静脉注射免疫球蛋白和利妥昔单抗成功治疗系统性硬化症过程中的慢性假性肠梗阻。

IF 1.7 Q3 RHEUMATOLOGY
Reumatologia Pub Date : 2025-05-28 eCollection Date: 2025-01-01 DOI:10.5114/reum/196745
Julia Kołodziejczyk, Izabella Ławińska, Wiktor Schmidt, Piotr Leszczyński, Katarzyna Pawlak-Buś
{"title":"静脉注射免疫球蛋白和利妥昔单抗成功治疗系统性硬化症过程中的慢性假性肠梗阻。","authors":"Julia Kołodziejczyk, Izabella Ławińska, Wiktor Schmidt, Piotr Leszczyński, Katarzyna Pawlak-Buś","doi":"10.5114/reum/196745","DOIUrl":null,"url":null,"abstract":"<p><p>Chronic intestinal pseudo-obstruction (CIPO) is an infrequent and menacing complication of systemic sclerosis (SSc). While researchers report positive impact of rituximab (RTX) on CIPO in paraneoplastic syndrome, no case reports exist for SSc-associated CIPO. The aim of this case-based review is to analyses current literature in context of particular CIPO case description. This analysis was based on PubMed/MEDLINE database and was conducted using the selected key terms. Finally 40 studies/case reports and one case description from authors clinical experience were included into comparison and discussion. As conclusion description of successfuly treatment with RTX and intravenous immunoglobulins can confirm the suggestions from other studies that B-cells participate in the pathogenesis of SSc, making RTX a potentially effective therapeutic option also in coexisting CIPO.</p>","PeriodicalId":21312,"journal":{"name":"Reumatologia","volume":"63 4","pages":"266-273"},"PeriodicalIF":1.7000,"publicationDate":"2025-05-28","publicationTypes":"Journal Article","fieldsOfStudy":null,"isOpenAccess":false,"openAccessPdf":"https://www.ncbi.nlm.nih.gov/pmc/articles/PMC12503151/pdf/","citationCount":"0","resultStr":"{\"title\":\"Chronic intestinal pseudo-obstruction in the course of systemic sclerosis successfully treated with intravenous immunoglobulins and rituximab.\",\"authors\":\"Julia Kołodziejczyk, Izabella Ławińska, Wiktor Schmidt, Piotr Leszczyński, Katarzyna Pawlak-Buś\",\"doi\":\"10.5114/reum/196745\",\"DOIUrl\":null,\"url\":null,\"abstract\":\"<p><p>Chronic intestinal pseudo-obstruction (CIPO) is an infrequent and menacing complication of systemic sclerosis (SSc). While researchers report positive impact of rituximab (RTX) on CIPO in paraneoplastic syndrome, no case reports exist for SSc-associated CIPO. The aim of this case-based review is to analyses current literature in context of particular CIPO case description. This analysis was based on PubMed/MEDLINE database and was conducted using the selected key terms. Finally 40 studies/case reports and one case description from authors clinical experience were included into comparison and discussion. As conclusion description of successfuly treatment with RTX and intravenous immunoglobulins can confirm the suggestions from other studies that B-cells participate in the pathogenesis of SSc, making RTX a potentially effective therapeutic option also in coexisting CIPO.</p>\",\"PeriodicalId\":21312,\"journal\":{\"name\":\"Reumatologia\",\"volume\":\"63 4\",\"pages\":\"266-273\"},\"PeriodicalIF\":1.7000,\"publicationDate\":\"2025-05-28\",\"publicationTypes\":\"Journal Article\",\"fieldsOfStudy\":null,\"isOpenAccess\":false,\"openAccessPdf\":\"https://www.ncbi.nlm.nih.gov/pmc/articles/PMC12503151/pdf/\",\"citationCount\":\"0\",\"resultStr\":null,\"platform\":\"Semanticscholar\",\"paperid\":null,\"PeriodicalName\":\"Reumatologia\",\"FirstCategoryId\":\"1085\",\"ListUrlMain\":\"https://doi.org/10.5114/reum/196745\",\"RegionNum\":0,\"RegionCategory\":null,\"ArticlePicture\":[],\"TitleCN\":null,\"AbstractTextCN\":null,\"PMCID\":null,\"EPubDate\":\"2025/1/1 0:00:00\",\"PubModel\":\"eCollection\",\"JCR\":\"Q3\",\"JCRName\":\"RHEUMATOLOGY\",\"Score\":null,\"Total\":0}","platform":"Semanticscholar","paperid":null,"PeriodicalName":"Reumatologia","FirstCategoryId":"1085","ListUrlMain":"https://doi.org/10.5114/reum/196745","RegionNum":0,"RegionCategory":null,"ArticlePicture":[],"TitleCN":null,"AbstractTextCN":null,"PMCID":null,"EPubDate":"2025/1/1 0:00:00","PubModel":"eCollection","JCR":"Q3","JCRName":"RHEUMATOLOGY","Score":null,"Total":0}
引用次数: 0

摘要

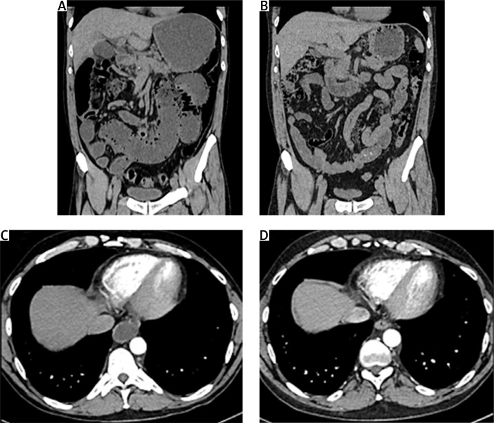
慢性假性肠梗阻(CIPO)是系统性硬化症(SSc)的一种罕见且危险的并发症。虽然研究人员报道了利妥昔单抗(RTX)对副肿瘤综合征患者CIPO的积极影响,但尚无ssc相关CIPO的病例报道。这个基于案例的回顾的目的是在特定CIPO病例描述的背景下分析当前的文献。该分析基于PubMed/MEDLINE数据库,并使用选定的关键术语进行。最后将40篇研究/病例报告和作者临床经验的1例病例描述纳入比较和讨论。RTX和静脉注射免疫球蛋白成功治疗的结论可以证实其他研究的建议,即b细胞参与SSc的发病机制,使RTX也成为共存CIPO的潜在有效治疗选择。
本文章由计算机程序翻译,如有差异,请以英文原文为准。

Chronic intestinal pseudo-obstruction in the course of systemic sclerosis successfully treated with intravenous immunoglobulins and rituximab.

Chronic intestinal pseudo-obstruction in the course of systemic sclerosis successfully treated with intravenous immunoglobulins and rituximab.

Chronic intestinal pseudo-obstruction in the course of systemic sclerosis successfully treated with intravenous immunoglobulins and rituximab.

Chronic intestinal pseudo-obstruction in the course of systemic sclerosis successfully treated with intravenous immunoglobulins and rituximab.

Chronic intestinal pseudo-obstruction (CIPO) is an infrequent and menacing complication of systemic sclerosis (SSc). While researchers report positive impact of rituximab (RTX) on CIPO in paraneoplastic syndrome, no case reports exist for SSc-associated CIPO. The aim of this case-based review is to analyses current literature in context of particular CIPO case description. This analysis was based on PubMed/MEDLINE database and was conducted using the selected key terms. Finally 40 studies/case reports and one case description from authors clinical experience were included into comparison and discussion. As conclusion description of successfuly treatment with RTX and intravenous immunoglobulins can confirm the suggestions from other studies that B-cells participate in the pathogenesis of SSc, making RTX a potentially effective therapeutic option also in coexisting CIPO.

求助全文
通过发布文献求助,成功后即可免费获取论文全文。 去求助
来源期刊
Reumatologia
Reumatologia Medicine-Rheumatology
CiteScore
2.70
自引率
0.00%
发文量
44
审稿时长
10 weeks
×
引用
GB/T 7714-2015
复制
MLA
复制
APA
复制
导出至
BibTeX EndNote RefMan NoteFirst NoteExpress
×
提示
您的信息不完整,为了账户安全,请先补充。
现在去补充
×
提示
您因"违规操作"
具体请查看互助需知
我知道了
×
提示
确定
请完成安全验证×
copy
已复制链接
快去分享给好友吧!
我知道了
右上角分享
点击右上角分享
0
联系我们:info@booksci.cn Book学术提供免费学术资源搜索服务,方便国内外学者检索中英文文献。致力于提供最便捷和优质的服务体验。 Copyright © 2023 布克学术 All rights reserved.
京ICP备2023020795号-1
ghs 京公网安备 11010802042870号
Book学术文献互助
Book学术文献互助群
群 号:604180095
Book学术官方微信