中低收入国家以同性性青春期和双侧卵巢肿块为表现的先天性甲状腺功能减退症诊治面临的挑战:1例报告

IF 3.3 3区 医学 Q3 ENDOCRINOLOGY & METABOLISM
Ashagre Gebremichael Ganta, Wintana Tesfaye Desta
{"title":"中低收入国家以同性性青春期和双侧卵巢肿块为表现的先天性甲状腺功能减退症诊治面临的挑战:1例报告","authors":"Ashagre Gebremichael Ganta, Wintana Tesfaye Desta","doi":"10.1186/s12902-025-02058-0","DOIUrl":null,"url":null,"abstract":"<p><p>Congenital hypothyroidism (CH) is a prevalent condition that can lead to significant neurodevelopmental issues in infants if not diagnosed and treated promptly. Van Wyk and Grumbach Syndrome (VWGS), characterized by hypothyroidism, precocious puberty, and ovarian masses, is often misdiagnosed in low- and middle-income countries (LMICs) due to limited diagnostic resources. This case highlights systemic challenges, including delayed diagnosis and unnecessary surgical referrals.We present an 8-year-old girl diagnosed with Van Wyk-Grumbach syndrome, characterized by severe hypothyroidism, isosexual precocious puberty, and ovarian hyperstimulation. She exhibited symptoms including vaginal bleeding, abdominal distention, and marked obesity with stunted growth. Investigations revealed severe hypothyroidism (TSH: 96 mU/L) and enlarged bilateral ovarian cysts. After initiating levothyroxine therapy, the patient demonstrated remarkable clinical improvement, including reduced abdominal swelling and normalizing thyroid function. This case underscores the importance of considering hypothyroidism in differential diagnoses of ovarian masses in children, especially in regions lacking newborn screening protocols, to prevent unnecessary surgical interventions and ensure appropriate management of the condition.</p>","PeriodicalId":9152,"journal":{"name":"BMC Endocrine Disorders","volume":"25 1","pages":"234"},"PeriodicalIF":3.3000,"publicationDate":"2025-10-16","publicationTypes":"Journal Article","fieldsOfStudy":null,"isOpenAccess":false,"openAccessPdf":"https://www.ncbi.nlm.nih.gov/pmc/articles/PMC12532396/pdf/","citationCount":"0","resultStr":"{\"title\":\"Challenge faced in diagnosis and treatment of congenital hypothyroidism presenting with isosexual puberty and bilateral ovarian mass in low and middle income country: a case report.\",\"authors\":\"Ashagre Gebremichael Ganta, Wintana Tesfaye Desta\",\"doi\":\"10.1186/s12902-025-02058-0\",\"DOIUrl\":null,\"url\":null,\"abstract\":\"<p><p>Congenital hypothyroidism (CH) is a prevalent condition that can lead to significant neurodevelopmental issues in infants if not diagnosed and treated promptly. Van Wyk and Grumbach Syndrome (VWGS), characterized by hypothyroidism, precocious puberty, and ovarian masses, is often misdiagnosed in low- and middle-income countries (LMICs) due to limited diagnostic resources. This case highlights systemic challenges, including delayed diagnosis and unnecessary surgical referrals.We present an 8-year-old girl diagnosed with Van Wyk-Grumbach syndrome, characterized by severe hypothyroidism, isosexual precocious puberty, and ovarian hyperstimulation. She exhibited symptoms including vaginal bleeding, abdominal distention, and marked obesity with stunted growth. Investigations revealed severe hypothyroidism (TSH: 96 mU/L) and enlarged bilateral ovarian cysts. After initiating levothyroxine therapy, the patient demonstrated remarkable clinical improvement, including reduced abdominal swelling and normalizing thyroid function. This case underscores the importance of considering hypothyroidism in differential diagnoses of ovarian masses in children, especially in regions lacking newborn screening protocols, to prevent unnecessary surgical interventions and ensure appropriate management of the condition.</p>\",\"PeriodicalId\":9152,\"journal\":{\"name\":\"BMC Endocrine Disorders\",\"volume\":\"25 1\",\"pages\":\"234\"},\"PeriodicalIF\":3.3000,\"publicationDate\":\"2025-10-16\",\"publicationTypes\":\"Journal Article\",\"fieldsOfStudy\":null,\"isOpenAccess\":false,\"openAccessPdf\":\"https://www.ncbi.nlm.nih.gov/pmc/articles/PMC12532396/pdf/\",\"citationCount\":\"0\",\"resultStr\":null,\"platform\":\"Semanticscholar\",\"paperid\":null,\"PeriodicalName\":\"BMC Endocrine Disorders\",\"FirstCategoryId\":\"3\",\"ListUrlMain\":\"https://doi.org/10.1186/s12902-025-02058-0\",\"RegionNum\":3,\"RegionCategory\":\"医学\",\"ArticlePicture\":[],\"TitleCN\":null,\"AbstractTextCN\":null,\"PMCID\":null,\"EPubDate\":\"\",\"PubModel\":\"\",\"JCR\":\"Q3\",\"JCRName\":\"ENDOCRINOLOGY & METABOLISM\",\"Score\":null,\"Total\":0}","platform":"Semanticscholar","paperid":null,"PeriodicalName":"BMC Endocrine Disorders","FirstCategoryId":"3","ListUrlMain":"https://doi.org/10.1186/s12902-025-02058-0","RegionNum":3,"RegionCategory":"医学","ArticlePicture":[],"TitleCN":null,"AbstractTextCN":null,"PMCID":null,"EPubDate":"","PubModel":"","JCR":"Q3","JCRName":"ENDOCRINOLOGY & METABOLISM","Score":null,"Total":0}
引用次数: 0

摘要

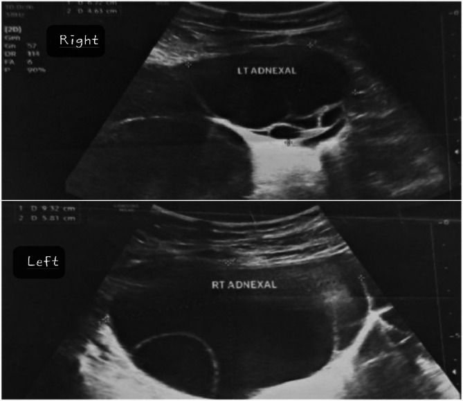
先天性甲状腺功能减退症(CH)是一种常见的疾病,如果不及时诊断和治疗,可导致婴儿显著的神经发育问题。Van Wyk和Grumbach综合征(VWGS)以甲状腺功能减退、性早熟和卵巢肿块为特征,由于诊断资源有限,在中低收入国家(LMICs)经常被误诊。这个病例强调了系统性的挑战,包括延迟诊断和不必要的手术转诊。我们报告一个8岁的女孩被诊断为Van Wyk-Grumbach综合征,其特征是严重的甲状腺功能减退,同性性早熟和卵巢过度刺激。她的症状包括阴道出血、腹胀和明显的肥胖并发育不良。检查显示严重甲状腺功能减退(TSH: 96 mU/L)和双侧卵巢囊肿增大。在开始左旋甲状腺素治疗后,患者表现出显著的临床改善,包括腹部肿胀减轻和甲状腺功能正常化。本病例强调了在儿童卵巢肿块鉴别诊断中考虑甲状腺功能减退的重要性,特别是在缺乏新生儿筛查方案的地区,以防止不必要的手术干预并确保对病情的适当管理。
本文章由计算机程序翻译,如有差异,请以英文原文为准。

Challenge faced in diagnosis and treatment of congenital hypothyroidism presenting with isosexual puberty and bilateral ovarian mass in low and middle income country: a case report.

Challenge faced in diagnosis and treatment of congenital hypothyroidism presenting with isosexual puberty and bilateral ovarian mass in low and middle income country: a case report.

Challenge faced in diagnosis and treatment of congenital hypothyroidism presenting with isosexual puberty and bilateral ovarian mass in low and middle income country: a case report.

Challenge faced in diagnosis and treatment of congenital hypothyroidism presenting with isosexual puberty and bilateral ovarian mass in low and middle income country: a case report.

Congenital hypothyroidism (CH) is a prevalent condition that can lead to significant neurodevelopmental issues in infants if not diagnosed and treated promptly. Van Wyk and Grumbach Syndrome (VWGS), characterized by hypothyroidism, precocious puberty, and ovarian masses, is often misdiagnosed in low- and middle-income countries (LMICs) due to limited diagnostic resources. This case highlights systemic challenges, including delayed diagnosis and unnecessary surgical referrals.We present an 8-year-old girl diagnosed with Van Wyk-Grumbach syndrome, characterized by severe hypothyroidism, isosexual precocious puberty, and ovarian hyperstimulation. She exhibited symptoms including vaginal bleeding, abdominal distention, and marked obesity with stunted growth. Investigations revealed severe hypothyroidism (TSH: 96 mU/L) and enlarged bilateral ovarian cysts. After initiating levothyroxine therapy, the patient demonstrated remarkable clinical improvement, including reduced abdominal swelling and normalizing thyroid function. This case underscores the importance of considering hypothyroidism in differential diagnoses of ovarian masses in children, especially in regions lacking newborn screening protocols, to prevent unnecessary surgical interventions and ensure appropriate management of the condition.

求助全文
通过发布文献求助,成功后即可免费获取论文全文。 去求助
来源期刊
BMC Endocrine Disorders
BMC Endocrine Disorders ENDOCRINOLOGY & METABOLISM-
CiteScore
4.40
自引率
0.00%
发文量
280
审稿时长
>12 weeks
期刊介绍: BMC Endocrine Disorders is an open access, peer-reviewed journal that considers articles on all aspects of the prevention, diagnosis and management of endocrine disorders, as well as related molecular genetics, pathophysiology, and epidemiology.
×
引用
GB/T 7714-2015
复制
MLA
复制
APA
复制
导出至
BibTeX EndNote RefMan NoteFirst NoteExpress
×
提示
您的信息不完整,为了账户安全,请先补充。
现在去补充
×
提示
您因"违规操作"
具体请查看互助需知
我知道了
×
提示
确定
请完成安全验证×
copy
已复制链接
快去分享给好友吧!
我知道了
右上角分享
点击右上角分享
0
联系我们:info@booksci.cn Book学术提供免费学术资源搜索服务,方便国内外学者检索中英文文献。致力于提供最便捷和优质的服务体验。 Copyright © 2023 布克学术 All rights reserved.
京ICP备2023020795号-1
ghs 京公网安备 11010802042870号
Book学术文献互助
Book学术文献互助群
群 号:604180095
Book学术官方微信