病例报告:辅助血液吸附治疗Takotsubo心肌病合并高脂血症1例。

IF 3.1 3区 医学 Q1 MEDICINE, GENERAL & INTERNAL
Frontiers in Medicine Pub Date : 2025-09-23 eCollection Date: 2025-01-01 DOI:10.3389/fmed.2025.1680632
Jose O Castro
{"title":"病例报告:辅助血液吸附治疗Takotsubo心肌病合并高脂血症1例。","authors":"Jose O Castro","doi":"10.3389/fmed.2025.1680632","DOIUrl":null,"url":null,"abstract":"<p><strong>Introduction: </strong>Takotsubo cardiomyopathy (TCM) is a transient, stress-related cardiac dysfunction that mimics acute coronary syndrome and is typically seen in postmenopausal women. While emotional and physical stressors are common triggers, inflammatory or infectious stimuli have also been proposed, although the underlying mechanisms remain incompletely understood. In the context of critical illness, systemic inflammation may exacerbate cardiac dysfunction and contribute to multiorgan failure. Hemoadsorption has emerged as a promising adjunctive therapy option aimed at mitigating hyperinflammation by removing circulating cytokines and other inflammatory mediators, and has shown potential benefit in various inflammatory conditions.</p><p><strong>Case description: </strong>A 77-year-old woman with hypertension, diabetes, and a permanent pacemaker presented with acute dyspnea and subsequently experienced cardiac arrest. Post-resuscitation, she was found to have anterolateral ST elevations, apicomedial akinesis, and severely reduced LVEF (22%), consistent with Takotsubo cardiomyopathy. Despite appropriate antimicrobial therapy and supportive care, she developed worsening fever, marked hemodynamic instability, hyperlactatemia (14 mmol/L), atrial fibrillation, raising suspicion for a systemic hyperinflammatory response. Hemoadsorption therapy with CytoSorb was initiated in a stand-alone configuration, alongside corticosteroids and targeted temperature management. The patient showed marked improvement in hemodynamics, organ function, and urine output within 48 h, without the need for renal replacement therapy. She was later extubated and discharged home.</p><p><strong>Conclusion: </strong>This case highlights a rare presentation of suspected inflammation-triggered Takotsubo cardiomyopathy complicated by rapid clinical deterioration. The use of CytoSorb hemoadsorption was associated with stabilization of vital parameters and recovery of organ function. Although causality cannot be confirmed, this case supports the early consideration of hemoadsorption as a feasible and potentially beneficial adjunct in select critically ill patients with suspected hyperinflammation. Further research is needed to clarify its role in TCM and related syndromes.</p>","PeriodicalId":12488,"journal":{"name":"Frontiers in Medicine","volume":"12 ","pages":"1680632"},"PeriodicalIF":3.1000,"publicationDate":"2025-09-23","publicationTypes":"Journal Article","fieldsOfStudy":null,"isOpenAccess":false,"openAccessPdf":"https://www.ncbi.nlm.nih.gov/pmc/articles/PMC12500675/pdf/","citationCount":"0","resultStr":"{\"title\":\"Case Report: Adjunctive hemoadsorption therapy in a patient with Takotsubo cardiomyopathy and hyperinflammation.\",\"authors\":\"Jose O Castro\",\"doi\":\"10.3389/fmed.2025.1680632\",\"DOIUrl\":null,\"url\":null,\"abstract\":\"<p><strong>Introduction: </strong>Takotsubo cardiomyopathy (TCM) is a transient, stress-related cardiac dysfunction that mimics acute coronary syndrome and is typically seen in postmenopausal women. While emotional and physical stressors are common triggers, inflammatory or infectious stimuli have also been proposed, although the underlying mechanisms remain incompletely understood. In the context of critical illness, systemic inflammation may exacerbate cardiac dysfunction and contribute to multiorgan failure. Hemoadsorption has emerged as a promising adjunctive therapy option aimed at mitigating hyperinflammation by removing circulating cytokines and other inflammatory mediators, and has shown potential benefit in various inflammatory conditions.</p><p><strong>Case description: </strong>A 77-year-old woman with hypertension, diabetes, and a permanent pacemaker presented with acute dyspnea and subsequently experienced cardiac arrest. Post-resuscitation, she was found to have anterolateral ST elevations, apicomedial akinesis, and severely reduced LVEF (22%), consistent with Takotsubo cardiomyopathy. Despite appropriate antimicrobial therapy and supportive care, she developed worsening fever, marked hemodynamic instability, hyperlactatemia (14 mmol/L), atrial fibrillation, raising suspicion for a systemic hyperinflammatory response. Hemoadsorption therapy with CytoSorb was initiated in a stand-alone configuration, alongside corticosteroids and targeted temperature management. The patient showed marked improvement in hemodynamics, organ function, and urine output within 48 h, without the need for renal replacement therapy. She was later extubated and discharged home.</p><p><strong>Conclusion: </strong>This case highlights a rare presentation of suspected inflammation-triggered Takotsubo cardiomyopathy complicated by rapid clinical deterioration. The use of CytoSorb hemoadsorption was associated with stabilization of vital parameters and recovery of organ function. Although causality cannot be confirmed, this case supports the early consideration of hemoadsorption as a feasible and potentially beneficial adjunct in select critically ill patients with suspected hyperinflammation. Further research is needed to clarify its role in TCM and related syndromes.</p>\",\"PeriodicalId\":12488,\"journal\":{\"name\":\"Frontiers in Medicine\",\"volume\":\"12 \",\"pages\":\"1680632\"},\"PeriodicalIF\":3.1000,\"publicationDate\":\"2025-09-23\",\"publicationTypes\":\"Journal Article\",\"fieldsOfStudy\":null,\"isOpenAccess\":false,\"openAccessPdf\":\"https://www.ncbi.nlm.nih.gov/pmc/articles/PMC12500675/pdf/\",\"citationCount\":\"0\",\"resultStr\":null,\"platform\":\"Semanticscholar\",\"paperid\":null,\"PeriodicalName\":\"Frontiers in Medicine\",\"FirstCategoryId\":\"3\",\"ListUrlMain\":\"https://doi.org/10.3389/fmed.2025.1680632\",\"RegionNum\":3,\"RegionCategory\":\"医学\",\"ArticlePicture\":[],\"TitleCN\":null,\"AbstractTextCN\":null,\"PMCID\":null,\"EPubDate\":\"2025/1/1 0:00:00\",\"PubModel\":\"eCollection\",\"JCR\":\"Q1\",\"JCRName\":\"MEDICINE, GENERAL & INTERNAL\",\"Score\":null,\"Total\":0}","platform":"Semanticscholar","paperid":null,"PeriodicalName":"Frontiers in Medicine","FirstCategoryId":"3","ListUrlMain":"https://doi.org/10.3389/fmed.2025.1680632","RegionNum":3,"RegionCategory":"医学","ArticlePicture":[],"TitleCN":null,"AbstractTextCN":null,"PMCID":null,"EPubDate":"2025/1/1 0:00:00","PubModel":"eCollection","JCR":"Q1","JCRName":"MEDICINE, GENERAL & INTERNAL","Score":null,"Total":0}
引用次数: 0

摘要

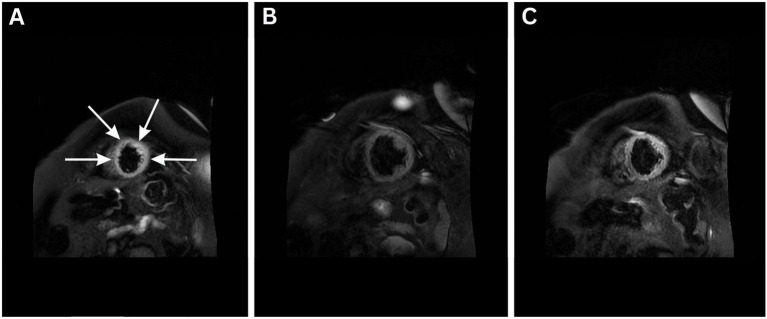
Takotsubo心肌病(TCM)是一种短暂的、与压力相关的心功能障碍,类似于急性冠状动脉综合征,通常见于绝经后妇女。虽然情绪和身体压力源是常见的触发因素,但也提出了炎症或感染性刺激,尽管潜在的机制仍不完全清楚。在危重疾病的情况下,全身性炎症可加重心功能障碍并导致多器官衰竭。血液吸附已成为一种有希望的辅助治疗选择,旨在通过去除循环细胞因子和其他炎症介质来减轻高脂血症,并已显示出在各种炎症条件下的潜在益处。病例描述:一名77岁女性,患有高血压、糖尿病和永久性起搏器,表现为急性呼吸困难,随后出现心脏骤停。复苏后,发现患者有前外侧ST段抬高,心尖运动,LVEF严重降低(22%),符合Takotsubo心肌病。尽管进行了适当的抗菌药物治疗和支持性护理,患者仍出现发热加重、明显的血流动力学不稳定、高乳酸血症(14 mmol/L)、房颤,引起了对全体性高炎症反应的怀疑。与皮质类固醇和靶向温度管理一起,CytoSorb的血液吸附治疗在独立配置中启动。患者在48 h内血流动力学、器官功能和尿量均有明显改善,无需肾脏替代治疗。她后来拔管出院回家。结论:本病例是一例罕见的疑为炎症引发的Takotsubo心肌病并发快速临床恶化的病例。使用CytoSorb血液吸附与生命参数的稳定和器官功能的恢复有关。虽然因果关系无法证实,但本病例支持早期考虑将血液吸附作为一种可行且潜在有益的辅助手段,用于选择疑似高脂血症的危重患者。其在中医及相关证候中的作用有待进一步研究。
本文章由计算机程序翻译,如有差异,请以英文原文为准。

Case Report: Adjunctive hemoadsorption therapy in a patient with Takotsubo cardiomyopathy and hyperinflammation.

Case Report: Adjunctive hemoadsorption therapy in a patient with Takotsubo cardiomyopathy and hyperinflammation.

Case Report: Adjunctive hemoadsorption therapy in a patient with Takotsubo cardiomyopathy and hyperinflammation.

Case Report: Adjunctive hemoadsorption therapy in a patient with Takotsubo cardiomyopathy and hyperinflammation.

Introduction: Takotsubo cardiomyopathy (TCM) is a transient, stress-related cardiac dysfunction that mimics acute coronary syndrome and is typically seen in postmenopausal women. While emotional and physical stressors are common triggers, inflammatory or infectious stimuli have also been proposed, although the underlying mechanisms remain incompletely understood. In the context of critical illness, systemic inflammation may exacerbate cardiac dysfunction and contribute to multiorgan failure. Hemoadsorption has emerged as a promising adjunctive therapy option aimed at mitigating hyperinflammation by removing circulating cytokines and other inflammatory mediators, and has shown potential benefit in various inflammatory conditions.

Case description: A 77-year-old woman with hypertension, diabetes, and a permanent pacemaker presented with acute dyspnea and subsequently experienced cardiac arrest. Post-resuscitation, she was found to have anterolateral ST elevations, apicomedial akinesis, and severely reduced LVEF (22%), consistent with Takotsubo cardiomyopathy. Despite appropriate antimicrobial therapy and supportive care, she developed worsening fever, marked hemodynamic instability, hyperlactatemia (14 mmol/L), atrial fibrillation, raising suspicion for a systemic hyperinflammatory response. Hemoadsorption therapy with CytoSorb was initiated in a stand-alone configuration, alongside corticosteroids and targeted temperature management. The patient showed marked improvement in hemodynamics, organ function, and urine output within 48 h, without the need for renal replacement therapy. She was later extubated and discharged home.

Conclusion: This case highlights a rare presentation of suspected inflammation-triggered Takotsubo cardiomyopathy complicated by rapid clinical deterioration. The use of CytoSorb hemoadsorption was associated with stabilization of vital parameters and recovery of organ function. Although causality cannot be confirmed, this case supports the early consideration of hemoadsorption as a feasible and potentially beneficial adjunct in select critically ill patients with suspected hyperinflammation. Further research is needed to clarify its role in TCM and related syndromes.

求助全文
通过发布文献求助,成功后即可免费获取论文全文。 去求助
来源期刊
Frontiers in Medicine
Frontiers in Medicine Medicine-General Medicine
CiteScore
5.10
自引率
5.10%
发文量
3710
审稿时长
12 weeks
期刊介绍: Frontiers in Medicine publishes rigorously peer-reviewed research linking basic research to clinical practice and patient care, as well as translating scientific advances into new therapies and diagnostic tools. Led by an outstanding Editorial Board of international experts, this multidisciplinary open-access journal is at the forefront of disseminating and communicating scientific knowledge and impactful discoveries to researchers, academics, clinicians and the public worldwide. In addition to papers that provide a link between basic research and clinical practice, a particular emphasis is given to studies that are directly relevant to patient care. In this spirit, the journal publishes the latest research results and medical knowledge that facilitate the translation of scientific advances into new therapies or diagnostic tools. The full listing of the Specialty Sections represented by Frontiers in Medicine is as listed below. As well as the established medical disciplines, Frontiers in Medicine is launching new sections that together will facilitate - the use of patient-reported outcomes under real world conditions - the exploitation of big data and the use of novel information and communication tools in the assessment of new medicines - the scientific bases for guidelines and decisions from regulatory authorities - access to medicinal products and medical devices worldwide - addressing the grand health challenges around the world
×
引用
GB/T 7714-2015
复制
MLA
复制
APA
复制
导出至
BibTeX EndNote RefMan NoteFirst NoteExpress
×
提示
您的信息不完整,为了账户安全,请先补充。
现在去补充
×
提示
您因"违规操作"
具体请查看互助需知
我知道了
×
提示
确定
请完成安全验证×
copy
已复制链接
快去分享给好友吧!
我知道了
右上角分享
点击右上角分享
0
联系我们:info@booksci.cn Book学术提供免费学术资源搜索服务,方便国内外学者检索中英文文献。致力于提供最便捷和优质的服务体验。 Copyright © 2023 布克学术 All rights reserved.
京ICP备2023020795号-1
ghs 京公网安备 11010802042870号
Book学术文献互助
Book学术文献互助群
群 号:604180095
Book学术官方微信