机器人辅助系统在肺结节术前钩丝定位中的初步临床经验:一项前瞻性先导研究。

IF 3 3区 医学 Q2 SURGERY
Pengfei Li, Wenheng Zheng, Zheng Wang, Xueling Zhang, Zhuang Tong, Liang Zhang, Hehuan Yao, Chenlei Zhang, Gebang Wang, Yu Liu, Zheyu Liu, Yegang Ma, Weiguo Xie, Bingding Huang, Hongxu Liu
{"title":"机器人辅助系统在肺结节术前钩丝定位中的初步临床经验:一项前瞻性先导研究。","authors":"Pengfei Li, Wenheng Zheng, Zheng Wang, Xueling Zhang, Zhuang Tong, Liang Zhang, Hehuan Yao, Chenlei Zhang, Gebang Wang, Yu Liu, Zheyu Liu, Yegang Ma, Weiguo Xie, Bingding Huang, Hongxu Liu","doi":"10.1007/s11701-025-02824-1","DOIUrl":null,"url":null,"abstract":"<p><p>Accurate preoperative localization is critical for the surgical resection of small pulmonary nodules, yet conventional CT-guided hookwire placement remains operator-dependent and technically demanding. This prospective study evaluated the clinical performance of a robot-assisted navigation system for CT-guided preoperative hookwire localization of pulmonary nodules. The trial enrolled 60 patients scheduled for localization followed by VATS. Primary endpoints included first-attempt puncture success rate, needle placement accuracy, localization success rate, procedure duration, number of punctures, radiation dose, and complication rate, with subgroup analyses by lesion characteristic and patient positioning. The first-attempt puncture success rate was 100.0%, with an median needle placement accuracy of 5.7 mm (IQR 4.2-7.9). Localization success was achieved in 94.8% of nodules (55/58). The median procedure duration was 16.6 min (14.0-22.9), and the median radiation dose was 281.2 mGy·cm (227.1-365.8). The overall complication rate was 5.2% (3/58). Accuracy was consistent across subgroups, although lower lobe lesions and prone positioning were associated with longer procedure times, and prone positioning also increased radiation exposure, without compromising accuracy. These findings demonstrate the feasibility, precision, and safety of this system, supporting its potential to standardize and improve preoperative localization in thoracic surgery. Trial registration: Registry: https://www.chictr.org.cn/ , TRN: ChiCTR2500095919, Registration date: January 15, 2025.</p>","PeriodicalId":47616,"journal":{"name":"Journal of Robotic Surgery","volume":"19 1","pages":"690"},"PeriodicalIF":3.0000,"publicationDate":"2025-10-14","publicationTypes":"Journal Article","fieldsOfStudy":null,"isOpenAccess":false,"openAccessPdf":"https://www.ncbi.nlm.nih.gov/pmc/articles/PMC12521279/pdf/","citationCount":"0","resultStr":"{\"title\":\"Preliminary clinical experience with a robot-assisted system in preoperative hookwire localization of pulmonary nodules: a prospective pilot study.\",\"authors\":\"Pengfei Li, Wenheng Zheng, Zheng Wang, Xueling Zhang, Zhuang Tong, Liang Zhang, Hehuan Yao, Chenlei Zhang, Gebang Wang, Yu Liu, Zheyu Liu, Yegang Ma, Weiguo Xie, Bingding Huang, Hongxu Liu\",\"doi\":\"10.1007/s11701-025-02824-1\",\"DOIUrl\":null,\"url\":null,\"abstract\":\"<p><p>Accurate preoperative localization is critical for the surgical resection of small pulmonary nodules, yet conventional CT-guided hookwire placement remains operator-dependent and technically demanding. This prospective study evaluated the clinical performance of a robot-assisted navigation system for CT-guided preoperative hookwire localization of pulmonary nodules. The trial enrolled 60 patients scheduled for localization followed by VATS. Primary endpoints included first-attempt puncture success rate, needle placement accuracy, localization success rate, procedure duration, number of punctures, radiation dose, and complication rate, with subgroup analyses by lesion characteristic and patient positioning. The first-attempt puncture success rate was 100.0%, with an median needle placement accuracy of 5.7 mm (IQR 4.2-7.9). Localization success was achieved in 94.8% of nodules (55/58). The median procedure duration was 16.6 min (14.0-22.9), and the median radiation dose was 281.2 mGy·cm (227.1-365.8). The overall complication rate was 5.2% (3/58). Accuracy was consistent across subgroups, although lower lobe lesions and prone positioning were associated with longer procedure times, and prone positioning also increased radiation exposure, without compromising accuracy. These findings demonstrate the feasibility, precision, and safety of this system, supporting its potential to standardize and improve preoperative localization in thoracic surgery. Trial registration: Registry: https://www.chictr.org.cn/ , TRN: ChiCTR2500095919, Registration date: January 15, 2025.</p>\",\"PeriodicalId\":47616,\"journal\":{\"name\":\"Journal of Robotic Surgery\",\"volume\":\"19 1\",\"pages\":\"690\"},\"PeriodicalIF\":3.0000,\"publicationDate\":\"2025-10-14\",\"publicationTypes\":\"Journal Article\",\"fieldsOfStudy\":null,\"isOpenAccess\":false,\"openAccessPdf\":\"https://www.ncbi.nlm.nih.gov/pmc/articles/PMC12521279/pdf/\",\"citationCount\":\"0\",\"resultStr\":null,\"platform\":\"Semanticscholar\",\"paperid\":null,\"PeriodicalName\":\"Journal of Robotic Surgery\",\"FirstCategoryId\":\"3\",\"ListUrlMain\":\"https://doi.org/10.1007/s11701-025-02824-1\",\"RegionNum\":3,\"RegionCategory\":\"医学\",\"ArticlePicture\":[],\"TitleCN\":null,\"AbstractTextCN\":null,\"PMCID\":null,\"EPubDate\":\"\",\"PubModel\":\"\",\"JCR\":\"Q2\",\"JCRName\":\"SURGERY\",\"Score\":null,\"Total\":0}","platform":"Semanticscholar","paperid":null,"PeriodicalName":"Journal of Robotic Surgery","FirstCategoryId":"3","ListUrlMain":"https://doi.org/10.1007/s11701-025-02824-1","RegionNum":3,"RegionCategory":"医学","ArticlePicture":[],"TitleCN":null,"AbstractTextCN":null,"PMCID":null,"EPubDate":"","PubModel":"","JCR":"Q2","JCRName":"SURGERY","Score":null,"Total":0}
引用次数: 0

摘要

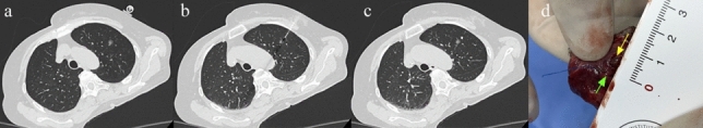
准确的术前定位对于小肺结节的手术切除至关重要,然而传统的ct引导下的钩线放置仍然依赖于手术人员和技术要求。这项前瞻性研究评估了机器人辅助导航系统在ct引导下术前肺结节钩线定位中的临床表现。该试验招募了60名患者,计划在定位后进行VATS。主要终点包括首次穿刺成功率、置针准确性、定位成功率、手术时间、穿刺次数、辐射剂量、并发症发生率,并根据病灶特征和患者体位进行亚组分析。首次穿刺成功率为100.0%,中位置针精度为5.7 mm (IQR 4.2-7.9)。94.8%的结节成功定位(55/58)。中位手术时间为16.6 min(14.0 ~ 22.9),中位辐射剂量为281.2 mGy·cm(227.1 ~ 365.8)。总并发症发生率为5.2%(3/58)。准确性在各亚组中是一致的,尽管下肺叶病变和俯卧位与较长的手术时间有关,俯卧位也增加了辐射暴露,但不影响准确性。这些发现证明了该系统的可行性、精确性和安全性,支持其标准化和改善胸外科术前定位的潜力。试验注册:注册号:https://www.chictr.org.cn/, TRN: ChiCTR2500095919,注册日期:2025年1月15日。
本文章由计算机程序翻译,如有差异,请以英文原文为准。

Preliminary clinical experience with a robot-assisted system in preoperative hookwire localization of pulmonary nodules: a prospective pilot study.

Preliminary clinical experience with a robot-assisted system in preoperative hookwire localization of pulmonary nodules: a prospective pilot study.

Preliminary clinical experience with a robot-assisted system in preoperative hookwire localization of pulmonary nodules: a prospective pilot study.

Preliminary clinical experience with a robot-assisted system in preoperative hookwire localization of pulmonary nodules: a prospective pilot study.

Accurate preoperative localization is critical for the surgical resection of small pulmonary nodules, yet conventional CT-guided hookwire placement remains operator-dependent and technically demanding. This prospective study evaluated the clinical performance of a robot-assisted navigation system for CT-guided preoperative hookwire localization of pulmonary nodules. The trial enrolled 60 patients scheduled for localization followed by VATS. Primary endpoints included first-attempt puncture success rate, needle placement accuracy, localization success rate, procedure duration, number of punctures, radiation dose, and complication rate, with subgroup analyses by lesion characteristic and patient positioning. The first-attempt puncture success rate was 100.0%, with an median needle placement accuracy of 5.7 mm (IQR 4.2-7.9). Localization success was achieved in 94.8% of nodules (55/58). The median procedure duration was 16.6 min (14.0-22.9), and the median radiation dose was 281.2 mGy·cm (227.1-365.8). The overall complication rate was 5.2% (3/58). Accuracy was consistent across subgroups, although lower lobe lesions and prone positioning were associated with longer procedure times, and prone positioning also increased radiation exposure, without compromising accuracy. These findings demonstrate the feasibility, precision, and safety of this system, supporting its potential to standardize and improve preoperative localization in thoracic surgery. Trial registration: Registry: https://www.chictr.org.cn/ , TRN: ChiCTR2500095919, Registration date: January 15, 2025.

求助全文
通过发布文献求助,成功后即可免费获取论文全文。 去求助
来源期刊
CiteScore
4.20
自引率
8.70%
发文量
145
期刊介绍: The aim of the Journal of Robotic Surgery is to become the leading worldwide journal for publication of articles related to robotic surgery, encompassing surgical simulation and integrated imaging techniques. The journal provides a centralized, focused resource for physicians wishing to publish their experience or those wishing to avail themselves of the most up-to-date findings.The journal reports on advance in a wide range of surgical specialties including adult and pediatric urology, general surgery, cardiac surgery, gynecology, ENT, orthopedics and neurosurgery.The use of robotics in surgery is broad-based and will undoubtedly expand over the next decade as new technical innovations and techniques increase the applicability of its use. The journal intends to capture this trend as it develops.
×
引用
GB/T 7714-2015
复制
MLA
复制
APA
复制
导出至
BibTeX EndNote RefMan NoteFirst NoteExpress
×
提示
您的信息不完整,为了账户安全,请先补充。
现在去补充
×
提示
您因"违规操作"
具体请查看互助需知
我知道了
×
提示
确定
请完成安全验证×
copy
已复制链接
快去分享给好友吧!
我知道了
右上角分享
点击右上角分享
0
联系我们:info@booksci.cn Book学术提供免费学术资源搜索服务,方便国内外学者检索中英文文献。致力于提供最便捷和优质的服务体验。 Copyright © 2023 布克学术 All rights reserved.
京ICP备2023020795号-1
ghs 京公网安备 11010802042870号
Book学术文献互助
Book学术文献互助群
群 号:604180095
Book学术官方微信