辐射致口干:18F-FDG PET/CT评价。

IF 1.1 Q4 RADIOLOGY, NUCLEAR MEDICINE & MEDICAL IMAGING
Gözde Mütevelizade, Bilal Çağrı Bozdemir, Nazım Aydın, Ahmet Furkan Süner, Ömür Karakoyun Çelik, Yasemin Parlak, Ecem Çorlu, Özgür Yıldırım, Mustafa Kahya, Gizem Bakıcıerler, Gül Gümüşer, Elvan Sayıt
{"title":"辐射致口干:18F-FDG PET/CT评价。","authors":"Gözde Mütevelizade, Bilal Çağrı Bozdemir, Nazım Aydın, Ahmet Furkan Süner, Ömür Karakoyun Çelik, Yasemin Parlak, Ecem Çorlu, Özgür Yıldırım, Mustafa Kahya, Gizem Bakıcıerler, Gül Gümüşer, Elvan Sayıt","doi":"10.4274/mirt.galenos.2025.04696","DOIUrl":null,"url":null,"abstract":"<p><strong>Objectives: </strong>To investigate the relationship between radiation dose, metabolic changes in the salivary glands assessed by <sup>18</sup>F-fluorodeoxyglucose positron emission tomography/computed tomography (<sup>18</sup>F-FDG PET/CT), and xerostomia severity in patients with head and neck cancer following radiotherapy (RT).</p><p><strong>Methods: </strong>We retrospectively analyzed 107 patients treated with intensity-modulated RT or volumetric modulated arc therapy for head and neck malignancies. Clinical xerostomia severity was evaluated at the time of post-treatment PET/CT. Mean gland doses and dose-volume parameters (V10-V50) were extracted from treatment plans. Metabolic changes were evaluated by <sup>Δ</sup>maximum standardized uptake value and <sup>Δ</sup>mean standardized uptake value between pre and post treatment PET/CT scans. The relationships between clinical, dosimetric, and metabolic variables were examined.</p><p><strong>Results: </strong>Moderate-to-severe xerostomia occurred in 63.6% of patients. Both higher T and N stage were significantly associated with greater xerostomia severity (p<0.05). Patients with nodal metastases on pretreatment PET/CT demonstrated a higher prevalence of xerostomia. Dose-volume parameters (V10-V30 for parotids, V50 for submandibular glands) were significantly correlated with symptom severity. <sup>Δ</sup>SUV values were significantly associated with both mean dose and dose-volume parameters, particularly in the left parotid gland, where patients receiving >30 Gy showed markedly greater metabolic decline. Parotid glands demonstrated stronger dose-dependent metabolic changes compared with submandibular glands, consistent with their higher radiosensitivity.</p><p><strong>Conclusion: </strong>Despite the use of advanced RT techniques, xerostomia remains a frequent toxicity. <sup>18</sup>F-FDG PET/CT reliably captured dose-dependent salivary gland impairment and reflected the impact of tumor burden on toxicity risk. These findings underscore the complementary role of PET-derived biomarkers as integrative tools for predicting salivary dysfunction beyond conventional dosimetric parameters.</p>","PeriodicalId":44681,"journal":{"name":"Molecular Imaging and Radionuclide Therapy","volume":"34 3","pages":"213-220"},"PeriodicalIF":1.1000,"publicationDate":"2025-10-08","publicationTypes":"Journal Article","fieldsOfStudy":null,"isOpenAccess":false,"openAccessPdf":"https://www.ncbi.nlm.nih.gov/pmc/articles/PMC12505182/pdf/","citationCount":"0","resultStr":"{\"title\":\"Radiation-induced Xerostomia: Evaluation with <sup>18</sup>F-FDG PET/CT.\",\"authors\":\"Gözde Mütevelizade, Bilal Çağrı Bozdemir, Nazım Aydın, Ahmet Furkan Süner, Ömür Karakoyun Çelik, Yasemin Parlak, Ecem Çorlu, Özgür Yıldırım, Mustafa Kahya, Gizem Bakıcıerler, Gül Gümüşer, Elvan Sayıt\",\"doi\":\"10.4274/mirt.galenos.2025.04696\",\"DOIUrl\":null,\"url\":null,\"abstract\":\"<p><strong>Objectives: </strong>To investigate the relationship between radiation dose, metabolic changes in the salivary glands assessed by <sup>18</sup>F-fluorodeoxyglucose positron emission tomography/computed tomography (<sup>18</sup>F-FDG PET/CT), and xerostomia severity in patients with head and neck cancer following radiotherapy (RT).</p><p><strong>Methods: </strong>We retrospectively analyzed 107 patients treated with intensity-modulated RT or volumetric modulated arc therapy for head and neck malignancies. Clinical xerostomia severity was evaluated at the time of post-treatment PET/CT. Mean gland doses and dose-volume parameters (V10-V50) were extracted from treatment plans. Metabolic changes were evaluated by <sup>Δ</sup>maximum standardized uptake value and <sup>Δ</sup>mean standardized uptake value between pre and post treatment PET/CT scans. The relationships between clinical, dosimetric, and metabolic variables were examined.</p><p><strong>Results: </strong>Moderate-to-severe xerostomia occurred in 63.6% of patients. Both higher T and N stage were significantly associated with greater xerostomia severity (p<0.05). Patients with nodal metastases on pretreatment PET/CT demonstrated a higher prevalence of xerostomia. Dose-volume parameters (V10-V30 for parotids, V50 for submandibular glands) were significantly correlated with symptom severity. <sup>Δ</sup>SUV values were significantly associated with both mean dose and dose-volume parameters, particularly in the left parotid gland, where patients receiving >30 Gy showed markedly greater metabolic decline. Parotid glands demonstrated stronger dose-dependent metabolic changes compared with submandibular glands, consistent with their higher radiosensitivity.</p><p><strong>Conclusion: </strong>Despite the use of advanced RT techniques, xerostomia remains a frequent toxicity. <sup>18</sup>F-FDG PET/CT reliably captured dose-dependent salivary gland impairment and reflected the impact of tumor burden on toxicity risk. These findings underscore the complementary role of PET-derived biomarkers as integrative tools for predicting salivary dysfunction beyond conventional dosimetric parameters.</p>\",\"PeriodicalId\":44681,\"journal\":{\"name\":\"Molecular Imaging and Radionuclide Therapy\",\"volume\":\"34 3\",\"pages\":\"213-220\"},\"PeriodicalIF\":1.1000,\"publicationDate\":\"2025-10-08\",\"publicationTypes\":\"Journal Article\",\"fieldsOfStudy\":null,\"isOpenAccess\":false,\"openAccessPdf\":\"https://www.ncbi.nlm.nih.gov/pmc/articles/PMC12505182/pdf/\",\"citationCount\":\"0\",\"resultStr\":null,\"platform\":\"Semanticscholar\",\"paperid\":null,\"PeriodicalName\":\"Molecular Imaging and Radionuclide Therapy\",\"FirstCategoryId\":\"1085\",\"ListUrlMain\":\"https://doi.org/10.4274/mirt.galenos.2025.04696\",\"RegionNum\":0,\"RegionCategory\":null,\"ArticlePicture\":[],\"TitleCN\":null,\"AbstractTextCN\":null,\"PMCID\":null,\"EPubDate\":\"\",\"PubModel\":\"\",\"JCR\":\"Q4\",\"JCRName\":\"RADIOLOGY, NUCLEAR MEDICINE & MEDICAL IMAGING\",\"Score\":null,\"Total\":0}","platform":"Semanticscholar","paperid":null,"PeriodicalName":"Molecular Imaging and Radionuclide Therapy","FirstCategoryId":"1085","ListUrlMain":"https://doi.org/10.4274/mirt.galenos.2025.04696","RegionNum":0,"RegionCategory":null,"ArticlePicture":[],"TitleCN":null,"AbstractTextCN":null,"PMCID":null,"EPubDate":"","PubModel":"","JCR":"Q4","JCRName":"RADIOLOGY, NUCLEAR MEDICINE & MEDICAL IMAGING","Score":null,"Total":0}
引用次数: 0

摘要

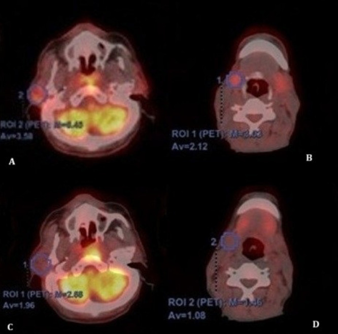
目的:探讨放疗(RT)后放疗剂量、18f -氟脱氧葡萄糖正电子发射断层扫描/计算机断层扫描(18F-FDG PET/CT)评估的唾液腺代谢变化与头颈癌患者口干严重程度的关系。方法:回顾性分析107例接受调强放疗或调容弧线治疗的头颈部恶性肿瘤患者。在治疗后PET/CT检查时评估临床口干严重程度。从治疗方案中提取平均腺体剂量和剂量-体积参数(V10-V50)。通过治疗前后PET/CT扫描的Δmaximum标准化摄取值和Δmean标准化摄取值评估代谢变化。研究了临床、剂量学和代谢变量之间的关系。结果:63.6%的患者出现中重度口干。较高的T和N分期与更严重的口干严重程度显著相关(pΔSUV值与平均剂量和剂量-体积参数显著相关,特别是在左腮腺,接受bbb30 Gy的患者代谢下降明显更大。腮腺比下颌骨腺表现出更强的剂量依赖性代谢变化,这与它们更高的放射敏感性一致。结论:尽管采用了先进的放射治疗技术,但口干仍然是一种常见的毒性。18F-FDG PET/CT可靠地捕获剂量依赖性唾液腺损伤,并反映肿瘤负荷对毒性风险的影响。这些发现强调了pet衍生的生物标志物作为预测常规剂量学参数之外的唾液功能障碍的综合工具的补充作用。
本文章由计算机程序翻译,如有差异,请以英文原文为准。

Radiation-induced Xerostomia: Evaluation with <sup>18</sup>F-FDG PET/CT.

Radiation-induced Xerostomia: Evaluation with <sup>18</sup>F-FDG PET/CT.

Radiation-induced Xerostomia: Evaluation with <sup>18</sup>F-FDG PET/CT.

Radiation-induced Xerostomia: Evaluation with 18F-FDG PET/CT.

Objectives: To investigate the relationship between radiation dose, metabolic changes in the salivary glands assessed by 18F-fluorodeoxyglucose positron emission tomography/computed tomography (18F-FDG PET/CT), and xerostomia severity in patients with head and neck cancer following radiotherapy (RT).

Methods: We retrospectively analyzed 107 patients treated with intensity-modulated RT or volumetric modulated arc therapy for head and neck malignancies. Clinical xerostomia severity was evaluated at the time of post-treatment PET/CT. Mean gland doses and dose-volume parameters (V10-V50) were extracted from treatment plans. Metabolic changes were evaluated by Δmaximum standardized uptake value and Δmean standardized uptake value between pre and post treatment PET/CT scans. The relationships between clinical, dosimetric, and metabolic variables were examined.

Results: Moderate-to-severe xerostomia occurred in 63.6% of patients. Both higher T and N stage were significantly associated with greater xerostomia severity (p<0.05). Patients with nodal metastases on pretreatment PET/CT demonstrated a higher prevalence of xerostomia. Dose-volume parameters (V10-V30 for parotids, V50 for submandibular glands) were significantly correlated with symptom severity. ΔSUV values were significantly associated with both mean dose and dose-volume parameters, particularly in the left parotid gland, where patients receiving >30 Gy showed markedly greater metabolic decline. Parotid glands demonstrated stronger dose-dependent metabolic changes compared with submandibular glands, consistent with their higher radiosensitivity.

Conclusion: Despite the use of advanced RT techniques, xerostomia remains a frequent toxicity. 18F-FDG PET/CT reliably captured dose-dependent salivary gland impairment and reflected the impact of tumor burden on toxicity risk. These findings underscore the complementary role of PET-derived biomarkers as integrative tools for predicting salivary dysfunction beyond conventional dosimetric parameters.

求助全文
通过发布文献求助,成功后即可免费获取论文全文。 去求助
来源期刊
Molecular Imaging and Radionuclide Therapy
Molecular Imaging and Radionuclide Therapy RADIOLOGY, NUCLEAR MEDICINE & MEDICAL IMAGING-
CiteScore
1.30
自引率
0.00%
发文量
50
期刊介绍: Molecular Imaging and Radionuclide Therapy (Mol Imaging Radionucl Ther, MIRT) is publishes original research articles, invited reviews, editorials, short communications, letters, consensus statements, guidelines and case reports with a literature review on the topic, in the field of molecular imaging, multimodality imaging, nuclear medicine, radionuclide therapy, radiopharmacy, medical physics, dosimetry and radiobiology.
×
引用
GB/T 7714-2015
复制
MLA
复制
APA
复制
导出至
BibTeX EndNote RefMan NoteFirst NoteExpress
×
提示
您的信息不完整,为了账户安全,请先补充。
现在去补充
×
提示
您因"违规操作"
具体请查看互助需知
我知道了
×
提示
确定
请完成安全验证×
copy
已复制链接
快去分享给好友吧!
我知道了
右上角分享
点击右上角分享
0
联系我们:info@booksci.cn Book学术提供免费学术资源搜索服务,方便国内外学者检索中英文文献。致力于提供最便捷和优质的服务体验。 Copyright © 2023 布克学术 All rights reserved.
京ICP备2023020795号-1
ghs 京公网安备 11010802042870号
Book学术文献互助
Book学术文献互助群
群 号:604180095
Book学术官方微信