肺叶切除术后COVID-19围手术期并发迟发性肺炎。

IF 0.5 Q4 SURGERY
Journal of Surgical Case Reports Pub Date : 2025-10-07 eCollection Date: 2025-10-01 DOI:10.1093/jscr/rjaf806
Yasuhiro Nakashima, Shinji Katayanagi, Mariko Hanafusa, Hironori Ishibashi, Kei Aoyagi, Atsushi Nakagawa, Chika Noguchi, Hiroshi Hosoda
{"title":"肺叶切除术后COVID-19围手术期并发迟发性肺炎。","authors":"Yasuhiro Nakashima, Shinji Katayanagi, Mariko Hanafusa, Hironori Ishibashi, Kei Aoyagi, Atsushi Nakagawa, Chika Noguchi, Hiroshi Hosoda","doi":"10.1093/jscr/rjaf806","DOIUrl":null,"url":null,"abstract":"<p><p>Delayed-onset organizing pneumonia as a manifestation of post-acute coronavirus disease 2019 (COVID-19) syndrome has not been documented in the perioperative setting. Here, a 61-year-old man underwent left lower lobectomy complicated by persistent air leakage requiring seven pleurodesis procedures. He developed COVID-19 on postoperative Day 10 and initially recovered but was readmitted on Day 27 with fever and respiratory failure. Chest computed tomography revealed progressive consolidations with ground-glass opacities. Initial methylprednisolone pulse therapy showed limited response, necessitating a second course with cyclosporine A addition. The patient achieved substantial radiological improvement by postoperative Day 104. Based on the biphasic clinical course, distinctive radiological progression, and limited steroid response, delayed-onset organizing pneumonia secondary to post-acute COVID-19 syndrome was diagnosed. This case highlights the importance of extended monitoring in post-lung resection patients with COVID-19 to enable early recognition and prompt intervention of delayed pulmonary complications.</p>","PeriodicalId":47321,"journal":{"name":"Journal of Surgical Case Reports","volume":"2025 10","pages":"rjaf806"},"PeriodicalIF":0.5000,"publicationDate":"2025-10-07","publicationTypes":"Journal Article","fieldsOfStudy":null,"isOpenAccess":false,"openAccessPdf":"https://www.ncbi.nlm.nih.gov/pmc/articles/PMC12501103/pdf/","citationCount":"0","resultStr":"{\"title\":\"Delayed-onset organizing pneumonia following perioperative COVID-19 after lobectomy.\",\"authors\":\"Yasuhiro Nakashima, Shinji Katayanagi, Mariko Hanafusa, Hironori Ishibashi, Kei Aoyagi, Atsushi Nakagawa, Chika Noguchi, Hiroshi Hosoda\",\"doi\":\"10.1093/jscr/rjaf806\",\"DOIUrl\":null,\"url\":null,\"abstract\":\"<p><p>Delayed-onset organizing pneumonia as a manifestation of post-acute coronavirus disease 2019 (COVID-19) syndrome has not been documented in the perioperative setting. Here, a 61-year-old man underwent left lower lobectomy complicated by persistent air leakage requiring seven pleurodesis procedures. He developed COVID-19 on postoperative Day 10 and initially recovered but was readmitted on Day 27 with fever and respiratory failure. Chest computed tomography revealed progressive consolidations with ground-glass opacities. Initial methylprednisolone pulse therapy showed limited response, necessitating a second course with cyclosporine A addition. The patient achieved substantial radiological improvement by postoperative Day 104. Based on the biphasic clinical course, distinctive radiological progression, and limited steroid response, delayed-onset organizing pneumonia secondary to post-acute COVID-19 syndrome was diagnosed. This case highlights the importance of extended monitoring in post-lung resection patients with COVID-19 to enable early recognition and prompt intervention of delayed pulmonary complications.</p>\",\"PeriodicalId\":47321,\"journal\":{\"name\":\"Journal of Surgical Case Reports\",\"volume\":\"2025 10\",\"pages\":\"rjaf806\"},\"PeriodicalIF\":0.5000,\"publicationDate\":\"2025-10-07\",\"publicationTypes\":\"Journal Article\",\"fieldsOfStudy\":null,\"isOpenAccess\":false,\"openAccessPdf\":\"https://www.ncbi.nlm.nih.gov/pmc/articles/PMC12501103/pdf/\",\"citationCount\":\"0\",\"resultStr\":null,\"platform\":\"Semanticscholar\",\"paperid\":null,\"PeriodicalName\":\"Journal of Surgical Case Reports\",\"FirstCategoryId\":\"1085\",\"ListUrlMain\":\"https://doi.org/10.1093/jscr/rjaf806\",\"RegionNum\":0,\"RegionCategory\":null,\"ArticlePicture\":[],\"TitleCN\":null,\"AbstractTextCN\":null,\"PMCID\":null,\"EPubDate\":\"2025/10/1 0:00:00\",\"PubModel\":\"eCollection\",\"JCR\":\"Q4\",\"JCRName\":\"SURGERY\",\"Score\":null,\"Total\":0}","platform":"Semanticscholar","paperid":null,"PeriodicalName":"Journal of Surgical Case Reports","FirstCategoryId":"1085","ListUrlMain":"https://doi.org/10.1093/jscr/rjaf806","RegionNum":0,"RegionCategory":null,"ArticlePicture":[],"TitleCN":null,"AbstractTextCN":null,"PMCID":null,"EPubDate":"2025/10/1 0:00:00","PubModel":"eCollection","JCR":"Q4","JCRName":"SURGERY","Score":null,"Total":0}
引用次数: 0

摘要

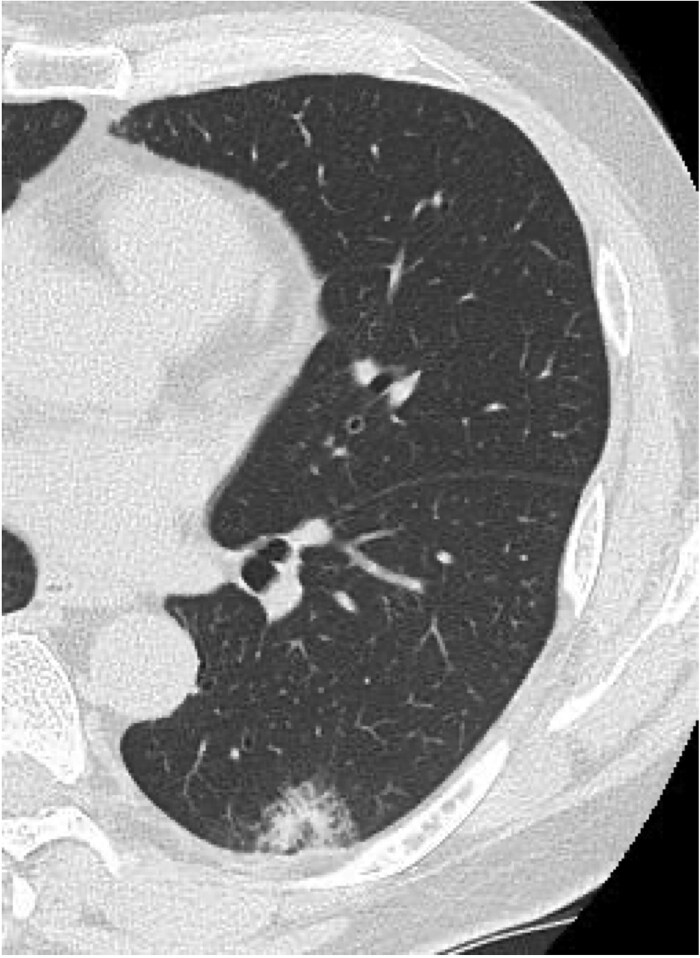
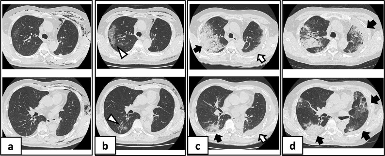
迟发性组织性肺炎作为急性冠状病毒病2019 (COVID-19)综合征的表现在围手术期尚未见文献记载。这里,一位61岁的男性接受了左下肺叶切除术,并伴有持续的漏气,需要进行7次胸膜切除术。患者于术后第10天感染COVID-19,最初恢复,但于第27天再次入院,出现发烧和呼吸衰竭。胸部计算机断层扫描显示进行性实变伴磨玻璃影。最初的甲基强的松龙脉冲治疗反应有限,需要第二个疗程加环孢素a。患者在术后第104天获得了明显的放射学改善。根据两期临床病程、独特的影像学进展和有限的类固醇反应,诊断为急性后COVID-19综合征继发迟发性肺炎。该病例强调了对肺切除术后COVID-19患者进行延长监测的重要性,以便及早发现并及时干预延迟性肺部并发症。
本文章由计算机程序翻译,如有差异,请以英文原文为准。

Delayed-onset organizing pneumonia following perioperative COVID-19 after lobectomy.

Delayed-onset organizing pneumonia following perioperative COVID-19 after lobectomy.

Delayed-onset organizing pneumonia following perioperative COVID-19 after lobectomy.

Delayed-onset organizing pneumonia following perioperative COVID-19 after lobectomy.

Delayed-onset organizing pneumonia as a manifestation of post-acute coronavirus disease 2019 (COVID-19) syndrome has not been documented in the perioperative setting. Here, a 61-year-old man underwent left lower lobectomy complicated by persistent air leakage requiring seven pleurodesis procedures. He developed COVID-19 on postoperative Day 10 and initially recovered but was readmitted on Day 27 with fever and respiratory failure. Chest computed tomography revealed progressive consolidations with ground-glass opacities. Initial methylprednisolone pulse therapy showed limited response, necessitating a second course with cyclosporine A addition. The patient achieved substantial radiological improvement by postoperative Day 104. Based on the biphasic clinical course, distinctive radiological progression, and limited steroid response, delayed-onset organizing pneumonia secondary to post-acute COVID-19 syndrome was diagnosed. This case highlights the importance of extended monitoring in post-lung resection patients with COVID-19 to enable early recognition and prompt intervention of delayed pulmonary complications.

求助全文
通过发布文献求助,成功后即可免费获取论文全文。 去求助
来源期刊
CiteScore
0.70
自引率
0.00%
发文量
559
审稿时长
11 weeks
×
引用
GB/T 7714-2015
复制
MLA
复制
APA
复制
导出至
BibTeX EndNote RefMan NoteFirst NoteExpress
×
提示
您的信息不完整,为了账户安全,请先补充。
现在去补充
×
提示
您因"违规操作"
具体请查看互助需知
我知道了
×
提示
确定
请完成安全验证×
copy
已复制链接
快去分享给好友吧!
我知道了
右上角分享
点击右上角分享
0
联系我们:info@booksci.cn Book学术提供免费学术资源搜索服务,方便国内外学者检索中英文文献。致力于提供最便捷和优质的服务体验。 Copyright © 2023 布克学术 All rights reserved.
京ICP备2023020795号-1
ghs 京公网安备 11010802042870号
Book学术文献互助
Book学术文献互助群
群 号:604180095
Book学术官方微信