Venetoclax/Obinutuzumab治疗慢性淋巴细胞白血病患者并发急性肝炎的慢性肠病毒脑膜炎:1例报告

IF 0.7 Q4 ONCOLOGY
Case Reports in Oncology Pub Date : 2025-06-14 eCollection Date: 2025-01-01 DOI:10.1159/000546868
Kaya L Curtis, Elizabeth M Corley, Lee S Gottesdiener, Erika M Hissong, Alyson Kaplan, Lindsey E Roeker, Rosy Priya L Kodiyanplakkal
{"title":"Venetoclax/Obinutuzumab治疗慢性淋巴细胞白血病患者并发急性肝炎的慢性肠病毒脑膜炎:1例报告","authors":"Kaya L Curtis, Elizabeth M Corley, Lee S Gottesdiener, Erika M Hissong, Alyson Kaplan, Lindsey E Roeker, Rosy Priya L Kodiyanplakkal","doi":"10.1159/000546868","DOIUrl":null,"url":null,"abstract":"<p><strong>Introduction: </strong>Enterovirus infection is typically asymptomatic with rapid host clearance. However, several cases of disseminated enterovirus infection in oncologic patients with obinutuzumab-induced hypogammaglobulinemia have been reported in the literature, the majority of whom developed symptoms while actively receiving obinutuzumab.</p><p><strong>Case presentation: </strong>We present a patient with hypogammaglobulinemia, likely induced by obinutuzumab for chronic lymphocytic leukemia, found to have enterovirus meningitis and hepatitis, with elevated transaminases, headache, and relapsing fevers as primary manifestations of disease. This is the first reported case of a patient developing disseminated enterovirus infection 1 year after discontinuation of obinutuzumab course. After diagnosis, the patient was started on intravenous immune globulin therapy with improvement in symptoms and laboratory abnormalities.</p><p><strong>Conclusion: </strong>Physicians should maintain a high index of suspicion for enterovirus infection in venetoclax/obinutuzumab-treated oncologic patients presenting with nonspecific symptoms including cyclic fevers, headache, myalgias, and elevated liver function tests. Lumbar puncture should be conducted early in the presentation in patients reporting headache or other central nervous system symptoms.</p>","PeriodicalId":9625,"journal":{"name":"Case Reports in Oncology","volume":"18 1","pages":"1089-1098"},"PeriodicalIF":0.7000,"publicationDate":"2025-06-14","publicationTypes":"Journal Article","fieldsOfStudy":null,"isOpenAccess":false,"openAccessPdf":"https://www.ncbi.nlm.nih.gov/pmc/articles/PMC12503477/pdf/","citationCount":"0","resultStr":"{\"title\":\"Chronic Enterovirus Meningitis with Acute Hepatitis in a Patient with Chronic Lymphocytic Leukemia Treated with Venetoclax/Obinutuzumab: A Case Report.\",\"authors\":\"Kaya L Curtis, Elizabeth M Corley, Lee S Gottesdiener, Erika M Hissong, Alyson Kaplan, Lindsey E Roeker, Rosy Priya L Kodiyanplakkal\",\"doi\":\"10.1159/000546868\",\"DOIUrl\":null,\"url\":null,\"abstract\":\"<p><strong>Introduction: </strong>Enterovirus infection is typically asymptomatic with rapid host clearance. However, several cases of disseminated enterovirus infection in oncologic patients with obinutuzumab-induced hypogammaglobulinemia have been reported in the literature, the majority of whom developed symptoms while actively receiving obinutuzumab.</p><p><strong>Case presentation: </strong>We present a patient with hypogammaglobulinemia, likely induced by obinutuzumab for chronic lymphocytic leukemia, found to have enterovirus meningitis and hepatitis, with elevated transaminases, headache, and relapsing fevers as primary manifestations of disease. This is the first reported case of a patient developing disseminated enterovirus infection 1 year after discontinuation of obinutuzumab course. After diagnosis, the patient was started on intravenous immune globulin therapy with improvement in symptoms and laboratory abnormalities.</p><p><strong>Conclusion: </strong>Physicians should maintain a high index of suspicion for enterovirus infection in venetoclax/obinutuzumab-treated oncologic patients presenting with nonspecific symptoms including cyclic fevers, headache, myalgias, and elevated liver function tests. Lumbar puncture should be conducted early in the presentation in patients reporting headache or other central nervous system symptoms.</p>\",\"PeriodicalId\":9625,\"journal\":{\"name\":\"Case Reports in Oncology\",\"volume\":\"18 1\",\"pages\":\"1089-1098\"},\"PeriodicalIF\":0.7000,\"publicationDate\":\"2025-06-14\",\"publicationTypes\":\"Journal Article\",\"fieldsOfStudy\":null,\"isOpenAccess\":false,\"openAccessPdf\":\"https://www.ncbi.nlm.nih.gov/pmc/articles/PMC12503477/pdf/\",\"citationCount\":\"0\",\"resultStr\":null,\"platform\":\"Semanticscholar\",\"paperid\":null,\"PeriodicalName\":\"Case Reports in Oncology\",\"FirstCategoryId\":\"1085\",\"ListUrlMain\":\"https://doi.org/10.1159/000546868\",\"RegionNum\":0,\"RegionCategory\":null,\"ArticlePicture\":[],\"TitleCN\":null,\"AbstractTextCN\":null,\"PMCID\":null,\"EPubDate\":\"2025/1/1 0:00:00\",\"PubModel\":\"eCollection\",\"JCR\":\"Q4\",\"JCRName\":\"ONCOLOGY\",\"Score\":null,\"Total\":0}","platform":"Semanticscholar","paperid":null,"PeriodicalName":"Case Reports in Oncology","FirstCategoryId":"1085","ListUrlMain":"https://doi.org/10.1159/000546868","RegionNum":0,"RegionCategory":null,"ArticlePicture":[],"TitleCN":null,"AbstractTextCN":null,"PMCID":null,"EPubDate":"2025/1/1 0:00:00","PubModel":"eCollection","JCR":"Q4","JCRName":"ONCOLOGY","Score":null,"Total":0}
引用次数: 0

摘要

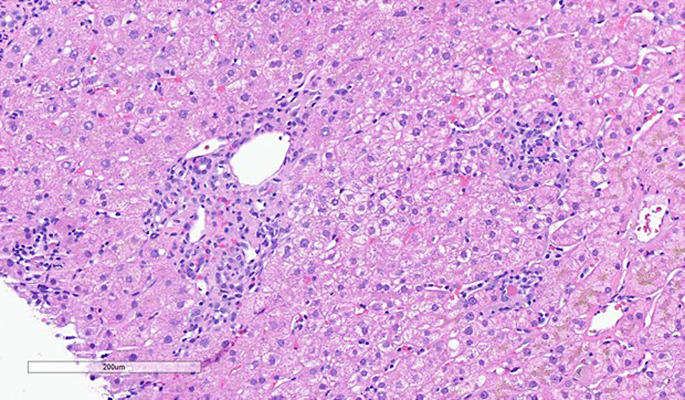
肠道病毒感染通常无症状,宿主清除迅速。然而,文献中已经报道了几例肿瘤患者的播散性肠病毒感染,这些患者中大多数是在积极接受obinutuzumab时出现症状的。病例介绍:我们报告了一位低丙种球蛋白血症患者,可能是由obinutuzumab引起的慢性淋巴细胞白血病,发现有肠病毒脑膜炎和肝炎,转氨酶升高,头痛和复发性发烧是疾病的主要表现。这是首例报道的患者停药1年后出现播散性肠病毒感染的病例。诊断后,患者开始静脉注射免疫球蛋白治疗,症状和实验室异常有所改善。结论:在venetoclax/obinutuzumab治疗的肿瘤患者出现周期性发热、头痛、肌痛和肝功能升高等非特异性症状时,医生应保持对肠道病毒感染的高度怀疑。腰椎穿刺应在患者报告头痛或其他中枢神经系统症状的早期进行。
本文章由计算机程序翻译,如有差异,请以英文原文为准。

Chronic Enterovirus Meningitis with Acute Hepatitis in a Patient with Chronic Lymphocytic Leukemia Treated with Venetoclax/Obinutuzumab: A Case Report.

Chronic Enterovirus Meningitis with Acute Hepatitis in a Patient with Chronic Lymphocytic Leukemia Treated with Venetoclax/Obinutuzumab: A Case Report.

Chronic Enterovirus Meningitis with Acute Hepatitis in a Patient with Chronic Lymphocytic Leukemia Treated with Venetoclax/Obinutuzumab: A Case Report.

Chronic Enterovirus Meningitis with Acute Hepatitis in a Patient with Chronic Lymphocytic Leukemia Treated with Venetoclax/Obinutuzumab: A Case Report.

Introduction: Enterovirus infection is typically asymptomatic with rapid host clearance. However, several cases of disseminated enterovirus infection in oncologic patients with obinutuzumab-induced hypogammaglobulinemia have been reported in the literature, the majority of whom developed symptoms while actively receiving obinutuzumab.

Case presentation: We present a patient with hypogammaglobulinemia, likely induced by obinutuzumab for chronic lymphocytic leukemia, found to have enterovirus meningitis and hepatitis, with elevated transaminases, headache, and relapsing fevers as primary manifestations of disease. This is the first reported case of a patient developing disseminated enterovirus infection 1 year after discontinuation of obinutuzumab course. After diagnosis, the patient was started on intravenous immune globulin therapy with improvement in symptoms and laboratory abnormalities.

Conclusion: Physicians should maintain a high index of suspicion for enterovirus infection in venetoclax/obinutuzumab-treated oncologic patients presenting with nonspecific symptoms including cyclic fevers, headache, myalgias, and elevated liver function tests. Lumbar puncture should be conducted early in the presentation in patients reporting headache or other central nervous system symptoms.

求助全文
通过发布文献求助,成功后即可免费获取论文全文。 去求助
来源期刊
CiteScore
1.40
自引率
12.50%
发文量
151
审稿时长
7 weeks
×
引用
GB/T 7714-2015
复制
MLA
复制
APA
复制
导出至
BibTeX EndNote RefMan NoteFirst NoteExpress
×
提示
您的信息不完整,为了账户安全,请先补充。
现在去补充
×
提示
您因"违规操作"
具体请查看互助需知
我知道了
×
提示
确定
请完成安全验证×
copy
已复制链接
快去分享给好友吧!
我知道了
右上角分享
点击右上角分享
0
联系我们:info@booksci.cn Book学术提供免费学术资源搜索服务,方便国内外学者检索中英文文献。致力于提供最便捷和优质的服务体验。 Copyright © 2023 布克学术 All rights reserved.
京ICP备2023020795号-1
ghs 京公网安备 11010802042870号
Book学术文献互助
Book学术文献互助群
群 号:604180095
Book学术官方微信