肥厚性心肌病酒精性室间隔消融患者右心室超声心动图参数监测的意义——单中心研究

IF 3.3 3区 医学 Q1 MEDICINE, GENERAL & INTERNAL
Tibor Poruban, Ingrid Schusterova, Dominik Pella, Jan Fedacko, Karolina Angela Sieradzka Uchnar, Barbora Sepesiova, Silvia Gurbalova
{"title":"肥厚性心肌病酒精性室间隔消融患者右心室超声心动图参数监测的意义——单中心研究","authors":"Tibor Poruban, Ingrid Schusterova, Dominik Pella, Jan Fedacko, Karolina Angela Sieradzka Uchnar, Barbora Sepesiova, Silvia Gurbalova","doi":"10.3390/diagnostics15192509","DOIUrl":null,"url":null,"abstract":"<p><p><b>Background/Objectives:</b> This study aimed to investigate the association between right ventricular (RV) structure and function and established markers of alcohol septal ablation (ASA) efficacy in patients with hypertrophic cardiomyopathy (HCM). We hypothesized that RV characteristics may serve as predictors of left ventricular outflow tract gradient (LVOT<sub>G</sub>) in the early period following ASA. <b>Methods:</b> A retrospective analysis was performed in 50 HCM patients who underwent ASA. Correlations between echocardiographic RV parameters and standard indicators of ASA success were assessed at 3 months, 1 year, 3 years, and 5 years post-procedure. <b>Results:</b> Echocardiographic measurements of RV wall thickness (RVWT) at 3 months and 1 year after ASA showed significant correlations with maximum LVOT<sub>G</sub> (<i>p</i> < 0.001), NYHA functional class, and left ventricular end-diastolic dimension (LV<sub>D</sub>) (both <i>p</i> < 0.01). At 3 and 5 years, these correlations were no longer statistically significant (<i>p</i> = ns). No associations were observed for other parameters. <b>Conclusions:</b> Echocardiographic assessment of RVWT may serve as an early predictor of subsequent LVOT<sub>G</sub> development as soon as 3 months after ASA. RVWT could therefore provide an estimate of long-term treatment effects. Further studies are needed to confirm these findings.</p>","PeriodicalId":11225,"journal":{"name":"Diagnostics","volume":"15 19","pages":""},"PeriodicalIF":3.3000,"publicationDate":"2025-10-02","publicationTypes":"Journal Article","fieldsOfStudy":null,"isOpenAccess":false,"openAccessPdf":"https://www.ncbi.nlm.nih.gov/pmc/articles/PMC12523401/pdf/","citationCount":"0","resultStr":"{\"title\":\"Significance of the Monitoring Right Ventricular Echocardiographic Parameters in Patients with Hypertrophic Cardiomyopathy Undergoing Alcohol Septal Ablation-A Single-Center Experience.\",\"authors\":\"Tibor Poruban, Ingrid Schusterova, Dominik Pella, Jan Fedacko, Karolina Angela Sieradzka Uchnar, Barbora Sepesiova, Silvia Gurbalova\",\"doi\":\"10.3390/diagnostics15192509\",\"DOIUrl\":null,\"url\":null,\"abstract\":\"<p><p><b>Background/Objectives:</b> This study aimed to investigate the association between right ventricular (RV) structure and function and established markers of alcohol septal ablation (ASA) efficacy in patients with hypertrophic cardiomyopathy (HCM). We hypothesized that RV characteristics may serve as predictors of left ventricular outflow tract gradient (LVOT<sub>G</sub>) in the early period following ASA. <b>Methods:</b> A retrospective analysis was performed in 50 HCM patients who underwent ASA. Correlations between echocardiographic RV parameters and standard indicators of ASA success were assessed at 3 months, 1 year, 3 years, and 5 years post-procedure. <b>Results:</b> Echocardiographic measurements of RV wall thickness (RVWT) at 3 months and 1 year after ASA showed significant correlations with maximum LVOT<sub>G</sub> (<i>p</i> < 0.001), NYHA functional class, and left ventricular end-diastolic dimension (LV<sub>D</sub>) (both <i>p</i> < 0.01). At 3 and 5 years, these correlations were no longer statistically significant (<i>p</i> = ns). No associations were observed for other parameters. <b>Conclusions:</b> Echocardiographic assessment of RVWT may serve as an early predictor of subsequent LVOT<sub>G</sub> development as soon as 3 months after ASA. RVWT could therefore provide an estimate of long-term treatment effects. Further studies are needed to confirm these findings.</p>\",\"PeriodicalId\":11225,\"journal\":{\"name\":\"Diagnostics\",\"volume\":\"15 19\",\"pages\":\"\"},\"PeriodicalIF\":3.3000,\"publicationDate\":\"2025-10-02\",\"publicationTypes\":\"Journal Article\",\"fieldsOfStudy\":null,\"isOpenAccess\":false,\"openAccessPdf\":\"https://www.ncbi.nlm.nih.gov/pmc/articles/PMC12523401/pdf/\",\"citationCount\":\"0\",\"resultStr\":null,\"platform\":\"Semanticscholar\",\"paperid\":null,\"PeriodicalName\":\"Diagnostics\",\"FirstCategoryId\":\"3\",\"ListUrlMain\":\"https://doi.org/10.3390/diagnostics15192509\",\"RegionNum\":3,\"RegionCategory\":\"医学\",\"ArticlePicture\":[],\"TitleCN\":null,\"AbstractTextCN\":null,\"PMCID\":null,\"EPubDate\":\"\",\"PubModel\":\"\",\"JCR\":\"Q1\",\"JCRName\":\"MEDICINE, GENERAL & INTERNAL\",\"Score\":null,\"Total\":0}","platform":"Semanticscholar","paperid":null,"PeriodicalName":"Diagnostics","FirstCategoryId":"3","ListUrlMain":"https://doi.org/10.3390/diagnostics15192509","RegionNum":3,"RegionCategory":"医学","ArticlePicture":[],"TitleCN":null,"AbstractTextCN":null,"PMCID":null,"EPubDate":"","PubModel":"","JCR":"Q1","JCRName":"MEDICINE, GENERAL & INTERNAL","Score":null,"Total":0}
引用次数: 0

摘要

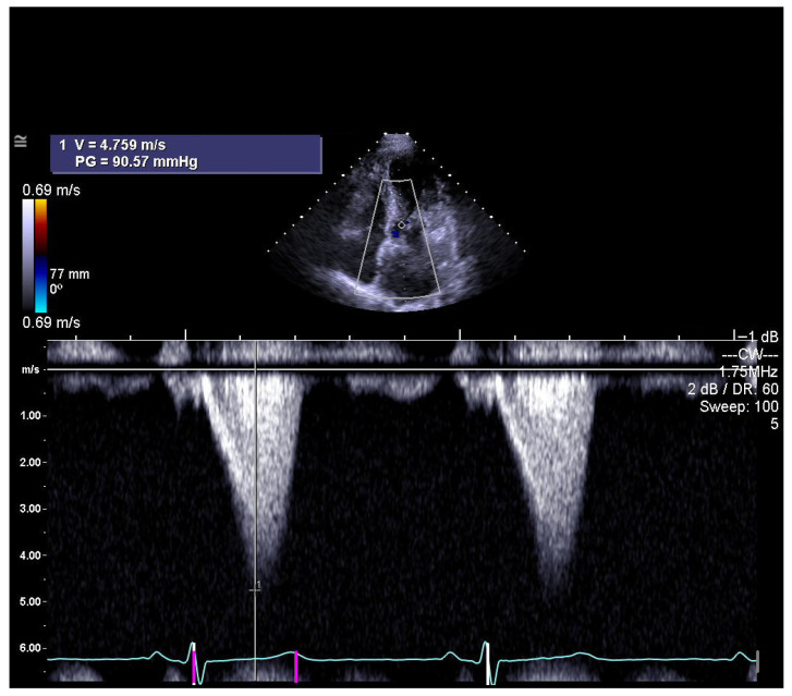
背景/目的:本研究旨在探讨肥厚性心肌病(HCM)患者右心室(RV)结构和功能之间的关系,并建立酒精间隔消融术(ASA)疗效的标志物。我们假设右心室特征可以作为ASA后早期左心室流出道梯度(LVOTG)的预测因子。方法:对50例接受ASA治疗的HCM患者进行回顾性分析。在术后3个月、1年、3年和5年评估超声心动图RV参数与ASA成功标准指标的相关性。结果:ASA后3个月和1年的左室壁厚(RVWT)与最大LVOTG (p < 0.001)、NYHA功能分级和左室舒张末期尺寸(LVD)均有显著相关性(p < 0.01)。在第3年和第5年,这些相关性不再具有统计学意义(p = ns)。其他参数未观察到关联。结论:超声心动图评估RVWT可作为ASA后3个月LVOTG发展的早期预测指标。因此,RVWT可以提供长期治疗效果的估计。需要进一步的研究来证实这些发现。
本文章由计算机程序翻译,如有差异,请以英文原文为准。

Significance of the Monitoring Right Ventricular Echocardiographic Parameters in Patients with Hypertrophic Cardiomyopathy Undergoing Alcohol Septal Ablation-A Single-Center Experience.

Significance of the Monitoring Right Ventricular Echocardiographic Parameters in Patients with Hypertrophic Cardiomyopathy Undergoing Alcohol Septal Ablation-A Single-Center Experience.

Significance of the Monitoring Right Ventricular Echocardiographic Parameters in Patients with Hypertrophic Cardiomyopathy Undergoing Alcohol Septal Ablation-A Single-Center Experience.

Significance of the Monitoring Right Ventricular Echocardiographic Parameters in Patients with Hypertrophic Cardiomyopathy Undergoing Alcohol Septal Ablation-A Single-Center Experience.

Background/Objectives: This study aimed to investigate the association between right ventricular (RV) structure and function and established markers of alcohol septal ablation (ASA) efficacy in patients with hypertrophic cardiomyopathy (HCM). We hypothesized that RV characteristics may serve as predictors of left ventricular outflow tract gradient (LVOTG) in the early period following ASA. Methods: A retrospective analysis was performed in 50 HCM patients who underwent ASA. Correlations between echocardiographic RV parameters and standard indicators of ASA success were assessed at 3 months, 1 year, 3 years, and 5 years post-procedure. Results: Echocardiographic measurements of RV wall thickness (RVWT) at 3 months and 1 year after ASA showed significant correlations with maximum LVOTG (p < 0.001), NYHA functional class, and left ventricular end-diastolic dimension (LVD) (both p < 0.01). At 3 and 5 years, these correlations were no longer statistically significant (p = ns). No associations were observed for other parameters. Conclusions: Echocardiographic assessment of RVWT may serve as an early predictor of subsequent LVOTG development as soon as 3 months after ASA. RVWT could therefore provide an estimate of long-term treatment effects. Further studies are needed to confirm these findings.

求助全文
通过发布文献求助,成功后即可免费获取论文全文。 去求助
来源期刊
Diagnostics
Diagnostics Biochemistry, Genetics and Molecular Biology-Clinical Biochemistry
CiteScore
4.70
自引率
8.30%
发文量
2699
审稿时长
19.64 days
期刊介绍: Diagnostics (ISSN 2075-4418) is an international scholarly open access journal on medical diagnostics. It publishes original research articles, reviews, communications and short notes on the research and development of medical diagnostics. There is no restriction on the length of the papers. Our aim is to encourage scientists to publish their experimental and theoretical research in as much detail as possible. Full experimental and/or methodological details must be provided for research articles.
×
引用
GB/T 7714-2015
复制
MLA
复制
APA
复制
导出至
BibTeX EndNote RefMan NoteFirst NoteExpress
×
提示
您的信息不完整,为了账户安全,请先补充。
现在去补充
×
提示
您因"违规操作"
具体请查看互助需知
我知道了
×
提示
确定
请完成安全验证×
copy
已复制链接
快去分享给好友吧!
我知道了
右上角分享
点击右上角分享
0
联系我们:info@booksci.cn Book学术提供免费学术资源搜索服务,方便国内外学者检索中英文文献。致力于提供最便捷和优质的服务体验。 Copyright © 2023 布克学术 All rights reserved.
京ICP备2023020795号-1
ghs 京公网安备 11010802042870号
Book学术文献互助
Book学术文献互助群
群 号:604180095
Book学术官方微信