南印度两个不同地理区域罗素蝰蛇毒液的比较蛋白质组学、功能特征和免疫交叉反应性研究。

IF 4.9 2区 生物学
Nisha Reghu, Sudharshan Rao, Dileepkumar Raveendran, Bipin Gopalakrishnan Nair, Muralidharan Vanuopadath
{"title":"南印度两个不同地理区域罗素蝰蛇毒液的比较蛋白质组学、功能特征和免疫交叉反应性研究。","authors":"Nisha Reghu, Sudharshan Rao, Dileepkumar Raveendran, Bipin Gopalakrishnan Nair, Muralidharan Vanuopadath","doi":"10.3390/ijms26199734","DOIUrl":null,"url":null,"abstract":"<p><p>Snakebite envenoming is a neglected tropical disease contributing to a significant number of morbidities and mortalities globally. Reports indicate that venom variation influences antivenom efficacy, which might affect treatment outcomes. The venom composition of <i>Daboia russelii</i> (Russell's viper), one of the big four snakes in India, has been extensively studied from different geographical regions of India. Nonetheless, the Russell's viper venom proteome from Kerala (Western Ghats region), together with its study in comparison with the same species' venom from Tamil Nadu, has not been explored yet. In the current study, <i>Daboia russelii</i> venom from Irula (RVi) and the Western Ghats region in Kerala (RVwg) was characterized through mass spectrometry-based proteomics and few functional assays. The proteomics study identified 52 proteins from 14 snake protein families in RVi and 61 proteins from 17 snake venom protein families in RVwg. Some of the protein families, including DNase and hyaluronidase, as well as vascular endothelial growth factor, were exclusively identified in RVwg venom. Comparative functional analysis indicated that RVwg exhibited higher fibrinogenolytic and hyaluronidase activities, while RVi venom showed higher phospholipase A<sub>2</sub> and L-amino acid oxidase activities. Through ELISA, RVi venom showed an end-point titration value of 1:24,300 for all the antivenoms used in this study, whereas for RVwg, compared to PSAV (Premium serums and vaccines) (1:2700), Virchow and VINS (both 1:8100) antivenoms showed better immunological cross-reactivity. Immunoblotting experiments indicated differential binding and recognition of antigenic epitopes present in both venoms by the polyvalent antivenoms used in the current study. All these findings highlight that the venom proteome varies according to the geographical location, and this significantly influences antivenom efficacy.</p>","PeriodicalId":14156,"journal":{"name":"International Journal of Molecular Sciences","volume":"26 19","pages":""},"PeriodicalIF":4.9000,"publicationDate":"2025-10-07","publicationTypes":"Journal Article","fieldsOfStudy":null,"isOpenAccess":false,"openAccessPdf":"https://www.ncbi.nlm.nih.gov/pmc/articles/PMC12524627/pdf/","citationCount":"0","resultStr":"{\"title\":\"Comparative Proteomics, Functional Characterization and Immunological Cross-Reactivity Studies on Russell's Viper Venom from Two Distinct Geographical Regions in South India.\",\"authors\":\"Nisha Reghu, Sudharshan Rao, Dileepkumar Raveendran, Bipin Gopalakrishnan Nair, Muralidharan Vanuopadath\",\"doi\":\"10.3390/ijms26199734\",\"DOIUrl\":null,\"url\":null,\"abstract\":\"<p><p>Snakebite envenoming is a neglected tropical disease contributing to a significant number of morbidities and mortalities globally. Reports indicate that venom variation influences antivenom efficacy, which might affect treatment outcomes. The venom composition of <i>Daboia russelii</i> (Russell's viper), one of the big four snakes in India, has been extensively studied from different geographical regions of India. Nonetheless, the Russell's viper venom proteome from Kerala (Western Ghats region), together with its study in comparison with the same species' venom from Tamil Nadu, has not been explored yet. In the current study, <i>Daboia russelii</i> venom from Irula (RVi) and the Western Ghats region in Kerala (RVwg) was characterized through mass spectrometry-based proteomics and few functional assays. The proteomics study identified 52 proteins from 14 snake protein families in RVi and 61 proteins from 17 snake venom protein families in RVwg. Some of the protein families, including DNase and hyaluronidase, as well as vascular endothelial growth factor, were exclusively identified in RVwg venom. Comparative functional analysis indicated that RVwg exhibited higher fibrinogenolytic and hyaluronidase activities, while RVi venom showed higher phospholipase A<sub>2</sub> and L-amino acid oxidase activities. Through ELISA, RVi venom showed an end-point titration value of 1:24,300 for all the antivenoms used in this study, whereas for RVwg, compared to PSAV (Premium serums and vaccines) (1:2700), Virchow and VINS (both 1:8100) antivenoms showed better immunological cross-reactivity. Immunoblotting experiments indicated differential binding and recognition of antigenic epitopes present in both venoms by the polyvalent antivenoms used in the current study. All these findings highlight that the venom proteome varies according to the geographical location, and this significantly influences antivenom efficacy.</p>\",\"PeriodicalId\":14156,\"journal\":{\"name\":\"International Journal of Molecular Sciences\",\"volume\":\"26 19\",\"pages\":\"\"},\"PeriodicalIF\":4.9000,\"publicationDate\":\"2025-10-07\",\"publicationTypes\":\"Journal Article\",\"fieldsOfStudy\":null,\"isOpenAccess\":false,\"openAccessPdf\":\"https://www.ncbi.nlm.nih.gov/pmc/articles/PMC12524627/pdf/\",\"citationCount\":\"0\",\"resultStr\":null,\"platform\":\"Semanticscholar\",\"paperid\":null,\"PeriodicalName\":\"International Journal of Molecular Sciences\",\"FirstCategoryId\":\"99\",\"ListUrlMain\":\"https://doi.org/10.3390/ijms26199734\",\"RegionNum\":2,\"RegionCategory\":\"生物学\",\"ArticlePicture\":[],\"TitleCN\":null,\"AbstractTextCN\":null,\"PMCID\":null,\"EPubDate\":\"\",\"PubModel\":\"\",\"JCR\":\"\",\"JCRName\":\"\",\"Score\":null,\"Total\":0}","platform":"Semanticscholar","paperid":null,"PeriodicalName":"International Journal of Molecular Sciences","FirstCategoryId":"99","ListUrlMain":"https://doi.org/10.3390/ijms26199734","RegionNum":2,"RegionCategory":"生物学","ArticlePicture":[],"TitleCN":null,"AbstractTextCN":null,"PMCID":null,"EPubDate":"","PubModel":"","JCR":"","JCRName":"","Score":null,"Total":0}
引用次数: 0

摘要

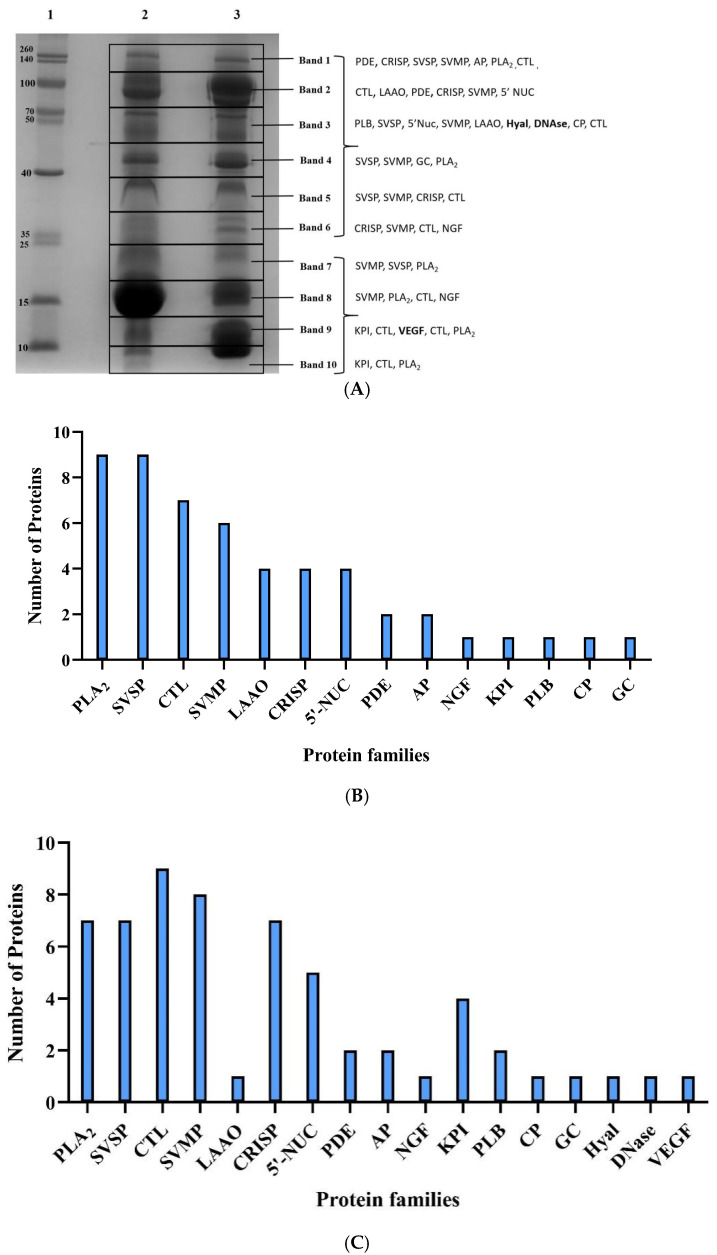
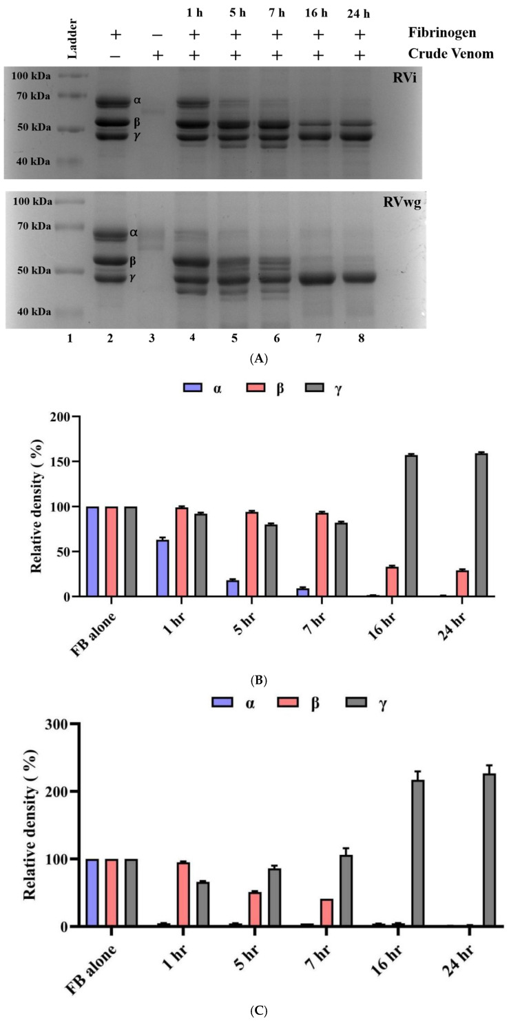
蛇咬伤是一种被忽视的热带病,导致全球大量发病率和死亡率。报告表明,毒液变异会影响抗蛇毒血清的疗效,这可能会影响治疗结果。印度四大蛇之一的罗素蝰蛇(Daboia russelii)的毒液成分已经在印度不同的地理区域进行了广泛的研究。尽管如此,来自喀拉拉邦(西高止山脉地区)的罗素毒蛇毒液蛋白质组,以及它与来自泰米尔纳德邦的同一物种毒液的比较研究,还没有被探索过。在本研究中,通过基于质谱的蛋白质组学和少量功能分析,对来自Irula (RVi)和喀拉拉邦西高止山脉(RVwg)的russelii Daboia毒液进行了表征。蛋白质组学研究从RVi的14个蛇蛋白家族中鉴定出52个蛋白,从RVwg的17个蛇毒蛋白家族中鉴定出61个蛋白。一些蛋白家族,包括dna酶和透明质酸酶,以及血管内皮生长因子,在RVwg毒液中被专门鉴定出来。比较功能分析表明,RVwg具有较高的纤维蛋白原分解酶和透明质酸酶活性,RVi毒液具有较高的磷脂酶A2和l -氨基酸氧化酶活性。通过ELISA检测,RVi毒液的终点滴定值为1:24,300,而RVwg的终点滴定值与PSAV(优质血清和疫苗)(1:2700)相比,Virchow和VINS(均为1:8 00)的抗蛇毒血清具有更好的免疫交叉反应性。免疫印迹实验表明,目前研究中使用的多价抗蛇毒血清对两种毒液中存在的抗原表位的结合和识别存在差异。这些研究结果表明,不同地理位置的蛇毒蛋白组存在差异,这对抗蛇毒血清的功效有重要影响。
本文章由计算机程序翻译,如有差异,请以英文原文为准。

Comparative Proteomics, Functional Characterization and Immunological Cross-Reactivity Studies on Russell's Viper Venom from Two Distinct Geographical Regions in South India.

Comparative Proteomics, Functional Characterization and Immunological Cross-Reactivity Studies on Russell's Viper Venom from Two Distinct Geographical Regions in South India.

Comparative Proteomics, Functional Characterization and Immunological Cross-Reactivity Studies on Russell's Viper Venom from Two Distinct Geographical Regions in South India.

Comparative Proteomics, Functional Characterization and Immunological Cross-Reactivity Studies on Russell's Viper Venom from Two Distinct Geographical Regions in South India.

Snakebite envenoming is a neglected tropical disease contributing to a significant number of morbidities and mortalities globally. Reports indicate that venom variation influences antivenom efficacy, which might affect treatment outcomes. The venom composition of Daboia russelii (Russell's viper), one of the big four snakes in India, has been extensively studied from different geographical regions of India. Nonetheless, the Russell's viper venom proteome from Kerala (Western Ghats region), together with its study in comparison with the same species' venom from Tamil Nadu, has not been explored yet. In the current study, Daboia russelii venom from Irula (RVi) and the Western Ghats region in Kerala (RVwg) was characterized through mass spectrometry-based proteomics and few functional assays. The proteomics study identified 52 proteins from 14 snake protein families in RVi and 61 proteins from 17 snake venom protein families in RVwg. Some of the protein families, including DNase and hyaluronidase, as well as vascular endothelial growth factor, were exclusively identified in RVwg venom. Comparative functional analysis indicated that RVwg exhibited higher fibrinogenolytic and hyaluronidase activities, while RVi venom showed higher phospholipase A2 and L-amino acid oxidase activities. Through ELISA, RVi venom showed an end-point titration value of 1:24,300 for all the antivenoms used in this study, whereas for RVwg, compared to PSAV (Premium serums and vaccines) (1:2700), Virchow and VINS (both 1:8100) antivenoms showed better immunological cross-reactivity. Immunoblotting experiments indicated differential binding and recognition of antigenic epitopes present in both venoms by the polyvalent antivenoms used in the current study. All these findings highlight that the venom proteome varies according to the geographical location, and this significantly influences antivenom efficacy.

求助全文
通过发布文献求助,成功后即可免费获取论文全文。 去求助
来源期刊
自引率
10.70%
发文量
13472
审稿时长
1.7 months
期刊介绍: The International Journal of Molecular Sciences (ISSN 1422-0067) provides an advanced forum for chemistry, molecular physics (chemical physics and physical chemistry) and molecular biology. It publishes research articles, reviews, communications and short notes. Our aim is to encourage scientists to publish their theoretical and experimental results in as much detail as possible. Therefore, there is no restriction on the length of the papers or the number of electronics supplementary files. For articles with computational results, the full experimental details must be provided so that the results can be reproduced. Electronic files regarding the full details of the calculation and experimental procedure, if unable to be published in a normal way, can be deposited as supplementary material (including animated pictures, videos, interactive Excel sheets, software executables and others).
×
引用
GB/T 7714-2015
复制
MLA
复制
APA
复制
导出至
BibTeX EndNote RefMan NoteFirst NoteExpress
×
提示
您的信息不完整,为了账户安全,请先补充。
现在去补充
×
提示
您因"违规操作"
具体请查看互助需知
我知道了
×
提示
确定
请完成安全验证×
copy
已复制链接
快去分享给好友吧!
我知道了
右上角分享
点击右上角分享
0
联系我们:info@booksci.cn Book学术提供免费学术资源搜索服务,方便国内外学者检索中英文文献。致力于提供最便捷和优质的服务体验。 Copyright © 2023 布克学术 All rights reserved.
京ICP备2023020795号-1
ghs 京公网安备 11010802042870号
Book学术文献互助
Book学术文献互助群
群 号:604180095
Book学术官方微信