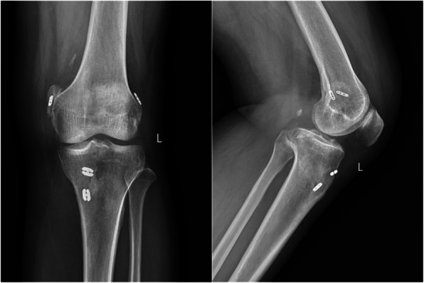
脓毒性关节炎或成人发病的still病:关节镜联合前、后交叉韧带重建术后复发发热的原因分析1例

IF 2.4 3区 医学 Q2 ORTHOPEDICS
Zenan Tian, Jianlong Ni, Wang Wei, Qichun Song, Shanshan Liu, Dongjian Wang, Ruiying Li, Dazhi Wang, Zhihao Chen, Zhikun Jia, Jiajun Jiang, Zhibin Shi
{"title":"脓毒性关节炎或成人发病的still病:关节镜联合前、后交叉韧带重建术后复发发热的原因分析1例","authors":"Zenan Tian, Jianlong Ni, Wang Wei, Qichun Song, Shanshan Liu, Dongjian Wang, Ruiying Li, Dazhi Wang, Zhihao Chen, Zhikun Jia, Jiajun Jiang, Zhibin Shi","doi":"10.1186/s12891-025-08938-9","DOIUrl":null,"url":null,"abstract":"","PeriodicalId":9189,"journal":{"name":"BMC Musculoskeletal Disorders","volume":"26 1","pages":"923"},"PeriodicalIF":2.4000,"publicationDate":"2025-10-07","publicationTypes":"Journal Article","fieldsOfStudy":null,"isOpenAccess":false,"openAccessPdf":"https://www.ncbi.nlm.nih.gov/pmc/articles/PMC12506021/pdf/","citationCount":"0","resultStr":"{\"title\":\"Septic arthritis or adult-onset still's disease: analyzing the causes of recurrent fever after arthroscopic combined anterior cruciate ligament and posterior cruciate ligament reconstruction: a case report.\",\"authors\":\"Zenan Tian, Jianlong Ni, Wang Wei, Qichun Song, Shanshan Liu, Dongjian Wang, Ruiying Li, Dazhi Wang, Zhihao Chen, Zhikun Jia, Jiajun Jiang, Zhibin Shi\",\"doi\":\"10.1186/s12891-025-08938-9\",\"DOIUrl\":null,\"url\":null,\"abstract\":\"\",\"PeriodicalId\":9189,\"journal\":{\"name\":\"BMC Musculoskeletal Disorders\",\"volume\":\"26 1\",\"pages\":\"923\"},\"PeriodicalIF\":2.4000,\"publicationDate\":\"2025-10-07\",\"publicationTypes\":\"Journal Article\",\"fieldsOfStudy\":null,\"isOpenAccess\":false,\"openAccessPdf\":\"https://www.ncbi.nlm.nih.gov/pmc/articles/PMC12506021/pdf/\",\"citationCount\":\"0\",\"resultStr\":null,\"platform\":\"Semanticscholar\",\"paperid\":null,\"PeriodicalName\":\"BMC Musculoskeletal Disorders\",\"FirstCategoryId\":\"3\",\"ListUrlMain\":\"https://doi.org/10.1186/s12891-025-08938-9\",\"RegionNum\":3,\"RegionCategory\":\"医学\",\"ArticlePicture\":[],\"TitleCN\":null,\"AbstractTextCN\":null,\"PMCID\":null,\"EPubDate\":\"\",\"PubModel\":\"\",\"JCR\":\"Q2\",\"JCRName\":\"ORTHOPEDICS\",\"Score\":null,\"Total\":0}","platform":"Semanticscholar","paperid":null,"PeriodicalName":"BMC Musculoskeletal Disorders","FirstCategoryId":"3","ListUrlMain":"https://doi.org/10.1186/s12891-025-08938-9","RegionNum":3,"RegionCategory":"医学","ArticlePicture":[],"TitleCN":null,"AbstractTextCN":null,"PMCID":null,"EPubDate":"","PubModel":"","JCR":"Q2","JCRName":"ORTHOPEDICS","Score":null,"Total":0}
引用次数: 0

摘要

本文章由计算机程序翻译,如有差异,请以英文原文为准。

Septic arthritis or adult-onset still's disease: analyzing the causes of recurrent fever after arthroscopic combined anterior cruciate ligament and posterior cruciate ligament reconstruction: a case report.

Septic arthritis or adult-onset still's disease: analyzing the causes of recurrent fever after arthroscopic combined anterior cruciate ligament and posterior cruciate ligament reconstruction: a case report.

Septic arthritis or adult-onset still's disease: analyzing the causes of recurrent fever after arthroscopic combined anterior cruciate ligament and posterior cruciate ligament reconstruction: a case report.

Septic arthritis or adult-onset still's disease: analyzing the causes of recurrent fever after arthroscopic combined anterior cruciate ligament and posterior cruciate ligament reconstruction: a case report.
求助全文
通过发布文献求助,成功后即可免费获取论文全文。 去求助
来源期刊
BMC Musculoskeletal Disorders
BMC Musculoskeletal Disorders 医学-风湿病学
CiteScore
3.80
自引率
8.70%
发文量
1017
审稿时长
3-6 weeks
期刊介绍: BMC Musculoskeletal Disorders is an open access, peer-reviewed journal that considers articles on all aspects of the prevention, diagnosis and management of musculoskeletal disorders, as well as related molecular genetics, pathophysiology, and epidemiology. The scope of the Journal covers research into rheumatic diseases where the primary focus relates specifically to a component(s) of the musculoskeletal system.
×
引用
GB/T 7714-2015
复制
MLA
复制
APA
复制
导出至
BibTeX EndNote RefMan NoteFirst NoteExpress
×
提示
您的信息不完整,为了账户安全,请先补充。
现在去补充
×
提示
您因"违规操作"
具体请查看互助需知
我知道了
×
提示
确定
请完成安全验证×
copy
已复制链接
快去分享给好友吧!
我知道了
右上角分享
点击右上角分享
0
联系我们:info@booksci.cn Book学术提供免费学术资源搜索服务,方便国内外学者检索中英文文献。致力于提供最便捷和优质的服务体验。 Copyright © 2023 布克学术 All rights reserved.
京ICP备2023020795号-1
ghs 京公网安备 11010802042870号
Book学术文献互助
Book学术文献互助群
群 号:604180095
Book学术官方微信