肌肉老化的回声:剪切波弹性成像在肌少症诊断中的新作用。

IF 3.3 3区 医学 Q1 MEDICINE, GENERAL & INTERNAL
Linda Galasso, Federica Vitale, Manuela Pietramale, Giorgio Esposto, Raffaele Borriello, Irene Mignini, Antonio Gasbarrini, Maria Elena Ainora, Maria Assunta Zocco
{"title":"肌肉老化的回声:剪切波弹性成像在肌少症诊断中的新作用。","authors":"Linda Galasso, Federica Vitale, Manuela Pietramale, Giorgio Esposto, Raffaele Borriello, Irene Mignini, Antonio Gasbarrini, Maria Elena Ainora, Maria Assunta Zocco","doi":"10.3390/diagnostics15192495","DOIUrl":null,"url":null,"abstract":"<p><p>Sarcopenia, a progressive age-related loss of skeletal muscle mass, strength, and function, is a major contributor to disability, reduced quality of life, and mortality in older adults. While current diagnostic approaches, such as dual-energy X-ray absorptiometry (DXA), bioelectrical impedance analysis (BIA), magnetic resonance imaging (MRI), and computed tomography (CT), are widely used to assess muscle mass, they have limitations in detecting early qualitative changes in muscle architecture and composition. Shear Wave Elastography (SWE), an ultrasound-based technique that quantifies tissue stiffness, has emerged as a promising tool to evaluate both muscle quantity and quality in a non-invasive, portable, and reproducible manner. Studies suggest that SWE can detect alterations in muscle mechanical properties associated with sarcopenia, providing complementary information to traditional morphometric assessments. Preliminary evidence indicates its good reproducibility, feasibility in various clinical settings, and potential for integration into routine evaluations. This narrative review summarizes current evidence on the use of SWE for the assessment of sarcopenia across diverse populations.</p>","PeriodicalId":11225,"journal":{"name":"Diagnostics","volume":"15 19","pages":""},"PeriodicalIF":3.3000,"publicationDate":"2025-09-30","publicationTypes":"Journal Article","fieldsOfStudy":null,"isOpenAccess":false,"openAccessPdf":"https://www.ncbi.nlm.nih.gov/pmc/articles/PMC12523243/pdf/","citationCount":"0","resultStr":"{\"title\":\"Echoes of Muscle Aging: The Emerging Role of Shear Wave Elastography in Sarcopenia Diagnosis.\",\"authors\":\"Linda Galasso, Federica Vitale, Manuela Pietramale, Giorgio Esposto, Raffaele Borriello, Irene Mignini, Antonio Gasbarrini, Maria Elena Ainora, Maria Assunta Zocco\",\"doi\":\"10.3390/diagnostics15192495\",\"DOIUrl\":null,\"url\":null,\"abstract\":\"<p><p>Sarcopenia, a progressive age-related loss of skeletal muscle mass, strength, and function, is a major contributor to disability, reduced quality of life, and mortality in older adults. While current diagnostic approaches, such as dual-energy X-ray absorptiometry (DXA), bioelectrical impedance analysis (BIA), magnetic resonance imaging (MRI), and computed tomography (CT), are widely used to assess muscle mass, they have limitations in detecting early qualitative changes in muscle architecture and composition. Shear Wave Elastography (SWE), an ultrasound-based technique that quantifies tissue stiffness, has emerged as a promising tool to evaluate both muscle quantity and quality in a non-invasive, portable, and reproducible manner. Studies suggest that SWE can detect alterations in muscle mechanical properties associated with sarcopenia, providing complementary information to traditional morphometric assessments. Preliminary evidence indicates its good reproducibility, feasibility in various clinical settings, and potential for integration into routine evaluations. This narrative review summarizes current evidence on the use of SWE for the assessment of sarcopenia across diverse populations.</p>\",\"PeriodicalId\":11225,\"journal\":{\"name\":\"Diagnostics\",\"volume\":\"15 19\",\"pages\":\"\"},\"PeriodicalIF\":3.3000,\"publicationDate\":\"2025-09-30\",\"publicationTypes\":\"Journal Article\",\"fieldsOfStudy\":null,\"isOpenAccess\":false,\"openAccessPdf\":\"https://www.ncbi.nlm.nih.gov/pmc/articles/PMC12523243/pdf/\",\"citationCount\":\"0\",\"resultStr\":null,\"platform\":\"Semanticscholar\",\"paperid\":null,\"PeriodicalName\":\"Diagnostics\",\"FirstCategoryId\":\"3\",\"ListUrlMain\":\"https://doi.org/10.3390/diagnostics15192495\",\"RegionNum\":3,\"RegionCategory\":\"医学\",\"ArticlePicture\":[],\"TitleCN\":null,\"AbstractTextCN\":null,\"PMCID\":null,\"EPubDate\":\"\",\"PubModel\":\"\",\"JCR\":\"Q1\",\"JCRName\":\"MEDICINE, GENERAL & INTERNAL\",\"Score\":null,\"Total\":0}","platform":"Semanticscholar","paperid":null,"PeriodicalName":"Diagnostics","FirstCategoryId":"3","ListUrlMain":"https://doi.org/10.3390/diagnostics15192495","RegionNum":3,"RegionCategory":"医学","ArticlePicture":[],"TitleCN":null,"AbstractTextCN":null,"PMCID":null,"EPubDate":"","PubModel":"","JCR":"Q1","JCRName":"MEDICINE, GENERAL & INTERNAL","Score":null,"Total":0}
引用次数: 0

摘要

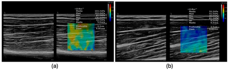
骨骼肌减少症是一种与年龄相关的骨骼肌质量、力量和功能的进行性丧失,是老年人残疾、生活质量下降和死亡率的主要原因。虽然目前的诊断方法,如双能x线吸收仪(DXA)、生物电阻抗分析(BIA)、磁共振成像(MRI)和计算机断层扫描(CT),被广泛用于评估肌肉质量,但它们在检测肌肉结构和成分的早期定性变化方面存在局限性。剪切波弹性成像(SWE)是一种基于超声的量化组织刚度的技术,已经成为一种有前途的工具,可以以无创、便携和可重复的方式评估肌肉的数量和质量。研究表明,SWE可以检测与肌肉减少症相关的肌肉力学特性的改变,为传统的形态计量学评估提供补充信息。初步证据表明,该方法具有良好的可重复性,在各种临床环境中具有可行性,并有可能纳入常规评估。这篇叙述性综述总结了目前在不同人群中使用SWE评估肌肉减少症的证据。
本文章由计算机程序翻译,如有差异,请以英文原文为准。

Echoes of Muscle Aging: The Emerging Role of Shear Wave Elastography in Sarcopenia Diagnosis.

Echoes of Muscle Aging: The Emerging Role of Shear Wave Elastography in Sarcopenia Diagnosis.

Sarcopenia, a progressive age-related loss of skeletal muscle mass, strength, and function, is a major contributor to disability, reduced quality of life, and mortality in older adults. While current diagnostic approaches, such as dual-energy X-ray absorptiometry (DXA), bioelectrical impedance analysis (BIA), magnetic resonance imaging (MRI), and computed tomography (CT), are widely used to assess muscle mass, they have limitations in detecting early qualitative changes in muscle architecture and composition. Shear Wave Elastography (SWE), an ultrasound-based technique that quantifies tissue stiffness, has emerged as a promising tool to evaluate both muscle quantity and quality in a non-invasive, portable, and reproducible manner. Studies suggest that SWE can detect alterations in muscle mechanical properties associated with sarcopenia, providing complementary information to traditional morphometric assessments. Preliminary evidence indicates its good reproducibility, feasibility in various clinical settings, and potential for integration into routine evaluations. This narrative review summarizes current evidence on the use of SWE for the assessment of sarcopenia across diverse populations.

求助全文
通过发布文献求助,成功后即可免费获取论文全文。 去求助
来源期刊
Diagnostics
Diagnostics Biochemistry, Genetics and Molecular Biology-Clinical Biochemistry
CiteScore
4.70
自引率
8.30%
发文量
2699
审稿时长
19.64 days
期刊介绍: Diagnostics (ISSN 2075-4418) is an international scholarly open access journal on medical diagnostics. It publishes original research articles, reviews, communications and short notes on the research and development of medical diagnostics. There is no restriction on the length of the papers. Our aim is to encourage scientists to publish their experimental and theoretical research in as much detail as possible. Full experimental and/or methodological details must be provided for research articles.
×
引用
GB/T 7714-2015
复制
MLA
复制
APA
复制
导出至
BibTeX EndNote RefMan NoteFirst NoteExpress
×
提示
您的信息不完整,为了账户安全,请先补充。
现在去补充
×
提示
您因"违规操作"
具体请查看互助需知
我知道了
×
提示
确定
请完成安全验证×
copy
已复制链接
快去分享给好友吧!
我知道了
右上角分享
点击右上角分享
0
联系我们:info@booksci.cn Book学术提供免费学术资源搜索服务,方便国内外学者检索中英文文献。致力于提供最便捷和优质的服务体验。 Copyright © 2023 布克学术 All rights reserved.
京ICP备2023020795号-1
ghs 京公网安备 11010802042870号
Book学术文献互助
Book学术文献互助群
群 号:604180095
Book学术官方微信