68Ga-DOTATOC PET/CT假阳性表现的系统回顾。

IF 1.1 Q4 RADIOLOGY, NUCLEAR MEDICINE & MEDICAL IMAGING
Dhuha Al-Adhami, Ahmed Saad Abdlkadir, Sze Ting Lee, Punit Sharma, Naser Obeidat, Hassan Al-Alawi, Mai Hong Son, Aysar Khalaf, Akram Naif Al-Ibraheem
{"title":"68Ga-DOTATOC PET/CT假阳性表现的系统回顾。","authors":"Dhuha Al-Adhami, Ahmed Saad Abdlkadir, Sze Ting Lee, Punit Sharma, Naser Obeidat, Hassan Al-Alawi, Mai Hong Son, Aysar Khalaf, Akram Naif Al-Ibraheem","doi":"10.4274/mirt.galenos.2025.44452","DOIUrl":null,"url":null,"abstract":"<p><p>This systematic review aimed to explore the currently reported false positive findings of Gallium-68 (<sup>68</sup>Ga)-1, 4, 7, 10-tetraazacyclododecane-1, 4, 7, 10-tetraacetic acid Tyr3-octreotide (<sup>68</sup>Ga-DOTATOC). PubMed, Web of Science, and Scopus databases were used to conduct a systematic search and were updated until March 4, 2024. Three authors independently screened the titles and abstracts of the retrieved articles and selected the articles based on the inclusion and exclusion criteria. In a qualitative analysis of 42 included research articles involving 601 patients, 219 false positive findings were identified and categorized. Non-oncologic etiologies predominated, constituting 50.2% of pitfalls, followed by benign oncologic (27.4%) and malignant neoplasms (22.4%). Anatomically, the abdomen was the most common site for pitfalls (30.6%), followed by the musculoskeletal (22.4%), head and neck (20.5%), and pelvic (14.6%) regions. Chest region findings were least frequent, accounting for only 11.9%. This study elucidates potential false positive findings, predominantly occurring in the abdominal and head-neck regions-primary sites for meningiomas and neuroendocrine tumors (NETs). Understanding these false-positive findings is crucial for accurate diagnosis. Furthermore, recognizing these pitfalls may lead to novel applications of <sup>68</sup>Ga-DOTATOC beyond its conventional use in evaluating NETs and meningiomas, potentially expanding its current utility.</p>","PeriodicalId":44681,"journal":{"name":"Molecular Imaging and Radionuclide Therapy","volume":"34 3","pages":"256-266"},"PeriodicalIF":1.1000,"publicationDate":"2025-10-08","publicationTypes":"Journal Article","fieldsOfStudy":null,"isOpenAccess":false,"openAccessPdf":"https://www.ncbi.nlm.nih.gov/pmc/articles/PMC12505185/pdf/","citationCount":"0","resultStr":"{\"title\":\"False Positive Findings of <sup>68</sup>Ga-DOTATOC PET/CT: A Systematic Review.\",\"authors\":\"Dhuha Al-Adhami, Ahmed Saad Abdlkadir, Sze Ting Lee, Punit Sharma, Naser Obeidat, Hassan Al-Alawi, Mai Hong Son, Aysar Khalaf, Akram Naif Al-Ibraheem\",\"doi\":\"10.4274/mirt.galenos.2025.44452\",\"DOIUrl\":null,\"url\":null,\"abstract\":\"<p><p>This systematic review aimed to explore the currently reported false positive findings of Gallium-68 (<sup>68</sup>Ga)-1, 4, 7, 10-tetraazacyclododecane-1, 4, 7, 10-tetraacetic acid Tyr3-octreotide (<sup>68</sup>Ga-DOTATOC). PubMed, Web of Science, and Scopus databases were used to conduct a systematic search and were updated until March 4, 2024. Three authors independently screened the titles and abstracts of the retrieved articles and selected the articles based on the inclusion and exclusion criteria. In a qualitative analysis of 42 included research articles involving 601 patients, 219 false positive findings were identified and categorized. Non-oncologic etiologies predominated, constituting 50.2% of pitfalls, followed by benign oncologic (27.4%) and malignant neoplasms (22.4%). Anatomically, the abdomen was the most common site for pitfalls (30.6%), followed by the musculoskeletal (22.4%), head and neck (20.5%), and pelvic (14.6%) regions. Chest region findings were least frequent, accounting for only 11.9%. This study elucidates potential false positive findings, predominantly occurring in the abdominal and head-neck regions-primary sites for meningiomas and neuroendocrine tumors (NETs). Understanding these false-positive findings is crucial for accurate diagnosis. Furthermore, recognizing these pitfalls may lead to novel applications of <sup>68</sup>Ga-DOTATOC beyond its conventional use in evaluating NETs and meningiomas, potentially expanding its current utility.</p>\",\"PeriodicalId\":44681,\"journal\":{\"name\":\"Molecular Imaging and Radionuclide Therapy\",\"volume\":\"34 3\",\"pages\":\"256-266\"},\"PeriodicalIF\":1.1000,\"publicationDate\":\"2025-10-08\",\"publicationTypes\":\"Journal Article\",\"fieldsOfStudy\":null,\"isOpenAccess\":false,\"openAccessPdf\":\"https://www.ncbi.nlm.nih.gov/pmc/articles/PMC12505185/pdf/\",\"citationCount\":\"0\",\"resultStr\":null,\"platform\":\"Semanticscholar\",\"paperid\":null,\"PeriodicalName\":\"Molecular Imaging and Radionuclide Therapy\",\"FirstCategoryId\":\"1085\",\"ListUrlMain\":\"https://doi.org/10.4274/mirt.galenos.2025.44452\",\"RegionNum\":0,\"RegionCategory\":null,\"ArticlePicture\":[],\"TitleCN\":null,\"AbstractTextCN\":null,\"PMCID\":null,\"EPubDate\":\"\",\"PubModel\":\"\",\"JCR\":\"Q4\",\"JCRName\":\"RADIOLOGY, NUCLEAR MEDICINE & MEDICAL IMAGING\",\"Score\":null,\"Total\":0}","platform":"Semanticscholar","paperid":null,"PeriodicalName":"Molecular Imaging and Radionuclide Therapy","FirstCategoryId":"1085","ListUrlMain":"https://doi.org/10.4274/mirt.galenos.2025.44452","RegionNum":0,"RegionCategory":null,"ArticlePicture":[],"TitleCN":null,"AbstractTextCN":null,"PMCID":null,"EPubDate":"","PubModel":"","JCR":"Q4","JCRName":"RADIOLOGY, NUCLEAR MEDICINE & MEDICAL IMAGING","Score":null,"Total":0}
引用次数: 0

摘要

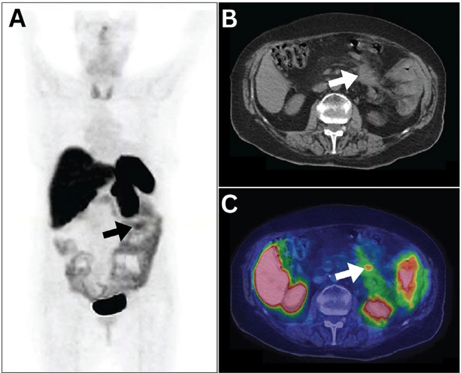
本系统综述旨在探讨目前报道的镓-68 (68Ga)- 1,4,7,10 -四氮杂环十二烷- 1,4,7,10 -四乙酸tyr3 -奥曲肽(68Ga- dotatoc)的假阳性结果。使用PubMed, Web of Science和Scopus数据库进行系统搜索,并更新至2024年3月4日。三位作者独立筛选检索文章的标题和摘要,并根据纳入和排除标准选择文章。在对涉及601例患者的42篇纳入的研究文章的定性分析中,确定并分类了219例假阳性结果。非肿瘤病因占多数,占50.2%,其次是良性肿瘤(27.4%)和恶性肿瘤(22.4%)。解剖学上,腹部是最常见的陷阱部位(30.6%),其次是肌肉骨骼(22.4%)、头颈(20.5%)和骨盆(14.6%)区域。胸部最不常见,仅占11.9%。本研究阐明了潜在的假阳性结果,主要发生在腹部和头颈部区域-脑膜瘤和神经内分泌肿瘤(NETs)的原发部位。了解这些假阳性结果对于准确诊断至关重要。此外,认识到这些缺陷可能会导致68Ga-DOTATOC在评估神经网络和脑膜瘤的传统用途之外的新应用,潜在地扩大其目前的用途。
本文章由计算机程序翻译,如有差异,请以英文原文为准。

False Positive Findings of <sup>68</sup>Ga-DOTATOC PET/CT: A Systematic Review.

False Positive Findings of <sup>68</sup>Ga-DOTATOC PET/CT: A Systematic Review.

False Positive Findings of <sup>68</sup>Ga-DOTATOC PET/CT: A Systematic Review.

False Positive Findings of 68Ga-DOTATOC PET/CT: A Systematic Review.

This systematic review aimed to explore the currently reported false positive findings of Gallium-68 (68Ga)-1, 4, 7, 10-tetraazacyclododecane-1, 4, 7, 10-tetraacetic acid Tyr3-octreotide (68Ga-DOTATOC). PubMed, Web of Science, and Scopus databases were used to conduct a systematic search and were updated until March 4, 2024. Three authors independently screened the titles and abstracts of the retrieved articles and selected the articles based on the inclusion and exclusion criteria. In a qualitative analysis of 42 included research articles involving 601 patients, 219 false positive findings were identified and categorized. Non-oncologic etiologies predominated, constituting 50.2% of pitfalls, followed by benign oncologic (27.4%) and malignant neoplasms (22.4%). Anatomically, the abdomen was the most common site for pitfalls (30.6%), followed by the musculoskeletal (22.4%), head and neck (20.5%), and pelvic (14.6%) regions. Chest region findings were least frequent, accounting for only 11.9%. This study elucidates potential false positive findings, predominantly occurring in the abdominal and head-neck regions-primary sites for meningiomas and neuroendocrine tumors (NETs). Understanding these false-positive findings is crucial for accurate diagnosis. Furthermore, recognizing these pitfalls may lead to novel applications of 68Ga-DOTATOC beyond its conventional use in evaluating NETs and meningiomas, potentially expanding its current utility.

求助全文
通过发布文献求助,成功后即可免费获取论文全文。 去求助
来源期刊
Molecular Imaging and Radionuclide Therapy
Molecular Imaging and Radionuclide Therapy RADIOLOGY, NUCLEAR MEDICINE & MEDICAL IMAGING-
CiteScore
1.30
自引率
0.00%
发文量
50
期刊介绍: Molecular Imaging and Radionuclide Therapy (Mol Imaging Radionucl Ther, MIRT) is publishes original research articles, invited reviews, editorials, short communications, letters, consensus statements, guidelines and case reports with a literature review on the topic, in the field of molecular imaging, multimodality imaging, nuclear medicine, radionuclide therapy, radiopharmacy, medical physics, dosimetry and radiobiology.
×
引用
GB/T 7714-2015
复制
MLA
复制
APA
复制
导出至
BibTeX EndNote RefMan NoteFirst NoteExpress
×
提示
您的信息不完整,为了账户安全,请先补充。
现在去补充
×
提示
您因"违规操作"
具体请查看互助需知
我知道了
×
提示
确定
请完成安全验证×
copy
已复制链接
快去分享给好友吧!
我知道了
右上角分享
点击右上角分享
0
联系我们:info@booksci.cn Book学术提供免费学术资源搜索服务,方便国内外学者检索中英文文献。致力于提供最便捷和优质的服务体验。 Copyright © 2023 布克学术 All rights reserved.
京ICP备2023020795号-1
ghs 京公网安备 11010802042870号
Book学术文献互助
Book学术文献互助群
群 号:604180095
Book学术官方微信