腹腔镜子宫引流术治疗meyer - rokitansky - k ster- hauser综合征合并积血和输卵管积血1例。

IF 0.5 Q4 SURGERY
Journal of Surgical Case Reports Pub Date : 2025-10-07 eCollection Date: 2025-10-01 DOI:10.1093/jscr/rjaf797
Uma V Mahajan, Marla Sacks, Carlos Reck, Varag Abed, Harry Zinn, Francisca T Velcek
{"title":"腹腔镜子宫引流术治疗meyer - rokitansky - k<s:1> ster- hauser综合征合并积血和输卵管积血1例。","authors":"Uma V Mahajan, Marla Sacks, Carlos Reck, Varag Abed, Harry Zinn, Francisca T Velcek","doi":"10.1093/jscr/rjaf797","DOIUrl":null,"url":null,"abstract":"<p><p>Mayer-Rokitansky-Küster-Hauser (MRKH) syndrome is a reproductive tract malformation occurring in ~1 in 5000 female births. It is characterized by congenital agenesis or marked hypoplasia of the Mullerian ducts derivative structures. About 3% of MRKH patients have a functioning uterus. A 12-year-old otherwise healthy female presented with persistent cyclic severe right lower quadrant pain. She was found to have MRKH syndrome with a right-sided functioning uterus and hematometra and ipsilateral hematosalpinx. She subsequently underwent diagnostic cystoscopy, vaginoscopy, and pelvic laparoscopy. Laparoscopic drainage of the hematometra and hematosalpinx, and hysterostomy catheter placement and uterine fixation to anterior abdominal wall were performed. Symptoms fully resolved post-operatively. A computed tomography scan 2 weeks later demonstrated resolution of the hematometra and significant improvement in the hematosalpinx. MRKH syndrome with a functioning uterus may present as cyclic abdominal pain in adolescent female patients. Laparoscopic uterine drain placement is a management option.</p>","PeriodicalId":47321,"journal":{"name":"Journal of Surgical Case Reports","volume":"2025 10","pages":"rjaf797"},"PeriodicalIF":0.5000,"publicationDate":"2025-10-07","publicationTypes":"Journal Article","fieldsOfStudy":null,"isOpenAccess":false,"openAccessPdf":"https://www.ncbi.nlm.nih.gov/pmc/articles/PMC12503158/pdf/","citationCount":"0","resultStr":"{\"title\":\"Mayer-Rokitansky-Küster-Hauser syndrome complicated by hematometra and hematosalpinx treated with laparoscopic uterine drain placement: a case report.\",\"authors\":\"Uma V Mahajan, Marla Sacks, Carlos Reck, Varag Abed, Harry Zinn, Francisca T Velcek\",\"doi\":\"10.1093/jscr/rjaf797\",\"DOIUrl\":null,\"url\":null,\"abstract\":\"<p><p>Mayer-Rokitansky-Küster-Hauser (MRKH) syndrome is a reproductive tract malformation occurring in ~1 in 5000 female births. It is characterized by congenital agenesis or marked hypoplasia of the Mullerian ducts derivative structures. About 3% of MRKH patients have a functioning uterus. A 12-year-old otherwise healthy female presented with persistent cyclic severe right lower quadrant pain. She was found to have MRKH syndrome with a right-sided functioning uterus and hematometra and ipsilateral hematosalpinx. She subsequently underwent diagnostic cystoscopy, vaginoscopy, and pelvic laparoscopy. Laparoscopic drainage of the hematometra and hematosalpinx, and hysterostomy catheter placement and uterine fixation to anterior abdominal wall were performed. Symptoms fully resolved post-operatively. A computed tomography scan 2 weeks later demonstrated resolution of the hematometra and significant improvement in the hematosalpinx. MRKH syndrome with a functioning uterus may present as cyclic abdominal pain in adolescent female patients. Laparoscopic uterine drain placement is a management option.</p>\",\"PeriodicalId\":47321,\"journal\":{\"name\":\"Journal of Surgical Case Reports\",\"volume\":\"2025 10\",\"pages\":\"rjaf797\"},\"PeriodicalIF\":0.5000,\"publicationDate\":\"2025-10-07\",\"publicationTypes\":\"Journal Article\",\"fieldsOfStudy\":null,\"isOpenAccess\":false,\"openAccessPdf\":\"https://www.ncbi.nlm.nih.gov/pmc/articles/PMC12503158/pdf/\",\"citationCount\":\"0\",\"resultStr\":null,\"platform\":\"Semanticscholar\",\"paperid\":null,\"PeriodicalName\":\"Journal of Surgical Case Reports\",\"FirstCategoryId\":\"1085\",\"ListUrlMain\":\"https://doi.org/10.1093/jscr/rjaf797\",\"RegionNum\":0,\"RegionCategory\":null,\"ArticlePicture\":[],\"TitleCN\":null,\"AbstractTextCN\":null,\"PMCID\":null,\"EPubDate\":\"2025/10/1 0:00:00\",\"PubModel\":\"eCollection\",\"JCR\":\"Q4\",\"JCRName\":\"SURGERY\",\"Score\":null,\"Total\":0}","platform":"Semanticscholar","paperid":null,"PeriodicalName":"Journal of Surgical Case Reports","FirstCategoryId":"1085","ListUrlMain":"https://doi.org/10.1093/jscr/rjaf797","RegionNum":0,"RegionCategory":null,"ArticlePicture":[],"TitleCN":null,"AbstractTextCN":null,"PMCID":null,"EPubDate":"2025/10/1 0:00:00","PubModel":"eCollection","JCR":"Q4","JCRName":"SURGERY","Score":null,"Total":0}
引用次数: 0

摘要

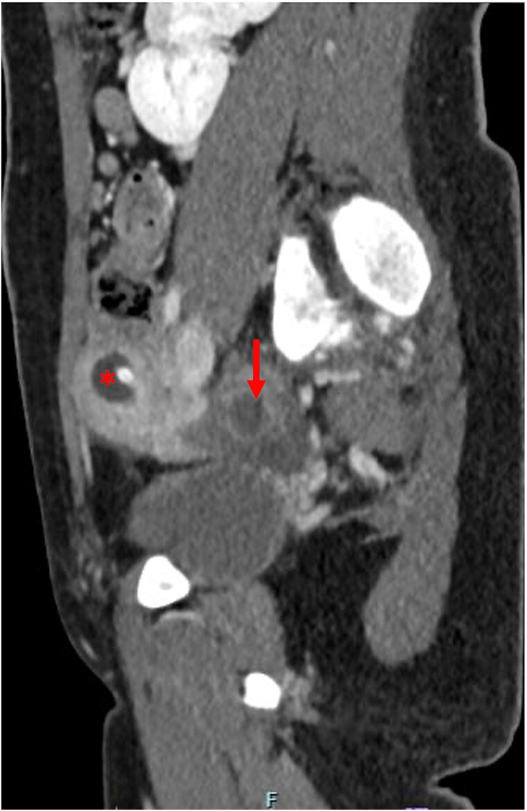
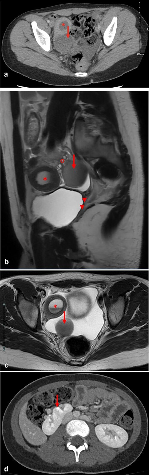
MRKH综合征(mayer - rokitansky - k - hauser综合征)是一种生殖道畸形,发生率约为5000分之一。其特点是先天性发育不全或明显的苗勒管衍生结构发育不全。大约3%的MRKH患者有正常的子宫。一名12岁健康女性,表现为持续周期性严重右下腹疼痛。她被发现有MRKH综合征,右侧子宫功能正常,有子宫积血和同侧输卵管积血。随后,她接受了诊断性膀胱镜检查、阴道镜检查和盆腔腹腔镜检查。腹腔镜下行子宫积血、输卵管积血引流,子宫造口置管及子宫前腹壁固定。术后症状完全消失。2周后的计算机断层扫描显示血肿消退,输卵管积血明显改善。子宫功能正常的MRKH综合征可能表现为青春期女性患者的周期性腹痛。腹腔镜子宫引流放置是一种治疗选择。
本文章由计算机程序翻译,如有差异,请以英文原文为准。

Mayer-Rokitansky-Küster-Hauser syndrome complicated by hematometra and hematosalpinx treated with laparoscopic uterine drain placement: a case report.

Mayer-Rokitansky-Küster-Hauser syndrome complicated by hematometra and hematosalpinx treated with laparoscopic uterine drain placement: a case report.

Mayer-Rokitansky-Küster-Hauser syndrome complicated by hematometra and hematosalpinx treated with laparoscopic uterine drain placement: a case report.

Mayer-Rokitansky-Küster-Hauser syndrome complicated by hematometra and hematosalpinx treated with laparoscopic uterine drain placement: a case report.

Mayer-Rokitansky-Küster-Hauser (MRKH) syndrome is a reproductive tract malformation occurring in ~1 in 5000 female births. It is characterized by congenital agenesis or marked hypoplasia of the Mullerian ducts derivative structures. About 3% of MRKH patients have a functioning uterus. A 12-year-old otherwise healthy female presented with persistent cyclic severe right lower quadrant pain. She was found to have MRKH syndrome with a right-sided functioning uterus and hematometra and ipsilateral hematosalpinx. She subsequently underwent diagnostic cystoscopy, vaginoscopy, and pelvic laparoscopy. Laparoscopic drainage of the hematometra and hematosalpinx, and hysterostomy catheter placement and uterine fixation to anterior abdominal wall were performed. Symptoms fully resolved post-operatively. A computed tomography scan 2 weeks later demonstrated resolution of the hematometra and significant improvement in the hematosalpinx. MRKH syndrome with a functioning uterus may present as cyclic abdominal pain in adolescent female patients. Laparoscopic uterine drain placement is a management option.

求助全文
通过发布文献求助,成功后即可免费获取论文全文。 去求助
来源期刊
CiteScore
0.70
自引率
0.00%
发文量
559
审稿时长
11 weeks
×
引用
GB/T 7714-2015
复制
MLA
复制
APA
复制
导出至
BibTeX EndNote RefMan NoteFirst NoteExpress
×
提示
您的信息不完整,为了账户安全,请先补充。
现在去补充
×
提示
您因"违规操作"
具体请查看互助需知
我知道了
×
提示
确定
请完成安全验证×
copy
已复制链接
快去分享给好友吧!
我知道了
右上角分享
点击右上角分享
0
联系我们:info@booksci.cn Book学术提供免费学术资源搜索服务,方便国内外学者检索中英文文献。致力于提供最便捷和优质的服务体验。 Copyright © 2023 布克学术 All rights reserved.
京ICP备2023020795号-1
ghs 京公网安备 11010802042870号
Book学术文献互助
Book学术文献互助群
群 号:604180095
Book学术官方微信