腹股沟疝合并斯巴达菌感染1例。

IF 0.5 Q4 SURGERY
Journal of Surgical Case Reports Pub Date : 2025-10-08 eCollection Date: 2025-10-01 DOI:10.1093/jscr/rjaf784
Jingle Huang, Shen Li, Lixiu Huang, Huiying Li, Zhendong Qiu, Zhixing Lu, Sheng Xu, Chao Liu, Jinlei Wei
{"title":"腹股沟疝合并斯巴达菌感染1例。","authors":"Jingle Huang, Shen Li, Lixiu Huang, Huiying Li, Zhendong Qiu, Zhixing Lu, Sheng Xu, Chao Liu, Jinlei Wei","doi":"10.1093/jscr/rjaf784","DOIUrl":null,"url":null,"abstract":"<p><p>Inguinal hernia is a common benign disease in general surgery. It is rare to find Spirometra mansoni sparganum in the preperitoneal space during surgery. Most patients acquire the infection through consumption of raw frog or snake meat, application of snake skin on the skin or wounds. Patients may experience subcutaneous itching, a sensation of moving parasites, and even symptoms such as redness, swelling, heat, and pain. Most patients can be cured through comprehensive treatment combining oral medication and surgical intervention. Strengthening public education and promoting behavioral changes, including healthier dietary and lifestyle habits, are effective measures for preventing this condition.</p>","PeriodicalId":47321,"journal":{"name":"Journal of Surgical Case Reports","volume":"2025 10","pages":"rjaf784"},"PeriodicalIF":0.5000,"publicationDate":"2025-10-08","publicationTypes":"Journal Article","fieldsOfStudy":null,"isOpenAccess":false,"openAccessPdf":"https://www.ncbi.nlm.nih.gov/pmc/articles/PMC12507017/pdf/","citationCount":"0","resultStr":"{\"title\":\"A case report of inguinal hernia combined with sparganum infestation.\",\"authors\":\"Jingle Huang, Shen Li, Lixiu Huang, Huiying Li, Zhendong Qiu, Zhixing Lu, Sheng Xu, Chao Liu, Jinlei Wei\",\"doi\":\"10.1093/jscr/rjaf784\",\"DOIUrl\":null,\"url\":null,\"abstract\":\"<p><p>Inguinal hernia is a common benign disease in general surgery. It is rare to find Spirometra mansoni sparganum in the preperitoneal space during surgery. Most patients acquire the infection through consumption of raw frog or snake meat, application of snake skin on the skin or wounds. Patients may experience subcutaneous itching, a sensation of moving parasites, and even symptoms such as redness, swelling, heat, and pain. Most patients can be cured through comprehensive treatment combining oral medication and surgical intervention. Strengthening public education and promoting behavioral changes, including healthier dietary and lifestyle habits, are effective measures for preventing this condition.</p>\",\"PeriodicalId\":47321,\"journal\":{\"name\":\"Journal of Surgical Case Reports\",\"volume\":\"2025 10\",\"pages\":\"rjaf784\"},\"PeriodicalIF\":0.5000,\"publicationDate\":\"2025-10-08\",\"publicationTypes\":\"Journal Article\",\"fieldsOfStudy\":null,\"isOpenAccess\":false,\"openAccessPdf\":\"https://www.ncbi.nlm.nih.gov/pmc/articles/PMC12507017/pdf/\",\"citationCount\":\"0\",\"resultStr\":null,\"platform\":\"Semanticscholar\",\"paperid\":null,\"PeriodicalName\":\"Journal of Surgical Case Reports\",\"FirstCategoryId\":\"1085\",\"ListUrlMain\":\"https://doi.org/10.1093/jscr/rjaf784\",\"RegionNum\":0,\"RegionCategory\":null,\"ArticlePicture\":[],\"TitleCN\":null,\"AbstractTextCN\":null,\"PMCID\":null,\"EPubDate\":\"2025/10/1 0:00:00\",\"PubModel\":\"eCollection\",\"JCR\":\"Q4\",\"JCRName\":\"SURGERY\",\"Score\":null,\"Total\":0}","platform":"Semanticscholar","paperid":null,"PeriodicalName":"Journal of Surgical Case Reports","FirstCategoryId":"1085","ListUrlMain":"https://doi.org/10.1093/jscr/rjaf784","RegionNum":0,"RegionCategory":null,"ArticlePicture":[],"TitleCN":null,"AbstractTextCN":null,"PMCID":null,"EPubDate":"2025/10/1 0:00:00","PubModel":"eCollection","JCR":"Q4","JCRName":"SURGERY","Score":null,"Total":0}
引用次数: 0

摘要

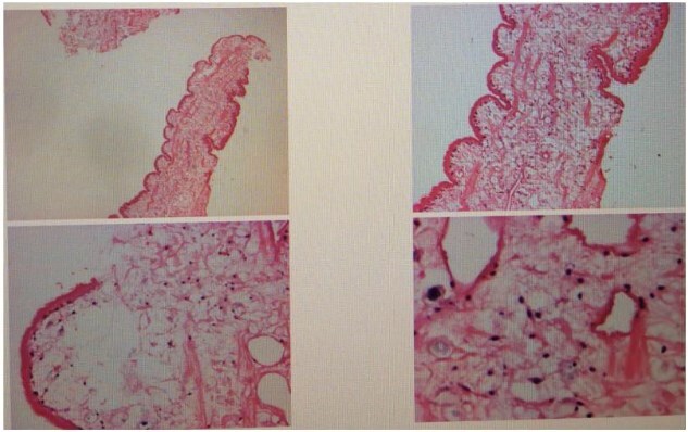
腹股沟疝是普通外科常见的良性疾病。在手术过程中,在腹膜前间隙发现曼氏肺孢子虫是罕见的。大多数患者通过食用生青蛙或蛇肉、在皮肤或伤口上涂抹蛇皮而获得感染。患者可能会出现皮下瘙痒、寄生虫移动的感觉,甚至出现红肿、发热和疼痛等症状。多数患者可通过口服药物和手术干预相结合的综合治疗治愈。加强公众教育和促进行为改变,包括更健康的饮食和生活习惯,是预防这种情况的有效措施。
本文章由计算机程序翻译,如有差异,请以英文原文为准。

A case report of inguinal hernia combined with sparganum infestation.

A case report of inguinal hernia combined with sparganum infestation.

A case report of inguinal hernia combined with sparganum infestation.

A case report of inguinal hernia combined with sparganum infestation.

Inguinal hernia is a common benign disease in general surgery. It is rare to find Spirometra mansoni sparganum in the preperitoneal space during surgery. Most patients acquire the infection through consumption of raw frog or snake meat, application of snake skin on the skin or wounds. Patients may experience subcutaneous itching, a sensation of moving parasites, and even symptoms such as redness, swelling, heat, and pain. Most patients can be cured through comprehensive treatment combining oral medication and surgical intervention. Strengthening public education and promoting behavioral changes, including healthier dietary and lifestyle habits, are effective measures for preventing this condition.

求助全文
通过发布文献求助,成功后即可免费获取论文全文。 去求助
来源期刊
CiteScore
0.70
自引率
0.00%
发文量
559
审稿时长
11 weeks
×
引用
GB/T 7714-2015
复制
MLA
复制
APA
复制
导出至
BibTeX EndNote RefMan NoteFirst NoteExpress
×
提示
您的信息不完整,为了账户安全,请先补充。
现在去补充
×
提示
您因"违规操作"
具体请查看互助需知
我知道了
×
提示
确定
请完成安全验证×
copy
已复制链接
快去分享给好友吧!
我知道了
右上角分享
点击右上角分享
0
联系我们:info@booksci.cn Book学术提供免费学术资源搜索服务,方便国内外学者检索中英文文献。致力于提供最便捷和优质的服务体验。 Copyright © 2023 布克学术 All rights reserved.
京ICP备2023020795号-1
ghs 京公网安备 11010802042870号
Book学术文献互助
Book学术文献互助群
群 号:604180095
Book学术官方微信