小儿肺炎支原体肺炎238例肺实变吸收时间分析。

IF 2 3区 医学 Q2 PEDIATRICS
Frontiers in Pediatrics Pub Date : 2025-09-24 eCollection Date: 2025-01-01 DOI:10.3389/fped.2025.1606834
YueXu Ou, Jie Cao, Bin Qin, ZhengXiu Luo, HongQiang Du, YuanHui Duan, FengHua Chen, JiWei Zhou, YuanYuan Li, YingLan Zheng, XiaoMing Gan
{"title":"小儿肺炎支原体肺炎238例肺实变吸收时间分析。","authors":"YueXu Ou, Jie Cao, Bin Qin, ZhengXiu Luo, HongQiang Du, YuanHui Duan, FengHua Chen, JiWei Zhou, YuanYuan Li, YingLan Zheng, XiaoMing Gan","doi":"10.3389/fped.2025.1606834","DOIUrl":null,"url":null,"abstract":"<p><strong>Objective: </strong>To investigate the lung consolidation absorption time and rate in children with mycoplasma pneumoniae pneumonia (MPP) and evaluate the impact of bronchoalveolar lavage (BAL) on absorption.</p><p><strong>Methods: </strong>Children hospitalized with MPP and lung consolidation in Children's Hospital of Chongqing Medical University, between January 2018 and May 2024, were included for analysis. Patients were divided into BAL and non-BAL groups. Propensity score matching (PSM) was used to adjust for baseline differences between groups, and sub-group analyses were performed to assess the effect of BAL on lung consolidation absorption speed.</p><p><strong>Results: </strong>Among 238 children with MPP and lung consolidation, females slightly outnumbered males (129 vs. 109), with a mean age of approximately 5 years. Most children received azithromycin as the first-line treatment. Lung consolidation accounted for 4.48% (IQR: 2.61%-7.35%) of the total lung volume pre-treatment, with an absorption rate of 96.08% (IQR: 88.02%-98.95%) observed during follow-up at a median interval of 17 days (IQR: 15-21 days). The median absorption speed was 2.15 cc/day (IQR: 1.23-4.01 cc/day), with complete absorption occurring within 18.96 days (IQR: 16.14-23.33 days). Comparative analysis of the BAL and non-BAL groups revealed significant differences in fever duration, hs-CRP levels, consolidation-to-total lung volume ratio at admission, follow-up intervals, and consolidation absorption speed. Following 1:1 propensity score matching (PSM) to control for confounding factors, a statistically significant but small-to-medium effect persisted, with the median absorption rate remaining higher in the BAL group (2.13 cc/day) compared to the non-BAL group (1.60 cc/day).</p><p><strong>Conclusions: </strong>Using CT scan to evaluate consolidation changes in children with Mycoplasma pneumonia, most children have 96% resolution within 2-3 weeks timeframe. Those who had a bronchoscopy may have a faster resolution rate but undertaking a flexible bronchoscopy under these circumstances is not a standard procedure in most settings.</p>","PeriodicalId":12637,"journal":{"name":"Frontiers in Pediatrics","volume":"13 ","pages":"1606834"},"PeriodicalIF":2.0000,"publicationDate":"2025-09-24","publicationTypes":"Journal Article","fieldsOfStudy":null,"isOpenAccess":false,"openAccessPdf":"https://www.ncbi.nlm.nih.gov/pmc/articles/PMC12504092/pdf/","citationCount":"0","resultStr":"{\"title\":\"Lung consolidation absorption time in 238 pediatric cases of mycoplasma pneumoniae pneumonia.\",\"authors\":\"YueXu Ou, Jie Cao, Bin Qin, ZhengXiu Luo, HongQiang Du, YuanHui Duan, FengHua Chen, JiWei Zhou, YuanYuan Li, YingLan Zheng, XiaoMing Gan\",\"doi\":\"10.3389/fped.2025.1606834\",\"DOIUrl\":null,\"url\":null,\"abstract\":\"<p><strong>Objective: </strong>To investigate the lung consolidation absorption time and rate in children with mycoplasma pneumoniae pneumonia (MPP) and evaluate the impact of bronchoalveolar lavage (BAL) on absorption.</p><p><strong>Methods: </strong>Children hospitalized with MPP and lung consolidation in Children's Hospital of Chongqing Medical University, between January 2018 and May 2024, were included for analysis. Patients were divided into BAL and non-BAL groups. Propensity score matching (PSM) was used to adjust for baseline differences between groups, and sub-group analyses were performed to assess the effect of BAL on lung consolidation absorption speed.</p><p><strong>Results: </strong>Among 238 children with MPP and lung consolidation, females slightly outnumbered males (129 vs. 109), with a mean age of approximately 5 years. Most children received azithromycin as the first-line treatment. Lung consolidation accounted for 4.48% (IQR: 2.61%-7.35%) of the total lung volume pre-treatment, with an absorption rate of 96.08% (IQR: 88.02%-98.95%) observed during follow-up at a median interval of 17 days (IQR: 15-21 days). The median absorption speed was 2.15 cc/day (IQR: 1.23-4.01 cc/day), with complete absorption occurring within 18.96 days (IQR: 16.14-23.33 days). Comparative analysis of the BAL and non-BAL groups revealed significant differences in fever duration, hs-CRP levels, consolidation-to-total lung volume ratio at admission, follow-up intervals, and consolidation absorption speed. Following 1:1 propensity score matching (PSM) to control for confounding factors, a statistically significant but small-to-medium effect persisted, with the median absorption rate remaining higher in the BAL group (2.13 cc/day) compared to the non-BAL group (1.60 cc/day).</p><p><strong>Conclusions: </strong>Using CT scan to evaluate consolidation changes in children with Mycoplasma pneumonia, most children have 96% resolution within 2-3 weeks timeframe. Those who had a bronchoscopy may have a faster resolution rate but undertaking a flexible bronchoscopy under these circumstances is not a standard procedure in most settings.</p>\",\"PeriodicalId\":12637,\"journal\":{\"name\":\"Frontiers in Pediatrics\",\"volume\":\"13 \",\"pages\":\"1606834\"},\"PeriodicalIF\":2.0000,\"publicationDate\":\"2025-09-24\",\"publicationTypes\":\"Journal Article\",\"fieldsOfStudy\":null,\"isOpenAccess\":false,\"openAccessPdf\":\"https://www.ncbi.nlm.nih.gov/pmc/articles/PMC12504092/pdf/\",\"citationCount\":\"0\",\"resultStr\":null,\"platform\":\"Semanticscholar\",\"paperid\":null,\"PeriodicalName\":\"Frontiers in Pediatrics\",\"FirstCategoryId\":\"3\",\"ListUrlMain\":\"https://doi.org/10.3389/fped.2025.1606834\",\"RegionNum\":3,\"RegionCategory\":\"医学\",\"ArticlePicture\":[],\"TitleCN\":null,\"AbstractTextCN\":null,\"PMCID\":null,\"EPubDate\":\"2025/1/1 0:00:00\",\"PubModel\":\"eCollection\",\"JCR\":\"Q2\",\"JCRName\":\"PEDIATRICS\",\"Score\":null,\"Total\":0}","platform":"Semanticscholar","paperid":null,"PeriodicalName":"Frontiers in Pediatrics","FirstCategoryId":"3","ListUrlMain":"https://doi.org/10.3389/fped.2025.1606834","RegionNum":3,"RegionCategory":"医学","ArticlePicture":[],"TitleCN":null,"AbstractTextCN":null,"PMCID":null,"EPubDate":"2025/1/1 0:00:00","PubModel":"eCollection","JCR":"Q2","JCRName":"PEDIATRICS","Score":null,"Total":0}
引用次数: 0

摘要

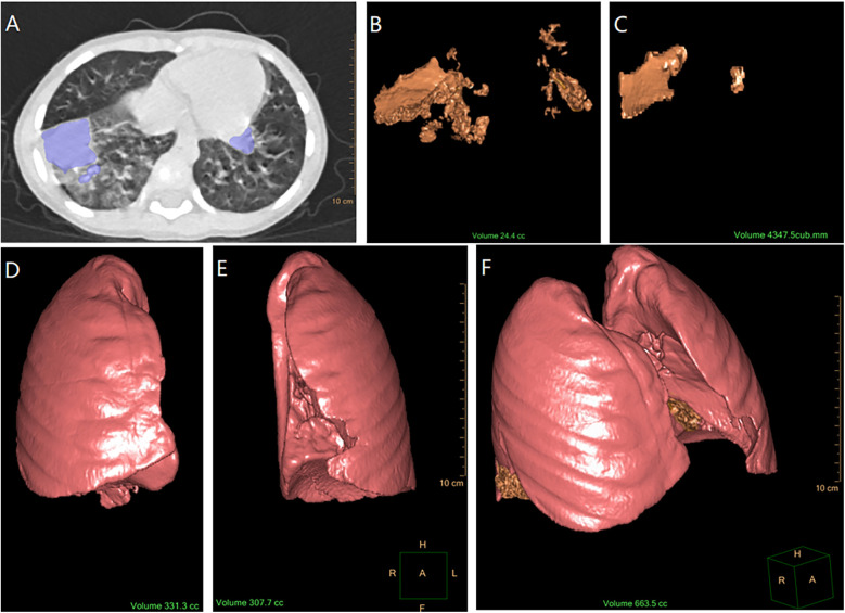
目的:观察肺炎支原体肺炎(MPP)患儿肺实变吸收时间及吸收率,评价支气管肺泡灌洗(BAL)对吸收率的影响。方法:纳入2018年1月至2024年5月重庆医科大学附属儿童医院因MPP和肺实变住院的儿童进行分析。患者分为BAL组和非BAL组。使用倾向评分匹配(PSM)来调整各组之间的基线差异,并进行亚组分析来评估BAL对肺实变吸收速度的影响。结果:238例MPP合并肺实变患儿中,女性略多于男性(129对109),平均年龄约5岁。大多数儿童接受阿奇霉素作为一线治疗。肺实变占治疗前肺总容积的4.48% (IQR: 2.61% ~ 7.35%),随访期间吸收率为96.08% (IQR: 88.02% ~ 98.95%),随访中位数间隔为17天(IQR: 15 ~ 21天)。中位吸收速度为2.15 cc/d (IQR: 1.23 ~ 4.01 cc/d),在18.96 d (IQR: 16.14 ~ 23.33 d)内完全吸收。对比分析BAL组和非BAL组在发热持续时间、hs-CRP水平、入院时实变与肺总容积比、随访时间间隔和实变吸收速度方面存在显著差异。通过1:1的倾向评分匹配(PSM)来控制混杂因素,统计上显着但中小型效应持续存在,BAL组的中位吸吸率(2.13 cc/天)高于非BAL组(1.60 cc/天)。结论:应用CT扫描评价支原体肺炎患儿的实变变化,多数患儿在2-3周内有96%的消退。那些进行了支气管镜检查的患者可能有更快的分辨率,但在这些情况下进行灵活的支气管镜检查并不是大多数情况下的标准程序。
本文章由计算机程序翻译,如有差异,请以英文原文为准。

Lung consolidation absorption time in 238 pediatric cases of mycoplasma pneumoniae pneumonia.

Lung consolidation absorption time in 238 pediatric cases of mycoplasma pneumoniae pneumonia.

Lung consolidation absorption time in 238 pediatric cases of mycoplasma pneumoniae pneumonia.

Objective: To investigate the lung consolidation absorption time and rate in children with mycoplasma pneumoniae pneumonia (MPP) and evaluate the impact of bronchoalveolar lavage (BAL) on absorption.

Methods: Children hospitalized with MPP and lung consolidation in Children's Hospital of Chongqing Medical University, between January 2018 and May 2024, were included for analysis. Patients were divided into BAL and non-BAL groups. Propensity score matching (PSM) was used to adjust for baseline differences between groups, and sub-group analyses were performed to assess the effect of BAL on lung consolidation absorption speed.

Results: Among 238 children with MPP and lung consolidation, females slightly outnumbered males (129 vs. 109), with a mean age of approximately 5 years. Most children received azithromycin as the first-line treatment. Lung consolidation accounted for 4.48% (IQR: 2.61%-7.35%) of the total lung volume pre-treatment, with an absorption rate of 96.08% (IQR: 88.02%-98.95%) observed during follow-up at a median interval of 17 days (IQR: 15-21 days). The median absorption speed was 2.15 cc/day (IQR: 1.23-4.01 cc/day), with complete absorption occurring within 18.96 days (IQR: 16.14-23.33 days). Comparative analysis of the BAL and non-BAL groups revealed significant differences in fever duration, hs-CRP levels, consolidation-to-total lung volume ratio at admission, follow-up intervals, and consolidation absorption speed. Following 1:1 propensity score matching (PSM) to control for confounding factors, a statistically significant but small-to-medium effect persisted, with the median absorption rate remaining higher in the BAL group (2.13 cc/day) compared to the non-BAL group (1.60 cc/day).

Conclusions: Using CT scan to evaluate consolidation changes in children with Mycoplasma pneumonia, most children have 96% resolution within 2-3 weeks timeframe. Those who had a bronchoscopy may have a faster resolution rate but undertaking a flexible bronchoscopy under these circumstances is not a standard procedure in most settings.

求助全文
通过发布文献求助,成功后即可免费获取论文全文。 去求助
来源期刊
Frontiers in Pediatrics
Frontiers in Pediatrics Medicine-Pediatrics, Perinatology and Child Health
CiteScore
3.60
自引率
7.70%
发文量
2132
审稿时长
14 weeks
期刊介绍: Frontiers in Pediatrics (Impact Factor 2.33) publishes rigorously peer-reviewed research broadly across the field, from basic to clinical research that meets ongoing challenges in pediatric patient care and child health. Field Chief Editors Arjan Te Pas at Leiden University and Michael L. Moritz at the Children''s Hospital of Pittsburgh are supported by an outstanding Editorial Board of international experts. This multidisciplinary open-access journal is at the forefront of disseminating and communicating scientific knowledge and impactful discoveries to researchers, academics, clinicians and the public worldwide. Frontiers in Pediatrics also features Research Topics, Frontiers special theme-focused issues managed by Guest Associate Editors, addressing important areas in pediatrics. In this fashion, Frontiers serves as an outlet to publish the broadest aspects of pediatrics in both basic and clinical research, including high-quality reviews, case reports, editorials and commentaries related to all aspects of pediatrics.
×
引用
GB/T 7714-2015
复制
MLA
复制
APA
复制
导出至
BibTeX EndNote RefMan NoteFirst NoteExpress
×
提示
您的信息不完整,为了账户安全,请先补充。
现在去补充
×
提示
您因"违规操作"
具体请查看互助需知
我知道了
×
提示
确定
请完成安全验证×
copy
已复制链接
快去分享给好友吧!
我知道了
右上角分享
点击右上角分享
0
联系我们:info@booksci.cn Book学术提供免费学术资源搜索服务,方便国内外学者检索中英文文献。致力于提供最便捷和优质的服务体验。 Copyright © 2023 布克学术 All rights reserved.
京ICP备2023020795号-1
ghs 京公网安备 11010802042870号
Book学术文献互助
Book学术文献互助群
群 号:604180095
Book学术官方微信