成人发病的斯蒂尔氏病表现为抗生素难治性败血症。

IF 1.3 Q3 MEDICINE, GENERAL & INTERNAL
Cureus Pub Date : 2025-10-06 eCollection Date: 2025-10-01 DOI:10.7759/cureus.93933
Mohammed Alnims, Ahmer A Longi, Misbah Fazlani, Arsheena Mohamed, Ahmed Saleh
{"title":"成人发病的斯蒂尔氏病表现为抗生素难治性败血症。","authors":"Mohammed Alnims, Ahmer A Longi, Misbah Fazlani, Arsheena Mohamed, Ahmed Saleh","doi":"10.7759/cureus.93933","DOIUrl":null,"url":null,"abstract":"<p><p>Adult-onset Still's disease (AOSD) is a rare autoinflammatory disorder typified by quotidian fevers, an evanescent salmon-colored rash, arthralgia, neutrophilic leukocytosis, and markedly elevated inflammatory markers. Diagnosis is clinical and by exclusion, supported by classification frameworks like the Yamaguchi criteria. A previously healthy lady in her 20s presented with fever above 39°C, severe generalized myalgia, pharyngitis, a transient salmon-colored rash, neutrophilic leukocytosis, and markedly elevated inflammatory markers. Competing infectious, autoimmune, and malignant etiologies were excluded. Based on clinical features and Yamaguchi criteria, AOSD was suspected. She improved rapidly with intravenous methylprednisolone pulse therapy. During steroid taper as an outpatient, she developed a biochemical flare with ferritin rising to 8,807 ng/ml; tocilizumab was initiated for disease control. This case underscores prompt recognition of AOSD after exclusion of mimics, the interpretive value of ferritin trends, and successful escalation to interleukin-6 (IL-6) blockade for relapse, consistent with emerging data emphasizing targeted cytokine inhibition.</p>","PeriodicalId":93960,"journal":{"name":"Cureus","volume":"17 10","pages":"e93933"},"PeriodicalIF":1.3000,"publicationDate":"2025-10-06","publicationTypes":"Journal Article","fieldsOfStudy":null,"isOpenAccess":false,"openAccessPdf":"https://www.ncbi.nlm.nih.gov/pmc/articles/PMC12499899/pdf/","citationCount":"0","resultStr":"{\"title\":\"Adult-Onset Still's Disease Presenting as Antibiotic-Refractory Sepsis.\",\"authors\":\"Mohammed Alnims, Ahmer A Longi, Misbah Fazlani, Arsheena Mohamed, Ahmed Saleh\",\"doi\":\"10.7759/cureus.93933\",\"DOIUrl\":null,\"url\":null,\"abstract\":\"<p><p>Adult-onset Still's disease (AOSD) is a rare autoinflammatory disorder typified by quotidian fevers, an evanescent salmon-colored rash, arthralgia, neutrophilic leukocytosis, and markedly elevated inflammatory markers. Diagnosis is clinical and by exclusion, supported by classification frameworks like the Yamaguchi criteria. A previously healthy lady in her 20s presented with fever above 39°C, severe generalized myalgia, pharyngitis, a transient salmon-colored rash, neutrophilic leukocytosis, and markedly elevated inflammatory markers. Competing infectious, autoimmune, and malignant etiologies were excluded. Based on clinical features and Yamaguchi criteria, AOSD was suspected. She improved rapidly with intravenous methylprednisolone pulse therapy. During steroid taper as an outpatient, she developed a biochemical flare with ferritin rising to 8,807 ng/ml; tocilizumab was initiated for disease control. This case underscores prompt recognition of AOSD after exclusion of mimics, the interpretive value of ferritin trends, and successful escalation to interleukin-6 (IL-6) blockade for relapse, consistent with emerging data emphasizing targeted cytokine inhibition.</p>\",\"PeriodicalId\":93960,\"journal\":{\"name\":\"Cureus\",\"volume\":\"17 10\",\"pages\":\"e93933\"},\"PeriodicalIF\":1.3000,\"publicationDate\":\"2025-10-06\",\"publicationTypes\":\"Journal Article\",\"fieldsOfStudy\":null,\"isOpenAccess\":false,\"openAccessPdf\":\"https://www.ncbi.nlm.nih.gov/pmc/articles/PMC12499899/pdf/\",\"citationCount\":\"0\",\"resultStr\":null,\"platform\":\"Semanticscholar\",\"paperid\":null,\"PeriodicalName\":\"Cureus\",\"FirstCategoryId\":\"1085\",\"ListUrlMain\":\"https://doi.org/10.7759/cureus.93933\",\"RegionNum\":0,\"RegionCategory\":null,\"ArticlePicture\":[],\"TitleCN\":null,\"AbstractTextCN\":null,\"PMCID\":null,\"EPubDate\":\"2025/10/1 0:00:00\",\"PubModel\":\"eCollection\",\"JCR\":\"Q3\",\"JCRName\":\"MEDICINE, GENERAL & INTERNAL\",\"Score\":null,\"Total\":0}","platform":"Semanticscholar","paperid":null,"PeriodicalName":"Cureus","FirstCategoryId":"1085","ListUrlMain":"https://doi.org/10.7759/cureus.93933","RegionNum":0,"RegionCategory":null,"ArticlePicture":[],"TitleCN":null,"AbstractTextCN":null,"PMCID":null,"EPubDate":"2025/10/1 0:00:00","PubModel":"eCollection","JCR":"Q3","JCRName":"MEDICINE, GENERAL & INTERNAL","Score":null,"Total":0}
引用次数: 0

摘要

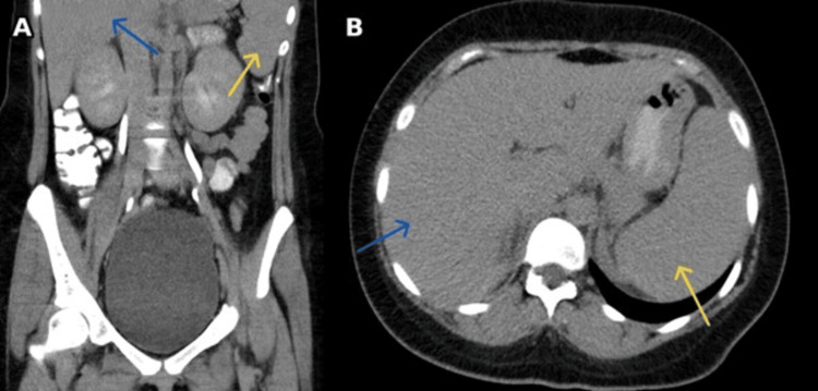
成人发病斯蒂尔氏病(AOSD)是一种罕见的自身炎症性疾病,典型表现为日常发热、短暂的鲑鱼色皮疹、关节痛、中性粒细胞增多和炎症标志物明显升高。诊断是临床和排除,支持分类框架,如山口标准。既往健康女性,20多岁,表现为发热39℃以上,严重全身性肌痛,咽炎,短暂性鲑鱼色皮疹,中性粒细胞增多,炎症标志物明显升高。排除了感染性、自身免疫性和恶性病因。根据临床表现和Yamaguchi标准,怀疑为AOSD。经静脉注射甲基强的松龙脉冲治疗,病情迅速好转。在类固醇减量治疗期间,患者出现生化耀斑,铁蛋白升高至8,807 ng/ml;Tocilizumab最初用于疾病控制。该病例强调了在排除模拟物后对AOSD的及时识别,铁蛋白趋势的解释价值,以及成功升级到白介素-6 (IL-6)阻断复发,这与新兴的强调靶向细胞因子抑制的数据一致。
本文章由计算机程序翻译,如有差异,请以英文原文为准。

Adult-Onset Still's Disease Presenting as Antibiotic-Refractory Sepsis.

Adult-Onset Still's Disease Presenting as Antibiotic-Refractory Sepsis.

Adult-Onset Still's Disease Presenting as Antibiotic-Refractory Sepsis.

Adult-Onset Still's Disease Presenting as Antibiotic-Refractory Sepsis.

Adult-onset Still's disease (AOSD) is a rare autoinflammatory disorder typified by quotidian fevers, an evanescent salmon-colored rash, arthralgia, neutrophilic leukocytosis, and markedly elevated inflammatory markers. Diagnosis is clinical and by exclusion, supported by classification frameworks like the Yamaguchi criteria. A previously healthy lady in her 20s presented with fever above 39°C, severe generalized myalgia, pharyngitis, a transient salmon-colored rash, neutrophilic leukocytosis, and markedly elevated inflammatory markers. Competing infectious, autoimmune, and malignant etiologies were excluded. Based on clinical features and Yamaguchi criteria, AOSD was suspected. She improved rapidly with intravenous methylprednisolone pulse therapy. During steroid taper as an outpatient, she developed a biochemical flare with ferritin rising to 8,807 ng/ml; tocilizumab was initiated for disease control. This case underscores prompt recognition of AOSD after exclusion of mimics, the interpretive value of ferritin trends, and successful escalation to interleukin-6 (IL-6) blockade for relapse, consistent with emerging data emphasizing targeted cytokine inhibition.

求助全文
通过发布文献求助,成功后即可免费获取论文全文。 去求助
来源期刊
自引率
0.00%
发文量
0
×
引用
GB/T 7714-2015
复制
MLA
复制
APA
复制
导出至
BibTeX EndNote RefMan NoteFirst NoteExpress
×
提示
您的信息不完整,为了账户安全,请先补充。
现在去补充
×
提示
您因"违规操作"
具体请查看互助需知
我知道了
×
提示
确定
请完成安全验证×
copy
已复制链接
快去分享给好友吧!
我知道了
右上角分享
点击右上角分享
0
联系我们:info@booksci.cn Book学术提供免费学术资源搜索服务,方便国内外学者检索中英文文献。致力于提供最便捷和优质的服务体验。 Copyright © 2023 布克学术 All rights reserved.
京ICP备2023020795号-1
ghs 京公网安备 11010802042870号
Book学术文献互助
Book学术文献互助群
群 号:604180095
Book学术官方微信