玻璃体切除术加硅油与全氟丙烷填塞治疗近视性中央凹裂并中央凹脱离的疗效比较。

IF 3.1 3区 医学 Q1 MEDICINE, GENERAL & INTERNAL
Frontiers in Medicine Pub Date : 2025-09-23 eCollection Date: 2025-01-01 DOI:10.3389/fmed.2025.1602386
Handong Dan, Dongdong Wang, Zixu Huang, Yizong Liu, Huiming Hou, Yujia Jin, Zongming Song
{"title":"玻璃体切除术加硅油与全氟丙烷填塞治疗近视性中央凹裂并中央凹脱离的疗效比较。","authors":"Handong Dan, Dongdong Wang, Zixu Huang, Yizong Liu, Huiming Hou, Yujia Jin, Zongming Song","doi":"10.3389/fmed.2025.1602386","DOIUrl":null,"url":null,"abstract":"<p><strong>Introduction: </strong>Vitrectomy with silicone oil or perfluoropropane (C3F8) tamponade is a standard of treatment for myopic foveoschisis with foveal detachment (MFFD). In this study, we compared the pre- and postoperative best-corrected visual acuity (BCVA) and maximum foveal thickness (MaxFT) of patients with MFFD who underwent vitrectomy with silicone oil or C3F8 tamponade.</p><p><strong>Methods: </strong>All patients underwent comprehensive ophthalmological examinations, including measurement of BCVA, axial measurement, optometry, intraocular pressure, slit-lamp examination, fundus examination, and optical coherence tomography. Patients with MFFD were divided into two groups. All patients underwent with 23-gauge pars plana vitrectomy with fovea-sparing internal limiting membrane peeling, and fluid-air exchange. One group underwent tamponade with silicone oil, whereas the other group underwent tamponade with C3F8. The silicone oil was completely removed upon complete resolution of MFFD. Phacoemulsification with intraocular lens implantation was performed when a lens opacity was noted during vitrectomy or along with silicone oil removal. BCVA and MaxFT were assessed at 1, 3, 6, and 12-months post-operatively. Patients with silicone oil were additionally assessed 3-months after silicone oil removal. All data were calculated using GraphPad Prism.</p><p><strong>Results: </strong>Forty-one patients with 41 eyes were enrolled in the study. Eighteen eyes were included in the silicone oil group, whereas 23 eyes were included in the C3F8 group. Both groups demonstrated significant improvement in BCVA and MaxFT at 1, 3, 6, and 12-months post-operatively. There was no significant difference in BCVA and MaxFT between both groups post-operatively. Transient ocular hypertension was noted in six and three cases in the silicone oil and C3F8 groups, respectively. One case in the C3F8 group developed a macular hole. There were no other complications in the two groups.</p><p><strong>Conclusion: </strong>Vitrectomy with fovea-sparing internal limiting membrane peeling, and silicone oil or C3F8 tamponade are effective and practical treatment options for MFFD.</p>","PeriodicalId":12488,"journal":{"name":"Frontiers in Medicine","volume":"12 ","pages":"1602386"},"PeriodicalIF":3.1000,"publicationDate":"2025-09-23","publicationTypes":"Journal Article","fieldsOfStudy":null,"isOpenAccess":false,"openAccessPdf":"https://www.ncbi.nlm.nih.gov/pmc/articles/PMC12500636/pdf/","citationCount":"0","resultStr":"{\"title\":\"Comparison of the effectiveness of vitrectomy with silicone oil or perfluoropropane tamponade for myopic foveoschisis with foveal detachment.\",\"authors\":\"Handong Dan, Dongdong Wang, Zixu Huang, Yizong Liu, Huiming Hou, Yujia Jin, Zongming Song\",\"doi\":\"10.3389/fmed.2025.1602386\",\"DOIUrl\":null,\"url\":null,\"abstract\":\"<p><strong>Introduction: </strong>Vitrectomy with silicone oil or perfluoropropane (C3F8) tamponade is a standard of treatment for myopic foveoschisis with foveal detachment (MFFD). In this study, we compared the pre- and postoperative best-corrected visual acuity (BCVA) and maximum foveal thickness (MaxFT) of patients with MFFD who underwent vitrectomy with silicone oil or C3F8 tamponade.</p><p><strong>Methods: </strong>All patients underwent comprehensive ophthalmological examinations, including measurement of BCVA, axial measurement, optometry, intraocular pressure, slit-lamp examination, fundus examination, and optical coherence tomography. Patients with MFFD were divided into two groups. All patients underwent with 23-gauge pars plana vitrectomy with fovea-sparing internal limiting membrane peeling, and fluid-air exchange. One group underwent tamponade with silicone oil, whereas the other group underwent tamponade with C3F8. The silicone oil was completely removed upon complete resolution of MFFD. Phacoemulsification with intraocular lens implantation was performed when a lens opacity was noted during vitrectomy or along with silicone oil removal. BCVA and MaxFT were assessed at 1, 3, 6, and 12-months post-operatively. Patients with silicone oil were additionally assessed 3-months after silicone oil removal. All data were calculated using GraphPad Prism.</p><p><strong>Results: </strong>Forty-one patients with 41 eyes were enrolled in the study. Eighteen eyes were included in the silicone oil group, whereas 23 eyes were included in the C3F8 group. Both groups demonstrated significant improvement in BCVA and MaxFT at 1, 3, 6, and 12-months post-operatively. There was no significant difference in BCVA and MaxFT between both groups post-operatively. Transient ocular hypertension was noted in six and three cases in the silicone oil and C3F8 groups, respectively. One case in the C3F8 group developed a macular hole. There were no other complications in the two groups.</p><p><strong>Conclusion: </strong>Vitrectomy with fovea-sparing internal limiting membrane peeling, and silicone oil or C3F8 tamponade are effective and practical treatment options for MFFD.</p>\",\"PeriodicalId\":12488,\"journal\":{\"name\":\"Frontiers in Medicine\",\"volume\":\"12 \",\"pages\":\"1602386\"},\"PeriodicalIF\":3.1000,\"publicationDate\":\"2025-09-23\",\"publicationTypes\":\"Journal Article\",\"fieldsOfStudy\":null,\"isOpenAccess\":false,\"openAccessPdf\":\"https://www.ncbi.nlm.nih.gov/pmc/articles/PMC12500636/pdf/\",\"citationCount\":\"0\",\"resultStr\":null,\"platform\":\"Semanticscholar\",\"paperid\":null,\"PeriodicalName\":\"Frontiers in Medicine\",\"FirstCategoryId\":\"3\",\"ListUrlMain\":\"https://doi.org/10.3389/fmed.2025.1602386\",\"RegionNum\":3,\"RegionCategory\":\"医学\",\"ArticlePicture\":[],\"TitleCN\":null,\"AbstractTextCN\":null,\"PMCID\":null,\"EPubDate\":\"2025/1/1 0:00:00\",\"PubModel\":\"eCollection\",\"JCR\":\"Q1\",\"JCRName\":\"MEDICINE, GENERAL & INTERNAL\",\"Score\":null,\"Total\":0}","platform":"Semanticscholar","paperid":null,"PeriodicalName":"Frontiers in Medicine","FirstCategoryId":"3","ListUrlMain":"https://doi.org/10.3389/fmed.2025.1602386","RegionNum":3,"RegionCategory":"医学","ArticlePicture":[],"TitleCN":null,"AbstractTextCN":null,"PMCID":null,"EPubDate":"2025/1/1 0:00:00","PubModel":"eCollection","JCR":"Q1","JCRName":"MEDICINE, GENERAL & INTERNAL","Score":null,"Total":0}
引用次数: 0

摘要

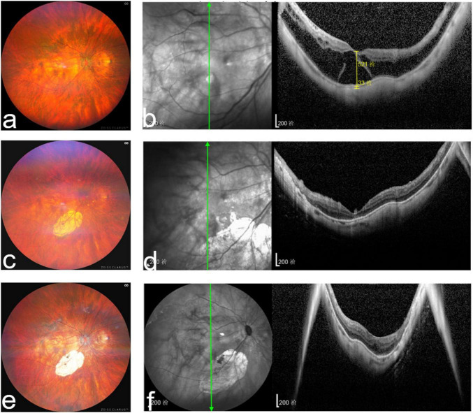
玻璃体切除术联合硅油或全氟丙烷(C3F8)填塞是治疗近视性中央凹裂合并中央凹脱离(MFFD)的标准方法。在本研究中,我们比较了采用硅油或C3F8填塞玻璃体切除术的MFFD患者术前和术后最佳矫正视力(BCVA)和最大中央凹厚度(MaxFT)。方法:所有患者均行眼科综合检查,包括BCVA测量、轴向测量、验光、眼压、裂隙灯检查、眼底检查、光学相干断层扫描。MFFD患者分为两组。所有患者均行23号玻璃体切割术,保留中央凹内限制膜剥离,并进行液气交换。一组用硅油填塞,另一组用C3F8填塞。在MFFD完全溶解后,硅油被完全去除。当玻璃体切除术或硅油去除术中发现晶状体混浊时,进行超声乳化术合并人工晶状体植入术。分别于术后1、3、6、12个月评估BCVA和MaxFT。使用硅油的患者在去除硅油3个月后进行额外评估。所有数据均使用GraphPad Prism计算。结果:41例患者共41只眼纳入研究。硅油组18只眼,C3F8组23只眼。两组术后1、3、6、12个月BCVA和MaxFT均有显著改善。两组术后BCVA、MaxFT无显著差异。硅油组和C3F8组分别有6例和3例短暂性高眼压。C3F8组1例出现黄斑孔。两组患者均无其他并发症。结论:玻璃体切除术联合保留中央窝内限制膜剥离、硅油或C3F8填塞是治疗MFFD有效、实用的方法。
本文章由计算机程序翻译,如有差异,请以英文原文为准。

Comparison of the effectiveness of vitrectomy with silicone oil or perfluoropropane tamponade for myopic foveoschisis with foveal detachment.

Comparison of the effectiveness of vitrectomy with silicone oil or perfluoropropane tamponade for myopic foveoschisis with foveal detachment.

Comparison of the effectiveness of vitrectomy with silicone oil or perfluoropropane tamponade for myopic foveoschisis with foveal detachment.

Comparison of the effectiveness of vitrectomy with silicone oil or perfluoropropane tamponade for myopic foveoschisis with foveal detachment.

Introduction: Vitrectomy with silicone oil or perfluoropropane (C3F8) tamponade is a standard of treatment for myopic foveoschisis with foveal detachment (MFFD). In this study, we compared the pre- and postoperative best-corrected visual acuity (BCVA) and maximum foveal thickness (MaxFT) of patients with MFFD who underwent vitrectomy with silicone oil or C3F8 tamponade.

Methods: All patients underwent comprehensive ophthalmological examinations, including measurement of BCVA, axial measurement, optometry, intraocular pressure, slit-lamp examination, fundus examination, and optical coherence tomography. Patients with MFFD were divided into two groups. All patients underwent with 23-gauge pars plana vitrectomy with fovea-sparing internal limiting membrane peeling, and fluid-air exchange. One group underwent tamponade with silicone oil, whereas the other group underwent tamponade with C3F8. The silicone oil was completely removed upon complete resolution of MFFD. Phacoemulsification with intraocular lens implantation was performed when a lens opacity was noted during vitrectomy or along with silicone oil removal. BCVA and MaxFT were assessed at 1, 3, 6, and 12-months post-operatively. Patients with silicone oil were additionally assessed 3-months after silicone oil removal. All data were calculated using GraphPad Prism.

Results: Forty-one patients with 41 eyes were enrolled in the study. Eighteen eyes were included in the silicone oil group, whereas 23 eyes were included in the C3F8 group. Both groups demonstrated significant improvement in BCVA and MaxFT at 1, 3, 6, and 12-months post-operatively. There was no significant difference in BCVA and MaxFT between both groups post-operatively. Transient ocular hypertension was noted in six and three cases in the silicone oil and C3F8 groups, respectively. One case in the C3F8 group developed a macular hole. There were no other complications in the two groups.

Conclusion: Vitrectomy with fovea-sparing internal limiting membrane peeling, and silicone oil or C3F8 tamponade are effective and practical treatment options for MFFD.

求助全文
通过发布文献求助,成功后即可免费获取论文全文。 去求助
来源期刊
Frontiers in Medicine
Frontiers in Medicine Medicine-General Medicine
CiteScore
5.10
自引率
5.10%
发文量
3710
审稿时长
12 weeks
期刊介绍: Frontiers in Medicine publishes rigorously peer-reviewed research linking basic research to clinical practice and patient care, as well as translating scientific advances into new therapies and diagnostic tools. Led by an outstanding Editorial Board of international experts, this multidisciplinary open-access journal is at the forefront of disseminating and communicating scientific knowledge and impactful discoveries to researchers, academics, clinicians and the public worldwide. In addition to papers that provide a link between basic research and clinical practice, a particular emphasis is given to studies that are directly relevant to patient care. In this spirit, the journal publishes the latest research results and medical knowledge that facilitate the translation of scientific advances into new therapies or diagnostic tools. The full listing of the Specialty Sections represented by Frontiers in Medicine is as listed below. As well as the established medical disciplines, Frontiers in Medicine is launching new sections that together will facilitate - the use of patient-reported outcomes under real world conditions - the exploitation of big data and the use of novel information and communication tools in the assessment of new medicines - the scientific bases for guidelines and decisions from regulatory authorities - access to medicinal products and medical devices worldwide - addressing the grand health challenges around the world
×
引用
GB/T 7714-2015
复制
MLA
复制
APA
复制
导出至
BibTeX EndNote RefMan NoteFirst NoteExpress
×
提示
您的信息不完整,为了账户安全,请先补充。
现在去补充
×
提示
您因"违规操作"
具体请查看互助需知
我知道了
×
提示
确定
请完成安全验证×
copy
已复制链接
快去分享给好友吧!
我知道了
右上角分享
点击右上角分享
0
联系我们:info@booksci.cn Book学术提供免费学术资源搜索服务,方便国内外学者检索中英文文献。致力于提供最便捷和优质的服务体验。 Copyright © 2023 布克学术 All rights reserved.
京ICP备2023020795号-1
ghs 京公网安备 11010802042870号
Book学术文献互助
Book学术文献互助群
群 号:604180095
Book学术官方微信