PCR-UV法检测血液感染中耐碳青霉烯鲍曼不动杆菌的建立及临床应用。

IF 4.9 2区 生物学 Q1 BIOTECHNOLOGY & APPLIED MICROBIOLOGY
Lin Yu, Jingzhi Zhang, Ze Liu, Chushi Guan, Siyi Liu, Yandong Zhang, Ziman Wu, Xiaodan Zheng, Xianling Zhou, Baoqing Sun
{"title":"PCR-UV法检测血液感染中耐碳青霉烯鲍曼不动杆菌的建立及临床应用。","authors":"Lin Yu, Jingzhi Zhang, Ze Liu, Chushi Guan, Siyi Liu, Yandong Zhang, Ziman Wu, Xiaodan Zheng, Xianling Zhou, Baoqing Sun","doi":"10.1186/s12934-025-02822-w","DOIUrl":null,"url":null,"abstract":"<p><strong>Objective: </strong>Bloodstream infections caused by carbapenem-resistant Acinetobacter baumannii (CRAB) are a significant public health problem, with high morbidity and mortality. Detection and identification of CRAB is essential for early diagnosis and treatment. Therefore, a rapid and economical method for the detection of CRAB-associated Bloodstream infections (BSIs) is urgently needed.</p><p><strong>Methods: </strong>A triple PCR-UV reaction system has been developed for the detection of the antibiotic resistance genes OXA23, OXA51 and AB-specific gene. Primer specificity, limit of detection (LOD), reproducibility, and accuracy of the assay were evaluated. The PCR products were directly analyzed using UV and ImageJ analysis, which provided a quickly interpretation of the results. Furthermore, the established assay was validated on clinical isolates and compared with blood culture and drug susceptibility testing.</p><p><strong>Results: </strong>The triple PCR-UV method established in this study demonstrated strong primer specificity and discriminated CRAB among 23 common clinical pathogens. The results of this PCR method were validated by electrophoresis and showed good accuracy and reproducibility, with a limit of detection (LOD) of 3.0 × 10<sup>-1</sup> ng/uL. Meanwhile, the optimal annealing temperature for the triple method has been optimized to 56.4 ℃. The result of PCR amplification could be judged by the result of the gray value of the tube to be tested / the gray value of the blank control of the same lot. The ratio > 1.3 is CRAB, the ratio between 1.1-1.3 is carbapenem-sensitive Acinetobacter baumannii (CSAB), the ratio < 1.1 is negative result. When applied to detect 30 patients with BSIs of AB, the results were consistent with clinical blood culture identification and drug susceptibility testing.</p><p><strong>Conclusion: </strong>The triple PCR-UV assay developed in this study is a UV-visual, rapid, and cost-effective method for the detection of Acinetobacter baumannii (AB) and identification of CRAB in bloodstream infections. The assay could be particularly useful in community settings where expensive molecular instrumentation is not readily available and could help in the diagnosis and management of CRAB infections in BSIs.</p>","PeriodicalId":18582,"journal":{"name":"Microbial Cell Factories","volume":"24 1","pages":"219"},"PeriodicalIF":4.9000,"publicationDate":"2025-10-13","publicationTypes":"Journal Article","fieldsOfStudy":null,"isOpenAccess":false,"openAccessPdf":"https://www.ncbi.nlm.nih.gov/pmc/articles/PMC12516897/pdf/","citationCount":"0","resultStr":"{\"title\":\"Development and clinical application of a PCR-UV assay for detection of carbapenem resistant Acinetobacter baumannii in bloodstream infections.\",\"authors\":\"Lin Yu, Jingzhi Zhang, Ze Liu, Chushi Guan, Siyi Liu, Yandong Zhang, Ziman Wu, Xiaodan Zheng, Xianling Zhou, Baoqing Sun\",\"doi\":\"10.1186/s12934-025-02822-w\",\"DOIUrl\":null,\"url\":null,\"abstract\":\"<p><strong>Objective: </strong>Bloodstream infections caused by carbapenem-resistant Acinetobacter baumannii (CRAB) are a significant public health problem, with high morbidity and mortality. Detection and identification of CRAB is essential for early diagnosis and treatment. Therefore, a rapid and economical method for the detection of CRAB-associated Bloodstream infections (BSIs) is urgently needed.</p><p><strong>Methods: </strong>A triple PCR-UV reaction system has been developed for the detection of the antibiotic resistance genes OXA23, OXA51 and AB-specific gene. Primer specificity, limit of detection (LOD), reproducibility, and accuracy of the assay were evaluated. The PCR products were directly analyzed using UV and ImageJ analysis, which provided a quickly interpretation of the results. Furthermore, the established assay was validated on clinical isolates and compared with blood culture and drug susceptibility testing.</p><p><strong>Results: </strong>The triple PCR-UV method established in this study demonstrated strong primer specificity and discriminated CRAB among 23 common clinical pathogens. The results of this PCR method were validated by electrophoresis and showed good accuracy and reproducibility, with a limit of detection (LOD) of 3.0 × 10<sup>-1</sup> ng/uL. Meanwhile, the optimal annealing temperature for the triple method has been optimized to 56.4 ℃. The result of PCR amplification could be judged by the result of the gray value of the tube to be tested / the gray value of the blank control of the same lot. The ratio > 1.3 is CRAB, the ratio between 1.1-1.3 is carbapenem-sensitive Acinetobacter baumannii (CSAB), the ratio < 1.1 is negative result. When applied to detect 30 patients with BSIs of AB, the results were consistent with clinical blood culture identification and drug susceptibility testing.</p><p><strong>Conclusion: </strong>The triple PCR-UV assay developed in this study is a UV-visual, rapid, and cost-effective method for the detection of Acinetobacter baumannii (AB) and identification of CRAB in bloodstream infections. The assay could be particularly useful in community settings where expensive molecular instrumentation is not readily available and could help in the diagnosis and management of CRAB infections in BSIs.</p>\",\"PeriodicalId\":18582,\"journal\":{\"name\":\"Microbial Cell Factories\",\"volume\":\"24 1\",\"pages\":\"219\"},\"PeriodicalIF\":4.9000,\"publicationDate\":\"2025-10-13\",\"publicationTypes\":\"Journal Article\",\"fieldsOfStudy\":null,\"isOpenAccess\":false,\"openAccessPdf\":\"https://www.ncbi.nlm.nih.gov/pmc/articles/PMC12516897/pdf/\",\"citationCount\":\"0\",\"resultStr\":null,\"platform\":\"Semanticscholar\",\"paperid\":null,\"PeriodicalName\":\"Microbial Cell Factories\",\"FirstCategoryId\":\"5\",\"ListUrlMain\":\"https://doi.org/10.1186/s12934-025-02822-w\",\"RegionNum\":2,\"RegionCategory\":\"生物学\",\"ArticlePicture\":[],\"TitleCN\":null,\"AbstractTextCN\":null,\"PMCID\":null,\"EPubDate\":\"\",\"PubModel\":\"\",\"JCR\":\"Q1\",\"JCRName\":\"BIOTECHNOLOGY & APPLIED MICROBIOLOGY\",\"Score\":null,\"Total\":0}","platform":"Semanticscholar","paperid":null,"PeriodicalName":"Microbial Cell Factories","FirstCategoryId":"5","ListUrlMain":"https://doi.org/10.1186/s12934-025-02822-w","RegionNum":2,"RegionCategory":"生物学","ArticlePicture":[],"TitleCN":null,"AbstractTextCN":null,"PMCID":null,"EPubDate":"","PubModel":"","JCR":"Q1","JCRName":"BIOTECHNOLOGY & APPLIED MICROBIOLOGY","Score":null,"Total":0}
引用次数: 0

摘要

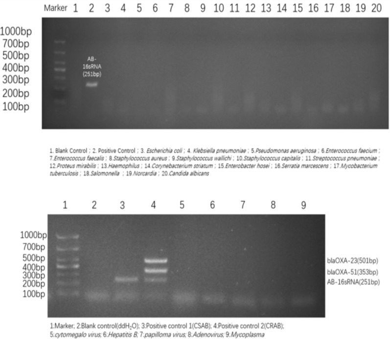
目的:耐碳青霉烯鲍曼不动杆菌(螃蟹)引起的血流感染是一个严重的公共卫生问题,具有很高的发病率和死亡率。检测和识别螃蟹对早期诊断和治疗至关重要。因此,迫切需要一种快速经济的检测螃蟹相关血流感染(bsi)的方法。方法:建立三联PCR-UV反应体系,检测耐药基因OXA23、OXA51和抗体特异性基因。对引物特异性、检出限(LOD)、重现性和准确性进行了评价。PCR产物直接使用UV和ImageJ分析进行分析,可以快速解释结果。此外,建立的方法在临床分离株上进行验证,并与血培养和药敏试验进行比较。结果:本研究建立的三重PCR-UV方法具有较强的引物特异性,能对23种临床常见病原菌进行鉴别。电泳验证了该方法的准确性和重复性,检出限为3.0 × 10-1 ng/uL。同时,该方法的最佳退火温度为56.4℃。PCR扩增结果可通过待测管的灰度值/同批次空白对照的灰度值来判断。结论:本研究建立的三联PCR-UV法是一种紫外可见、快速、经济的检测鲍曼不动杆菌(AB)和血液感染中螃蟹的方法。在昂贵的分子仪器不容易获得的社区环境中,该检测可能特别有用,可以帮助诊断和管理bsi中螃蟹感染。
本文章由计算机程序翻译,如有差异,请以英文原文为准。

Development and clinical application of a PCR-UV assay for detection of carbapenem resistant Acinetobacter baumannii in bloodstream infections.

Development and clinical application of a PCR-UV assay for detection of carbapenem resistant Acinetobacter baumannii in bloodstream infections.

Development and clinical application of a PCR-UV assay for detection of carbapenem resistant Acinetobacter baumannii in bloodstream infections.

Development and clinical application of a PCR-UV assay for detection of carbapenem resistant Acinetobacter baumannii in bloodstream infections.

Objective: Bloodstream infections caused by carbapenem-resistant Acinetobacter baumannii (CRAB) are a significant public health problem, with high morbidity and mortality. Detection and identification of CRAB is essential for early diagnosis and treatment. Therefore, a rapid and economical method for the detection of CRAB-associated Bloodstream infections (BSIs) is urgently needed.

Methods: A triple PCR-UV reaction system has been developed for the detection of the antibiotic resistance genes OXA23, OXA51 and AB-specific gene. Primer specificity, limit of detection (LOD), reproducibility, and accuracy of the assay were evaluated. The PCR products were directly analyzed using UV and ImageJ analysis, which provided a quickly interpretation of the results. Furthermore, the established assay was validated on clinical isolates and compared with blood culture and drug susceptibility testing.

Results: The triple PCR-UV method established in this study demonstrated strong primer specificity and discriminated CRAB among 23 common clinical pathogens. The results of this PCR method were validated by electrophoresis and showed good accuracy and reproducibility, with a limit of detection (LOD) of 3.0 × 10-1 ng/uL. Meanwhile, the optimal annealing temperature for the triple method has been optimized to 56.4 ℃. The result of PCR amplification could be judged by the result of the gray value of the tube to be tested / the gray value of the blank control of the same lot. The ratio > 1.3 is CRAB, the ratio between 1.1-1.3 is carbapenem-sensitive Acinetobacter baumannii (CSAB), the ratio < 1.1 is negative result. When applied to detect 30 patients with BSIs of AB, the results were consistent with clinical blood culture identification and drug susceptibility testing.

Conclusion: The triple PCR-UV assay developed in this study is a UV-visual, rapid, and cost-effective method for the detection of Acinetobacter baumannii (AB) and identification of CRAB in bloodstream infections. The assay could be particularly useful in community settings where expensive molecular instrumentation is not readily available and could help in the diagnosis and management of CRAB infections in BSIs.

求助全文
通过发布文献求助,成功后即可免费获取论文全文。 去求助
来源期刊
Microbial Cell Factories
Microbial Cell Factories 工程技术-生物工程与应用微生物
CiteScore
9.30
自引率
4.70%
发文量
235
审稿时长
2.3 months
期刊介绍: Microbial Cell Factories is an open access peer-reviewed journal that covers any topic related to the development, use and investigation of microbial cells as producers of recombinant proteins and natural products, or as catalyzers of biological transformations of industrial interest. Microbial Cell Factories is the world leading, primary research journal fully focusing on Applied Microbiology. The journal is divided into the following editorial sections: -Metabolic engineering -Synthetic biology -Whole-cell biocatalysis -Microbial regulations -Recombinant protein production/bioprocessing -Production of natural compounds -Systems biology of cell factories -Microbial production processes -Cell-free systems
×
引用
GB/T 7714-2015
复制
MLA
复制
APA
复制
导出至
BibTeX EndNote RefMan NoteFirst NoteExpress
×
提示
您的信息不完整,为了账户安全,请先补充。
现在去补充
×
提示
您因"违规操作"
具体请查看互助需知
我知道了
×
提示
确定
请完成安全验证×
copy
已复制链接
快去分享给好友吧!
我知道了
右上角分享
点击右上角分享
0
联系我们:info@booksci.cn Book学术提供免费学术资源搜索服务,方便国内外学者检索中英文文献。致力于提供最便捷和优质的服务体验。 Copyright © 2023 布克学术 All rights reserved.
京ICP备2023020795号-1
ghs 京公网安备 11010802042870号
Book学术文献互助
Book学术文献互助群
群 号:604180095
Book学术官方微信