腹下动脉结扎可以替代动脉栓塞治疗阴道出血吗?一个病例报告。

IF 2.2 Q2 OBSTETRICS & GYNECOLOGY
Seyedeh Azam Pourhoseini, Malihe Mahmoudinia, Mona Jafari, Shadi Moloughi
{"title":"腹下动脉结扎可以替代动脉栓塞治疗阴道出血吗?一个病例报告。","authors":"Seyedeh Azam Pourhoseini, Malihe Mahmoudinia, Mona Jafari, Shadi Moloughi","doi":"10.22074/ijfs.2025.2004347.1478","DOIUrl":null,"url":null,"abstract":"<p><p>Uterine arteriovenous malformation (AVM) is an uncommon yet potentially life-threatening condition characterized by significant vaginal hemorrhage. Diagnosis can be established through various imaging modalities, including doppler ultrasound, magnetic resonance imaging (MRI), computed tomography (CT), or pelvic angiography. The choice of treatment is influenced by several factors, including the patient's age, clinical symptoms, reproductive aspirations, and the size and anatomical location of the malformation. For symptomatic AVM in patients of reproductive age who wish to preserve fertility, uterine artery embolization (UAE) is considered the preferred therapeutic approach. This article is about the management of resistant vaginal bleeding after unsuccessful uterine artery embolization. This report presents a case of uterine AVM in a 32-year-old female who experienced abnormal vaginal bleeding following an induced abortion. The diagnosis of uterine AVM was confirmed via doppler ultrasonography. Although bilateral UAE was performed, the patient continued to experience significant vaginal bleeding. Following the unsuccessful embolization procedure, the patient was effectively managed through bilateral hypogastric artery ligation. Abnormal vaginal bleeding may be indicative of uterine AVM, particularly in individuals with a history of cesarean delivery, induced abortion, or dilation and curettage (D/C) procedures. While transcatheter UAE is generally an effective treatment, it may not succeed in all cases.</p>","PeriodicalId":14080,"journal":{"name":"International Journal of Fertility & Sterility","volume":"19 4","pages":"442-445"},"PeriodicalIF":2.2000,"publicationDate":"2025-09-30","publicationTypes":"Journal Article","fieldsOfStudy":null,"isOpenAccess":false,"openAccessPdf":"https://www.ncbi.nlm.nih.gov/pmc/articles/PMC12530206/pdf/","citationCount":"0","resultStr":"{\"title\":\"Could Hypogastric Artery Ligation Be An Alternative To Artery Embolization For Managing Vaginal Bleeding? A Case Report.\",\"authors\":\"Seyedeh Azam Pourhoseini, Malihe Mahmoudinia, Mona Jafari, Shadi Moloughi\",\"doi\":\"10.22074/ijfs.2025.2004347.1478\",\"DOIUrl\":null,\"url\":null,\"abstract\":\"<p><p>Uterine arteriovenous malformation (AVM) is an uncommon yet potentially life-threatening condition characterized by significant vaginal hemorrhage. Diagnosis can be established through various imaging modalities, including doppler ultrasound, magnetic resonance imaging (MRI), computed tomography (CT), or pelvic angiography. The choice of treatment is influenced by several factors, including the patient's age, clinical symptoms, reproductive aspirations, and the size and anatomical location of the malformation. For symptomatic AVM in patients of reproductive age who wish to preserve fertility, uterine artery embolization (UAE) is considered the preferred therapeutic approach. This article is about the management of resistant vaginal bleeding after unsuccessful uterine artery embolization. This report presents a case of uterine AVM in a 32-year-old female who experienced abnormal vaginal bleeding following an induced abortion. The diagnosis of uterine AVM was confirmed via doppler ultrasonography. Although bilateral UAE was performed, the patient continued to experience significant vaginal bleeding. Following the unsuccessful embolization procedure, the patient was effectively managed through bilateral hypogastric artery ligation. Abnormal vaginal bleeding may be indicative of uterine AVM, particularly in individuals with a history of cesarean delivery, induced abortion, or dilation and curettage (D/C) procedures. While transcatheter UAE is generally an effective treatment, it may not succeed in all cases.</p>\",\"PeriodicalId\":14080,\"journal\":{\"name\":\"International Journal of Fertility & Sterility\",\"volume\":\"19 4\",\"pages\":\"442-445\"},\"PeriodicalIF\":2.2000,\"publicationDate\":\"2025-09-30\",\"publicationTypes\":\"Journal Article\",\"fieldsOfStudy\":null,\"isOpenAccess\":false,\"openAccessPdf\":\"https://www.ncbi.nlm.nih.gov/pmc/articles/PMC12530206/pdf/\",\"citationCount\":\"0\",\"resultStr\":null,\"platform\":\"Semanticscholar\",\"paperid\":null,\"PeriodicalName\":\"International Journal of Fertility & Sterility\",\"FirstCategoryId\":\"1085\",\"ListUrlMain\":\"https://doi.org/10.22074/ijfs.2025.2004347.1478\",\"RegionNum\":0,\"RegionCategory\":null,\"ArticlePicture\":[],\"TitleCN\":null,\"AbstractTextCN\":null,\"PMCID\":null,\"EPubDate\":\"\",\"PubModel\":\"\",\"JCR\":\"Q2\",\"JCRName\":\"OBSTETRICS & GYNECOLOGY\",\"Score\":null,\"Total\":0}","platform":"Semanticscholar","paperid":null,"PeriodicalName":"International Journal of Fertility & Sterility","FirstCategoryId":"1085","ListUrlMain":"https://doi.org/10.22074/ijfs.2025.2004347.1478","RegionNum":0,"RegionCategory":null,"ArticlePicture":[],"TitleCN":null,"AbstractTextCN":null,"PMCID":null,"EPubDate":"","PubModel":"","JCR":"Q2","JCRName":"OBSTETRICS & GYNECOLOGY","Score":null,"Total":0}
引用次数: 0

摘要

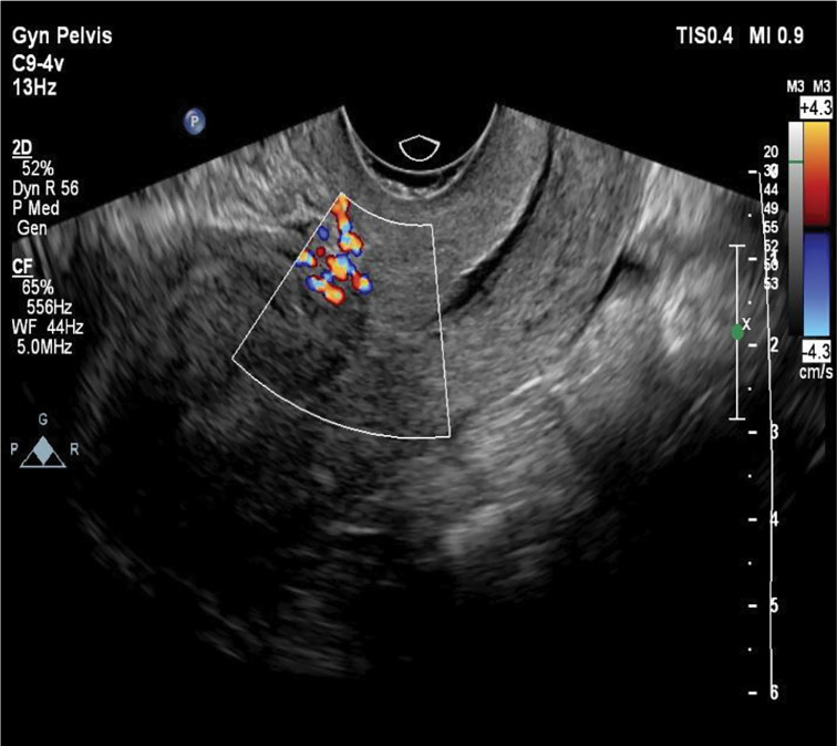
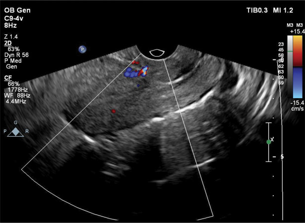
子宫动静脉畸形(AVM)是一种罕见但可能危及生命的疾病,其特征是阴道出血。诊断可以通过各种成像方式建立,包括多普勒超声,磁共振成像(MRI),计算机断层扫描(CT),或盆腔血管造影。治疗的选择受几个因素的影响,包括患者的年龄、临床症状、生育愿望、畸形的大小和解剖位置。对于育龄期希望保留生育能力的有症状的AVM患者,子宫动脉栓塞(UAE)被认为是首选的治疗方法。本文是关于子宫动脉栓塞失败后难治性阴道出血的处理。本报告提出一个病例子宫AVM在一个32岁的女性谁经历了异常阴道出血后人工流产。经多普勒超声证实子宫AVM的诊断。虽然进行了双侧UAE,但患者仍有明显的阴道出血。栓塞手术失败后,通过双侧腹下动脉结扎对患者进行了有效的治疗。阴道异常出血可能提示子宫动静脉畸形,特别是有剖宫产、人工流产或宫内扩张刮除(D/C)手术史的患者。虽然经导管UAE通常是一种有效的治疗方法,但它可能不是在所有情况下都成功。
本文章由计算机程序翻译,如有差异,请以英文原文为准。

Could Hypogastric Artery Ligation Be An Alternative To Artery Embolization For Managing Vaginal Bleeding? A Case Report.

Could Hypogastric Artery Ligation Be An Alternative To Artery Embolization For Managing Vaginal Bleeding? A Case Report.

Could Hypogastric Artery Ligation Be An Alternative To Artery Embolization For Managing Vaginal Bleeding? A Case Report.

Uterine arteriovenous malformation (AVM) is an uncommon yet potentially life-threatening condition characterized by significant vaginal hemorrhage. Diagnosis can be established through various imaging modalities, including doppler ultrasound, magnetic resonance imaging (MRI), computed tomography (CT), or pelvic angiography. The choice of treatment is influenced by several factors, including the patient's age, clinical symptoms, reproductive aspirations, and the size and anatomical location of the malformation. For symptomatic AVM in patients of reproductive age who wish to preserve fertility, uterine artery embolization (UAE) is considered the preferred therapeutic approach. This article is about the management of resistant vaginal bleeding after unsuccessful uterine artery embolization. This report presents a case of uterine AVM in a 32-year-old female who experienced abnormal vaginal bleeding following an induced abortion. The diagnosis of uterine AVM was confirmed via doppler ultrasonography. Although bilateral UAE was performed, the patient continued to experience significant vaginal bleeding. Following the unsuccessful embolization procedure, the patient was effectively managed through bilateral hypogastric artery ligation. Abnormal vaginal bleeding may be indicative of uterine AVM, particularly in individuals with a history of cesarean delivery, induced abortion, or dilation and curettage (D/C) procedures. While transcatheter UAE is generally an effective treatment, it may not succeed in all cases.

求助全文
通过发布文献求助,成功后即可免费获取论文全文。 去求助
来源期刊
CiteScore
4.20
自引率
0.00%
发文量
68
审稿时长
>12 weeks
期刊介绍: International Journal of Fertility & Sterility is a quarterly English publication of Royan Institute . The aim of the journal is to disseminate information through publishing the most recent scientific research studies on Fertility and Sterility and other related topics. Int J Fertil Steril has been certified by Ministry of Culture and Islamic Guidance in 2007 and was accredited as a scientific and research journal by HBI (Health and Biomedical Information) Journal Accreditation Commission in 2008. Int J Fertil Steril is an Open Access journal.
×
引用
GB/T 7714-2015
复制
MLA
复制
APA
复制
导出至
BibTeX EndNote RefMan NoteFirst NoteExpress
×
提示
您的信息不完整,为了账户安全,请先补充。
现在去补充
×
提示
您因"违规操作"
具体请查看互助需知
我知道了
×
提示
确定
请完成安全验证×
copy
已复制链接
快去分享给好友吧!
我知道了
右上角分享
点击右上角分享
0
联系我们:info@booksci.cn Book学术提供免费学术资源搜索服务,方便国内外学者检索中英文文献。致力于提供最便捷和优质的服务体验。 Copyright © 2023 布克学术 All rights reserved.
京ICP备2023020795号-1
ghs 京公网安备 11010802042870号
Book学术文献互助
Book学术文献互助群
群 号:604180095
Book学术官方微信