菊苣调节内寄生羔羊的瘤胃环境。

IF 3.9 2区 综合性期刊 Q1 MULTIDISCIPLINARY SCIENCES
Daniel Petrič, Matej Leško, Klára Demčáková, Michaela Komáromyová, Sylwester Ślusarczyk, Izabela Krauze, Anna Łukomska, Piotr Pawlak, Pola Sidoruk, Adam Cieslak, Marián Várady, Zora Váradyová
{"title":"菊苣调节内寄生羔羊的瘤胃环境。","authors":"Daniel Petrič, Matej Leško, Klára Demčáková, Michaela Komáromyová, Sylwester Ślusarczyk, Izabela Krauze, Anna Łukomska, Piotr Pawlak, Pola Sidoruk, Adam Cieslak, Marián Várady, Zora Váradyová","doi":"10.1038/s41598-025-19409-5","DOIUrl":null,"url":null,"abstract":"<p><p>The most natural areas typically host a variety of plant species that serve as nutritional centers for grazing ruminants. We aimed to determine the growth parameters, histology, and ruminal microbial characteristics of lambs with endoparasites grazing on meadow pasture with experimentally sown chicory (Cichorium intybus). Lambs infected with the larvae of the endoparasite Haemonchus contortus were divided into two groups: lambs grazing in the meadow grassland plot (CON) and lambs grazing in the experimental plot recultivated with chicory (CHIC). Similar initial weights of lambs of both groups up to D62 post-infection increased from D89 to D144 in the CHIC group. The ruminal concentration of ammonia nitrogen (P = 0.007), the relative abundance of Streptococcus bovis (P < 0.05), and the enzymatic activities of amylase (P = 0.008) and xylanase (P = 0.049) were higher in the CHIC group than in the CON group. Morphological observation of ruminal tissue revealed histological changes (e.g., tissue edema, organisms with Balantidium coli morphology) in all lambs. Self-medication of grazing lambs improved the nutrition and well-being of the animals, but beneficial feeding values of the chicory increased the efficiency of nutrient use and improved the production indicators of the infected lambs.</p>","PeriodicalId":21811,"journal":{"name":"Scientific Reports","volume":"15 1","pages":"35455"},"PeriodicalIF":3.9000,"publicationDate":"2025-10-10","publicationTypes":"Journal Article","fieldsOfStudy":null,"isOpenAccess":false,"openAccessPdf":"https://www.ncbi.nlm.nih.gov/pmc/articles/PMC12514161/pdf/","citationCount":"0","resultStr":"{\"title\":\"Chicory modulates the rumen environment in lambs with endoparasites.\",\"authors\":\"Daniel Petrič, Matej Leško, Klára Demčáková, Michaela Komáromyová, Sylwester Ślusarczyk, Izabela Krauze, Anna Łukomska, Piotr Pawlak, Pola Sidoruk, Adam Cieslak, Marián Várady, Zora Váradyová\",\"doi\":\"10.1038/s41598-025-19409-5\",\"DOIUrl\":null,\"url\":null,\"abstract\":\"<p><p>The most natural areas typically host a variety of plant species that serve as nutritional centers for grazing ruminants. We aimed to determine the growth parameters, histology, and ruminal microbial characteristics of lambs with endoparasites grazing on meadow pasture with experimentally sown chicory (Cichorium intybus). Lambs infected with the larvae of the endoparasite Haemonchus contortus were divided into two groups: lambs grazing in the meadow grassland plot (CON) and lambs grazing in the experimental plot recultivated with chicory (CHIC). Similar initial weights of lambs of both groups up to D62 post-infection increased from D89 to D144 in the CHIC group. The ruminal concentration of ammonia nitrogen (P = 0.007), the relative abundance of Streptococcus bovis (P < 0.05), and the enzymatic activities of amylase (P = 0.008) and xylanase (P = 0.049) were higher in the CHIC group than in the CON group. Morphological observation of ruminal tissue revealed histological changes (e.g., tissue edema, organisms with Balantidium coli morphology) in all lambs. Self-medication of grazing lambs improved the nutrition and well-being of the animals, but beneficial feeding values of the chicory increased the efficiency of nutrient use and improved the production indicators of the infected lambs.</p>\",\"PeriodicalId\":21811,\"journal\":{\"name\":\"Scientific Reports\",\"volume\":\"15 1\",\"pages\":\"35455\"},\"PeriodicalIF\":3.9000,\"publicationDate\":\"2025-10-10\",\"publicationTypes\":\"Journal Article\",\"fieldsOfStudy\":null,\"isOpenAccess\":false,\"openAccessPdf\":\"https://www.ncbi.nlm.nih.gov/pmc/articles/PMC12514161/pdf/\",\"citationCount\":\"0\",\"resultStr\":null,\"platform\":\"Semanticscholar\",\"paperid\":null,\"PeriodicalName\":\"Scientific Reports\",\"FirstCategoryId\":\"103\",\"ListUrlMain\":\"https://doi.org/10.1038/s41598-025-19409-5\",\"RegionNum\":2,\"RegionCategory\":\"综合性期刊\",\"ArticlePicture\":[],\"TitleCN\":null,\"AbstractTextCN\":null,\"PMCID\":null,\"EPubDate\":\"\",\"PubModel\":\"\",\"JCR\":\"Q1\",\"JCRName\":\"MULTIDISCIPLINARY SCIENCES\",\"Score\":null,\"Total\":0}","platform":"Semanticscholar","paperid":null,"PeriodicalName":"Scientific Reports","FirstCategoryId":"103","ListUrlMain":"https://doi.org/10.1038/s41598-025-19409-5","RegionNum":2,"RegionCategory":"综合性期刊","ArticlePicture":[],"TitleCN":null,"AbstractTextCN":null,"PMCID":null,"EPubDate":"","PubModel":"","JCR":"Q1","JCRName":"MULTIDISCIPLINARY SCIENCES","Score":null,"Total":0}
引用次数: 0

摘要

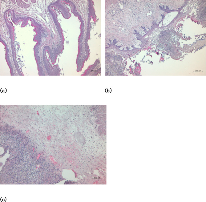
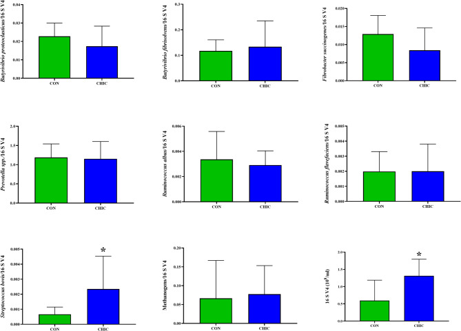
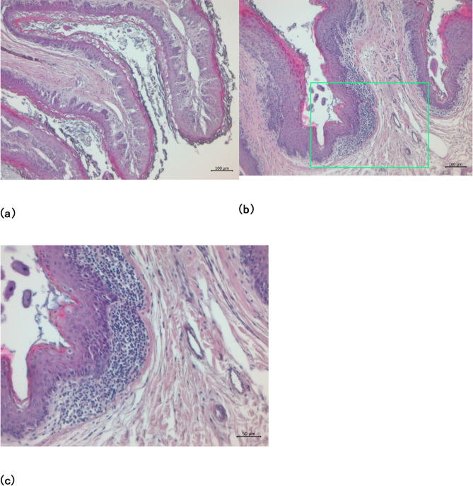
最自然的地区通常拥有各种各样的植物物种,作为放牧反刍动物的营养中心。本研究旨在研究在种植菊苣的草甸牧场上放牧有内生寄生虫的羔羊的生长参数、组织学和瘤胃微生物特征。将感染弯曲血蜱幼虫的羔羊分为草甸草地放牧组(CON)和菊苣复植试验区(CHIC)两组。感染后两组羔羊相似的初始体重在D62之前从D89增加到D144。瘤胃氨氮浓度(P = 0.007)、牛链球菌相对丰度(P = 0.007)显著高于对照组
本文章由计算机程序翻译,如有差异,请以英文原文为准。

Chicory modulates the rumen environment in lambs with endoparasites.

Chicory modulates the rumen environment in lambs with endoparasites.

Chicory modulates the rumen environment in lambs with endoparasites.

Chicory modulates the rumen environment in lambs with endoparasites.

The most natural areas typically host a variety of plant species that serve as nutritional centers for grazing ruminants. We aimed to determine the growth parameters, histology, and ruminal microbial characteristics of lambs with endoparasites grazing on meadow pasture with experimentally sown chicory (Cichorium intybus). Lambs infected with the larvae of the endoparasite Haemonchus contortus were divided into two groups: lambs grazing in the meadow grassland plot (CON) and lambs grazing in the experimental plot recultivated with chicory (CHIC). Similar initial weights of lambs of both groups up to D62 post-infection increased from D89 to D144 in the CHIC group. The ruminal concentration of ammonia nitrogen (P = 0.007), the relative abundance of Streptococcus bovis (P < 0.05), and the enzymatic activities of amylase (P = 0.008) and xylanase (P = 0.049) were higher in the CHIC group than in the CON group. Morphological observation of ruminal tissue revealed histological changes (e.g., tissue edema, organisms with Balantidium coli morphology) in all lambs. Self-medication of grazing lambs improved the nutrition and well-being of the animals, but beneficial feeding values of the chicory increased the efficiency of nutrient use and improved the production indicators of the infected lambs.

求助全文
通过发布文献求助,成功后即可免费获取论文全文。 去求助
来源期刊
Scientific Reports
Scientific Reports Natural Science Disciplines-
CiteScore
7.50
自引率
4.30%
发文量
19567
审稿时长
3.9 months
期刊介绍: We publish original research from all areas of the natural sciences, psychology, medicine and engineering. You can learn more about what we publish by browsing our specific scientific subject areas below or explore Scientific Reports by browsing all articles and collections. Scientific Reports has a 2-year impact factor: 4.380 (2021), and is the 6th most-cited journal in the world, with more than 540,000 citations in 2020 (Clarivate Analytics, 2021). •Engineering Engineering covers all aspects of engineering, technology, and applied science. It plays a crucial role in the development of technologies to address some of the world''s biggest challenges, helping to save lives and improve the way we live. •Physical sciences Physical sciences are those academic disciplines that aim to uncover the underlying laws of nature — often written in the language of mathematics. It is a collective term for areas of study including astronomy, chemistry, materials science and physics. •Earth and environmental sciences Earth and environmental sciences cover all aspects of Earth and planetary science and broadly encompass solid Earth processes, surface and atmospheric dynamics, Earth system history, climate and climate change, marine and freshwater systems, and ecology. It also considers the interactions between humans and these systems. •Biological sciences Biological sciences encompass all the divisions of natural sciences examining various aspects of vital processes. The concept includes anatomy, physiology, cell biology, biochemistry and biophysics, and covers all organisms from microorganisms, animals to plants. •Health sciences The health sciences study health, disease and healthcare. This field of study aims to develop knowledge, interventions and technology for use in healthcare to improve the treatment of patients.
×
引用
GB/T 7714-2015
复制
MLA
复制
APA
复制
导出至
BibTeX EndNote RefMan NoteFirst NoteExpress
×
提示
您的信息不完整,为了账户安全,请先补充。
现在去补充
×
提示
您因"违规操作"
具体请查看互助需知
我知道了
×
提示
确定
请完成安全验证×
copy
已复制链接
快去分享给好友吧!
我知道了
右上角分享
点击右上角分享
0
联系我们:info@booksci.cn Book学术提供免费学术资源搜索服务,方便国内外学者检索中英文文献。致力于提供最便捷和优质的服务体验。 Copyright © 2023 布克学术 All rights reserved.
京ICP备2023020795号-1
ghs 京公网安备 11010802042870号
Book学术文献互助
Book学术文献互助群
群 号:604180095
Book学术官方微信