来自伊拉克肉鸡农场的传染性法氏囊病病毒(IBDV ASPVB)的新重组株:首次分子和组织病理学调查揭示了新的见解。

IF 1.5 Q3 AGRICULTURE, DAIRY & ANIMAL SCIENCE
Journal of Advanced Veterinary and Animal Research Pub Date : 2025-04-30 eCollection Date: 2025-06-01 DOI:10.5455/javar.2025.l906
Ammar Dhari Abdel Fattah, Samer Sadeq Hameed
{"title":"来自伊拉克肉鸡农场的传染性法氏囊病病毒(IBDV ASPVB)的新重组株:首次分子和组织病理学调查揭示了新的见解。","authors":"Ammar Dhari Abdel Fattah, Samer Sadeq Hameed","doi":"10.5455/javar.2025.l906","DOIUrl":null,"url":null,"abstract":"<p><strong>Objective: </strong>The objective of this investigation was to identify and detect the reassortant infectious bursal disease virus (IBDV) strain from broiler farms suspected of being infected.</p><p><strong>Materials and methods: </strong>The broiler yielded 72 samples, including the spleen and bursa of Fabricius. The tissues underwent histological examination before being used in a typical PCR molecular investigation.</p><p><strong>Results: </strong>The strain was subsequently termed IBDV ASPVB. The IBDV ASPVB strain in Iraq has been identified as a novel reassortant strain based on the results of PCR, sequencing, and phylogenetic analysis of partial segments A and B. Segment A of this strain is derived from the highly pathogenic IBDV strain. In contrast, segment B is derived from other field reassortant strains. Infection with this strain might result in minor clinical symptoms but substantial damage to lymphoid organs, leading to compromised immunological responses.</p><p><strong>Conclusion: </strong>As a result of ongoing evolution, this study demonstrates that IBDV in Iraq exhibits a wide range of histological, genetic, and phenotypic variation; to our knowledge, this paper represents the first report of reassortant IBDV in Iraq.</p>","PeriodicalId":14892,"journal":{"name":"Journal of Advanced Veterinary and Animal Research","volume":"12 2","pages":"385-395"},"PeriodicalIF":1.5000,"publicationDate":"2025-04-30","publicationTypes":"Journal Article","fieldsOfStudy":null,"isOpenAccess":false,"openAccessPdf":"https://www.ncbi.nlm.nih.gov/pmc/articles/PMC12506698/pdf/","citationCount":"0","resultStr":"{\"title\":\"A novel reassortant strain of the infectious bursal disease virus (IBDV ASPVB) from Iraqi broiler farms: A first-time molecular and histopathological investigation revealing new insights.\",\"authors\":\"Ammar Dhari Abdel Fattah, Samer Sadeq Hameed\",\"doi\":\"10.5455/javar.2025.l906\",\"DOIUrl\":null,\"url\":null,\"abstract\":\"<p><strong>Objective: </strong>The objective of this investigation was to identify and detect the reassortant infectious bursal disease virus (IBDV) strain from broiler farms suspected of being infected.</p><p><strong>Materials and methods: </strong>The broiler yielded 72 samples, including the spleen and bursa of Fabricius. The tissues underwent histological examination before being used in a typical PCR molecular investigation.</p><p><strong>Results: </strong>The strain was subsequently termed IBDV ASPVB. The IBDV ASPVB strain in Iraq has been identified as a novel reassortant strain based on the results of PCR, sequencing, and phylogenetic analysis of partial segments A and B. Segment A of this strain is derived from the highly pathogenic IBDV strain. In contrast, segment B is derived from other field reassortant strains. Infection with this strain might result in minor clinical symptoms but substantial damage to lymphoid organs, leading to compromised immunological responses.</p><p><strong>Conclusion: </strong>As a result of ongoing evolution, this study demonstrates that IBDV in Iraq exhibits a wide range of histological, genetic, and phenotypic variation; to our knowledge, this paper represents the first report of reassortant IBDV in Iraq.</p>\",\"PeriodicalId\":14892,\"journal\":{\"name\":\"Journal of Advanced Veterinary and Animal Research\",\"volume\":\"12 2\",\"pages\":\"385-395\"},\"PeriodicalIF\":1.5000,\"publicationDate\":\"2025-04-30\",\"publicationTypes\":\"Journal Article\",\"fieldsOfStudy\":null,\"isOpenAccess\":false,\"openAccessPdf\":\"https://www.ncbi.nlm.nih.gov/pmc/articles/PMC12506698/pdf/\",\"citationCount\":\"0\",\"resultStr\":null,\"platform\":\"Semanticscholar\",\"paperid\":null,\"PeriodicalName\":\"Journal of Advanced Veterinary and Animal Research\",\"FirstCategoryId\":\"1085\",\"ListUrlMain\":\"https://doi.org/10.5455/javar.2025.l906\",\"RegionNum\":0,\"RegionCategory\":null,\"ArticlePicture\":[],\"TitleCN\":null,\"AbstractTextCN\":null,\"PMCID\":null,\"EPubDate\":\"2025/6/1 0:00:00\",\"PubModel\":\"eCollection\",\"JCR\":\"Q3\",\"JCRName\":\"AGRICULTURE, DAIRY & ANIMAL SCIENCE\",\"Score\":null,\"Total\":0}","platform":"Semanticscholar","paperid":null,"PeriodicalName":"Journal of Advanced Veterinary and Animal Research","FirstCategoryId":"1085","ListUrlMain":"https://doi.org/10.5455/javar.2025.l906","RegionNum":0,"RegionCategory":null,"ArticlePicture":[],"TitleCN":null,"AbstractTextCN":null,"PMCID":null,"EPubDate":"2025/6/1 0:00:00","PubModel":"eCollection","JCR":"Q3","JCRName":"AGRICULTURE, DAIRY & ANIMAL SCIENCE","Score":null,"Total":0}
引用次数: 0

摘要

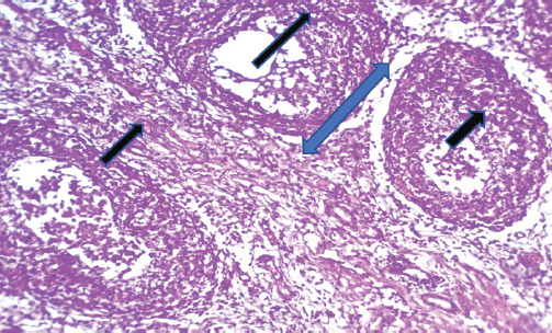
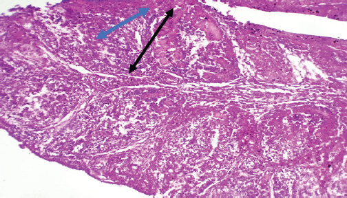
目的:从疑似感染的肉鸡养殖场中鉴定和检测重组传染性法氏囊病病毒(IBDV)。材料与方法:取肉仔鸡脾、法氏囊72份标本。在用于典型的PCR分子研究之前,对组织进行组织学检查。结果:该菌株被命名为IBDV ASPVB。基于PCR、测序和部分a段和b段的系统发育分析,伊拉克的IBDV ASPVB菌株被鉴定为一种新的重组菌株。相比之下,片段B来自其他田间重组菌株。感染该菌株可能导致轻微的临床症状,但对淋巴器官造成严重损害,导致免疫反应受损。结论:由于持续的进化,本研究表明伊拉克的IBDV表现出广泛的组织学、遗传和表型变异;据我们所知,这是伊拉克首次报道重组IBDV。
本文章由计算机程序翻译,如有差异,请以英文原文为准。

A novel reassortant strain of the infectious bursal disease virus (IBDV ASPVB) from Iraqi broiler farms: A first-time molecular and histopathological investigation revealing new insights.

A novel reassortant strain of the infectious bursal disease virus (IBDV ASPVB) from Iraqi broiler farms: A first-time molecular and histopathological investigation revealing new insights.

A novel reassortant strain of the infectious bursal disease virus (IBDV ASPVB) from Iraqi broiler farms: A first-time molecular and histopathological investigation revealing new insights.

A novel reassortant strain of the infectious bursal disease virus (IBDV ASPVB) from Iraqi broiler farms: A first-time molecular and histopathological investigation revealing new insights.

Objective: The objective of this investigation was to identify and detect the reassortant infectious bursal disease virus (IBDV) strain from broiler farms suspected of being infected.

Materials and methods: The broiler yielded 72 samples, including the spleen and bursa of Fabricius. The tissues underwent histological examination before being used in a typical PCR molecular investigation.

Results: The strain was subsequently termed IBDV ASPVB. The IBDV ASPVB strain in Iraq has been identified as a novel reassortant strain based on the results of PCR, sequencing, and phylogenetic analysis of partial segments A and B. Segment A of this strain is derived from the highly pathogenic IBDV strain. In contrast, segment B is derived from other field reassortant strains. Infection with this strain might result in minor clinical symptoms but substantial damage to lymphoid organs, leading to compromised immunological responses.

Conclusion: As a result of ongoing evolution, this study demonstrates that IBDV in Iraq exhibits a wide range of histological, genetic, and phenotypic variation; to our knowledge, this paper represents the first report of reassortant IBDV in Iraq.

求助全文
通过发布文献求助,成功后即可免费获取论文全文。 去求助
来源期刊
CiteScore
2.70
自引率
7.10%
发文量
41
审稿时长
6 weeks
期刊介绍: Journal of Advanced Veterinary and Animal Research (JAVAR) - is an open access, international, peer-reviewed, quarterly, highly-indexed scientific journal publishing original research findings and reviews on all aspects of veterinary and animal sciences. Basic and applied researches on- - Anatomy & histology - Animal health economics - Animal nutrition - Animal reproduction - Animal science - Antimicrobial resistance (AMR) - Biochemistry - Biotechnology - Dairy science - Epidemiology - Food hygiene and technology - Genetics and breeding - Immunology - Microbiology - Parasitology - Pathology - Pharmacology & toxicology - Physiology - Poultry science - Preventive veterinary medicine - Public health - Surgery & obstetrics - Veterinary extension studies - Wildlife & aquatic medicine - Zoo animal medicine.
×
引用
GB/T 7714-2015
复制
MLA
复制
APA
复制
导出至
BibTeX EndNote RefMan NoteFirst NoteExpress
×
提示
您的信息不完整,为了账户安全,请先补充。
现在去补充
×
提示
您因"违规操作"
具体请查看互助需知
我知道了
×
提示
确定
请完成安全验证×
copy
已复制链接
快去分享给好友吧!
我知道了
右上角分享
点击右上角分享
0
联系我们:info@booksci.cn Book学术提供免费学术资源搜索服务,方便国内外学者检索中英文文献。致力于提供最便捷和优质的服务体验。 Copyright © 2023 布克学术 All rights reserved.
京ICP备2023020795号-1
ghs 京公网安备 11010802042870号
Book学术文献互助
Book学术文献互助群
群 号:604180095
Book学术官方微信