外伤性脾切除术患者肝局灶性病变疑似肝细胞癌:肝内脾病变鉴别诊断的挑战-文献回顾及病例报告。

IF 3.3 3区 医学 Q1 MEDICINE, GENERAL & INTERNAL
Andrea Lanzafame, Giulio Perrone, Andrea Campisi, Francesco Razionale, Elena Panettieri, Enza Genco, Maria Cristina Giustiniani, Alessandro Coppola, Felice Giuliante, Francesco Ardito
{"title":"外伤性脾切除术患者肝局灶性病变疑似肝细胞癌:肝内脾病变鉴别诊断的挑战-文献回顾及病例报告。","authors":"Andrea Lanzafame, Giulio Perrone, Andrea Campisi, Francesco Razionale, Elena Panettieri, Enza Genco, Maria Cristina Giustiniani, Alessandro Coppola, Felice Giuliante, Francesco Ardito","doi":"10.3390/diagnostics15192442","DOIUrl":null,"url":null,"abstract":"<p><p><b>Background:</b> Hepatic splenosis (HS) is a rare para-physiological condition resulting from the ectopic implantation of splenic tissue, most commonly following traumatic or surgical splenectomy. Its radiological features can mimic those of hepatocellular carcinoma (HCC), potentially leading to misdiagnosis and unnecessary invasive procedures, such as biopsies or liver resection. <b>Methods:</b> A literature review was conducted using the PubMed database to identify all reported cases of HS. <b>Case Presentation</b>: We report the case of a 52-year-old male with an incidental finding of a liver lesion in segment V, initially suspected to be HCC, and a history of post-traumatic splenectomy. The patient had no history of underlying liver disease. Due to the lesion's superficial location, a biopsy was not performed because of the risk of tumor rupture with subsequent bleeding or peritoneal seeding. Consequently, the patient underwent upfront laparoscopic anatomic segmentectomy of segment V. Final pathology revealed a diagnosis of intrahepatic splenosis. <b>Conclusions</b>: HS should be considered in the differential diagnosis of liver lesions in patients with a history of splenectomy but no underlying liver disease, particularly when imaging shows features suggestive of HCC, such as arterial phase hyperenhancement and portal venous washout. Awareness of this entity may prevent unnecessary invasive interventions and guide appropriate patient management.</p>","PeriodicalId":11225,"journal":{"name":"Diagnostics","volume":"15 19","pages":""},"PeriodicalIF":3.3000,"publicationDate":"2025-09-25","publicationTypes":"Journal Article","fieldsOfStudy":null,"isOpenAccess":false,"openAccessPdf":"https://www.ncbi.nlm.nih.gov/pmc/articles/PMC12523540/pdf/","citationCount":"0","resultStr":"{\"title\":\"Hepatic Focal Lesion Suspicious for Hepatocellular Carcinoma in a Patient with a History of Post-Traumatic Splenectomy: The Challenge of Differential Diagnosis with Intrahepatic Splenosis-Literature Review and Case Report.\",\"authors\":\"Andrea Lanzafame, Giulio Perrone, Andrea Campisi, Francesco Razionale, Elena Panettieri, Enza Genco, Maria Cristina Giustiniani, Alessandro Coppola, Felice Giuliante, Francesco Ardito\",\"doi\":\"10.3390/diagnostics15192442\",\"DOIUrl\":null,\"url\":null,\"abstract\":\"<p><p><b>Background:</b> Hepatic splenosis (HS) is a rare para-physiological condition resulting from the ectopic implantation of splenic tissue, most commonly following traumatic or surgical splenectomy. Its radiological features can mimic those of hepatocellular carcinoma (HCC), potentially leading to misdiagnosis and unnecessary invasive procedures, such as biopsies or liver resection. <b>Methods:</b> A literature review was conducted using the PubMed database to identify all reported cases of HS. <b>Case Presentation</b>: We report the case of a 52-year-old male with an incidental finding of a liver lesion in segment V, initially suspected to be HCC, and a history of post-traumatic splenectomy. The patient had no history of underlying liver disease. Due to the lesion's superficial location, a biopsy was not performed because of the risk of tumor rupture with subsequent bleeding or peritoneal seeding. Consequently, the patient underwent upfront laparoscopic anatomic segmentectomy of segment V. Final pathology revealed a diagnosis of intrahepatic splenosis. <b>Conclusions</b>: HS should be considered in the differential diagnosis of liver lesions in patients with a history of splenectomy but no underlying liver disease, particularly when imaging shows features suggestive of HCC, such as arterial phase hyperenhancement and portal venous washout. Awareness of this entity may prevent unnecessary invasive interventions and guide appropriate patient management.</p>\",\"PeriodicalId\":11225,\"journal\":{\"name\":\"Diagnostics\",\"volume\":\"15 19\",\"pages\":\"\"},\"PeriodicalIF\":3.3000,\"publicationDate\":\"2025-09-25\",\"publicationTypes\":\"Journal Article\",\"fieldsOfStudy\":null,\"isOpenAccess\":false,\"openAccessPdf\":\"https://www.ncbi.nlm.nih.gov/pmc/articles/PMC12523540/pdf/\",\"citationCount\":\"0\",\"resultStr\":null,\"platform\":\"Semanticscholar\",\"paperid\":null,\"PeriodicalName\":\"Diagnostics\",\"FirstCategoryId\":\"3\",\"ListUrlMain\":\"https://doi.org/10.3390/diagnostics15192442\",\"RegionNum\":3,\"RegionCategory\":\"医学\",\"ArticlePicture\":[],\"TitleCN\":null,\"AbstractTextCN\":null,\"PMCID\":null,\"EPubDate\":\"\",\"PubModel\":\"\",\"JCR\":\"Q1\",\"JCRName\":\"MEDICINE, GENERAL & INTERNAL\",\"Score\":null,\"Total\":0}","platform":"Semanticscholar","paperid":null,"PeriodicalName":"Diagnostics","FirstCategoryId":"3","ListUrlMain":"https://doi.org/10.3390/diagnostics15192442","RegionNum":3,"RegionCategory":"医学","ArticlePicture":[],"TitleCN":null,"AbstractTextCN":null,"PMCID":null,"EPubDate":"","PubModel":"","JCR":"Q1","JCRName":"MEDICINE, GENERAL & INTERNAL","Score":null,"Total":0}
引用次数: 0

摘要

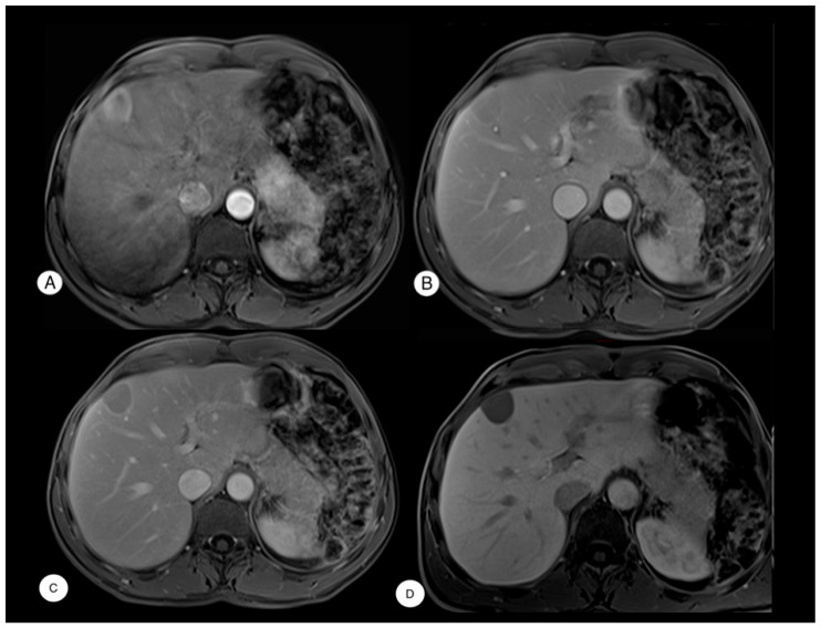
背景:肝性脾脾症(HS)是一种罕见的由脾组织异位植入引起的非生理性疾病,最常见于外伤性或外科脾切除术后。其放射学特征可能与肝细胞癌(HCC)相似,可能导致误诊和不必要的侵入性手术,如活检或肝切除术。方法:使用PubMed数据库进行文献回顾,确定所有报告的HS病例。病例介绍:我们报告一名52岁男性病例,偶然发现肝脏V段病变,最初怀疑为HCC,并有创伤后脾切除术史。患者无肝脏疾病病史。由于病变位于浅表位置,因此没有进行活检,因为存在肿瘤破裂导致出血或腹膜播种的风险。因此,患者接受了前路腹腔镜解剖切除v节段。最终病理诊断为肝内脾肿大。结论:有脾切除术史但无肝脏基础疾病的患者,特别是当影像学显示提示HCC的特征时,如动脉期高强化和门静脉冲洗时,应考虑HS作为肝脏病变的鉴别诊断。对这种实体的认识可以防止不必要的侵入性干预,并指导适当的患者管理。
本文章由计算机程序翻译,如有差异,请以英文原文为准。

Hepatic Focal Lesion Suspicious for Hepatocellular Carcinoma in a Patient with a History of Post-Traumatic Splenectomy: The Challenge of Differential Diagnosis with Intrahepatic Splenosis-Literature Review and Case Report.

Hepatic Focal Lesion Suspicious for Hepatocellular Carcinoma in a Patient with a History of Post-Traumatic Splenectomy: The Challenge of Differential Diagnosis with Intrahepatic Splenosis-Literature Review and Case Report.

Hepatic Focal Lesion Suspicious for Hepatocellular Carcinoma in a Patient with a History of Post-Traumatic Splenectomy: The Challenge of Differential Diagnosis with Intrahepatic Splenosis-Literature Review and Case Report.

Hepatic Focal Lesion Suspicious for Hepatocellular Carcinoma in a Patient with a History of Post-Traumatic Splenectomy: The Challenge of Differential Diagnosis with Intrahepatic Splenosis-Literature Review and Case Report.

Background: Hepatic splenosis (HS) is a rare para-physiological condition resulting from the ectopic implantation of splenic tissue, most commonly following traumatic or surgical splenectomy. Its radiological features can mimic those of hepatocellular carcinoma (HCC), potentially leading to misdiagnosis and unnecessary invasive procedures, such as biopsies or liver resection. Methods: A literature review was conducted using the PubMed database to identify all reported cases of HS. Case Presentation: We report the case of a 52-year-old male with an incidental finding of a liver lesion in segment V, initially suspected to be HCC, and a history of post-traumatic splenectomy. The patient had no history of underlying liver disease. Due to the lesion's superficial location, a biopsy was not performed because of the risk of tumor rupture with subsequent bleeding or peritoneal seeding. Consequently, the patient underwent upfront laparoscopic anatomic segmentectomy of segment V. Final pathology revealed a diagnosis of intrahepatic splenosis. Conclusions: HS should be considered in the differential diagnosis of liver lesions in patients with a history of splenectomy but no underlying liver disease, particularly when imaging shows features suggestive of HCC, such as arterial phase hyperenhancement and portal venous washout. Awareness of this entity may prevent unnecessary invasive interventions and guide appropriate patient management.

求助全文
通过发布文献求助,成功后即可免费获取论文全文。 去求助
来源期刊
Diagnostics
Diagnostics Biochemistry, Genetics and Molecular Biology-Clinical Biochemistry
CiteScore
4.70
自引率
8.30%
发文量
2699
审稿时长
19.64 days
期刊介绍: Diagnostics (ISSN 2075-4418) is an international scholarly open access journal on medical diagnostics. It publishes original research articles, reviews, communications and short notes on the research and development of medical diagnostics. There is no restriction on the length of the papers. Our aim is to encourage scientists to publish their experimental and theoretical research in as much detail as possible. Full experimental and/or methodological details must be provided for research articles.
×
引用
GB/T 7714-2015
复制
MLA
复制
APA
复制
导出至
BibTeX EndNote RefMan NoteFirst NoteExpress
×
提示
您的信息不完整,为了账户安全,请先补充。
现在去补充
×
提示
您因"违规操作"
具体请查看互助需知
我知道了
×
提示
确定
请完成安全验证×
copy
已复制链接
快去分享给好友吧!
我知道了
右上角分享
点击右上角分享
0
联系我们:info@booksci.cn Book学术提供免费学术资源搜索服务,方便国内外学者检索中英文文献。致力于提供最便捷和优质的服务体验。 Copyright © 2023 布克学术 All rights reserved.
京ICP备2023020795号-1
ghs 京公网安备 11010802042870号
Book学术文献互助
Book学术文献互助群
群 号:604180095
Book学术官方微信