journal that considers research in surgical and clinical pathology, immunology, and biology, with a special focus on cutting-edge approaches in diagnostic pathology and tissue-based therapy. The journal covers all aspects of surgical pathology, including classic diagnostic pathology, prognosis-related diagnosis (tumor stages, prognosis markers, such as MIB-percentage, hormone receptors, etc.), and therapy-related findings. The journal also focuses on the technological aspects of pathology, including molecular biology techniques, morphometry aspects (stereology, DNA analysis, syntactic structure analysis), communication aspects (telecommunication, virtual microscopy, virtual pathology institutions, etc.), and electronic education and quality assurance (for example interactive publication, on-line references with automated updating, etc.).
×
引用
GB/T 7714-2015
复制
MLA
复制
APA
复制
导出至
BibTeX EndNote RefMan NoteFirst NoteExpress
×
提示
您的信息不完整,为了账户安全,请先补充。
现在去补充
×
提示
您因"违规操作"
具体请查看互助需知
我知道了
×
提示
确定
请完成安全验证×
copy
已复制链接
快去分享给好友吧!
我知道了
右上角分享
点击右上角分享
0
联系我们:info@booksci.cn Book学术提供免费学术资源搜索服务,方便国内外学者检索中英文文献。致力于提供最便捷和优质的服务体验。 Copyright © 2023 布克学术 All rights reserved.
京ICP备2023020795号-1
ghs 京公网安备 11010802042870号
Book学术文献互助
Book学术文献互助群
群 号:604180095
Book学术官方微信