看不见的危机:急性出血性胰腺炎的意外面对。

IF 0.5 Q4 SURGERY
Journal of Surgical Case Reports Pub Date : 2025-10-07 eCollection Date: 2025-10-01 DOI:10.1093/jscr/rjaf804
Anika Nathaniel, Andrew C Ekwesianya, Wing Y Chan, Josephine Mollier, Tarek Mehaina, Abraham Jesudoss, Abaraham A Ayantunde
{"title":"看不见的危机:急性出血性胰腺炎的意外面对。","authors":"Anika Nathaniel, Andrew C Ekwesianya, Wing Y Chan, Josephine Mollier, Tarek Mehaina, Abraham Jesudoss, Abaraham A Ayantunde","doi":"10.1093/jscr/rjaf804","DOIUrl":null,"url":null,"abstract":"<p><p>Acute necrotising pancreatitis can lead to severe vascular complications, including venous thrombosis, pseudoaneurysm, and haemorrhage. Acute haemorrhagic pancreatitis, though rare, is life-threatening. Contrast-enhanced computed tomography (CT) scan is the preferred diagnostic tool, with image-guided embolisation as the primary treatment for bleeding vessels. Surgery may be necessary when radiological methods fail. A 39-year-old male with recurrent abdominal pain, distension, and weight loss was initially misdiagnosed with intra-abdominal malignancy based on CT findings of omental deposits. Elevated amylase levels and haemorrhagic ascetic fluid prompted further investigations. A rapid haemoglobin drop and clinical deterioration led to diagnostic laparoscopy, confirming acute haemorrhagic pancreatitis. This case highlights the diagnostic challenges of this condition, which may present subtly and evade standard imaging, resulting in delayed treatment. Clinicians should suspect haemorrhagic pancreatitis in patients with acute abdominal pain, elevated amylase or lipase, and ascites. Early recognition and intervention are crucial for better outcomes.</p>","PeriodicalId":47321,"journal":{"name":"Journal of Surgical Case Reports","volume":"2025 10","pages":"rjaf804"},"PeriodicalIF":0.5000,"publicationDate":"2025-10-07","publicationTypes":"Journal Article","fieldsOfStudy":null,"isOpenAccess":false,"openAccessPdf":"https://www.ncbi.nlm.nih.gov/pmc/articles/PMC12501109/pdf/","citationCount":"0","resultStr":"{\"title\":\"Unseen crisis: the unexpected face of acute haemorrhagic pancreatitis.\",\"authors\":\"Anika Nathaniel, Andrew C Ekwesianya, Wing Y Chan, Josephine Mollier, Tarek Mehaina, Abraham Jesudoss, Abaraham A Ayantunde\",\"doi\":\"10.1093/jscr/rjaf804\",\"DOIUrl\":null,\"url\":null,\"abstract\":\"<p><p>Acute necrotising pancreatitis can lead to severe vascular complications, including venous thrombosis, pseudoaneurysm, and haemorrhage. Acute haemorrhagic pancreatitis, though rare, is life-threatening. Contrast-enhanced computed tomography (CT) scan is the preferred diagnostic tool, with image-guided embolisation as the primary treatment for bleeding vessels. Surgery may be necessary when radiological methods fail. A 39-year-old male with recurrent abdominal pain, distension, and weight loss was initially misdiagnosed with intra-abdominal malignancy based on CT findings of omental deposits. Elevated amylase levels and haemorrhagic ascetic fluid prompted further investigations. A rapid haemoglobin drop and clinical deterioration led to diagnostic laparoscopy, confirming acute haemorrhagic pancreatitis. This case highlights the diagnostic challenges of this condition, which may present subtly and evade standard imaging, resulting in delayed treatment. Clinicians should suspect haemorrhagic pancreatitis in patients with acute abdominal pain, elevated amylase or lipase, and ascites. Early recognition and intervention are crucial for better outcomes.</p>\",\"PeriodicalId\":47321,\"journal\":{\"name\":\"Journal of Surgical Case Reports\",\"volume\":\"2025 10\",\"pages\":\"rjaf804\"},\"PeriodicalIF\":0.5000,\"publicationDate\":\"2025-10-07\",\"publicationTypes\":\"Journal Article\",\"fieldsOfStudy\":null,\"isOpenAccess\":false,\"openAccessPdf\":\"https://www.ncbi.nlm.nih.gov/pmc/articles/PMC12501109/pdf/\",\"citationCount\":\"0\",\"resultStr\":null,\"platform\":\"Semanticscholar\",\"paperid\":null,\"PeriodicalName\":\"Journal of Surgical Case Reports\",\"FirstCategoryId\":\"1085\",\"ListUrlMain\":\"https://doi.org/10.1093/jscr/rjaf804\",\"RegionNum\":0,\"RegionCategory\":null,\"ArticlePicture\":[],\"TitleCN\":null,\"AbstractTextCN\":null,\"PMCID\":null,\"EPubDate\":\"2025/10/1 0:00:00\",\"PubModel\":\"eCollection\",\"JCR\":\"Q4\",\"JCRName\":\"SURGERY\",\"Score\":null,\"Total\":0}","platform":"Semanticscholar","paperid":null,"PeriodicalName":"Journal of Surgical Case Reports","FirstCategoryId":"1085","ListUrlMain":"https://doi.org/10.1093/jscr/rjaf804","RegionNum":0,"RegionCategory":null,"ArticlePicture":[],"TitleCN":null,"AbstractTextCN":null,"PMCID":null,"EPubDate":"2025/10/1 0:00:00","PubModel":"eCollection","JCR":"Q4","JCRName":"SURGERY","Score":null,"Total":0}
引用次数: 0

摘要

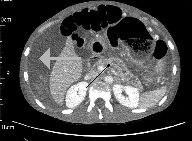
急性坏死性胰腺炎可导致严重的血管并发症,包括静脉血栓、假性动脉瘤和出血。急性出血性胰腺炎虽然罕见,但会危及生命。对比增强计算机断层扫描(CT)是首选的诊断工具,图像引导栓塞是血管出血的主要治疗方法。当放射方法失败时,手术可能是必要的。一位39岁男性,反复腹痛、腹胀和体重减轻,最初因CT显示大网膜沉积而被误诊为腹内恶性肿瘤。淀粉酶水平升高和出血性腹水促使进一步调查。血红蛋白快速下降和临床恶化导致诊断腹腔镜检查,确认急性出血性胰腺炎。该病例突出了这种情况的诊断挑战,它可能会微妙地出现并逃避标准成像,导致延迟治疗。临床医生应怀疑急性腹痛、淀粉酶或脂肪酶升高和腹水患者为出血性胰腺炎。早期识别和干预对取得更好的结果至关重要。
本文章由计算机程序翻译,如有差异,请以英文原文为准。

Unseen crisis: the unexpected face of acute haemorrhagic pancreatitis.

Unseen crisis: the unexpected face of acute haemorrhagic pancreatitis.

Unseen crisis: the unexpected face of acute haemorrhagic pancreatitis.

Unseen crisis: the unexpected face of acute haemorrhagic pancreatitis.

Acute necrotising pancreatitis can lead to severe vascular complications, including venous thrombosis, pseudoaneurysm, and haemorrhage. Acute haemorrhagic pancreatitis, though rare, is life-threatening. Contrast-enhanced computed tomography (CT) scan is the preferred diagnostic tool, with image-guided embolisation as the primary treatment for bleeding vessels. Surgery may be necessary when radiological methods fail. A 39-year-old male with recurrent abdominal pain, distension, and weight loss was initially misdiagnosed with intra-abdominal malignancy based on CT findings of omental deposits. Elevated amylase levels and haemorrhagic ascetic fluid prompted further investigations. A rapid haemoglobin drop and clinical deterioration led to diagnostic laparoscopy, confirming acute haemorrhagic pancreatitis. This case highlights the diagnostic challenges of this condition, which may present subtly and evade standard imaging, resulting in delayed treatment. Clinicians should suspect haemorrhagic pancreatitis in patients with acute abdominal pain, elevated amylase or lipase, and ascites. Early recognition and intervention are crucial for better outcomes.

求助全文
通过发布文献求助,成功后即可免费获取论文全文。 去求助
来源期刊
CiteScore
0.70
自引率
0.00%
发文量
559
审稿时长
11 weeks
×
引用
GB/T 7714-2015
复制
MLA
复制
APA
复制
导出至
BibTeX EndNote RefMan NoteFirst NoteExpress
×
提示
您的信息不完整,为了账户安全,请先补充。
现在去补充
×
提示
您因"违规操作"
具体请查看互助需知
我知道了
×
提示
确定
请完成安全验证×
copy
已复制链接
快去分享给好友吧!
我知道了
右上角分享
点击右上角分享
0
联系我们:info@booksci.cn Book学术提供免费学术资源搜索服务,方便国内外学者检索中英文文献。致力于提供最便捷和优质的服务体验。 Copyright © 2023 布克学术 All rights reserved.
京ICP备2023020795号-1
ghs 京公网安备 11010802042870号
Book学术文献互助
Book学术文献互助群
群 号:604180095
Book学术官方微信