二甲双胍和艾塞那肽对非糖尿病大鼠骨再生的成骨作用:显微ct和组织学研究。

Q3 Medicine
Hasan Ozturk, Neslihan Simsek, Levent Akinci, Meltem Ozgocmen, Dilek Helvacioglu Yigit
{"title":"二甲双胍和艾塞那肽对非糖尿病大鼠骨再生的成骨作用:显微ct和组织学研究。","authors":"Hasan Ozturk, Neslihan Simsek, Levent Akinci, Meltem Ozgocmen, Dilek Helvacioglu Yigit","doi":"10.4103/jomfp.jomfp_4_25","DOIUrl":null,"url":null,"abstract":"<p><strong>Aim: </strong>This study aimed to evaluate the osteogenic effects of systemic metformin and exenatide administration on bone tissue regeneration in an experimental rat model by utilising micro-computed tomography (micro-CT) and histological analysis.</p><p><strong>Materials and methods: </strong>Uniform craniotomy defects measuring 3 mm in diameter and 2 mm depth were performed in the parietal bones of 27 female albino Wistar rats, which were randomly divided into three groups: 1) a group receiving 100 mg/kg/day of oral metformin, 2) a group receiving 3 μg/kg/day of intraperitoneal exenatide, and 3) a control group receiving no medication. Bone volume and density at the defect site were evaluated using micro-CT scanning and analysis.</p><p><strong>Results: </strong>Bone regeneration and the integration of newly formed bone into intact bone were assessed through histological and immunohistochemical examinations. In all three groups, the results showed no significant differences in bone volume, bone density, the presence of fibrous connective tissue, or the complete integration of the defect area into the bone tissue. However, the experimental groups exhibited significant differences in the number of osteoblasts (<i>P</i> = 0.007) and osteoclasts (<i>P</i> = 0.007) when compared to the control group.</p><p><strong>Conclusions: </strong>Metformin and exenatide enhance the activity of osteoblasts and osteoclasts in bone defects, promoting osteogenic potential during the healing process in non-diabetic rats.</p>","PeriodicalId":38846,"journal":{"name":"Journal of Oral and Maxillofacial Pathology","volume":"29 3","pages":"352-359"},"PeriodicalIF":0.0000,"publicationDate":"2025-07-01","publicationTypes":"Journal Article","fieldsOfStudy":null,"isOpenAccess":false,"openAccessPdf":"https://www.ncbi.nlm.nih.gov/pmc/articles/PMC12507372/pdf/","citationCount":"0","resultStr":"{\"title\":\"Osteogenic effects of metformin and exenatide on bone regeneration in non-diabetic rats: A Micro-CT and histological study.\",\"authors\":\"Hasan Ozturk, Neslihan Simsek, Levent Akinci, Meltem Ozgocmen, Dilek Helvacioglu Yigit\",\"doi\":\"10.4103/jomfp.jomfp_4_25\",\"DOIUrl\":null,\"url\":null,\"abstract\":\"<p><strong>Aim: </strong>This study aimed to evaluate the osteogenic effects of systemic metformin and exenatide administration on bone tissue regeneration in an experimental rat model by utilising micro-computed tomography (micro-CT) and histological analysis.</p><p><strong>Materials and methods: </strong>Uniform craniotomy defects measuring 3 mm in diameter and 2 mm depth were performed in the parietal bones of 27 female albino Wistar rats, which were randomly divided into three groups: 1) a group receiving 100 mg/kg/day of oral metformin, 2) a group receiving 3 μg/kg/day of intraperitoneal exenatide, and 3) a control group receiving no medication. Bone volume and density at the defect site were evaluated using micro-CT scanning and analysis.</p><p><strong>Results: </strong>Bone regeneration and the integration of newly formed bone into intact bone were assessed through histological and immunohistochemical examinations. In all three groups, the results showed no significant differences in bone volume, bone density, the presence of fibrous connective tissue, or the complete integration of the defect area into the bone tissue. However, the experimental groups exhibited significant differences in the number of osteoblasts (<i>P</i> = 0.007) and osteoclasts (<i>P</i> = 0.007) when compared to the control group.</p><p><strong>Conclusions: </strong>Metformin and exenatide enhance the activity of osteoblasts and osteoclasts in bone defects, promoting osteogenic potential during the healing process in non-diabetic rats.</p>\",\"PeriodicalId\":38846,\"journal\":{\"name\":\"Journal of Oral and Maxillofacial Pathology\",\"volume\":\"29 3\",\"pages\":\"352-359\"},\"PeriodicalIF\":0.0000,\"publicationDate\":\"2025-07-01\",\"publicationTypes\":\"Journal Article\",\"fieldsOfStudy\":null,\"isOpenAccess\":false,\"openAccessPdf\":\"https://www.ncbi.nlm.nih.gov/pmc/articles/PMC12507372/pdf/\",\"citationCount\":\"0\",\"resultStr\":null,\"platform\":\"Semanticscholar\",\"paperid\":null,\"PeriodicalName\":\"Journal of Oral and Maxillofacial Pathology\",\"FirstCategoryId\":\"1085\",\"ListUrlMain\":\"https://doi.org/10.4103/jomfp.jomfp_4_25\",\"RegionNum\":0,\"RegionCategory\":null,\"ArticlePicture\":[],\"TitleCN\":null,\"AbstractTextCN\":null,\"PMCID\":null,\"EPubDate\":\"2025/9/26 0:00:00\",\"PubModel\":\"Epub\",\"JCR\":\"Q3\",\"JCRName\":\"Medicine\",\"Score\":null,\"Total\":0}","platform":"Semanticscholar","paperid":null,"PeriodicalName":"Journal of Oral and Maxillofacial Pathology","FirstCategoryId":"1085","ListUrlMain":"https://doi.org/10.4103/jomfp.jomfp_4_25","RegionNum":0,"RegionCategory":null,"ArticlePicture":[],"TitleCN":null,"AbstractTextCN":null,"PMCID":null,"EPubDate":"2025/9/26 0:00:00","PubModel":"Epub","JCR":"Q3","JCRName":"Medicine","Score":null,"Total":0}
引用次数: 0

摘要

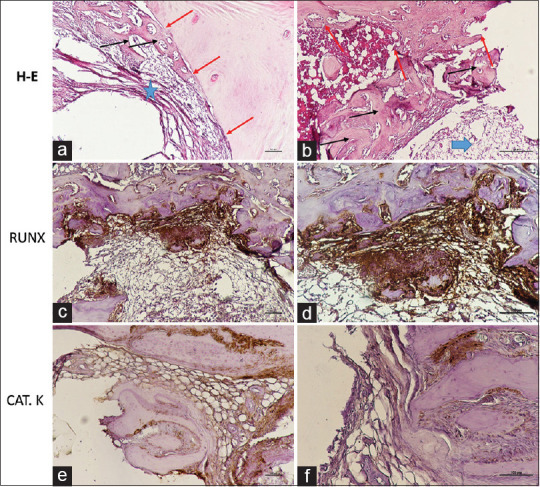
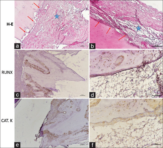
目的:通过显微计算机断层扫描(micro- computer tomography, micro-CT)和组织学分析,探讨二甲双胍联合艾塞那肽对实验性大鼠骨组织再生的成骨作用。材料与方法:取27只雌性白化Wistar大鼠顶骨进行直径为3mm、深度为2mm的均匀开颅缺损,随机分为3组:口服二甲双胍100 mg/kg/d组,腹腔注射艾塞那肽3 μg/kg/d组,不给药的对照组。利用显微ct扫描和分析评估缺损部位的骨体积和骨密度。结果:通过组织学和免疫组化检查观察骨再生及新生骨与完整骨的融合情况。在所有三组中,结果显示在骨量、骨密度、纤维结缔组织的存在或缺损区域与骨组织的完全整合方面没有显著差异。然而,实验组的成骨细胞数量(P = 0.007)和破骨细胞数量(P = 0.007)与对照组相比有显著差异。结论:二甲双胍和艾塞那肽可增强骨缺损成骨细胞和破骨细胞的活性,促进非糖尿病大鼠骨缺损愈合过程中的成骨潜能。
本文章由计算机程序翻译,如有差异,请以英文原文为准。

Osteogenic effects of metformin and exenatide on bone regeneration in non-diabetic rats: A Micro-CT and histological study.

Osteogenic effects of metformin and exenatide on bone regeneration in non-diabetic rats: A Micro-CT and histological study.

Osteogenic effects of metformin and exenatide on bone regeneration in non-diabetic rats: A Micro-CT and histological study.

Osteogenic effects of metformin and exenatide on bone regeneration in non-diabetic rats: A Micro-CT and histological study.

Aim: This study aimed to evaluate the osteogenic effects of systemic metformin and exenatide administration on bone tissue regeneration in an experimental rat model by utilising micro-computed tomography (micro-CT) and histological analysis.

Materials and methods: Uniform craniotomy defects measuring 3 mm in diameter and 2 mm depth were performed in the parietal bones of 27 female albino Wistar rats, which were randomly divided into three groups: 1) a group receiving 100 mg/kg/day of oral metformin, 2) a group receiving 3 μg/kg/day of intraperitoneal exenatide, and 3) a control group receiving no medication. Bone volume and density at the defect site were evaluated using micro-CT scanning and analysis.

Results: Bone regeneration and the integration of newly formed bone into intact bone were assessed through histological and immunohistochemical examinations. In all three groups, the results showed no significant differences in bone volume, bone density, the presence of fibrous connective tissue, or the complete integration of the defect area into the bone tissue. However, the experimental groups exhibited significant differences in the number of osteoblasts (P = 0.007) and osteoclasts (P = 0.007) when compared to the control group.

Conclusions: Metformin and exenatide enhance the activity of osteoblasts and osteoclasts in bone defects, promoting osteogenic potential during the healing process in non-diabetic rats.

求助全文
通过发布文献求助,成功后即可免费获取论文全文。 去求助
来源期刊
Journal of Oral and Maxillofacial Pathology
Journal of Oral and Maxillofacial Pathology Medicine-Otorhinolaryngology
CiteScore
1.40
自引率
0.00%
发文量
115
期刊介绍: The journal of Oral and Maxillofacial Pathology [ISSN:print-(0973-029X, online-1998-393X)] is a tri-annual journal published on behalf of “The Indian Association of Oral and Maxillofacial Pathologists” (IAOMP). The publication of JOMFP was started in the year 1993. The journal publishes papers on a wide spectrum of topics associated with the scope of Oral and Maxillofacial Pathology, also, ensuring scientific merit and quality. It is a comprehensive reading material for the professionals who want to upgrade their diagnostic skills in Oral Diseases; allows exposure to newer topics and methods of research in the Oral-facial Tissues and Pathology. New features allow an open minded thinking and approach to various pathologies. It also encourages authors to showcase quality work done by them and to compile relevant cases which are diagnostically challenging. The Journal takes pride in maintaining the quality of articles and photomicrographs.
×
引用
GB/T 7714-2015
复制
MLA
复制
APA
复制
导出至
BibTeX EndNote RefMan NoteFirst NoteExpress
×
提示
您的信息不完整,为了账户安全,请先补充。
现在去补充
×
提示
您因"违规操作"
具体请查看互助需知
我知道了
×
提示
确定
请完成安全验证×
copy
已复制链接
快去分享给好友吧!
我知道了
右上角分享
点击右上角分享
0
联系我们:info@booksci.cn Book学术提供免费学术资源搜索服务,方便国内外学者检索中英文文献。致力于提供最便捷和优质的服务体验。 Copyright © 2023 布克学术 All rights reserved.
京ICP备2023020795号-1
ghs 京公网安备 11010802042870号
Book学术文献互助
Book学术文献互助群
群 号:604180095
Book学术官方微信