食管复发转移性小细胞癌经放射治疗获得长期生存1例。

IF 0.7 Q4 ONCOLOGY
Case Reports in Oncology Pub Date : 2025-07-10 eCollection Date: 2025-01-01 DOI:10.1159/000547267
Jingdi Zhang
{"title":"食管复发转移性小细胞癌经放射治疗获得长期生存1例。","authors":"Jingdi Zhang","doi":"10.1159/000547267","DOIUrl":null,"url":null,"abstract":"<p><strong>Introduction: </strong>Small cell carcinoma of the esophagus (SCCE) is an uncommon tumor characterized by frequent recurrence, metastasis, and dismal prognosis. Due to its rare nature, optimal treatment is extremely scarce and randomized studies are not available and are unlikely to be conducted. It has been recognized that high-dose fractionated radiotherapy combined with immunotherapy can induce abscopal effect, which is termed and observed as an immune response leading to an antitumoral effect also distant from the irradiated area in patients undergoing radiotherapy and finally will shed new light on the treatment of this rare tumor.</p><p><strong>Case presentation: </strong>We report a male patient with SCCE. Despite aggressive management including surgery and salvage therapies, the patient experienced multiple recurrences within the first 2 years postoperatively. However, through vigilant surveillance facilitating early recurrence detection and prompt intervention - notably stereotactic body radiotherapy (SBRT) combined with immunotherapy - a potential abscopal effect was observed. Remarkably, the patient achieved a durable complete remission and long-term survival, remaining alive with minimal complications at 61 months post-diagnosis and continuing follow-up.</p><p><strong>Conclusion: </strong>The exceptional long-term progression-free survival of 61 months achieved in this SCCE patient may be attributed to the abscopal effect, hypothesized to have been induced by the synergistic combination of SBRT and immunotherapy.</p>","PeriodicalId":9625,"journal":{"name":"Case Reports in Oncology","volume":"18 1","pages":"1136-1144"},"PeriodicalIF":0.7000,"publicationDate":"2025-07-10","publicationTypes":"Journal Article","fieldsOfStudy":null,"isOpenAccess":false,"openAccessPdf":"https://www.ncbi.nlm.nih.gov/pmc/articles/PMC12503531/pdf/","citationCount":"0","resultStr":"{\"title\":\"Recurrent and Metastatic Small Cell Carcinoma of the Esophagus in Which Long-Term Survival Was Achieved by Abscopal Effect of Radiotherapy: A Case Report.\",\"authors\":\"Jingdi Zhang\",\"doi\":\"10.1159/000547267\",\"DOIUrl\":null,\"url\":null,\"abstract\":\"<p><strong>Introduction: </strong>Small cell carcinoma of the esophagus (SCCE) is an uncommon tumor characterized by frequent recurrence, metastasis, and dismal prognosis. Due to its rare nature, optimal treatment is extremely scarce and randomized studies are not available and are unlikely to be conducted. It has been recognized that high-dose fractionated radiotherapy combined with immunotherapy can induce abscopal effect, which is termed and observed as an immune response leading to an antitumoral effect also distant from the irradiated area in patients undergoing radiotherapy and finally will shed new light on the treatment of this rare tumor.</p><p><strong>Case presentation: </strong>We report a male patient with SCCE. Despite aggressive management including surgery and salvage therapies, the patient experienced multiple recurrences within the first 2 years postoperatively. However, through vigilant surveillance facilitating early recurrence detection and prompt intervention - notably stereotactic body radiotherapy (SBRT) combined with immunotherapy - a potential abscopal effect was observed. Remarkably, the patient achieved a durable complete remission and long-term survival, remaining alive with minimal complications at 61 months post-diagnosis and continuing follow-up.</p><p><strong>Conclusion: </strong>The exceptional long-term progression-free survival of 61 months achieved in this SCCE patient may be attributed to the abscopal effect, hypothesized to have been induced by the synergistic combination of SBRT and immunotherapy.</p>\",\"PeriodicalId\":9625,\"journal\":{\"name\":\"Case Reports in Oncology\",\"volume\":\"18 1\",\"pages\":\"1136-1144\"},\"PeriodicalIF\":0.7000,\"publicationDate\":\"2025-07-10\",\"publicationTypes\":\"Journal Article\",\"fieldsOfStudy\":null,\"isOpenAccess\":false,\"openAccessPdf\":\"https://www.ncbi.nlm.nih.gov/pmc/articles/PMC12503531/pdf/\",\"citationCount\":\"0\",\"resultStr\":null,\"platform\":\"Semanticscholar\",\"paperid\":null,\"PeriodicalName\":\"Case Reports in Oncology\",\"FirstCategoryId\":\"1085\",\"ListUrlMain\":\"https://doi.org/10.1159/000547267\",\"RegionNum\":0,\"RegionCategory\":null,\"ArticlePicture\":[],\"TitleCN\":null,\"AbstractTextCN\":null,\"PMCID\":null,\"EPubDate\":\"2025/1/1 0:00:00\",\"PubModel\":\"eCollection\",\"JCR\":\"Q4\",\"JCRName\":\"ONCOLOGY\",\"Score\":null,\"Total\":0}","platform":"Semanticscholar","paperid":null,"PeriodicalName":"Case Reports in Oncology","FirstCategoryId":"1085","ListUrlMain":"https://doi.org/10.1159/000547267","RegionNum":0,"RegionCategory":null,"ArticlePicture":[],"TitleCN":null,"AbstractTextCN":null,"PMCID":null,"EPubDate":"2025/1/1 0:00:00","PubModel":"eCollection","JCR":"Q4","JCRName":"ONCOLOGY","Score":null,"Total":0}
引用次数: 0

摘要

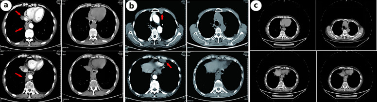
摘要食道小细胞癌(Small cell carcinoma of esophagus, SCCE)是一种罕见的肿瘤,其特点是复发、转移频繁,预后差。由于其罕见的性质,最佳的治疗方法极其稀少,没有随机研究,也不太可能进行。人们已经认识到,高剂量分割放疗联合免疫治疗可以诱导离体效应,这是一种免疫反应,在接受放疗的患者中导致远离照射区域的抗肿瘤作用,最终将为这种罕见肿瘤的治疗提供新的思路。病例介绍:我们报告一位男性SCCE患者。尽管积极的治疗包括手术和挽救性治疗,患者在术后2年内多次复发。然而,通过警惕监测促进早期复发检测和及时干预-特别是立体定向体放疗(SBRT)联合免疫治疗-观察到潜在的体外效应。值得注意的是,患者获得了持久的完全缓解和长期生存,在诊断后61个月和继续随访时并发症最小。结论:该SCCE患者取得的61个月的特殊长期无进展生存期可能归因于体外效应,假设是由SBRT和免疫治疗的协同联合诱导的。
本文章由计算机程序翻译,如有差异,请以英文原文为准。

Recurrent and Metastatic Small Cell Carcinoma of the Esophagus in Which Long-Term Survival Was Achieved by Abscopal Effect of Radiotherapy: A Case Report.

Recurrent and Metastatic Small Cell Carcinoma of the Esophagus in Which Long-Term Survival Was Achieved by Abscopal Effect of Radiotherapy: A Case Report.

Recurrent and Metastatic Small Cell Carcinoma of the Esophagus in Which Long-Term Survival Was Achieved by Abscopal Effect of Radiotherapy: A Case Report.

Recurrent and Metastatic Small Cell Carcinoma of the Esophagus in Which Long-Term Survival Was Achieved by Abscopal Effect of Radiotherapy: A Case Report.

Introduction: Small cell carcinoma of the esophagus (SCCE) is an uncommon tumor characterized by frequent recurrence, metastasis, and dismal prognosis. Due to its rare nature, optimal treatment is extremely scarce and randomized studies are not available and are unlikely to be conducted. It has been recognized that high-dose fractionated radiotherapy combined with immunotherapy can induce abscopal effect, which is termed and observed as an immune response leading to an antitumoral effect also distant from the irradiated area in patients undergoing radiotherapy and finally will shed new light on the treatment of this rare tumor.

Case presentation: We report a male patient with SCCE. Despite aggressive management including surgery and salvage therapies, the patient experienced multiple recurrences within the first 2 years postoperatively. However, through vigilant surveillance facilitating early recurrence detection and prompt intervention - notably stereotactic body radiotherapy (SBRT) combined with immunotherapy - a potential abscopal effect was observed. Remarkably, the patient achieved a durable complete remission and long-term survival, remaining alive with minimal complications at 61 months post-diagnosis and continuing follow-up.

Conclusion: The exceptional long-term progression-free survival of 61 months achieved in this SCCE patient may be attributed to the abscopal effect, hypothesized to have been induced by the synergistic combination of SBRT and immunotherapy.

求助全文
通过发布文献求助,成功后即可免费获取论文全文。 去求助
来源期刊
CiteScore
1.40
自引率
12.50%
发文量
151
审稿时长
7 weeks
×
引用
GB/T 7714-2015
复制
MLA
复制
APA
复制
导出至
BibTeX EndNote RefMan NoteFirst NoteExpress
×
提示
您的信息不完整,为了账户安全,请先补充。
现在去补充
×
提示
您因"违规操作"
具体请查看互助需知
我知道了
×
提示
确定
请完成安全验证×
copy
已复制链接
快去分享给好友吧!
我知道了
右上角分享
点击右上角分享
0
联系我们:info@booksci.cn Book学术提供免费学术资源搜索服务,方便国内外学者检索中英文文献。致力于提供最便捷和优质的服务体验。 Copyright © 2023 布克学术 All rights reserved.
京ICP备2023020795号-1
ghs 京公网安备 11010802042870号
Book学术文献互助
Book学术文献互助群
群 号:604180095
Book学术官方微信