MNGIE表型谱的扩展:与p.Arg393_Val400dup TYMP变异相关的脂肪营养不良和代谢改变

IF 4.9 2区 生物学
Donatella Gilio, Caterina Pelosini, Silvia Magno, Jacopo Maria Venanzi, Marta Daniotti, Melania Paoli, Lavinia Palladino, Maria Rita Sessa, Franco Ricci, Elena Procopio, Giovanni Ceccarini, Ferruccio Santini
{"title":"MNGIE表型谱的扩展:与p.Arg393_Val400dup TYMP变异相关的脂肪营养不良和代谢改变","authors":"Donatella Gilio, Caterina Pelosini, Silvia Magno, Jacopo Maria Venanzi, Marta Daniotti, Melania Paoli, Lavinia Palladino, Maria Rita Sessa, Franco Ricci, Elena Procopio, Giovanni Ceccarini, Ferruccio Santini","doi":"10.3390/ijms26199751","DOIUrl":null,"url":null,"abstract":"<p><p>Mitochondrial neurogastrointestinal encephalomyopathy (MNGIE) is a rare autosomal recessive disorder caused by mutations in the <i>TYMP</i> gene, typically characterized by severe and progressive gastrointestinal and neurological manifestations. Recent reports have identified a subset of patients presenting with generalized lipodystrophy and metabolic abnormalities, suggesting that adipose tissue involvement may be an underrecognized feature of the disease. Herein, we report the case of a 16-year-old female carrying a previously described homozygous <i>TYMP</i> variant (c.1178_1201dup; p.Arg393_Val400dup), who presented during adolescence with generalized lipodystrophy, insulin resistance, hypertriglyceridemia, hepatic steatosis, and other metabolic complications. At diagnosis, she exhibited no overt neurological or gastrointestinal symptoms; however, electroneurography revealed subclinical peripheral neuropathy. This case broadens the phenotypic spectrum of TYMP-related disease by documenting a lipodystrophic and metabolic presentation associated with the p.Arg393_Val400dup variant. While <i>TYMP</i> mutations have been linked to lipodystrophy in rare cases, this specific variant had previously been reported only in the context of classical MNGIE, with no documented evidence of adipose tissue or metabolic derangement. Our findings highlight the importance of considering <i>TYMP</i> involvement in the differential diagnosis of atypical lipodystrophy syndromes, particularly when features suggest underlying mitochondrial dysfunction.</p>","PeriodicalId":14156,"journal":{"name":"International Journal of Molecular Sciences","volume":"26 19","pages":""},"PeriodicalIF":4.9000,"publicationDate":"2025-10-07","publicationTypes":"Journal Article","fieldsOfStudy":null,"isOpenAccess":false,"openAccessPdf":"https://www.ncbi.nlm.nih.gov/pmc/articles/PMC12525126/pdf/","citationCount":"0","resultStr":"{\"title\":\"Expansion of the Phenotypic Spectrum of MNGIE: Lipodystrophy and Metabolic Alterations Associated with a p.Arg393_Val400dup TYMP Variant.\",\"authors\":\"Donatella Gilio, Caterina Pelosini, Silvia Magno, Jacopo Maria Venanzi, Marta Daniotti, Melania Paoli, Lavinia Palladino, Maria Rita Sessa, Franco Ricci, Elena Procopio, Giovanni Ceccarini, Ferruccio Santini\",\"doi\":\"10.3390/ijms26199751\",\"DOIUrl\":null,\"url\":null,\"abstract\":\"<p><p>Mitochondrial neurogastrointestinal encephalomyopathy (MNGIE) is a rare autosomal recessive disorder caused by mutations in the <i>TYMP</i> gene, typically characterized by severe and progressive gastrointestinal and neurological manifestations. Recent reports have identified a subset of patients presenting with generalized lipodystrophy and metabolic abnormalities, suggesting that adipose tissue involvement may be an underrecognized feature of the disease. Herein, we report the case of a 16-year-old female carrying a previously described homozygous <i>TYMP</i> variant (c.1178_1201dup; p.Arg393_Val400dup), who presented during adolescence with generalized lipodystrophy, insulin resistance, hypertriglyceridemia, hepatic steatosis, and other metabolic complications. At diagnosis, she exhibited no overt neurological or gastrointestinal symptoms; however, electroneurography revealed subclinical peripheral neuropathy. This case broadens the phenotypic spectrum of TYMP-related disease by documenting a lipodystrophic and metabolic presentation associated with the p.Arg393_Val400dup variant. While <i>TYMP</i> mutations have been linked to lipodystrophy in rare cases, this specific variant had previously been reported only in the context of classical MNGIE, with no documented evidence of adipose tissue or metabolic derangement. Our findings highlight the importance of considering <i>TYMP</i> involvement in the differential diagnosis of atypical lipodystrophy syndromes, particularly when features suggest underlying mitochondrial dysfunction.</p>\",\"PeriodicalId\":14156,\"journal\":{\"name\":\"International Journal of Molecular Sciences\",\"volume\":\"26 19\",\"pages\":\"\"},\"PeriodicalIF\":4.9000,\"publicationDate\":\"2025-10-07\",\"publicationTypes\":\"Journal Article\",\"fieldsOfStudy\":null,\"isOpenAccess\":false,\"openAccessPdf\":\"https://www.ncbi.nlm.nih.gov/pmc/articles/PMC12525126/pdf/\",\"citationCount\":\"0\",\"resultStr\":null,\"platform\":\"Semanticscholar\",\"paperid\":null,\"PeriodicalName\":\"International Journal of Molecular Sciences\",\"FirstCategoryId\":\"99\",\"ListUrlMain\":\"https://doi.org/10.3390/ijms26199751\",\"RegionNum\":2,\"RegionCategory\":\"生物学\",\"ArticlePicture\":[],\"TitleCN\":null,\"AbstractTextCN\":null,\"PMCID\":null,\"EPubDate\":\"\",\"PubModel\":\"\",\"JCR\":\"\",\"JCRName\":\"\",\"Score\":null,\"Total\":0}","platform":"Semanticscholar","paperid":null,"PeriodicalName":"International Journal of Molecular Sciences","FirstCategoryId":"99","ListUrlMain":"https://doi.org/10.3390/ijms26199751","RegionNum":2,"RegionCategory":"生物学","ArticlePicture":[],"TitleCN":null,"AbstractTextCN":null,"PMCID":null,"EPubDate":"","PubModel":"","JCR":"","JCRName":"","Score":null,"Total":0}
引用次数: 0

摘要

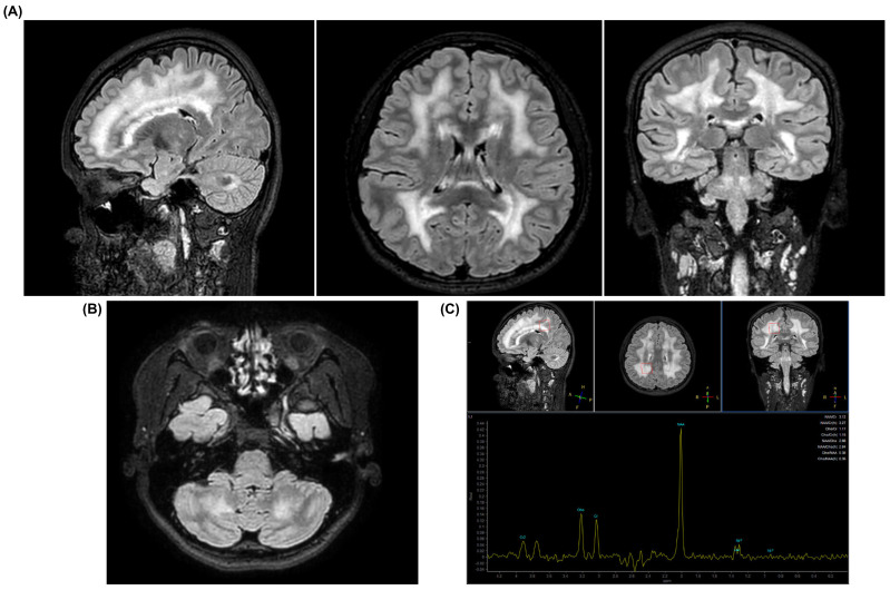
线粒体神经胃肠道脑肌病(MNGIE)是一种罕见的常染色体隐性遗传病,由TYMP基因突变引起,典型特征是严重和进行性胃肠道和神经系统表现。最近的报道已经确定了一组患者表现为全身性脂肪营养不良和代谢异常,这表明脂肪组织的累及可能是该疾病的一个未被认识的特征。在此,我们报告了一名16岁女性携带先前描述的TYMP纯合变体(c.1178_1201dup; p.Arg393_Val400dup)的病例,她在青春期表现为全身性脂肪营养不良、胰岛素抵抗、高甘油三酯血症、肝脂肪变性和其他代谢并发症。在诊断时,她没有表现出明显的神经或胃肠道症状;然而,神经电图显示亚临床周围神经病变。该病例通过记录与p.a arg393_val400dup变异相关的脂肪营养不良和代谢表现,拓宽了tymp相关疾病的表型谱。虽然TYMP突变在罕见的病例中与脂肪营养不良有关,但这种特定的变异以前只在经典的MNGIE背景下被报道过,没有脂肪组织或代谢紊乱的文献证据。我们的研究结果强调了考虑TYMP参与非典型脂肪营养不良综合征鉴别诊断的重要性,特别是当特征提示潜在的线粒体功能障碍时。
本文章由计算机程序翻译,如有差异,请以英文原文为准。

Expansion of the Phenotypic Spectrum of MNGIE: Lipodystrophy and Metabolic Alterations Associated with a p.Arg393_Val400dup TYMP Variant.

Expansion of the Phenotypic Spectrum of MNGIE: Lipodystrophy and Metabolic Alterations Associated with a p.Arg393_Val400dup TYMP Variant.

Expansion of the Phenotypic Spectrum of MNGIE: Lipodystrophy and Metabolic Alterations Associated with a p.Arg393_Val400dup TYMP Variant.

Mitochondrial neurogastrointestinal encephalomyopathy (MNGIE) is a rare autosomal recessive disorder caused by mutations in the TYMP gene, typically characterized by severe and progressive gastrointestinal and neurological manifestations. Recent reports have identified a subset of patients presenting with generalized lipodystrophy and metabolic abnormalities, suggesting that adipose tissue involvement may be an underrecognized feature of the disease. Herein, we report the case of a 16-year-old female carrying a previously described homozygous TYMP variant (c.1178_1201dup; p.Arg393_Val400dup), who presented during adolescence with generalized lipodystrophy, insulin resistance, hypertriglyceridemia, hepatic steatosis, and other metabolic complications. At diagnosis, she exhibited no overt neurological or gastrointestinal symptoms; however, electroneurography revealed subclinical peripheral neuropathy. This case broadens the phenotypic spectrum of TYMP-related disease by documenting a lipodystrophic and metabolic presentation associated with the p.Arg393_Val400dup variant. While TYMP mutations have been linked to lipodystrophy in rare cases, this specific variant had previously been reported only in the context of classical MNGIE, with no documented evidence of adipose tissue or metabolic derangement. Our findings highlight the importance of considering TYMP involvement in the differential diagnosis of atypical lipodystrophy syndromes, particularly when features suggest underlying mitochondrial dysfunction.

求助全文
通过发布文献求助,成功后即可免费获取论文全文。 去求助
来源期刊
自引率
10.70%
发文量
13472
审稿时长
1.7 months
期刊介绍: The International Journal of Molecular Sciences (ISSN 1422-0067) provides an advanced forum for chemistry, molecular physics (chemical physics and physical chemistry) and molecular biology. It publishes research articles, reviews, communications and short notes. Our aim is to encourage scientists to publish their theoretical and experimental results in as much detail as possible. Therefore, there is no restriction on the length of the papers or the number of electronics supplementary files. For articles with computational results, the full experimental details must be provided so that the results can be reproduced. Electronic files regarding the full details of the calculation and experimental procedure, if unable to be published in a normal way, can be deposited as supplementary material (including animated pictures, videos, interactive Excel sheets, software executables and others).
×
引用
GB/T 7714-2015
复制
MLA
复制
APA
复制
导出至
BibTeX EndNote RefMan NoteFirst NoteExpress
×
提示
您的信息不完整,为了账户安全,请先补充。
现在去补充
×
提示
您因"违规操作"
具体请查看互助需知
我知道了
×
提示
确定
请完成安全验证×
copy
已复制链接
快去分享给好友吧!
我知道了
右上角分享
点击右上角分享
0
联系我们:info@booksci.cn Book学术提供免费学术资源搜索服务,方便国内外学者检索中英文文献。致力于提供最便捷和优质的服务体验。 Copyright © 2023 布克学术 All rights reserved.
京ICP备2023020795号-1
ghs 京公网安备 11010802042870号
Book学术文献互助
Book学术文献互助群
群 号:604180095
Book学术官方微信