表观扩散系数作为甲状腺结节微波消融反应的预测因子:一项前瞻性研究。

IF 3.3 3区 医学 Q1 MEDICINE, GENERAL & INTERNAL
Mustafa Demir, Yunus Yasar
{"title":"表观扩散系数作为甲状腺结节微波消融反应的预测因子:一项前瞻性研究。","authors":"Mustafa Demir, Yunus Yasar","doi":"10.3390/diagnostics15192538","DOIUrl":null,"url":null,"abstract":"<p><p><b>Background:</b> Microwave ablation (MWA) is an effective, minimally invasive therapy for benign thyroid nodules; however, the treatment response varies considerably. Identifying imaging biomarkers that can predict volumetric outcomes may optimize patient selection. Diffusion-weighted MRI (DW-MRI) offers a noninvasive assessment of tissue microstructure through apparent diffusion coefficient (ADC) measurements, which may correlate with ablation efficacy. <b>Methods:</b> In this prospective study, 48 patients with 50 cytologically confirmed benign thyroid nodules underwent diffusion-weighted magnetic resonance imaging (DW-MRI) before minimally invasive ablation (MWA). Baseline ADC values were measured, and nodule volumes were assessed by ultrasound at baseline and 1, 3, and 6 months postprocedure. The volume reduction ratio (VRR) was calculated, and associations with baseline variables were analyzed via Pearson correlation and multivariable linear regression. ROC curve analysis was used to evaluate the diagnostic performance of ADC in predicting significant volume reduction (VRR ≥ 50%). <b>Results:</b> Lower baseline ADC values were strongly correlated with greater VRR at 3 months (r = -0.525, <i>p</i> < 0.001) and 6 months (r = -0.564, <i>p</i> < 0.001). Multivariable regression revealed that the baseline ADC was the sole independent predictor of the 6-month VRR (β = -19.52, <i>p</i> = 0.0004). ROC analysis demonstrated excellent discriminative performance (AUC = 0.915; 95% CI: 0.847-0.971), with an ADC cutoff of 2.20 × 10<sup>-3</sup> mm<sup>2</sup>/s yielding 90.9% sensitivity and 83.3% specificity for predicting a favorable volumetric response. <b>Conclusions:</b> Baseline ADC values derived from DW-MRI strongly predict volumetric response following microwave ablation of benign thyroid nodules. Incorporating ADC assessment into preprocedural evaluation may enhance patient selection and improve therapeutic outcomes.</p>","PeriodicalId":11225,"journal":{"name":"Diagnostics","volume":"15 19","pages":""},"PeriodicalIF":3.3000,"publicationDate":"2025-10-09","publicationTypes":"Journal Article","fieldsOfStudy":null,"isOpenAccess":false,"openAccessPdf":"https://www.ncbi.nlm.nih.gov/pmc/articles/PMC12523290/pdf/","citationCount":"0","resultStr":"{\"title\":\"Apparent Diffusion Coefficient as a Predictor of Microwave Ablation Response in Thyroid Nodules: A Prospective Study.\",\"authors\":\"Mustafa Demir, Yunus Yasar\",\"doi\":\"10.3390/diagnostics15192538\",\"DOIUrl\":null,\"url\":null,\"abstract\":\"<p><p><b>Background:</b> Microwave ablation (MWA) is an effective, minimally invasive therapy for benign thyroid nodules; however, the treatment response varies considerably. Identifying imaging biomarkers that can predict volumetric outcomes may optimize patient selection. Diffusion-weighted MRI (DW-MRI) offers a noninvasive assessment of tissue microstructure through apparent diffusion coefficient (ADC) measurements, which may correlate with ablation efficacy. <b>Methods:</b> In this prospective study, 48 patients with 50 cytologically confirmed benign thyroid nodules underwent diffusion-weighted magnetic resonance imaging (DW-MRI) before minimally invasive ablation (MWA). Baseline ADC values were measured, and nodule volumes were assessed by ultrasound at baseline and 1, 3, and 6 months postprocedure. The volume reduction ratio (VRR) was calculated, and associations with baseline variables were analyzed via Pearson correlation and multivariable linear regression. ROC curve analysis was used to evaluate the diagnostic performance of ADC in predicting significant volume reduction (VRR ≥ 50%). <b>Results:</b> Lower baseline ADC values were strongly correlated with greater VRR at 3 months (r = -0.525, <i>p</i> < 0.001) and 6 months (r = -0.564, <i>p</i> < 0.001). Multivariable regression revealed that the baseline ADC was the sole independent predictor of the 6-month VRR (β = -19.52, <i>p</i> = 0.0004). ROC analysis demonstrated excellent discriminative performance (AUC = 0.915; 95% CI: 0.847-0.971), with an ADC cutoff of 2.20 × 10<sup>-3</sup> mm<sup>2</sup>/s yielding 90.9% sensitivity and 83.3% specificity for predicting a favorable volumetric response. <b>Conclusions:</b> Baseline ADC values derived from DW-MRI strongly predict volumetric response following microwave ablation of benign thyroid nodules. Incorporating ADC assessment into preprocedural evaluation may enhance patient selection and improve therapeutic outcomes.</p>\",\"PeriodicalId\":11225,\"journal\":{\"name\":\"Diagnostics\",\"volume\":\"15 19\",\"pages\":\"\"},\"PeriodicalIF\":3.3000,\"publicationDate\":\"2025-10-09\",\"publicationTypes\":\"Journal Article\",\"fieldsOfStudy\":null,\"isOpenAccess\":false,\"openAccessPdf\":\"https://www.ncbi.nlm.nih.gov/pmc/articles/PMC12523290/pdf/\",\"citationCount\":\"0\",\"resultStr\":null,\"platform\":\"Semanticscholar\",\"paperid\":null,\"PeriodicalName\":\"Diagnostics\",\"FirstCategoryId\":\"3\",\"ListUrlMain\":\"https://doi.org/10.3390/diagnostics15192538\",\"RegionNum\":3,\"RegionCategory\":\"医学\",\"ArticlePicture\":[],\"TitleCN\":null,\"AbstractTextCN\":null,\"PMCID\":null,\"EPubDate\":\"\",\"PubModel\":\"\",\"JCR\":\"Q1\",\"JCRName\":\"MEDICINE, GENERAL & INTERNAL\",\"Score\":null,\"Total\":0}","platform":"Semanticscholar","paperid":null,"PeriodicalName":"Diagnostics","FirstCategoryId":"3","ListUrlMain":"https://doi.org/10.3390/diagnostics15192538","RegionNum":3,"RegionCategory":"医学","ArticlePicture":[],"TitleCN":null,"AbstractTextCN":null,"PMCID":null,"EPubDate":"","PubModel":"","JCR":"Q1","JCRName":"MEDICINE, GENERAL & INTERNAL","Score":null,"Total":0}
引用次数: 0

摘要

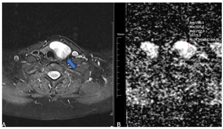
背景:微波消融(MWA)是治疗良性甲状腺结节的一种有效的微创治疗方法;然而,治疗效果差异很大。识别可以预测体积结果的成像生物标志物可以优化患者选择。扩散加权MRI (DW-MRI)通过表观扩散系数(ADC)测量提供了无创组织微观结构评估,这可能与消融效果相关。方法:在这项前瞻性研究中,48例50例细胞学证实的良性甲状腺结节患者在微创消融(MWA)前接受弥散加权磁共振成像(DW-MRI)检查。测量基线ADC值,并在基线和术后1、3和6个月通过超声评估结节体积。计算体积缩小比(VRR),并通过Pearson相关和多变量线性回归分析与基线变量的相关性。采用ROC曲线分析评价ADC在预测显著体积缩小(VRR≥50%)方面的诊断性能。结果:较低的基线ADC值与较高的VRR在3个月(r = -0.525, p < 0.001)和6个月(r = -0.564, p < 0.001)密切相关。多变量回归显示,基线ADC是6个月VRR的唯一独立预测因子(β = -19.52, p = 0.0004)。ROC分析显示了良好的判别性能(AUC = 0.915; 95% CI: 0.847-0.971), ADC截止值为2.20 × 10-3 mm2/s,预测良好的体积反应灵敏度为90.9%,特异性为83.3%。结论:DW-MRI得出的基线ADC值能很好地预测微波消融良性甲状腺结节后的体积反应。将ADC评估纳入手术前评估可以加强患者选择并改善治疗结果。
本文章由计算机程序翻译,如有差异,请以英文原文为准。

Apparent Diffusion Coefficient as a Predictor of Microwave Ablation Response in Thyroid Nodules: A Prospective Study.

Apparent Diffusion Coefficient as a Predictor of Microwave Ablation Response in Thyroid Nodules: A Prospective Study.

Apparent Diffusion Coefficient as a Predictor of Microwave Ablation Response in Thyroid Nodules: A Prospective Study.

Apparent Diffusion Coefficient as a Predictor of Microwave Ablation Response in Thyroid Nodules: A Prospective Study.

Background: Microwave ablation (MWA) is an effective, minimally invasive therapy for benign thyroid nodules; however, the treatment response varies considerably. Identifying imaging biomarkers that can predict volumetric outcomes may optimize patient selection. Diffusion-weighted MRI (DW-MRI) offers a noninvasive assessment of tissue microstructure through apparent diffusion coefficient (ADC) measurements, which may correlate with ablation efficacy. Methods: In this prospective study, 48 patients with 50 cytologically confirmed benign thyroid nodules underwent diffusion-weighted magnetic resonance imaging (DW-MRI) before minimally invasive ablation (MWA). Baseline ADC values were measured, and nodule volumes were assessed by ultrasound at baseline and 1, 3, and 6 months postprocedure. The volume reduction ratio (VRR) was calculated, and associations with baseline variables were analyzed via Pearson correlation and multivariable linear regression. ROC curve analysis was used to evaluate the diagnostic performance of ADC in predicting significant volume reduction (VRR ≥ 50%). Results: Lower baseline ADC values were strongly correlated with greater VRR at 3 months (r = -0.525, p < 0.001) and 6 months (r = -0.564, p < 0.001). Multivariable regression revealed that the baseline ADC was the sole independent predictor of the 6-month VRR (β = -19.52, p = 0.0004). ROC analysis demonstrated excellent discriminative performance (AUC = 0.915; 95% CI: 0.847-0.971), with an ADC cutoff of 2.20 × 10-3 mm2/s yielding 90.9% sensitivity and 83.3% specificity for predicting a favorable volumetric response. Conclusions: Baseline ADC values derived from DW-MRI strongly predict volumetric response following microwave ablation of benign thyroid nodules. Incorporating ADC assessment into preprocedural evaluation may enhance patient selection and improve therapeutic outcomes.

求助全文
通过发布文献求助,成功后即可免费获取论文全文。 去求助
来源期刊
Diagnostics
Diagnostics Biochemistry, Genetics and Molecular Biology-Clinical Biochemistry
CiteScore
4.70
自引率
8.30%
发文量
2699
审稿时长
19.64 days
期刊介绍: Diagnostics (ISSN 2075-4418) is an international scholarly open access journal on medical diagnostics. It publishes original research articles, reviews, communications and short notes on the research and development of medical diagnostics. There is no restriction on the length of the papers. Our aim is to encourage scientists to publish their experimental and theoretical research in as much detail as possible. Full experimental and/or methodological details must be provided for research articles.
×
引用
GB/T 7714-2015
复制
MLA
复制
APA
复制
导出至
BibTeX EndNote RefMan NoteFirst NoteExpress
×
提示
您的信息不完整,为了账户安全,请先补充。
现在去补充
×
提示
您因"违规操作"
具体请查看互助需知
我知道了
×
提示
确定
请完成安全验证×
copy
已复制链接
快去分享给好友吧!
我知道了
右上角分享
点击右上角分享
0
联系我们:info@booksci.cn Book学术提供免费学术资源搜索服务,方便国内外学者检索中英文文献。致力于提供最便捷和优质的服务体验。 Copyright © 2023 布克学术 All rights reserved.
京ICP备2023020795号-1
ghs 京公网安备 11010802042870号
Book学术文献互助
Book学术文献互助群
群 号:604180095
Book学术官方微信