颈动脉血流速度与脑灌注和脑血管疾病的关系:一项基于社区的前瞻性研究

IF 3.4 3区 医学 Q2 MEDICINE, RESEARCH & EXPERIMENTAL
Peipei Yang, Xiaoshuai Li, Yuqing Huang, Xinyu Zhao, Ying Hui, Shouling Wu, Zhenchang Wang, Xian-Quan Shi
{"title":"颈动脉血流速度与脑灌注和脑血管疾病的关系:一项基于社区的前瞻性研究","authors":"Peipei Yang, Xiaoshuai Li, Yuqing Huang, Xinyu Zhao, Ying Hui, Shouling Wu, Zhenchang Wang, Xian-Quan Shi","doi":"10.1186/s40001-025-03238-3","DOIUrl":null,"url":null,"abstract":"<p><strong>Objectives: </strong>To explore the associations of carotid artery hemodynamic parameters with cerebral perfusion and cerebral small vessel disease (CSVD) in a healthy population.</p><p><strong>Methods: </strong>A total of 654 participants from the Kailuan community were included after those with incomplete data or carotid stenosis ≥ 50% were excluded. Carotid ultrasound was used to measure the peak carotid flow velocity (PSV), end-diastolic velocity (EDV), resistance index (RI), pulsatility index (PI) and carotid intima-media thickness (IMT) of the common carotid artery (CCA) and internal carotid artery (ICA). MRI was performed to assess cerebral perfusion and CSVD features, including white matter hyperintensities (WMH), lacunes (LA), cerebral microbleeds (CMB), and enlarged perivascular spaces (EPVS). Multivariate regression models were used to analyze the associations of carotid hemodynamics with cerebral perfusion and CSVD.</p><p><strong>Results: </strong>CCA-EDV was positively associated with whole-brain perfusion (β = 0.14, p = 0.017) and regional perfusion in gray matter (GM) (β = 0.16, p = 0.012), frontal (β = 0.15, p = 0.014), parietal (β = 0.19, p = 0.006), temporal (β = 0.14, p = 0.020), and hippocampus (β = 0.12, p = 0.034), but no significant associations were found between CCA-EDV and white matter (WM) perfusion. A higher CCA-EDV was associated with a lower risk of LA (OR = 0.93, p = 0.029). The CCA-PSV was negatively correlated with the total CSVD score (OR = 0.99, p = 0.047). No significant associations were detected between other carotid hemodynamic parameters and LA, CMB, EPVS, WMH, or total CSVD score.</p><p><strong>Conclusions: </strong>Carotid artery hemodynamic parameters, especially the CCA-EDV, are closely related to cerebral perfusion and the development of CSVD. Reductions in total and regional cerebral perfusion, along with an increased LA burden, were associated with decreased CCA-EDV.</p>","PeriodicalId":11949,"journal":{"name":"European Journal of Medical Research","volume":"30 1","pages":"976"},"PeriodicalIF":3.4000,"publicationDate":"2025-10-15","publicationTypes":"Journal Article","fieldsOfStudy":null,"isOpenAccess":false,"openAccessPdf":"https://www.ncbi.nlm.nih.gov/pmc/articles/PMC12522649/pdf/","citationCount":"0","resultStr":"{\"title\":\"Associations of carotid flow velocity with cerebral perfusion and cerebral small vessel disease: a community-based prospective study.\",\"authors\":\"Peipei Yang, Xiaoshuai Li, Yuqing Huang, Xinyu Zhao, Ying Hui, Shouling Wu, Zhenchang Wang, Xian-Quan Shi\",\"doi\":\"10.1186/s40001-025-03238-3\",\"DOIUrl\":null,\"url\":null,\"abstract\":\"<p><strong>Objectives: </strong>To explore the associations of carotid artery hemodynamic parameters with cerebral perfusion and cerebral small vessel disease (CSVD) in a healthy population.</p><p><strong>Methods: </strong>A total of 654 participants from the Kailuan community were included after those with incomplete data or carotid stenosis ≥ 50% were excluded. Carotid ultrasound was used to measure the peak carotid flow velocity (PSV), end-diastolic velocity (EDV), resistance index (RI), pulsatility index (PI) and carotid intima-media thickness (IMT) of the common carotid artery (CCA) and internal carotid artery (ICA). MRI was performed to assess cerebral perfusion and CSVD features, including white matter hyperintensities (WMH), lacunes (LA), cerebral microbleeds (CMB), and enlarged perivascular spaces (EPVS). Multivariate regression models were used to analyze the associations of carotid hemodynamics with cerebral perfusion and CSVD.</p><p><strong>Results: </strong>CCA-EDV was positively associated with whole-brain perfusion (β = 0.14, p = 0.017) and regional perfusion in gray matter (GM) (β = 0.16, p = 0.012), frontal (β = 0.15, p = 0.014), parietal (β = 0.19, p = 0.006), temporal (β = 0.14, p = 0.020), and hippocampus (β = 0.12, p = 0.034), but no significant associations were found between CCA-EDV and white matter (WM) perfusion. A higher CCA-EDV was associated with a lower risk of LA (OR = 0.93, p = 0.029). The CCA-PSV was negatively correlated with the total CSVD score (OR = 0.99, p = 0.047). No significant associations were detected between other carotid hemodynamic parameters and LA, CMB, EPVS, WMH, or total CSVD score.</p><p><strong>Conclusions: </strong>Carotid artery hemodynamic parameters, especially the CCA-EDV, are closely related to cerebral perfusion and the development of CSVD. Reductions in total and regional cerebral perfusion, along with an increased LA burden, were associated with decreased CCA-EDV.</p>\",\"PeriodicalId\":11949,\"journal\":{\"name\":\"European Journal of Medical Research\",\"volume\":\"30 1\",\"pages\":\"976\"},\"PeriodicalIF\":3.4000,\"publicationDate\":\"2025-10-15\",\"publicationTypes\":\"Journal Article\",\"fieldsOfStudy\":null,\"isOpenAccess\":false,\"openAccessPdf\":\"https://www.ncbi.nlm.nih.gov/pmc/articles/PMC12522649/pdf/\",\"citationCount\":\"0\",\"resultStr\":null,\"platform\":\"Semanticscholar\",\"paperid\":null,\"PeriodicalName\":\"European Journal of Medical Research\",\"FirstCategoryId\":\"3\",\"ListUrlMain\":\"https://doi.org/10.1186/s40001-025-03238-3\",\"RegionNum\":3,\"RegionCategory\":\"医学\",\"ArticlePicture\":[],\"TitleCN\":null,\"AbstractTextCN\":null,\"PMCID\":null,\"EPubDate\":\"\",\"PubModel\":\"\",\"JCR\":\"Q2\",\"JCRName\":\"MEDICINE, RESEARCH & EXPERIMENTAL\",\"Score\":null,\"Total\":0}","platform":"Semanticscholar","paperid":null,"PeriodicalName":"European Journal of Medical Research","FirstCategoryId":"3","ListUrlMain":"https://doi.org/10.1186/s40001-025-03238-3","RegionNum":3,"RegionCategory":"医学","ArticlePicture":[],"TitleCN":null,"AbstractTextCN":null,"PMCID":null,"EPubDate":"","PubModel":"","JCR":"Q2","JCRName":"MEDICINE, RESEARCH & EXPERIMENTAL","Score":null,"Total":0}
引用次数: 0

摘要

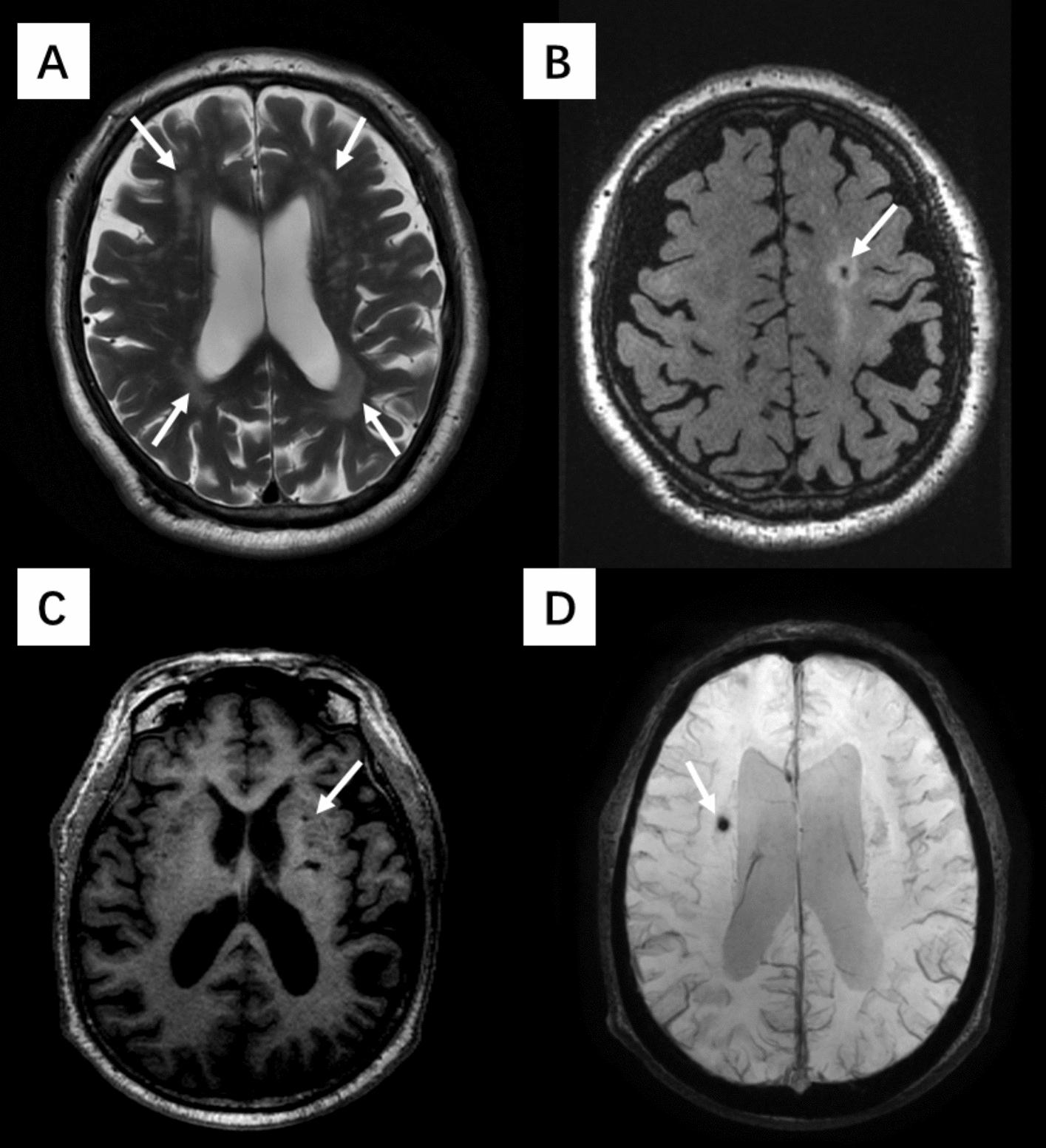
目的:探讨健康人群颈动脉血流动力学参数与脑灌注和小脑血管病(CSVD)的关系。方法:排除资料不完整或颈动脉狭窄≥50%者,纳入开滦社区654名参与者。采用颈动脉超声测量颈总动脉(CCA)和颈内动脉(ICA)的颈动脉峰值流速(PSV)、舒张末期流速(EDV)、阻力指数(RI)、搏动指数(PI)和颈动脉内膜-中膜厚度(IMT)。MRI评估脑灌注和CSVD特征,包括白质高信号(WMH)、脑凹窝(LA)、脑微出血(CMB)和血管周围间隙扩大(EPVS)。采用多元回归模型分析颈动脉血流动力学与脑灌注和CSVD的关系。结果:CCA-EDV与全脑灌注(β = 0.14, p = 0.017)、灰质(GM) (β = 0.16, p = 0.012)、额叶(β = 0.15, p = 0.014)、顶叶(β = 0.19, p = 0.006)、颞叶(β = 0.14, p = 0.020)、海马(β = 0.12, p = 0.034)呈正相关,与白质(WM)灌注无显著相关性。较高的CCA-EDV与较低的LA风险相关(OR = 0.93, p = 0.029)。CCA-PSV与CSVD总分呈负相关(OR = 0.99, p = 0.047)。其他颈动脉血流动力学参数与LA、CMB、EPVS、WMH或总CSVD评分之间无显著相关性。结论:颈动脉血流动力学参数特别是CCA-EDV与脑灌注及CSVD的发生密切相关。总脑灌注和局部脑灌注的减少,以及LA负荷的增加,与CCA-EDV的降低有关。
本文章由计算机程序翻译,如有差异,请以英文原文为准。

Associations of carotid flow velocity with cerebral perfusion and cerebral small vessel disease: a community-based prospective study.

Associations of carotid flow velocity with cerebral perfusion and cerebral small vessel disease: a community-based prospective study.

Associations of carotid flow velocity with cerebral perfusion and cerebral small vessel disease: a community-based prospective study.

Associations of carotid flow velocity with cerebral perfusion and cerebral small vessel disease: a community-based prospective study.

Objectives: To explore the associations of carotid artery hemodynamic parameters with cerebral perfusion and cerebral small vessel disease (CSVD) in a healthy population.

Methods: A total of 654 participants from the Kailuan community were included after those with incomplete data or carotid stenosis ≥ 50% were excluded. Carotid ultrasound was used to measure the peak carotid flow velocity (PSV), end-diastolic velocity (EDV), resistance index (RI), pulsatility index (PI) and carotid intima-media thickness (IMT) of the common carotid artery (CCA) and internal carotid artery (ICA). MRI was performed to assess cerebral perfusion and CSVD features, including white matter hyperintensities (WMH), lacunes (LA), cerebral microbleeds (CMB), and enlarged perivascular spaces (EPVS). Multivariate regression models were used to analyze the associations of carotid hemodynamics with cerebral perfusion and CSVD.

Results: CCA-EDV was positively associated with whole-brain perfusion (β = 0.14, p = 0.017) and regional perfusion in gray matter (GM) (β = 0.16, p = 0.012), frontal (β = 0.15, p = 0.014), parietal (β = 0.19, p = 0.006), temporal (β = 0.14, p = 0.020), and hippocampus (β = 0.12, p = 0.034), but no significant associations were found between CCA-EDV and white matter (WM) perfusion. A higher CCA-EDV was associated with a lower risk of LA (OR = 0.93, p = 0.029). The CCA-PSV was negatively correlated with the total CSVD score (OR = 0.99, p = 0.047). No significant associations were detected between other carotid hemodynamic parameters and LA, CMB, EPVS, WMH, or total CSVD score.

Conclusions: Carotid artery hemodynamic parameters, especially the CCA-EDV, are closely related to cerebral perfusion and the development of CSVD. Reductions in total and regional cerebral perfusion, along with an increased LA burden, were associated with decreased CCA-EDV.

求助全文
通过发布文献求助,成功后即可免费获取论文全文。 去求助
来源期刊
European Journal of Medical Research
European Journal of Medical Research 医学-医学:研究与实验
CiteScore
3.20
自引率
0.00%
发文量
247
审稿时长
>12 weeks
期刊介绍: European Journal of Medical Research publishes translational and clinical research of international interest across all medical disciplines, enabling clinicians and other researchers to learn about developments and innovations within these disciplines and across the boundaries between disciplines. The journal publishes high quality research and reviews and aims to ensure that the results of all well-conducted research are published, regardless of their outcome.
×
引用
GB/T 7714-2015
复制
MLA
复制
APA
复制
导出至
BibTeX EndNote RefMan NoteFirst NoteExpress
×
提示
您的信息不完整,为了账户安全,请先补充。
现在去补充
×
提示
您因"违规操作"
具体请查看互助需知
我知道了
×
提示
确定
请完成安全验证×
copy
已复制链接
快去分享给好友吧!
我知道了
右上角分享
点击右上角分享
0
联系我们:info@booksci.cn Book学术提供免费学术资源搜索服务,方便国内外学者检索中英文文献。致力于提供最便捷和优质的服务体验。 Copyright © 2023 布克学术 All rights reserved.
京ICP备2023020795号-1
ghs 京公网安备 11010802042870号
Book学术文献互助
Book学术文献互助群
群 号:604180095
Book学术官方微信