罕见皮肌炎伴水泡1例报告。

IF 2.2 4区 医学 Q3 DERMATOLOGY
Clinical, Cosmetic and Investigational Dermatology Pub Date : 2025-10-08 eCollection Date: 2025-01-01 DOI:10.2147/CCID.S556507
Tianming Ma, Xiaoqing Xiang, Runqun Liu, Xianwei Han
{"title":"罕见皮肌炎伴水泡1例报告。","authors":"Tianming Ma, Xiaoqing Xiang, Runqun Liu, Xianwei Han","doi":"10.2147/CCID.S556507","DOIUrl":null,"url":null,"abstract":"<p><p>We report a patient with dermatomyositis who developed blisters. The patient was a female, 51 years old. She came to our hospital because of edematous purplish erythema on the face, neck, trunk, and extremities that itched for 1 month. Histopathology of the lesions showed: squamous epithelial tissue, hyperkeratosis of the epidermis, mild thickening of the stratum spinosum, liquefaction and degeneration of the basal cells, perivascular lymphocytes in the dermis, plasma cell infiltration; myofibers of varying thicknesses, disappearance of transverse striations, and lymphocytic infiltration of interstitial muscles. Diagnosis: dermatomyositis. Water blisters appeared on the skin lesions of the patient with dermatomyositis. Given that the probability of dermatomyositis being accompanied by a tumor is approximately 10% - 20%, this is considered a serious condition by modern medicine. Therefore, we conducted a series of examinations, including immunohistochemistry, to determine the source of the blisters.</p>","PeriodicalId":10447,"journal":{"name":"Clinical, Cosmetic and Investigational Dermatology","volume":"18 ","pages":"2541-2546"},"PeriodicalIF":2.2000,"publicationDate":"2025-10-08","publicationTypes":"Journal Article","fieldsOfStudy":null,"isOpenAccess":false,"openAccessPdf":"https://www.ncbi.nlm.nih.gov/pmc/articles/PMC12515437/pdf/","citationCount":"0","resultStr":"{\"title\":\"A Rare Case Report of Dermatomyositis Accompanied by Blisters.\",\"authors\":\"Tianming Ma, Xiaoqing Xiang, Runqun Liu, Xianwei Han\",\"doi\":\"10.2147/CCID.S556507\",\"DOIUrl\":null,\"url\":null,\"abstract\":\"<p><p>We report a patient with dermatomyositis who developed blisters. The patient was a female, 51 years old. She came to our hospital because of edematous purplish erythema on the face, neck, trunk, and extremities that itched for 1 month. Histopathology of the lesions showed: squamous epithelial tissue, hyperkeratosis of the epidermis, mild thickening of the stratum spinosum, liquefaction and degeneration of the basal cells, perivascular lymphocytes in the dermis, plasma cell infiltration; myofibers of varying thicknesses, disappearance of transverse striations, and lymphocytic infiltration of interstitial muscles. Diagnosis: dermatomyositis. Water blisters appeared on the skin lesions of the patient with dermatomyositis. Given that the probability of dermatomyositis being accompanied by a tumor is approximately 10% - 20%, this is considered a serious condition by modern medicine. Therefore, we conducted a series of examinations, including immunohistochemistry, to determine the source of the blisters.</p>\",\"PeriodicalId\":10447,\"journal\":{\"name\":\"Clinical, Cosmetic and Investigational Dermatology\",\"volume\":\"18 \",\"pages\":\"2541-2546\"},\"PeriodicalIF\":2.2000,\"publicationDate\":\"2025-10-08\",\"publicationTypes\":\"Journal Article\",\"fieldsOfStudy\":null,\"isOpenAccess\":false,\"openAccessPdf\":\"https://www.ncbi.nlm.nih.gov/pmc/articles/PMC12515437/pdf/\",\"citationCount\":\"0\",\"resultStr\":null,\"platform\":\"Semanticscholar\",\"paperid\":null,\"PeriodicalName\":\"Clinical, Cosmetic and Investigational Dermatology\",\"FirstCategoryId\":\"3\",\"ListUrlMain\":\"https://doi.org/10.2147/CCID.S556507\",\"RegionNum\":4,\"RegionCategory\":\"医学\",\"ArticlePicture\":[],\"TitleCN\":null,\"AbstractTextCN\":null,\"PMCID\":null,\"EPubDate\":\"2025/1/1 0:00:00\",\"PubModel\":\"eCollection\",\"JCR\":\"Q3\",\"JCRName\":\"DERMATOLOGY\",\"Score\":null,\"Total\":0}","platform":"Semanticscholar","paperid":null,"PeriodicalName":"Clinical, Cosmetic and Investigational Dermatology","FirstCategoryId":"3","ListUrlMain":"https://doi.org/10.2147/CCID.S556507","RegionNum":4,"RegionCategory":"医学","ArticlePicture":[],"TitleCN":null,"AbstractTextCN":null,"PMCID":null,"EPubDate":"2025/1/1 0:00:00","PubModel":"eCollection","JCR":"Q3","JCRName":"DERMATOLOGY","Score":null,"Total":0}
引用次数: 0

摘要

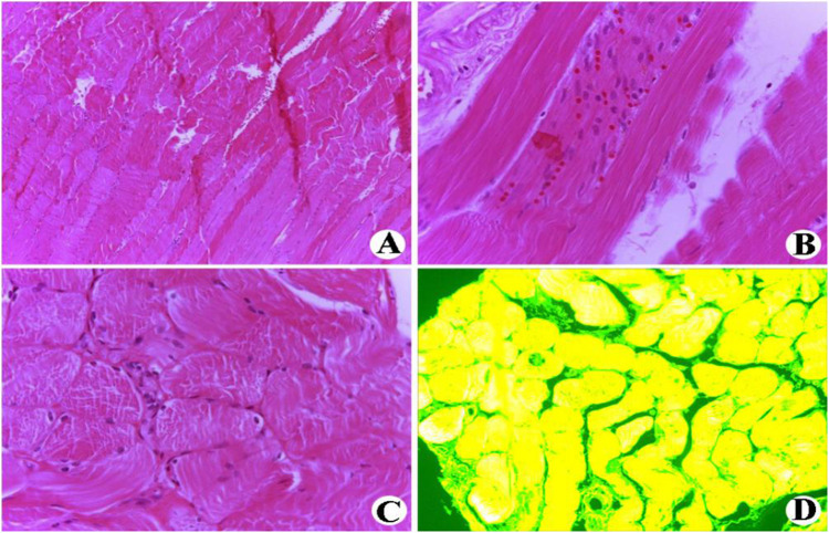
我们报告一个皮肌炎患者谁发展水疱。患者为女性,51岁。患者因面部、颈部、躯干及四肢出现发痒1个月的紫色水肿来我院就诊。病变组织病理学表现为:上皮组织呈鳞状,表皮角化过度,棘层轻度增厚,基底细胞液化变性,真皮血管周围淋巴细胞,浆细胞浸润;肌纤维粗细不一,横纹消失,间质肌淋巴细胞浸润。诊断:皮肌炎。皮肌炎患者皮损处出现水疱。鉴于皮肌炎伴有肿瘤的概率约为10% - 20%,现代医学认为这是一种严重的疾病。因此,我们进行了一系列的检查,包括免疫组织化学,以确定水疱的来源。
本文章由计算机程序翻译,如有差异,请以英文原文为准。

A Rare Case Report of Dermatomyositis Accompanied by Blisters.

A Rare Case Report of Dermatomyositis Accompanied by Blisters.

A Rare Case Report of Dermatomyositis Accompanied by Blisters.

A Rare Case Report of Dermatomyositis Accompanied by Blisters.

We report a patient with dermatomyositis who developed blisters. The patient was a female, 51 years old. She came to our hospital because of edematous purplish erythema on the face, neck, trunk, and extremities that itched for 1 month. Histopathology of the lesions showed: squamous epithelial tissue, hyperkeratosis of the epidermis, mild thickening of the stratum spinosum, liquefaction and degeneration of the basal cells, perivascular lymphocytes in the dermis, plasma cell infiltration; myofibers of varying thicknesses, disappearance of transverse striations, and lymphocytic infiltration of interstitial muscles. Diagnosis: dermatomyositis. Water blisters appeared on the skin lesions of the patient with dermatomyositis. Given that the probability of dermatomyositis being accompanied by a tumor is approximately 10% - 20%, this is considered a serious condition by modern medicine. Therefore, we conducted a series of examinations, including immunohistochemistry, to determine the source of the blisters.

求助全文
通过发布文献求助,成功后即可免费获取论文全文。 去求助
来源期刊
CiteScore
2.80
自引率
4.30%
发文量
353
审稿时长
16 weeks
期刊介绍: Clinical, Cosmetic and Investigational Dermatology is an international, peer-reviewed, open access journal that focuses on the latest clinical and experimental research in all aspects of skin disease and cosmetic interventions. Normal and pathological processes in skin development and aging, their modification and treatment, as well as basic research into histology of dermal and dermal structures that provide clinical insights and potential treatment options are key topics for the journal. Patient satisfaction, preference, quality of life, compliance, persistence and their role in developing new management options to optimize outcomes for target conditions constitute major areas of interest. The journal is characterized by the rapid reporting of clinical studies, reviews and original research in skin research and skin care. All areas of dermatology will be covered; contributions will be welcomed from all clinicians and basic science researchers globally.
×
引用
GB/T 7714-2015
复制
MLA
复制
APA
复制
导出至
BibTeX EndNote RefMan NoteFirst NoteExpress
×
提示
您的信息不完整,为了账户安全,请先补充。
现在去补充
×
提示
您因"违规操作"
具体请查看互助需知
我知道了
×
提示
确定
请完成安全验证×
copy
已复制链接
快去分享给好友吧!
我知道了
右上角分享
点击右上角分享
0
联系我们:info@booksci.cn Book学术提供免费学术资源搜索服务,方便国内外学者检索中英文文献。致力于提供最便捷和优质的服务体验。 Copyright © 2023 布克学术 All rights reserved.
京ICP备2023020795号-1
ghs 京公网安备 11010802042870号
Book学术文献互助
Book学术文献互助群
群 号:604180095
Book学术官方微信