急性髓系白血病合并妊娠的报道及文献复习。

IF 3.3 3区 医学 Q1 MEDICINE, GENERAL & INTERNAL
Georgiana Nemeti, Laura Jimbu, Oana Mesaros, Iulian Gabriel Goidescu, Cezara Moisa, Mihai Surcel, Cerasela Mihaela Goidescu, Dan Boitor-Borza, Gheorghe Cruciat, Ioana Cristina Rotar, Daniel Muresan
{"title":"急性髓系白血病合并妊娠的报道及文献复习。","authors":"Georgiana Nemeti, Laura Jimbu, Oana Mesaros, Iulian Gabriel Goidescu, Cezara Moisa, Mihai Surcel, Cerasela Mihaela Goidescu, Dan Boitor-Borza, Gheorghe Cruciat, Ioana Cristina Rotar, Daniel Muresan","doi":"10.3390/diagnostics15192540","DOIUrl":null,"url":null,"abstract":"<p><p><b>Background and Clinical Significance:</b> The occurrence of acute myeloid leukemia (AML) in pregnancy represents a diagnostic and management challenge in the attempt to balance and achieve both maternal and fetal wellbeing. Pregnancy-specific manifestations mimic the initial symptoms of leukemia and may lead to a delay in diagnosis, especially during the first trimester of pregnancy. Decision-making strategies involve the patient and couples counseling with a multidisciplinary team of hematologists, obstetricians, neonatologists and psychologists. Maternal outcome depends on the disease subtype, progression and response to medication. Fetal outcome depends on other potential pregnancy complications, possible teratogenicity, gestational age at delivery and sometimes iatrogenic prematurity. <b>Case Presentation:</b> We present the case of a 38-year-old multiparous patient with a late first trimester, with an AML diagnosis presenting with hyperemesis gravidarum-like symptoms. Genetic testing revealed the presence of an Fms-like tyrosine kinase 3-internal tandem duplication mutation (FLT3-ITD). Following that, a repeatedly refused termination of pregnancy and rapid disease progression with azacitidine therapy was initiated. Elective cesarean delivery was performed at 34 weeks of gestation due to progressive leukocytosis, which persisted postpartum, requiring the use of first-, second-, and eventually third-line chemotherapy. Fetal outcome was favorable at 3 months postpartum. <b>Conclusions:</b> Cases of AML in pregnancy require a tailored approach according to guidelines, but also patient/couple preferences, while the choice of chemotherapy is limited considering its potential teratogenic effects. This is a case with a misleading first presentation and a challenging therapeutic choice due to its genetic subtype and maternal treatment postponement.</p>","PeriodicalId":11225,"journal":{"name":"Diagnostics","volume":"15 19","pages":""},"PeriodicalIF":3.3000,"publicationDate":"2025-10-09","publicationTypes":"Journal Article","fieldsOfStudy":null,"isOpenAccess":false,"openAccessPdf":"https://www.ncbi.nlm.nih.gov/pmc/articles/PMC12523824/pdf/","citationCount":"0","resultStr":"{\"title\":\"An Account of Acute Myeloid Leukemia Complicating Pregnancy and Literature Review.\",\"authors\":\"Georgiana Nemeti, Laura Jimbu, Oana Mesaros, Iulian Gabriel Goidescu, Cezara Moisa, Mihai Surcel, Cerasela Mihaela Goidescu, Dan Boitor-Borza, Gheorghe Cruciat, Ioana Cristina Rotar, Daniel Muresan\",\"doi\":\"10.3390/diagnostics15192540\",\"DOIUrl\":null,\"url\":null,\"abstract\":\"<p><p><b>Background and Clinical Significance:</b> The occurrence of acute myeloid leukemia (AML) in pregnancy represents a diagnostic and management challenge in the attempt to balance and achieve both maternal and fetal wellbeing. Pregnancy-specific manifestations mimic the initial symptoms of leukemia and may lead to a delay in diagnosis, especially during the first trimester of pregnancy. Decision-making strategies involve the patient and couples counseling with a multidisciplinary team of hematologists, obstetricians, neonatologists and psychologists. Maternal outcome depends on the disease subtype, progression and response to medication. Fetal outcome depends on other potential pregnancy complications, possible teratogenicity, gestational age at delivery and sometimes iatrogenic prematurity. <b>Case Presentation:</b> We present the case of a 38-year-old multiparous patient with a late first trimester, with an AML diagnosis presenting with hyperemesis gravidarum-like symptoms. Genetic testing revealed the presence of an Fms-like tyrosine kinase 3-internal tandem duplication mutation (FLT3-ITD). Following that, a repeatedly refused termination of pregnancy and rapid disease progression with azacitidine therapy was initiated. Elective cesarean delivery was performed at 34 weeks of gestation due to progressive leukocytosis, which persisted postpartum, requiring the use of first-, second-, and eventually third-line chemotherapy. Fetal outcome was favorable at 3 months postpartum. <b>Conclusions:</b> Cases of AML in pregnancy require a tailored approach according to guidelines, but also patient/couple preferences, while the choice of chemotherapy is limited considering its potential teratogenic effects. This is a case with a misleading first presentation and a challenging therapeutic choice due to its genetic subtype and maternal treatment postponement.</p>\",\"PeriodicalId\":11225,\"journal\":{\"name\":\"Diagnostics\",\"volume\":\"15 19\",\"pages\":\"\"},\"PeriodicalIF\":3.3000,\"publicationDate\":\"2025-10-09\",\"publicationTypes\":\"Journal Article\",\"fieldsOfStudy\":null,\"isOpenAccess\":false,\"openAccessPdf\":\"https://www.ncbi.nlm.nih.gov/pmc/articles/PMC12523824/pdf/\",\"citationCount\":\"0\",\"resultStr\":null,\"platform\":\"Semanticscholar\",\"paperid\":null,\"PeriodicalName\":\"Diagnostics\",\"FirstCategoryId\":\"3\",\"ListUrlMain\":\"https://doi.org/10.3390/diagnostics15192540\",\"RegionNum\":3,\"RegionCategory\":\"医学\",\"ArticlePicture\":[],\"TitleCN\":null,\"AbstractTextCN\":null,\"PMCID\":null,\"EPubDate\":\"\",\"PubModel\":\"\",\"JCR\":\"Q1\",\"JCRName\":\"MEDICINE, GENERAL & INTERNAL\",\"Score\":null,\"Total\":0}","platform":"Semanticscholar","paperid":null,"PeriodicalName":"Diagnostics","FirstCategoryId":"3","ListUrlMain":"https://doi.org/10.3390/diagnostics15192540","RegionNum":3,"RegionCategory":"医学","ArticlePicture":[],"TitleCN":null,"AbstractTextCN":null,"PMCID":null,"EPubDate":"","PubModel":"","JCR":"Q1","JCRName":"MEDICINE, GENERAL & INTERNAL","Score":null,"Total":0}
引用次数: 0

摘要

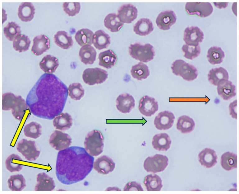
背景和临床意义:急性髓性白血病(AML)在妊娠期的发生是一个诊断和管理的挑战,试图平衡和实现母亲和胎儿的健康。妊娠特异性表现与白血病的初始症状相似,可能导致诊断延迟,特别是在妊娠的前三个月。决策策略涉及患者和夫妻咨询与多学科团队的血液学家,产科医生,新生儿和心理学家。产妇结局取决于疾病亚型、进展和对药物的反应。胎儿结局取决于其他潜在的妊娠并发症、可能的致畸性、分娩时的胎龄,有时还取决于医源性早产。病例介绍:我们提出的情况下,一个38岁的多胎患者晚期妊娠,与AML诊断呈现妊娠剧吐样症状。基因检测显示存在fms样酪氨酸激酶3-内部串联重复突变(FLT3-ITD)。随后,阿扎胞苷治疗多次拒绝终止妊娠和疾病快速进展。由于进行性白细胞增多,产后持续存在,需要使用一线、二线和最终三线化疗,在妊娠34周时进行了选择性剖宫产。产后3个月胎儿结局良好。结论:妊娠期急性髓性白血病病例需要根据指南和患者/夫妇的喜好量身定制治疗方案,而考虑到其潜在的致畸作用,化疗的选择是有限的。由于其遗传亚型和母体治疗延迟,这是一个具有误导性的首次表现和具有挑战性的治疗选择的病例。
本文章由计算机程序翻译,如有差异,请以英文原文为准。

An Account of Acute Myeloid Leukemia Complicating Pregnancy and Literature Review.

An Account of Acute Myeloid Leukemia Complicating Pregnancy and Literature Review.

An Account of Acute Myeloid Leukemia Complicating Pregnancy and Literature Review.

Background and Clinical Significance: The occurrence of acute myeloid leukemia (AML) in pregnancy represents a diagnostic and management challenge in the attempt to balance and achieve both maternal and fetal wellbeing. Pregnancy-specific manifestations mimic the initial symptoms of leukemia and may lead to a delay in diagnosis, especially during the first trimester of pregnancy. Decision-making strategies involve the patient and couples counseling with a multidisciplinary team of hematologists, obstetricians, neonatologists and psychologists. Maternal outcome depends on the disease subtype, progression and response to medication. Fetal outcome depends on other potential pregnancy complications, possible teratogenicity, gestational age at delivery and sometimes iatrogenic prematurity. Case Presentation: We present the case of a 38-year-old multiparous patient with a late first trimester, with an AML diagnosis presenting with hyperemesis gravidarum-like symptoms. Genetic testing revealed the presence of an Fms-like tyrosine kinase 3-internal tandem duplication mutation (FLT3-ITD). Following that, a repeatedly refused termination of pregnancy and rapid disease progression with azacitidine therapy was initiated. Elective cesarean delivery was performed at 34 weeks of gestation due to progressive leukocytosis, which persisted postpartum, requiring the use of first-, second-, and eventually third-line chemotherapy. Fetal outcome was favorable at 3 months postpartum. Conclusions: Cases of AML in pregnancy require a tailored approach according to guidelines, but also patient/couple preferences, while the choice of chemotherapy is limited considering its potential teratogenic effects. This is a case with a misleading first presentation and a challenging therapeutic choice due to its genetic subtype and maternal treatment postponement.

求助全文
通过发布文献求助,成功后即可免费获取论文全文。 去求助
来源期刊
Diagnostics
Diagnostics Biochemistry, Genetics and Molecular Biology-Clinical Biochemistry
CiteScore
4.70
自引率
8.30%
发文量
2699
审稿时长
19.64 days
期刊介绍: Diagnostics (ISSN 2075-4418) is an international scholarly open access journal on medical diagnostics. It publishes original research articles, reviews, communications and short notes on the research and development of medical diagnostics. There is no restriction on the length of the papers. Our aim is to encourage scientists to publish their experimental and theoretical research in as much detail as possible. Full experimental and/or methodological details must be provided for research articles.
×
引用
GB/T 7714-2015
复制
MLA
复制
APA
复制
导出至
BibTeX EndNote RefMan NoteFirst NoteExpress
×
提示
您的信息不完整,为了账户安全,请先补充。
现在去补充
×
提示
您因"违规操作"
具体请查看互助需知
我知道了
×
提示
确定
请完成安全验证×
copy
已复制链接
快去分享给好友吧!
我知道了
右上角分享
点击右上角分享
0
联系我们:info@booksci.cn Book学术提供免费学术资源搜索服务,方便国内外学者检索中英文文献。致力于提供最便捷和优质的服务体验。 Copyright © 2023 布克学术 All rights reserved.
京ICP备2023020795号-1
ghs 京公网安备 11010802042870号
Book学术文献互助
Book学术文献互助群
群 号:604180095
Book学术官方微信