一例罕见息肉样子宫内膜异位症的疑难诊断:一名年轻孕妇的肿瘤模拟病例报告及文献复习。

IF 3.3 3区 医学 Q1 MEDICINE, GENERAL & INTERNAL
Nicolae Gică, Ioana-Stefania Bostan, George-Dumitru Gheoca, Raluca Chirculescu, Alexandru-Gabriel Bran, Anca Maria Panaitescu, Claudia Mehedințu
{"title":"一例罕见息肉样子宫内膜异位症的疑难诊断:一名年轻孕妇的肿瘤模拟病例报告及文献复习。","authors":"Nicolae Gică, Ioana-Stefania Bostan, George-Dumitru Gheoca, Raluca Chirculescu, Alexandru-Gabriel Bran, Anca Maria Panaitescu, Claudia Mehedințu","doi":"10.3390/diagnostics15192460","DOIUrl":null,"url":null,"abstract":"<p><p><b>Background</b>: Polypoid endometriosis is a rare variant of endometriosis that presents as a tumorous mass, making it difficult to differentiate it from a malignant tumor. It usually occurs in perimenopausal women or those undergoing hormone therapy, and its presence in a young pregnant woman is extremely uncommon. <b>Case Presentation</b>: This article describes a rare instance of polypoid ovarian endometriosis in a pregnant woman, a condition with few documented cases in the medical literature. An adnexal mass was discovered incidentally during a routine prenatal ultrasound, with imaging features that raised the suspicion of a neoplastic process and prompted surgery to exclude malignancy. However, histopathological examination of the excised lesion confirmed features compatible with polypoid endometriosis, without revealing evidence of cancer. This case highlights the diagnostic challenges of differentiating polypoid endometriosis from ovarian neoplasms, especially during gestation, where imaging findings can be ambiguous. In addition, the hormonal environment inherent in pregnancy may exacerbate the proliferative behavior of endometriotic lesions, thus complicating clinical evaluations. The presence of an adnexal mass in such a setting often requires careful evaluation to balance the risks of surgery with the potential consequences of delayed diagnosis. The data presented emphasize the importance of an accurate diagnosis. In conclusion, a well-coordinated approach ensures the protection of maternal and fetal health. <b>Conclusions</b>: By prioritizing accurate diagnosis and personalized treatment plans, physicians can minimize complications and improve outcomes for both mother and child.</p>","PeriodicalId":11225,"journal":{"name":"Diagnostics","volume":"15 19","pages":""},"PeriodicalIF":3.3000,"publicationDate":"2025-09-26","publicationTypes":"Journal Article","fieldsOfStudy":null,"isOpenAccess":false,"openAccessPdf":"https://www.ncbi.nlm.nih.gov/pmc/articles/PMC12524295/pdf/","citationCount":"0","resultStr":"{\"title\":\"The Baffling Diagnosis of a Rare Case of Polypoid Endometriosis: Neoplasm Mimicking in a Young Pregnant Woman-A Case Report and Literature Review.\",\"authors\":\"Nicolae Gică, Ioana-Stefania Bostan, George-Dumitru Gheoca, Raluca Chirculescu, Alexandru-Gabriel Bran, Anca Maria Panaitescu, Claudia Mehedințu\",\"doi\":\"10.3390/diagnostics15192460\",\"DOIUrl\":null,\"url\":null,\"abstract\":\"<p><p><b>Background</b>: Polypoid endometriosis is a rare variant of endometriosis that presents as a tumorous mass, making it difficult to differentiate it from a malignant tumor. It usually occurs in perimenopausal women or those undergoing hormone therapy, and its presence in a young pregnant woman is extremely uncommon. <b>Case Presentation</b>: This article describes a rare instance of polypoid ovarian endometriosis in a pregnant woman, a condition with few documented cases in the medical literature. An adnexal mass was discovered incidentally during a routine prenatal ultrasound, with imaging features that raised the suspicion of a neoplastic process and prompted surgery to exclude malignancy. However, histopathological examination of the excised lesion confirmed features compatible with polypoid endometriosis, without revealing evidence of cancer. This case highlights the diagnostic challenges of differentiating polypoid endometriosis from ovarian neoplasms, especially during gestation, where imaging findings can be ambiguous. In addition, the hormonal environment inherent in pregnancy may exacerbate the proliferative behavior of endometriotic lesions, thus complicating clinical evaluations. The presence of an adnexal mass in such a setting often requires careful evaluation to balance the risks of surgery with the potential consequences of delayed diagnosis. The data presented emphasize the importance of an accurate diagnosis. In conclusion, a well-coordinated approach ensures the protection of maternal and fetal health. <b>Conclusions</b>: By prioritizing accurate diagnosis and personalized treatment plans, physicians can minimize complications and improve outcomes for both mother and child.</p>\",\"PeriodicalId\":11225,\"journal\":{\"name\":\"Diagnostics\",\"volume\":\"15 19\",\"pages\":\"\"},\"PeriodicalIF\":3.3000,\"publicationDate\":\"2025-09-26\",\"publicationTypes\":\"Journal Article\",\"fieldsOfStudy\":null,\"isOpenAccess\":false,\"openAccessPdf\":\"https://www.ncbi.nlm.nih.gov/pmc/articles/PMC12524295/pdf/\",\"citationCount\":\"0\",\"resultStr\":null,\"platform\":\"Semanticscholar\",\"paperid\":null,\"PeriodicalName\":\"Diagnostics\",\"FirstCategoryId\":\"3\",\"ListUrlMain\":\"https://doi.org/10.3390/diagnostics15192460\",\"RegionNum\":3,\"RegionCategory\":\"医学\",\"ArticlePicture\":[],\"TitleCN\":null,\"AbstractTextCN\":null,\"PMCID\":null,\"EPubDate\":\"\",\"PubModel\":\"\",\"JCR\":\"Q1\",\"JCRName\":\"MEDICINE, GENERAL & INTERNAL\",\"Score\":null,\"Total\":0}","platform":"Semanticscholar","paperid":null,"PeriodicalName":"Diagnostics","FirstCategoryId":"3","ListUrlMain":"https://doi.org/10.3390/diagnostics15192460","RegionNum":3,"RegionCategory":"医学","ArticlePicture":[],"TitleCN":null,"AbstractTextCN":null,"PMCID":null,"EPubDate":"","PubModel":"","JCR":"Q1","JCRName":"MEDICINE, GENERAL & INTERNAL","Score":null,"Total":0}
引用次数: 0

摘要

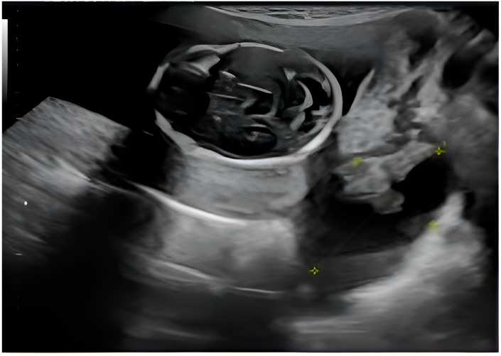
背景:息肉样子宫内膜异位症是一种罕见的子宫内膜异位症,表现为肿瘤肿块,很难与恶性肿瘤区分。它通常发生在围绝经期妇女或接受激素治疗的妇女中,在年轻孕妇中出现极为罕见。病例介绍:这篇文章描述了一个罕见的妊娠妇女的息肉样卵巢子宫内膜异位症,在医学文献中很少有记录的病例。在常规产前超声检查中偶然发现附件肿块,其影像学特征引起了肿瘤过程的怀疑,并提示手术排除恶性肿瘤。然而,切除病变的组织病理学检查证实了与息肉样子宫内膜异位症相符的特征,没有发现癌症的证据。本病例强调了鉴别子宫内膜异位症与卵巢肿瘤的诊断挑战,特别是在妊娠期间,影像学表现可能不明确。此外,妊娠期固有的激素环境可能加剧子宫内膜异位症病变的增殖行为,从而使临床评估复杂化。在这种情况下,附件肿块的存在通常需要仔细评估,以平衡手术风险和延迟诊断的潜在后果。提出的数据强调了准确诊断的重要性。最后,协调良好的做法可确保保护孕产妇和胎儿健康。结论:通过优先准确的诊断和个性化的治疗方案,医生可以最大限度地减少并发症,改善母亲和孩子的预后。
本文章由计算机程序翻译,如有差异,请以英文原文为准。

The Baffling Diagnosis of a Rare Case of Polypoid Endometriosis: Neoplasm Mimicking in a Young Pregnant Woman-A Case Report and Literature Review.

The Baffling Diagnosis of a Rare Case of Polypoid Endometriosis: Neoplasm Mimicking in a Young Pregnant Woman-A Case Report and Literature Review.

The Baffling Diagnosis of a Rare Case of Polypoid Endometriosis: Neoplasm Mimicking in a Young Pregnant Woman-A Case Report and Literature Review.

The Baffling Diagnosis of a Rare Case of Polypoid Endometriosis: Neoplasm Mimicking in a Young Pregnant Woman-A Case Report and Literature Review.

Background: Polypoid endometriosis is a rare variant of endometriosis that presents as a tumorous mass, making it difficult to differentiate it from a malignant tumor. It usually occurs in perimenopausal women or those undergoing hormone therapy, and its presence in a young pregnant woman is extremely uncommon. Case Presentation: This article describes a rare instance of polypoid ovarian endometriosis in a pregnant woman, a condition with few documented cases in the medical literature. An adnexal mass was discovered incidentally during a routine prenatal ultrasound, with imaging features that raised the suspicion of a neoplastic process and prompted surgery to exclude malignancy. However, histopathological examination of the excised lesion confirmed features compatible with polypoid endometriosis, without revealing evidence of cancer. This case highlights the diagnostic challenges of differentiating polypoid endometriosis from ovarian neoplasms, especially during gestation, where imaging findings can be ambiguous. In addition, the hormonal environment inherent in pregnancy may exacerbate the proliferative behavior of endometriotic lesions, thus complicating clinical evaluations. The presence of an adnexal mass in such a setting often requires careful evaluation to balance the risks of surgery with the potential consequences of delayed diagnosis. The data presented emphasize the importance of an accurate diagnosis. In conclusion, a well-coordinated approach ensures the protection of maternal and fetal health. Conclusions: By prioritizing accurate diagnosis and personalized treatment plans, physicians can minimize complications and improve outcomes for both mother and child.

求助全文
通过发布文献求助,成功后即可免费获取论文全文。 去求助
来源期刊
Diagnostics
Diagnostics Biochemistry, Genetics and Molecular Biology-Clinical Biochemistry
CiteScore
4.70
自引率
8.30%
发文量
2699
审稿时长
19.64 days
期刊介绍: Diagnostics (ISSN 2075-4418) is an international scholarly open access journal on medical diagnostics. It publishes original research articles, reviews, communications and short notes on the research and development of medical diagnostics. There is no restriction on the length of the papers. Our aim is to encourage scientists to publish their experimental and theoretical research in as much detail as possible. Full experimental and/or methodological details must be provided for research articles.
×
引用
GB/T 7714-2015
复制
MLA
复制
APA
复制
导出至
BibTeX EndNote RefMan NoteFirst NoteExpress
×
提示
您的信息不完整,为了账户安全,请先补充。
现在去补充
×
提示
您因"违规操作"
具体请查看互助需知
我知道了
×
提示
确定
请完成安全验证×
copy
已复制链接
快去分享给好友吧!
我知道了
右上角分享
点击右上角分享
0
联系我们:info@booksci.cn Book学术提供免费学术资源搜索服务,方便国内外学者检索中英文文献。致力于提供最便捷和优质的服务体验。 Copyright © 2023 布克学术 All rights reserved.
京ICP备2023020795号-1
ghs 京公网安备 11010802042870号
Book学术文献互助
Book学术文献互助群
群 号:604180095
Book学术官方微信