麦克林效应对ARDS人群气压创伤的预测能力:COVID-19和非COVID-19 ARDS的比较——麦克林效应能否作为评估ARDS转介中心的有用工具?

IF 3.3 3区 医学 Q1 MEDICINE, GENERAL & INTERNAL
Alberto Marabotti, Filippo Pelagatti, Gianluca Frezzetti, Marco Albanesi, Antonio Galluzzo, Alessandra Valletta, Laura Arianna Sorrentino, Andrea Cardoni, Giovanni Cianchi, Marco Ciapetti, Chiara Lazzeri, Adriano Peris, Manuela Bonizzoli
{"title":"麦克林效应对ARDS人群气压创伤的预测能力:COVID-19和非COVID-19 ARDS的比较——麦克林效应能否作为评估ARDS转介中心的有用工具?","authors":"Alberto Marabotti, Filippo Pelagatti, Gianluca Frezzetti, Marco Albanesi, Antonio Galluzzo, Alessandra Valletta, Laura Arianna Sorrentino, Andrea Cardoni, Giovanni Cianchi, Marco Ciapetti, Chiara Lazzeri, Adriano Peris, Manuela Bonizzoli","doi":"10.3390/diagnostics15192514","DOIUrl":null,"url":null,"abstract":"<p><p><b>Background:</b> The Macklin effect recently demonstrated a high positive predictive value for barotrauma in the COVID-19 ARDS population. However, there was less evidence available regarding the ARDS population without SARS-CoV-2 infection. We aim to analyze COVID-19 and non-COVID-19 ARDS subjects to assess the sensitivity and specificity of the Macklin effect in predicting the development of barotrauma in both groups. <b>Methods:</b> We retrospectively analyzed subjects with ARDS admitted to our center from January 2018 to November 2022. Experienced radiologists examined the presence of the Macklin effect on chest computed tomography scans. Subjects were then divided into two groups based on the presence or absence of the Macklin effect to assess its predictive power regarding barotrauma. Finally, we analyzed the impact of the Macklin effect and barotrauma on Intensive Care Unit and in-hospital mortality. <b>Results:</b> We analyzed 225 patients; the Macklin effect was observed in 44 subjects. In our cohort, the Macklin effect exhibited a sensitivity of 44.6% and a specificity of 90.6% in predicting barotrauma. After excluding the COVID-19 ARDS cases, the Macklin effect showed a sensitivity of 34.7% and a specificity of 93.6%. Nonetheless, in our population, the presence of the Macklin effect or the occurrence of barotrauma did not lead to increased ICU or in-hospital mortality. <b>Conclusions:</b> Our analysis highlighted that the Macklin effect demonstrates high specificity in predicting barotrauma but a low sensitivity; moreover, the development of barotrauma did not impact mortality, possibly due to the exclusion of mild to moderate ARDS and the inclusion of a significant number of ECMO recipients. Finally, the Macklin effect appears early during ARDS and may serve as an early indicator of lung frailty, potentially becoming an additional criterion for referral to centers for advanced ARDS treatment.</p>","PeriodicalId":11225,"journal":{"name":"Diagnostics","volume":"15 19","pages":""},"PeriodicalIF":3.3000,"publicationDate":"2025-10-03","publicationTypes":"Journal Article","fieldsOfStudy":null,"isOpenAccess":false,"openAccessPdf":"https://www.ncbi.nlm.nih.gov/pmc/articles/PMC12523701/pdf/","citationCount":"0","resultStr":"{\"title\":\"The Predictive Power of Barotrauma from the Macklin Effect in the ARDS Population: A Comparison of COVID-19 and Non-COVID-19 ARDS-Could the Macklin Effect Serve as a Helpful Tool for Evaluating Transfer to ARDS Reference Centers?\",\"authors\":\"Alberto Marabotti, Filippo Pelagatti, Gianluca Frezzetti, Marco Albanesi, Antonio Galluzzo, Alessandra Valletta, Laura Arianna Sorrentino, Andrea Cardoni, Giovanni Cianchi, Marco Ciapetti, Chiara Lazzeri, Adriano Peris, Manuela Bonizzoli\",\"doi\":\"10.3390/diagnostics15192514\",\"DOIUrl\":null,\"url\":null,\"abstract\":\"<p><p><b>Background:</b> The Macklin effect recently demonstrated a high positive predictive value for barotrauma in the COVID-19 ARDS population. However, there was less evidence available regarding the ARDS population without SARS-CoV-2 infection. We aim to analyze COVID-19 and non-COVID-19 ARDS subjects to assess the sensitivity and specificity of the Macklin effect in predicting the development of barotrauma in both groups. <b>Methods:</b> We retrospectively analyzed subjects with ARDS admitted to our center from January 2018 to November 2022. Experienced radiologists examined the presence of the Macklin effect on chest computed tomography scans. Subjects were then divided into two groups based on the presence or absence of the Macklin effect to assess its predictive power regarding barotrauma. Finally, we analyzed the impact of the Macklin effect and barotrauma on Intensive Care Unit and in-hospital mortality. <b>Results:</b> We analyzed 225 patients; the Macklin effect was observed in 44 subjects. In our cohort, the Macklin effect exhibited a sensitivity of 44.6% and a specificity of 90.6% in predicting barotrauma. After excluding the COVID-19 ARDS cases, the Macklin effect showed a sensitivity of 34.7% and a specificity of 93.6%. Nonetheless, in our population, the presence of the Macklin effect or the occurrence of barotrauma did not lead to increased ICU or in-hospital mortality. <b>Conclusions:</b> Our analysis highlighted that the Macklin effect demonstrates high specificity in predicting barotrauma but a low sensitivity; moreover, the development of barotrauma did not impact mortality, possibly due to the exclusion of mild to moderate ARDS and the inclusion of a significant number of ECMO recipients. Finally, the Macklin effect appears early during ARDS and may serve as an early indicator of lung frailty, potentially becoming an additional criterion for referral to centers for advanced ARDS treatment.</p>\",\"PeriodicalId\":11225,\"journal\":{\"name\":\"Diagnostics\",\"volume\":\"15 19\",\"pages\":\"\"},\"PeriodicalIF\":3.3000,\"publicationDate\":\"2025-10-03\",\"publicationTypes\":\"Journal Article\",\"fieldsOfStudy\":null,\"isOpenAccess\":false,\"openAccessPdf\":\"https://www.ncbi.nlm.nih.gov/pmc/articles/PMC12523701/pdf/\",\"citationCount\":\"0\",\"resultStr\":null,\"platform\":\"Semanticscholar\",\"paperid\":null,\"PeriodicalName\":\"Diagnostics\",\"FirstCategoryId\":\"3\",\"ListUrlMain\":\"https://doi.org/10.3390/diagnostics15192514\",\"RegionNum\":3,\"RegionCategory\":\"医学\",\"ArticlePicture\":[],\"TitleCN\":null,\"AbstractTextCN\":null,\"PMCID\":null,\"EPubDate\":\"\",\"PubModel\":\"\",\"JCR\":\"Q1\",\"JCRName\":\"MEDICINE, GENERAL & INTERNAL\",\"Score\":null,\"Total\":0}","platform":"Semanticscholar","paperid":null,"PeriodicalName":"Diagnostics","FirstCategoryId":"3","ListUrlMain":"https://doi.org/10.3390/diagnostics15192514","RegionNum":3,"RegionCategory":"医学","ArticlePicture":[],"TitleCN":null,"AbstractTextCN":null,"PMCID":null,"EPubDate":"","PubModel":"","JCR":"Q1","JCRName":"MEDICINE, GENERAL & INTERNAL","Score":null,"Total":0}
引用次数: 0

摘要

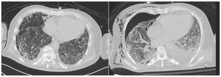
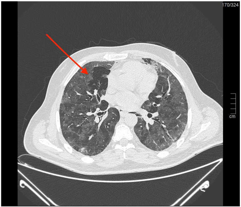
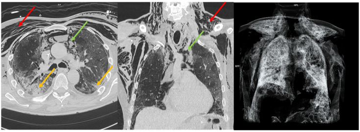
背景:麦克林效应最近在COVID-19 ARDS人群中显示出对气压创伤的高阳性预测价值。然而,关于没有SARS-CoV-2感染的ARDS人群的证据较少。我们的目的是分析COVID-19和非COVID-19 ARDS受试者,以评估Macklin效应在预测两组气压损伤发展方面的敏感性和特异性。方法:回顾性分析2018年1月至2022年11月在本中心收治的ARDS患者。经验丰富的放射科医生在胸部计算机断层扫描中检查了麦克林效应的存在。然后根据麦克林效应的存在与否将受试者分为两组,以评估其对气压创伤的预测能力。最后,我们分析了麦克林效应和气压创伤对重症监护病房和住院死亡率的影响。结果:我们分析了225例患者;在44名受试者中观察到麦克林效应。在我们的队列中,麦克林效应在预测气压损伤方面的敏感性为44.6%,特异性为90.6%。在排除COVID-19 ARDS病例后,麦克林效应的敏感性为34.7%,特异性为93.6%。尽管如此,在我们的人群中,麦克林效应的存在或气压创伤的发生并未导致ICU或住院死亡率的增加。结论:我们的分析强调,麦克林效应在预测气压创伤方面具有高特异性,但敏感性较低;此外,气压创伤的发生并不影响死亡率,这可能是由于排除了轻度至中度ARDS和纳入了大量ECMO受者。最后,麦克林效应在ARDS早期出现,可能作为肺衰弱的早期指标,可能成为转介到ARDS高级治疗中心的附加标准。
本文章由计算机程序翻译,如有差异,请以英文原文为准。

The Predictive Power of Barotrauma from the Macklin Effect in the ARDS Population: A Comparison of COVID-19 and Non-COVID-19 ARDS-Could the Macklin Effect Serve as a Helpful Tool for Evaluating Transfer to ARDS Reference Centers?

The Predictive Power of Barotrauma from the Macklin Effect in the ARDS Population: A Comparison of COVID-19 and Non-COVID-19 ARDS-Could the Macklin Effect Serve as a Helpful Tool for Evaluating Transfer to ARDS Reference Centers?

The Predictive Power of Barotrauma from the Macklin Effect in the ARDS Population: A Comparison of COVID-19 and Non-COVID-19 ARDS-Could the Macklin Effect Serve as a Helpful Tool for Evaluating Transfer to ARDS Reference Centers?

The Predictive Power of Barotrauma from the Macklin Effect in the ARDS Population: A Comparison of COVID-19 and Non-COVID-19 ARDS-Could the Macklin Effect Serve as a Helpful Tool for Evaluating Transfer to ARDS Reference Centers?

Background: The Macklin effect recently demonstrated a high positive predictive value for barotrauma in the COVID-19 ARDS population. However, there was less evidence available regarding the ARDS population without SARS-CoV-2 infection. We aim to analyze COVID-19 and non-COVID-19 ARDS subjects to assess the sensitivity and specificity of the Macklin effect in predicting the development of barotrauma in both groups. Methods: We retrospectively analyzed subjects with ARDS admitted to our center from January 2018 to November 2022. Experienced radiologists examined the presence of the Macklin effect on chest computed tomography scans. Subjects were then divided into two groups based on the presence or absence of the Macklin effect to assess its predictive power regarding barotrauma. Finally, we analyzed the impact of the Macklin effect and barotrauma on Intensive Care Unit and in-hospital mortality. Results: We analyzed 225 patients; the Macklin effect was observed in 44 subjects. In our cohort, the Macklin effect exhibited a sensitivity of 44.6% and a specificity of 90.6% in predicting barotrauma. After excluding the COVID-19 ARDS cases, the Macklin effect showed a sensitivity of 34.7% and a specificity of 93.6%. Nonetheless, in our population, the presence of the Macklin effect or the occurrence of barotrauma did not lead to increased ICU or in-hospital mortality. Conclusions: Our analysis highlighted that the Macklin effect demonstrates high specificity in predicting barotrauma but a low sensitivity; moreover, the development of barotrauma did not impact mortality, possibly due to the exclusion of mild to moderate ARDS and the inclusion of a significant number of ECMO recipients. Finally, the Macklin effect appears early during ARDS and may serve as an early indicator of lung frailty, potentially becoming an additional criterion for referral to centers for advanced ARDS treatment.

求助全文
通过发布文献求助,成功后即可免费获取论文全文。 去求助
来源期刊
Diagnostics
Diagnostics Biochemistry, Genetics and Molecular Biology-Clinical Biochemistry
CiteScore
4.70
自引率
8.30%
发文量
2699
审稿时长
19.64 days
期刊介绍: Diagnostics (ISSN 2075-4418) is an international scholarly open access journal on medical diagnostics. It publishes original research articles, reviews, communications and short notes on the research and development of medical diagnostics. There is no restriction on the length of the papers. Our aim is to encourage scientists to publish their experimental and theoretical research in as much detail as possible. Full experimental and/or methodological details must be provided for research articles.
×
引用
GB/T 7714-2015
复制
MLA
复制
APA
复制
导出至
BibTeX EndNote RefMan NoteFirst NoteExpress
×
提示
您的信息不完整,为了账户安全,请先补充。
现在去补充
×
提示
您因"违规操作"
具体请查看互助需知
我知道了
×
提示
确定
请完成安全验证×
copy
已复制链接
快去分享给好友吧!
我知道了
右上角分享
点击右上角分享
0
联系我们:info@booksci.cn Book学术提供免费学术资源搜索服务,方便国内外学者检索中英文文献。致力于提供最便捷和优质的服务体验。 Copyright © 2023 布克学术 All rights reserved.
京ICP备2023020795号-1
ghs 京公网安备 11010802042870号
Book学术文献互助
Book学术文献互助群
群 号:604180095
Book学术官方微信