基底细胞癌的不典型表现:上臂的巨大疣状溃疡。

IF 0.7 Q3 MEDICINE, GENERAL & INTERNAL
International Medical Case Reports Journal Pub Date : 2025-10-04 eCollection Date: 2025-01-01 DOI:10.2147/IMCRJ.S553586
Jianzhong Zhang, Ying Guo, Chao Lv, Zhifeng Li, Guoying Miao, Litao Wang
{"title":"基底细胞癌的不典型表现:上臂的巨大疣状溃疡。","authors":"Jianzhong Zhang, Ying Guo, Chao Lv, Zhifeng Li, Guoying Miao, Litao Wang","doi":"10.2147/IMCRJ.S553586","DOIUrl":null,"url":null,"abstract":"<p><p>Giant basal cell carcinoma (GBCC) is a rare and clinically aggressive subtype of BCC. We report an unusual case of a 71-year-old male with a 30-year history of a slowly enlarging tumor on the extensor surface of his left upper arm. The lesion presented as a giant, irregular ulceration measuring 12×10 cm with coalescing verrucous borders. Histopathological examination confirmed the diagnosis, revealing characteristic nests of basaloid cells with peripheral palisading and stromal retraction artifact in the dermis. Immunohistochemical staining was positive for Ber-EP4, CK15, Ki-67, Bcl-2. The patient was diagnosed with GBCC with Ulcer. Staging workup with computed tomography (CT) of the left humerus and axillary lymph node ultrasonography showed no evidence of metastasis. The patient was successfully treated with slow Mohs micrographic surgery. Subsequent histopathological assessment of the excised specimen confirmed tumor-free margins. At 12-month follow-up, no local recurrence was observed. This case highlights the importance of recognizing GBCC in uncommon locations and demonstrates the efficacy of slow Mohs technique for achieving complete excision in large, complex tumors.</p>","PeriodicalId":14337,"journal":{"name":"International Medical Case Reports Journal","volume":"18 ","pages":"1279-1283"},"PeriodicalIF":0.7000,"publicationDate":"2025-10-04","publicationTypes":"Journal Article","fieldsOfStudy":null,"isOpenAccess":false,"openAccessPdf":"https://www.ncbi.nlm.nih.gov/pmc/articles/PMC12506792/pdf/","citationCount":"0","resultStr":"{\"title\":\"An Atypical Presentation of Basal Cell Carcinoma: A Giant Verrucous Ulcer on the Upper Arm.\",\"authors\":\"Jianzhong Zhang, Ying Guo, Chao Lv, Zhifeng Li, Guoying Miao, Litao Wang\",\"doi\":\"10.2147/IMCRJ.S553586\",\"DOIUrl\":null,\"url\":null,\"abstract\":\"<p><p>Giant basal cell carcinoma (GBCC) is a rare and clinically aggressive subtype of BCC. We report an unusual case of a 71-year-old male with a 30-year history of a slowly enlarging tumor on the extensor surface of his left upper arm. The lesion presented as a giant, irregular ulceration measuring 12×10 cm with coalescing verrucous borders. Histopathological examination confirmed the diagnosis, revealing characteristic nests of basaloid cells with peripheral palisading and stromal retraction artifact in the dermis. Immunohistochemical staining was positive for Ber-EP4, CK15, Ki-67, Bcl-2. The patient was diagnosed with GBCC with Ulcer. Staging workup with computed tomography (CT) of the left humerus and axillary lymph node ultrasonography showed no evidence of metastasis. The patient was successfully treated with slow Mohs micrographic surgery. Subsequent histopathological assessment of the excised specimen confirmed tumor-free margins. At 12-month follow-up, no local recurrence was observed. This case highlights the importance of recognizing GBCC in uncommon locations and demonstrates the efficacy of slow Mohs technique for achieving complete excision in large, complex tumors.</p>\",\"PeriodicalId\":14337,\"journal\":{\"name\":\"International Medical Case Reports Journal\",\"volume\":\"18 \",\"pages\":\"1279-1283\"},\"PeriodicalIF\":0.7000,\"publicationDate\":\"2025-10-04\",\"publicationTypes\":\"Journal Article\",\"fieldsOfStudy\":null,\"isOpenAccess\":false,\"openAccessPdf\":\"https://www.ncbi.nlm.nih.gov/pmc/articles/PMC12506792/pdf/\",\"citationCount\":\"0\",\"resultStr\":null,\"platform\":\"Semanticscholar\",\"paperid\":null,\"PeriodicalName\":\"International Medical Case Reports Journal\",\"FirstCategoryId\":\"1085\",\"ListUrlMain\":\"https://doi.org/10.2147/IMCRJ.S553586\",\"RegionNum\":0,\"RegionCategory\":null,\"ArticlePicture\":[],\"TitleCN\":null,\"AbstractTextCN\":null,\"PMCID\":null,\"EPubDate\":\"2025/1/1 0:00:00\",\"PubModel\":\"eCollection\",\"JCR\":\"Q3\",\"JCRName\":\"MEDICINE, GENERAL & INTERNAL\",\"Score\":null,\"Total\":0}","platform":"Semanticscholar","paperid":null,"PeriodicalName":"International Medical Case Reports Journal","FirstCategoryId":"1085","ListUrlMain":"https://doi.org/10.2147/IMCRJ.S553586","RegionNum":0,"RegionCategory":null,"ArticlePicture":[],"TitleCN":null,"AbstractTextCN":null,"PMCID":null,"EPubDate":"2025/1/1 0:00:00","PubModel":"eCollection","JCR":"Q3","JCRName":"MEDICINE, GENERAL & INTERNAL","Score":null,"Total":0}
引用次数: 0

摘要

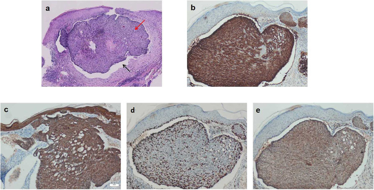
巨细胞基底细胞癌(GBCC)是一种罕见的临床侵袭性亚型。我们报告一个不寻常的情况下,71岁的男性与30年的历史,一个缓慢扩大的肿瘤,他的左臂伸肌表面。病变表现为巨大的不规则溃疡,尺寸为12×10 cm,边界呈聚结性疣状。组织病理学检查证实了诊断,发现真皮内有特征性的基底样细胞巢,外周栅栏和间质退缩伪影。免疫组化染色Ber-EP4、CK15、Ki-67、Bcl-2阳性。患者被诊断为GBCC合并溃疡。左肱骨计算机断层扫描和腋窝淋巴结超声检查未发现转移迹象。患者经慢莫氏显微摄影手术治疗成功。随后对切除标本的组织病理学评估证实无肿瘤边缘。随访12个月,未见局部复发。本病例强调了在罕见部位识别GBCC的重要性,并证明了慢Mohs技术在实现大而复杂肿瘤的完全切除方面的有效性。
本文章由计算机程序翻译,如有差异,请以英文原文为准。

An Atypical Presentation of Basal Cell Carcinoma: A Giant Verrucous Ulcer on the Upper Arm.

An Atypical Presentation of Basal Cell Carcinoma: A Giant Verrucous Ulcer on the Upper Arm.

An Atypical Presentation of Basal Cell Carcinoma: A Giant Verrucous Ulcer on the Upper Arm.

Giant basal cell carcinoma (GBCC) is a rare and clinically aggressive subtype of BCC. We report an unusual case of a 71-year-old male with a 30-year history of a slowly enlarging tumor on the extensor surface of his left upper arm. The lesion presented as a giant, irregular ulceration measuring 12×10 cm with coalescing verrucous borders. Histopathological examination confirmed the diagnosis, revealing characteristic nests of basaloid cells with peripheral palisading and stromal retraction artifact in the dermis. Immunohistochemical staining was positive for Ber-EP4, CK15, Ki-67, Bcl-2. The patient was diagnosed with GBCC with Ulcer. Staging workup with computed tomography (CT) of the left humerus and axillary lymph node ultrasonography showed no evidence of metastasis. The patient was successfully treated with slow Mohs micrographic surgery. Subsequent histopathological assessment of the excised specimen confirmed tumor-free margins. At 12-month follow-up, no local recurrence was observed. This case highlights the importance of recognizing GBCC in uncommon locations and demonstrates the efficacy of slow Mohs technique for achieving complete excision in large, complex tumors.

求助全文
通过发布文献求助,成功后即可免费获取论文全文。 去求助
来源期刊
International Medical Case Reports Journal
International Medical Case Reports Journal MEDICINE, GENERAL & INTERNAL-
CiteScore
1.40
自引率
0.00%
发文量
135
审稿时长
16 weeks
期刊介绍: International Medical Case Reports Journal is an international, peer-reviewed, open access, online journal publishing original case reports from all medical specialties. Submissions should not normally exceed 3,000 words or 4 published pages including figures, diagrams and references. As of 1st April 2019, the International Medical Case Reports Journal will no longer consider meta-analyses for publication.
×
引用
GB/T 7714-2015
复制
MLA
复制
APA
复制
导出至
BibTeX EndNote RefMan NoteFirst NoteExpress
×
提示
您的信息不完整,为了账户安全,请先补充。
现在去补充
×
提示
您因"违规操作"
具体请查看互助需知
我知道了
×
提示
确定
请完成安全验证×
copy
已复制链接
快去分享给好友吧!
我知道了
右上角分享
点击右上角分享
0
联系我们:info@booksci.cn Book学术提供免费学术资源搜索服务,方便国内外学者检索中英文文献。致力于提供最便捷和优质的服务体验。 Copyright © 2023 布克学术 All rights reserved.
京ICP备2023020795号-1
ghs 京公网安备 11010802042870号
Book学术文献互助
Book学术文献互助群
群 号:604180095
Book学术官方微信