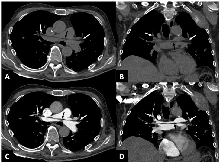
非对比胸部CT示肺近端脂肪栓塞。

IF 3.3 3区 医学 Q1 MEDICINE, GENERAL & INTERNAL
Romain L'Huillier, Alexandra Braillon
{"title":"非对比胸部CT示肺近端脂肪栓塞。","authors":"Romain L'Huillier, Alexandra Braillon","doi":"10.3390/diagnostics15192468","DOIUrl":null,"url":null,"abstract":"<p><p>We report in this clinical case a proximal pulmonary fat embolism detected on unenhanced chest computed tomography (CT) responsible for a recovered cardiac arrest during a left total hip arthroplasty for a femoral neck fracture. This observation underscores the diagnostic value of integrating a non-contrast phase in chest CT in the postoperative context of orthopedic surgery, as it ensures accurate identification of the fatty nature of pulmonary arterial thrombi and thereby contributes to improved diagnostic accuracy and differential diagnosis.</p>","PeriodicalId":11225,"journal":{"name":"Diagnostics","volume":"15 19","pages":""},"PeriodicalIF":3.3000,"publicationDate":"2025-09-26","publicationTypes":"Journal Article","fieldsOfStudy":null,"isOpenAccess":false,"openAccessPdf":"https://www.ncbi.nlm.nih.gov/pmc/articles/PMC12523309/pdf/","citationCount":"0","resultStr":"{\"title\":\"Proximal Pulmonary Fat Embolism on Non-Contrast Chest CT.\",\"authors\":\"Romain L'Huillier, Alexandra Braillon\",\"doi\":\"10.3390/diagnostics15192468\",\"DOIUrl\":null,\"url\":null,\"abstract\":\"<p><p>We report in this clinical case a proximal pulmonary fat embolism detected on unenhanced chest computed tomography (CT) responsible for a recovered cardiac arrest during a left total hip arthroplasty for a femoral neck fracture. This observation underscores the diagnostic value of integrating a non-contrast phase in chest CT in the postoperative context of orthopedic surgery, as it ensures accurate identification of the fatty nature of pulmonary arterial thrombi and thereby contributes to improved diagnostic accuracy and differential diagnosis.</p>\",\"PeriodicalId\":11225,\"journal\":{\"name\":\"Diagnostics\",\"volume\":\"15 19\",\"pages\":\"\"},\"PeriodicalIF\":3.3000,\"publicationDate\":\"2025-09-26\",\"publicationTypes\":\"Journal Article\",\"fieldsOfStudy\":null,\"isOpenAccess\":false,\"openAccessPdf\":\"https://www.ncbi.nlm.nih.gov/pmc/articles/PMC12523309/pdf/\",\"citationCount\":\"0\",\"resultStr\":null,\"platform\":\"Semanticscholar\",\"paperid\":null,\"PeriodicalName\":\"Diagnostics\",\"FirstCategoryId\":\"3\",\"ListUrlMain\":\"https://doi.org/10.3390/diagnostics15192468\",\"RegionNum\":3,\"RegionCategory\":\"医学\",\"ArticlePicture\":[],\"TitleCN\":null,\"AbstractTextCN\":null,\"PMCID\":null,\"EPubDate\":\"\",\"PubModel\":\"\",\"JCR\":\"Q1\",\"JCRName\":\"MEDICINE, GENERAL & INTERNAL\",\"Score\":null,\"Total\":0}","platform":"Semanticscholar","paperid":null,"PeriodicalName":"Diagnostics","FirstCategoryId":"3","ListUrlMain":"https://doi.org/10.3390/diagnostics15192468","RegionNum":3,"RegionCategory":"医学","ArticlePicture":[],"TitleCN":null,"AbstractTextCN":null,"PMCID":null,"EPubDate":"","PubModel":"","JCR":"Q1","JCRName":"MEDICINE, GENERAL & INTERNAL","Score":null,"Total":0}
引用次数: 0

摘要

我们报告这个临床病例,在未增强的胸部计算机断层扫描(CT)上发现近端肺脂肪栓塞,导致左全髋关节置换术治疗股骨颈骨折时心脏骤停恢复。这一观察结果强调了在骨科术后背景下整合胸部CT非对比期的诊断价值,因为它确保准确识别肺动脉血栓的脂肪性质,从而有助于提高诊断准确性和鉴别诊断。
本文章由计算机程序翻译,如有差异,请以英文原文为准。

Proximal Pulmonary Fat Embolism on Non-Contrast Chest CT.

Proximal Pulmonary Fat Embolism on Non-Contrast Chest CT.

We report in this clinical case a proximal pulmonary fat embolism detected on unenhanced chest computed tomography (CT) responsible for a recovered cardiac arrest during a left total hip arthroplasty for a femoral neck fracture. This observation underscores the diagnostic value of integrating a non-contrast phase in chest CT in the postoperative context of orthopedic surgery, as it ensures accurate identification of the fatty nature of pulmonary arterial thrombi and thereby contributes to improved diagnostic accuracy and differential diagnosis.

求助全文
通过发布文献求助,成功后即可免费获取论文全文。 去求助
来源期刊
Diagnostics
Diagnostics Biochemistry, Genetics and Molecular Biology-Clinical Biochemistry
CiteScore
4.70
自引率
8.30%
发文量
2699
审稿时长
19.64 days
期刊介绍: Diagnostics (ISSN 2075-4418) is an international scholarly open access journal on medical diagnostics. It publishes original research articles, reviews, communications and short notes on the research and development of medical diagnostics. There is no restriction on the length of the papers. Our aim is to encourage scientists to publish their experimental and theoretical research in as much detail as possible. Full experimental and/or methodological details must be provided for research articles.
×
引用
GB/T 7714-2015
复制
MLA
复制
APA
复制
导出至
BibTeX EndNote RefMan NoteFirst NoteExpress
×
提示
您的信息不完整,为了账户安全,请先补充。
现在去补充
×
提示
您因"违规操作"
具体请查看互助需知
我知道了
×
提示
确定
请完成安全验证×
copy
已复制链接
快去分享给好友吧!
我知道了
右上角分享
点击右上角分享
0
联系我们:info@booksci.cn Book学术提供免费学术资源搜索服务,方便国内外学者检索中英文文献。致力于提供最便捷和优质的服务体验。 Copyright © 2023 布克学术 All rights reserved.
京ICP备2023020795号-1
ghs 京公网安备 11010802042870号
Book学术文献互助
Book学术文献互助群
群 号:604180095
Book学术官方微信