新疆新菌株晚孢短芽孢杆菌XJ-24-3的抑菌活性及基因组特征分析。

IF 1.5 3区 农林科学 Q2 VETERINARY SCIENCES
Journal of Veterinary Research Pub Date : 2025-09-17 eCollection Date: 2025-09-01 DOI:10.2478/jvetres-2025-0039
Ming Wu, Shuang Chen, Guofei Li, Huimei Zhang, Fushuang Duan, Yufei Zuo, Xuepeng Cai, Jie Li, Qingling Meng, Jun Qiao
{"title":"新疆新菌株晚孢短芽孢杆菌XJ-24-3的抑菌活性及基因组特征分析。","authors":"Ming Wu, Shuang Chen, Guofei Li, Huimei Zhang, Fushuang Duan, Yufei Zuo, Xuepeng Cai, Jie Li, Qingling Meng, Jun Qiao","doi":"10.2478/jvetres-2025-0039","DOIUrl":null,"url":null,"abstract":"<p><strong>Introduction: </strong><i>Brevibacillus laterosporus</i> is a significant probiotic with notable antimicrobial activity. This study employs a genome-guided discovery strategy to elucidate the molecular mechanisms and antimicrobial potential of a novel <i>B. laterosporus</i> isolate against multidrug-resistant pathogens.</p><p><strong>Material and methods: </strong>A <i>B. laterosporus</i> strain designated XJ-24-3 was isolated from the soil of a pasture area in Xinjiang, China using the dilution plate method. The XJ-24-3 isolate was identified and characterised by morphology, biochemical properties and 16S rRNA gene sequencing.</p><p><strong>Results: </strong>The bacterium exhibited bactericidal activity against diverse foodborne pathogens, including methicillin-resistant <i>Staphylococcus aureus</i>. Functional genome annotation revealed catalytic activity and molecular binding domains, signifying energy metabolism and environmental adaptability. Carbohydrate-Active Enzyme profiling demonstrated polysaccharide-processing proficiency, corroborated by Cluster of Orthologous Groups classification finding numerous instances of metabolic gene enrichment. Transporter Classification Database analysis indicated the strain predominantly employed active transport mechanisms for substrate translocation. Bioinformatic mining predicted biosynthetic potential for antimicrobial compounds - bogorol A, laterosporulin and linear azol(in)e-containing peptides - positing XJ-24-3 as a promising source of novel broad-spectrum antimicrobial agents.</p><p><strong>Conclusion: </strong>This study elucidated the genomic characteristics of the novel XJ-24-3 isolate and uncovered the genetic basis for its antibacterial properties, thereby providing a theoretical foundation for the development of novel antibacterial proteins.</p>","PeriodicalId":17617,"journal":{"name":"Journal of Veterinary Research","volume":"69 3","pages":"313-324"},"PeriodicalIF":1.5000,"publicationDate":"2025-09-17","publicationTypes":"Journal Article","fieldsOfStudy":null,"isOpenAccess":false,"openAccessPdf":"https://www.ncbi.nlm.nih.gov/pmc/articles/PMC12503217/pdf/","citationCount":"0","resultStr":"{\"title\":\"Antibacterial activity and genomic characterisation of a novel <i>Brevibacillus laterosporus</i> XJ-24-3 isolated from Xinjiang, China.\",\"authors\":\"Ming Wu, Shuang Chen, Guofei Li, Huimei Zhang, Fushuang Duan, Yufei Zuo, Xuepeng Cai, Jie Li, Qingling Meng, Jun Qiao\",\"doi\":\"10.2478/jvetres-2025-0039\",\"DOIUrl\":null,\"url\":null,\"abstract\":\"<p><strong>Introduction: </strong><i>Brevibacillus laterosporus</i> is a significant probiotic with notable antimicrobial activity. This study employs a genome-guided discovery strategy to elucidate the molecular mechanisms and antimicrobial potential of a novel <i>B. laterosporus</i> isolate against multidrug-resistant pathogens.</p><p><strong>Material and methods: </strong>A <i>B. laterosporus</i> strain designated XJ-24-3 was isolated from the soil of a pasture area in Xinjiang, China using the dilution plate method. The XJ-24-3 isolate was identified and characterised by morphology, biochemical properties and 16S rRNA gene sequencing.</p><p><strong>Results: </strong>The bacterium exhibited bactericidal activity against diverse foodborne pathogens, including methicillin-resistant <i>Staphylococcus aureus</i>. Functional genome annotation revealed catalytic activity and molecular binding domains, signifying energy metabolism and environmental adaptability. Carbohydrate-Active Enzyme profiling demonstrated polysaccharide-processing proficiency, corroborated by Cluster of Orthologous Groups classification finding numerous instances of metabolic gene enrichment. Transporter Classification Database analysis indicated the strain predominantly employed active transport mechanisms for substrate translocation. Bioinformatic mining predicted biosynthetic potential for antimicrobial compounds - bogorol A, laterosporulin and linear azol(in)e-containing peptides - positing XJ-24-3 as a promising source of novel broad-spectrum antimicrobial agents.</p><p><strong>Conclusion: </strong>This study elucidated the genomic characteristics of the novel XJ-24-3 isolate and uncovered the genetic basis for its antibacterial properties, thereby providing a theoretical foundation for the development of novel antibacterial proteins.</p>\",\"PeriodicalId\":17617,\"journal\":{\"name\":\"Journal of Veterinary Research\",\"volume\":\"69 3\",\"pages\":\"313-324\"},\"PeriodicalIF\":1.5000,\"publicationDate\":\"2025-09-17\",\"publicationTypes\":\"Journal Article\",\"fieldsOfStudy\":null,\"isOpenAccess\":false,\"openAccessPdf\":\"https://www.ncbi.nlm.nih.gov/pmc/articles/PMC12503217/pdf/\",\"citationCount\":\"0\",\"resultStr\":null,\"platform\":\"Semanticscholar\",\"paperid\":null,\"PeriodicalName\":\"Journal of Veterinary Research\",\"FirstCategoryId\":\"97\",\"ListUrlMain\":\"https://doi.org/10.2478/jvetres-2025-0039\",\"RegionNum\":3,\"RegionCategory\":\"农林科学\",\"ArticlePicture\":[],\"TitleCN\":null,\"AbstractTextCN\":null,\"PMCID\":null,\"EPubDate\":\"2025/9/1 0:00:00\",\"PubModel\":\"eCollection\",\"JCR\":\"Q2\",\"JCRName\":\"VETERINARY SCIENCES\",\"Score\":null,\"Total\":0}","platform":"Semanticscholar","paperid":null,"PeriodicalName":"Journal of Veterinary Research","FirstCategoryId":"97","ListUrlMain":"https://doi.org/10.2478/jvetres-2025-0039","RegionNum":3,"RegionCategory":"农林科学","ArticlePicture":[],"TitleCN":null,"AbstractTextCN":null,"PMCID":null,"EPubDate":"2025/9/1 0:00:00","PubModel":"eCollection","JCR":"Q2","JCRName":"VETERINARY SCIENCES","Score":null,"Total":0}
引用次数: 0

摘要

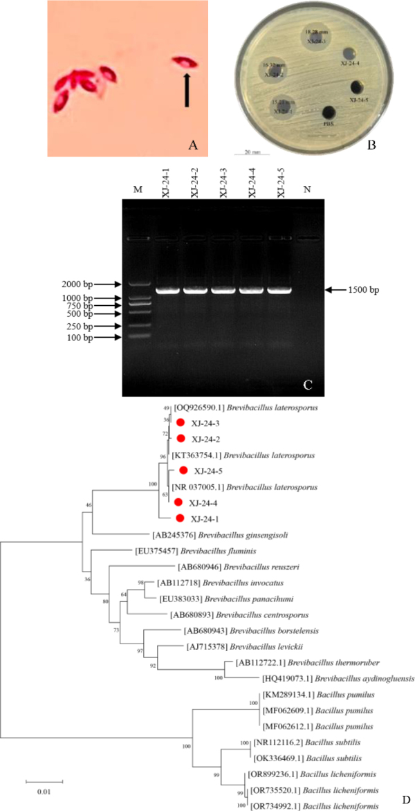
简介:侧芽孢短杆菌是一种重要的益生菌,具有显著的抗菌活性。本研究采用基因组引导的发现策略,阐明了一种新的B. latersporus分离物对多重耐药病原体的分子机制和抗菌潜力。材料与方法:采用稀释平板法从新疆某牧区土壤中分离到一株侧芽孢杆菌XJ-24-3。对分离物XJ-24-3进行了形态、生化特性和16S rRNA基因测序鉴定。结果:该菌对多种食源性致病菌,包括耐甲氧西林金黄色葡萄球菌均表现出杀菌活性。功能基因组注释揭示了催化活性和分子结合域,表明能量代谢和环境适应性。碳水化合物-活性酶谱分析表明多糖加工能力强,通过同源群分类发现许多代谢基因富集的实例得到证实。转运体分类数据库分析表明,该菌株主要采用主动转运机制进行底物转运。生物信息学挖掘预测了抗菌化合物bogorol A、laterosporulin和线状偶氮(in)e-containing peptides的生物合成潜力,认为XJ-24-3是新型广谱抗菌药物的有前景的来源。结论:本研究阐明了新型XJ-24-3分离物的基因组特征,揭示了其抗菌特性的遗传基础,为开发新型抗菌蛋白提供了理论基础。
本文章由计算机程序翻译,如有差异,请以英文原文为准。

Antibacterial activity and genomic characterisation of a novel <i>Brevibacillus laterosporus</i> XJ-24-3 isolated from Xinjiang, China.

Antibacterial activity and genomic characterisation of a novel <i>Brevibacillus laterosporus</i> XJ-24-3 isolated from Xinjiang, China.

Antibacterial activity and genomic characterisation of a novel <i>Brevibacillus laterosporus</i> XJ-24-3 isolated from Xinjiang, China.

Antibacterial activity and genomic characterisation of a novel Brevibacillus laterosporus XJ-24-3 isolated from Xinjiang, China.

Introduction: Brevibacillus laterosporus is a significant probiotic with notable antimicrobial activity. This study employs a genome-guided discovery strategy to elucidate the molecular mechanisms and antimicrobial potential of a novel B. laterosporus isolate against multidrug-resistant pathogens.

Material and methods: A B. laterosporus strain designated XJ-24-3 was isolated from the soil of a pasture area in Xinjiang, China using the dilution plate method. The XJ-24-3 isolate was identified and characterised by morphology, biochemical properties and 16S rRNA gene sequencing.

Results: The bacterium exhibited bactericidal activity against diverse foodborne pathogens, including methicillin-resistant Staphylococcus aureus. Functional genome annotation revealed catalytic activity and molecular binding domains, signifying energy metabolism and environmental adaptability. Carbohydrate-Active Enzyme profiling demonstrated polysaccharide-processing proficiency, corroborated by Cluster of Orthologous Groups classification finding numerous instances of metabolic gene enrichment. Transporter Classification Database analysis indicated the strain predominantly employed active transport mechanisms for substrate translocation. Bioinformatic mining predicted biosynthetic potential for antimicrobial compounds - bogorol A, laterosporulin and linear azol(in)e-containing peptides - positing XJ-24-3 as a promising source of novel broad-spectrum antimicrobial agents.

Conclusion: This study elucidated the genomic characteristics of the novel XJ-24-3 isolate and uncovered the genetic basis for its antibacterial properties, thereby providing a theoretical foundation for the development of novel antibacterial proteins.

求助全文
通过发布文献求助,成功后即可免费获取论文全文。 去求助
来源期刊
Journal of Veterinary Research
Journal of Veterinary Research Veterinary-General Veterinary
CiteScore
0.90
自引率
5.60%
发文量
58
审稿时长
18 weeks
期刊介绍: Journal of Veterinary Research (formerly Bulletin of the Veterinary Institute in Pulawy) is a quarterly that publishes original papers, review articles and short communications on bacteriology, virology, parasitology, immunology, molecular biology, pathology, toxicology, pharmacology, and biochemistry. The main emphasis is, however, on infectious diseases of animals, food safety and public health, and clinical sciences.
×
引用
GB/T 7714-2015
复制
MLA
复制
APA
复制
导出至
BibTeX EndNote RefMan NoteFirst NoteExpress
×
提示
您的信息不完整,为了账户安全,请先补充。
现在去补充
×
提示
您因"违规操作"
具体请查看互助需知
我知道了
×
提示
确定
请完成安全验证×
copy
已复制链接
快去分享给好友吧!
我知道了
右上角分享
点击右上角分享
0
联系我们:info@booksci.cn Book学术提供免费学术资源搜索服务,方便国内外学者检索中英文文献。致力于提供最便捷和优质的服务体验。 Copyright © 2023 布克学术 All rights reserved.
京ICP备2023020795号-1
ghs 京公网安备 11010802042870号
Book学术文献互助
Book学术文献互助群
群 号:604180095
Book学术官方微信