哈勒细胞的发病率和影像学特征:系统综述。

IF 2.1 Q3 DENTISTRY, ORAL SURGERY & MEDICINE
Imaging Science in Dentistry Pub Date : 2025-09-01 Epub Date: 2025-07-01 DOI:10.5624/isd.20250028
Gabass Eltayeb, Ghada Jassem Abdulla, Shamma Karimzadeh, Ahmed Ramadan, Abd Alrahman Alrifai, Maha Albaqali, Basheer Salman, Mohammad S Alrashdan, Shishir Shetty
{"title":"哈勒细胞的发病率和影像学特征:系统综述。","authors":"Gabass Eltayeb, Ghada Jassem Abdulla, Shamma Karimzadeh, Ahmed Ramadan, Abd Alrahman Alrifai, Maha Albaqali, Basheer Salman, Mohammad S Alrashdan, Shishir Shetty","doi":"10.5624/isd.20250028","DOIUrl":null,"url":null,"abstract":"<p><strong>Purpose: </strong>Haller cells (HCs) represent an anatomical variation in the maxillofacial region, frequently linked to sino-nasal pathologies. Numerous regional studies have reported the prevalence of HCs using various imaging modalities. This systematic review aims to evaluate the prevalence of HCs as reported in the existing literature.</p><p><strong>Materials and methods: </strong>A comprehensive literature search was carried out across multiple databases, including ScienceDirect, PubMed, Scopus, Dentistry and Oral Sciences (EBSCO), Ovid, and LILACS. Different keyword combinations employing Boolean logic were used to identify relevant studies. Data extraction procedures adhered closely to the Preferred Reporting Items for Systematic Reviews and Meta-Analyses (PRISMA) guidelines. The quality of studies was assessed using the Critical Appraisal Skills Program (CASP) checklist for cross-sectional studies.</p><p><strong>Results: </strong>After data extraction, 9 studies qualified for critical analysis. The highest reported prevalence of HCs was 66.84%, whereas the lowest was 16%. Across these 9 studies, the average prevalence was 32.40%. Unilateral HCs predominated in most reported studies. Four studies provided details regarding the shapes of HCs, while size information was available in three studies. Eight of the 9 included studies demonstrated strong evidence quality according to the CASP checklist.</p><p><strong>Conclusion: </strong>Approximately one-third of radiographic scans analyzed in published studies revealed the presence of HCs. Unilateral HCs were found to be more common than bilateral HCs. The most frequently reported shapes were round, ovoid, and teardrop, with the majority measuring between 2 and 4 mm.</p>","PeriodicalId":51714,"journal":{"name":"Imaging Science in Dentistry","volume":"55 3","pages":"215-222"},"PeriodicalIF":2.1000,"publicationDate":"2025-09-01","publicationTypes":"Journal Article","fieldsOfStudy":null,"isOpenAccess":false,"openAccessPdf":"https://www.ncbi.nlm.nih.gov/pmc/articles/PMC12505444/pdf/","citationCount":"0","resultStr":"{\"title\":\"Prevalence and radiographic features of Haller cells: A systematic review.\",\"authors\":\"Gabass Eltayeb, Ghada Jassem Abdulla, Shamma Karimzadeh, Ahmed Ramadan, Abd Alrahman Alrifai, Maha Albaqali, Basheer Salman, Mohammad S Alrashdan, Shishir Shetty\",\"doi\":\"10.5624/isd.20250028\",\"DOIUrl\":null,\"url\":null,\"abstract\":\"<p><strong>Purpose: </strong>Haller cells (HCs) represent an anatomical variation in the maxillofacial region, frequently linked to sino-nasal pathologies. Numerous regional studies have reported the prevalence of HCs using various imaging modalities. This systematic review aims to evaluate the prevalence of HCs as reported in the existing literature.</p><p><strong>Materials and methods: </strong>A comprehensive literature search was carried out across multiple databases, including ScienceDirect, PubMed, Scopus, Dentistry and Oral Sciences (EBSCO), Ovid, and LILACS. Different keyword combinations employing Boolean logic were used to identify relevant studies. Data extraction procedures adhered closely to the Preferred Reporting Items for Systematic Reviews and Meta-Analyses (PRISMA) guidelines. The quality of studies was assessed using the Critical Appraisal Skills Program (CASP) checklist for cross-sectional studies.</p><p><strong>Results: </strong>After data extraction, 9 studies qualified for critical analysis. The highest reported prevalence of HCs was 66.84%, whereas the lowest was 16%. Across these 9 studies, the average prevalence was 32.40%. Unilateral HCs predominated in most reported studies. Four studies provided details regarding the shapes of HCs, while size information was available in three studies. Eight of the 9 included studies demonstrated strong evidence quality according to the CASP checklist.</p><p><strong>Conclusion: </strong>Approximately one-third of radiographic scans analyzed in published studies revealed the presence of HCs. Unilateral HCs were found to be more common than bilateral HCs. The most frequently reported shapes were round, ovoid, and teardrop, with the majority measuring between 2 and 4 mm.</p>\",\"PeriodicalId\":51714,\"journal\":{\"name\":\"Imaging Science in Dentistry\",\"volume\":\"55 3\",\"pages\":\"215-222\"},\"PeriodicalIF\":2.1000,\"publicationDate\":\"2025-09-01\",\"publicationTypes\":\"Journal Article\",\"fieldsOfStudy\":null,\"isOpenAccess\":false,\"openAccessPdf\":\"https://www.ncbi.nlm.nih.gov/pmc/articles/PMC12505444/pdf/\",\"citationCount\":\"0\",\"resultStr\":null,\"platform\":\"Semanticscholar\",\"paperid\":null,\"PeriodicalName\":\"Imaging Science in Dentistry\",\"FirstCategoryId\":\"1085\",\"ListUrlMain\":\"https://doi.org/10.5624/isd.20250028\",\"RegionNum\":0,\"RegionCategory\":null,\"ArticlePicture\":[],\"TitleCN\":null,\"AbstractTextCN\":null,\"PMCID\":null,\"EPubDate\":\"2025/7/1 0:00:00\",\"PubModel\":\"Epub\",\"JCR\":\"Q3\",\"JCRName\":\"DENTISTRY, ORAL SURGERY & MEDICINE\",\"Score\":null,\"Total\":0}","platform":"Semanticscholar","paperid":null,"PeriodicalName":"Imaging Science in Dentistry","FirstCategoryId":"1085","ListUrlMain":"https://doi.org/10.5624/isd.20250028","RegionNum":0,"RegionCategory":null,"ArticlePicture":[],"TitleCN":null,"AbstractTextCN":null,"PMCID":null,"EPubDate":"2025/7/1 0:00:00","PubModel":"Epub","JCR":"Q3","JCRName":"DENTISTRY, ORAL SURGERY & MEDICINE","Score":null,"Total":0}
引用次数: 0

摘要

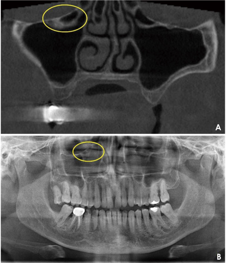
目的:哈勒细胞(HCs)代表了颌面部区域的解剖变异,通常与鼻鼻病变有关。许多区域研究报告了不同成像方式的hcc患病率。本系统综述旨在评估现有文献中报道的hcc患病率。材料和方法:在多个数据库中进行了全面的文献检索,包括ScienceDirect、PubMed、Scopus、Dentistry and Oral Sciences (EBSCO)、Ovid和LILACS。采用布尔逻辑的不同关键词组合来识别相关研究。数据提取程序严格遵守系统评价和荟萃分析(PRISMA)指南的首选报告项目。研究的质量使用关键评估技能程序(CASP)检查表进行横断面研究。结果:数据提取后,9项研究符合关键分析条件。报告的HCs患病率最高为66.84%,最低为16%。在这9项研究中,平均患病率为32.40%。在大多数报道的研究中,单侧hcc占主导地位。4项研究提供了有关hcc形状的详细信息,3项研究提供了hcc的大小信息。9项纳入的研究中有8项根据CASP检查表显示了强有力的证据质量。结论:在已发表的研究中,大约三分之一的x线扫描显示hcc的存在。单侧hcc比双侧hcc更常见。最常见的形状是圆形、卵形和泪滴状,大多数尺寸在2到4毫米之间。
本文章由计算机程序翻译,如有差异,请以英文原文为准。

Prevalence and radiographic features of Haller cells: A systematic review.

Prevalence and radiographic features of Haller cells: A systematic review.

Prevalence and radiographic features of Haller cells: A systematic review.

Prevalence and radiographic features of Haller cells: A systematic review.

Purpose: Haller cells (HCs) represent an anatomical variation in the maxillofacial region, frequently linked to sino-nasal pathologies. Numerous regional studies have reported the prevalence of HCs using various imaging modalities. This systematic review aims to evaluate the prevalence of HCs as reported in the existing literature.

Materials and methods: A comprehensive literature search was carried out across multiple databases, including ScienceDirect, PubMed, Scopus, Dentistry and Oral Sciences (EBSCO), Ovid, and LILACS. Different keyword combinations employing Boolean logic were used to identify relevant studies. Data extraction procedures adhered closely to the Preferred Reporting Items for Systematic Reviews and Meta-Analyses (PRISMA) guidelines. The quality of studies was assessed using the Critical Appraisal Skills Program (CASP) checklist for cross-sectional studies.

Results: After data extraction, 9 studies qualified for critical analysis. The highest reported prevalence of HCs was 66.84%, whereas the lowest was 16%. Across these 9 studies, the average prevalence was 32.40%. Unilateral HCs predominated in most reported studies. Four studies provided details regarding the shapes of HCs, while size information was available in three studies. Eight of the 9 included studies demonstrated strong evidence quality according to the CASP checklist.

Conclusion: Approximately one-third of radiographic scans analyzed in published studies revealed the presence of HCs. Unilateral HCs were found to be more common than bilateral HCs. The most frequently reported shapes were round, ovoid, and teardrop, with the majority measuring between 2 and 4 mm.

求助全文
通过发布文献求助,成功后即可免费获取论文全文。 去求助
来源期刊
Imaging Science in Dentistry
Imaging Science in Dentistry DENTISTRY, ORAL SURGERY & MEDICINE-
CiteScore
2.90
自引率
11.10%
发文量
42
×
引用
GB/T 7714-2015
复制
MLA
复制
APA
复制
导出至
BibTeX EndNote RefMan NoteFirst NoteExpress
×
提示
您的信息不完整,为了账户安全,请先补充。
现在去补充
×
提示
您因"违规操作"
具体请查看互助需知
我知道了
×
提示
确定
请完成安全验证×
copy
已复制链接
快去分享给好友吧!
我知道了
右上角分享
点击右上角分享
0
联系我们:info@booksci.cn Book学术提供免费学术资源搜索服务,方便国内外学者检索中英文文献。致力于提供最便捷和优质的服务体验。 Copyright © 2023 布克学术 All rights reserved.
京ICP备2023020795号-1
ghs 京公网安备 11010802042870号
Book学术文献互助
Book学术文献互助群
群 号:604180095
Book学术官方微信